病因
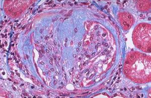
FSGS有多方面的致病因素。如中毒損傷、體液免疫及血流動力學改變等,均可導致毛細血管壁損傷,使大分子蛋白產生並滯留,免疫球蛋白沉積後再與C1q和C3結合,引起足突細胞退變並與基膜相脫離。
殘餘腎單位血流動力學發生改變,引起腎小球毛細血管代償性高血壓、高灌注及高濾過,造成上皮細胞及內皮細胞損傷,系膜細胞功能異常,從而導致進行性局灶性節段性硬化。這種病理過程可因攝入大量蛋白而加重,限制蛋白攝入和降血壓治療而減輕。內皮細胞損傷引起血小板聚集及微血栓形成,而加重病變的發展;許多FSGS的發生與這種發病機制有關,如慢性鏈球菌感染後腎炎、慢性移植腎排異、反流性腎病及鎮痛藥腎病等。
臨床表現
本病多發生在兒童及青少年,男性稍多於女性。少數患者發病前有上呼吸道感染或過敏反應。臨床首發症狀最多見的是腎病綜合徵,約2/3的患者有大量蛋白尿和嚴重水腫,尿蛋白量可在1~30克/天,約50%以上的患者有血尿,鏡下血尿多見,偶見肉眼血尿。成人中30%~50%患者有輕度持續性高血壓或表現為慢性腎炎綜合徵,患者24小時尿蛋白

