概述

發病機制
內皮細胞被激活後,在趨化因子導向下,吸引血循環中炎症細胞浸潤,並釋放促炎症因子(白介素1,白介素8,致腫瘤壞死因子,單核趨化因子等)引起腎小球內炎症性反應。同時也損傷了系膜細胞、腎小球上皮細胞,並促使系膜細胞增殖、收縮;促使腎小球血流量減少,缺血、缺氧加重;進一步分泌致纖維化因子(PDGF、TGF-β)。在該類因子的反覆刺激下又促使系膜細胞表型轉化、上皮細胞增生與足突融合,腎小球基底膜的選擇性濾過屏障功能受損,臨床上出現蛋白尿和血尿。
在致纖維化因子的反覆刺激下,促使系膜細胞表型轉化成肌成纖維細胞,並分泌合成不易被降解的膠原Ⅰ、Ⅲ,打破了細胞外基質在腎小球內產生與降解的動態平衡,致使細胞外基質大量積聚並取代腎小球固有細胞,導致腎小球硬化形成。
早期症狀
臨床首發症狀最多見的是腎病綜合徵,約2/3的患者有大量蛋白尿和嚴重水腫,尿蛋白量可在1~30g/d,約50%以上的病人有血尿,鏡下血尿多見,偶見肉眼血尿。成人中30%~50%患者有輕度持續性高血壓或表現為慢性腎炎綜合徵,患者24h尿蛋白<3.5g/d,水腫不明顯,常有血尿、高血壓和腎功能不全,而50%以上可呈腎綜的表現,有明顯“三高一低”的臨床表現。少數患者無明顯症狀,偶爾於常規尿檢時發現蛋白尿。此型無症狀性蛋白尿可持續很長時間,預後較好。少數此型患者也可逐漸發展為終末期腎衰竭。蛋白尿絕大部分為無選擇性,但早期可有高度或中度選擇性。血清C3濃度正常,IgG水平下降。常有近端腎小管功能受損表現。
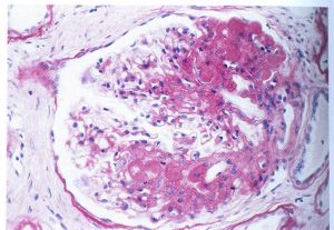
本病診斷主要靠腎活檢。光鏡下可見部分腎小球的某些節段為玻璃樣均質蛋白物質。而未硬化處相對正常。硬化區的典型病變可見大量無細胞的基質物及透明樣物質。
檢查
1.尿常規檢查 鏡下血尿、蛋白尿,常有無菌性白細胞尿、葡萄糖尿。腎小管功能受損者有胺基酸尿及磷酸鹽尿,其發生率高於其他類型的NS。
2.血液檢查 有明顯低白蛋白血症,血漿白蛋白通常低於25g/L,少數可達10g/L以下。腎小球濾過率(GFR)下降。血尿素氮、肌酐升高。多數患者有高脂血症。血清C3通常正常,IgG水平降低,C1q大多正常。10%~30%患者有循環免疫複合物陽性。血容量減少時,可造成血細胞比容上升。白細胞及分類正常。血小板輕度增高。水瀦留會造成血鈉濃度降低,長期限鈉或獲得性腎上腺功能不全,也會導致血鈉濃度降低。高脂血症會造成假性低鈉血症,由於血小板能在體外釋放鉀離子,所以,血小板增多時也會造成假性高鉀血症。
混淆疾病
1 .微小病變腎病 (MCD):
可因組織量不足或未取到髓旁腎單位而被誤診。但 MCD 很少表現高血壓和血尿 ,絕大多數患者對激素治療敏感 。此外 ,以下病理特點有助於 MCD 與 FSGS 之間的區別 : ①前者腎小球體積增大 ,而後者腎小球體積大小不一 ;②前者表現為瀰漫性足突融合 ,而後者呈節段性 ; ③後者可見髒層上皮細胞空泡變性 。
2 .繼發性 FSGS:
其它疾病導致的繼發性 FSGS除具有原發病的特徵外 ,其組織學的特點包括 :腎小球硬化程度輕重不一 ,腎小囊壁增厚 ,球周纖維化 ,小管間質病變呈斑片狀分布 ,間質還可見大量的炎細胞浸潤 。這些組織學上的鑑別診斷存在很大的缺陷 ,本質上講不依靠病史 ,臨床表現及實驗室檢查很難做出正確的鑑別診斷 。尤其是原發性和繼發生 FSGS ,靠組織形態學特點不能將它們區分。因此近來有人根據 FSGS 發病特點提出 ,髒層上皮細胞的表面標記如 Cytokeratins 等,可以幫助我們區分原發及繼發性 FSGS。
併發症
1.感染 與蛋白質丟失、營養不良、免疫功能紊亂及套用糖皮質激素治療有關。感染是腎病綜合徵的常見併發症,由於套用糖皮質激素,其感染的臨床徵象常不明顯,儘管目前已有多種抗生素可供選擇,但若治療不及時或不徹底,感染仍是導致病情復發和療效不佳的主要原因,甚至導致病人死亡,應予以高度重視。
2.血栓、栓塞併發症 由於血液濃縮及高脂血症造成血液黏稠度增加;此外,因某些蛋白質丟失,及肝代償性合成蛋白增加,引起機體凝血、抗凝和纖溶系統失衡。因此,易發生血栓、栓塞併發症。
3.急性腎衰竭 腎病綜合徵病人可因有效血容量不足而致腎血流量下降,誘發腎前性氮質血症。又因腎間質高度水腫壓迫腎小管以及大量蛋白管型阻塞腎小管和腎小管腔內高壓,間接引起腎小球濾過率驟然減少,導致急性腎衰竭。
4.蛋白質及脂肪代謝紊亂 長期低蛋白血症可導致營養不良、小兒生長發育遲緩;免疫球蛋白減少造成機體免疫力低下、易致感染;金屬結合蛋白丟失可使微量元素(鐵、銅、鋅等)缺乏;內分泌素結合蛋白不足可誘發內分泌紊亂;藥物結合蛋白減少可能影響某些藥物的藥動學(使血漿游離藥物濃度增加、排泄加速),影響藥物療效。高脂血症中血液黏稠度增加,促進血栓、栓塞併發症的發生,還將增加心血管系統併發症,並可促進腎小球硬化和腎小管-間質病變的發生,促進腎臟病變的慢性進展。
預防
本病臨床病程變化較大,病程轉歸各不相同,所以預防要從自身健康著手,平時避免勞累,合理飲食,科學鍛鍊,增強體質,提高機體免疫力,以防疾病發生。對於已患和出現併發症的病人,應對原發病及併發症進行積極有效的預防和治療。如一旦發現感染,應及時選用對致病菌敏感、強效且無腎毒性的抗生素治療,有明確感染灶者應儘快去除。當發現血漿白蛋白濃度低於20g/L時,提示高凝狀態已存在,即應開始預防性抗凝治療。對已發生血栓、栓塞者應儘早(6h內效果最佳,但3天內仍可望有效)給予尿激酶或鏈激酶全身或局部溶栓,同時配合抗凝治療。並發急性腎衰竭如處理不當可危及生命,及時給予正確處理,大多數病人可望恢復。
