流行病學
病理變化病因
妊娠合併慢性腎小球腎炎明確的病因尚未證實,但多推測與感染特別是病毒感染有關。另有報告得病前曾有接觸汽油、碳氫(烴)化合物史。故認為這些化學物質和(或)病毒可能是致病因子。
發病機制已公認腎臟發病原理為抗基底膜抗體型腎炎的免疫反應過程。由於某些發病因素原發性損傷肺泡間隔和肺毛細血管基膜後者刺激機體產生抗肺基膜抗體在補體等作用下引起肺泡一系列免疫反應。由於肺泡壁基膜和腎小球基底膜間存在交叉抗原,故內源性抗肺基膜抗體又能與腎小球基底膜起免疫反應,損傷腎小球。
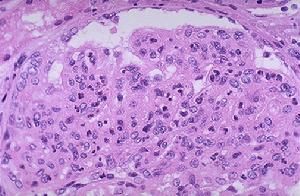
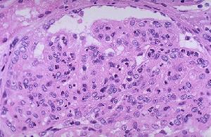
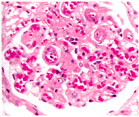
慢性腎小球腎炎病理改變與病因、病程和類型不同而異。可表現為瀰漫性或局灶節段系膜增殖膜增殖、膜性、微小病變、局灶硬化、晚期腎小球纖維化或不能定型除腎小球病變外,尚可伴有不同程度腎間質炎症及纖維化,腎間質損害加重了腎功能損害。晚期腎小球腎炎腎皮質變薄、腎小球毛細血管袢萎縮發展為玻璃樣變或纖維化,殘存腎小球可代償性增大腎小管萎縮等。
症狀
慢性腎小球腎炎本病臨床表現可多種多樣,自無症狀的蛋白尿或鏡下血尿到明顯的肉眼血尿、水腫、貧血高血壓或腎病綜合徵甚至尿毒症。
臨床上按照主要表現可分型如下:
1.普通型起病時可與急性腎炎相似,水腫、血尿及高血壓均很明顯以後病情暫時緩解,或呈進行性惡化,多數患者起病時可毫無症狀,經檢查尿才被發現本病。尿蛋白大多在3.5g/24h以下;尿中常有紅細胞甚至少許管型;血壓雖升高,但非主要表現。
2.腎病型此病的病理變化以基膜增生型為主。患者有顯著的蛋白尿與管型及水腫,尿蛋白每天排出量在3~3.5g以上。血漿蛋白降低,白蛋白與球蛋白比例倒置,膽固醇升高。
妊娠合併慢性腎小球腎炎3.高血壓型蛋白尿可以少量,伴有高血壓,血壓常持續升高,臨床表現很像原發性高血壓(又稱高血壓病)。
Kaplan根據患者臨床表現嚴重程度分為3型:Ⅰ型僅出現蛋白尿;Ⅱ型有蛋白尿和高血壓;Ⅲ型同時有蛋白尿、高血壓和氮質瀦留。
併發症:
若血壓高或中、重度腎功能不全者其孕期併發症發生率由40%上升至80%主要是重度妊娠期高血壓疾病、胎兒生長受限及貧血等,早產率由57%升至100%,圍生兒死亡率皆在100‰。
診斷
慢性腎炎多見於年輕婦女,過去有急性或慢性腎炎病史,症狀以蛋白尿為主,或伴有水腫、高血壓多見於妊娠20周前,因此診斷並不困難。
鑑別診斷
如果缺乏可靠的腎炎病史,或產前檢查時已達妊娠後期,則必須與妊高征、慢性腎炎合併妊高征、腎盂腎炎、原發性高血壓和體位性蛋白尿作鑑別。
1.妊高征本病發生於妊娠20周以後,妊娠前無水腫蛋白尿的病史。發病後多先有水腫,高血壓和蛋白尿發生較晚。不伴有明顯的尿沉渣異常產後6周~3個月多恢復正常。
2.腎盂腎炎腎盂腎炎的尿蛋白量一般在1~2g/24h,若>3g/24h,則多屬腎小球病變。尿常規檢查腎盂腎炎則以白細胞為主,有時有白細胞管型而腎小球腎炎可發現紅細胞較多有時有紅細胞管型。腎盂腎炎時尿液細菌培養陽性,並有低熱、尿頻等症狀有助於鑑別。
3.原發性高血壓本病以40歲以後發病率高,病情發展緩慢。在高血壓早期尿中一般不出現蛋白、管型及血液化學變化無腎功能減退,眼底檢查常以動脈硬化為主。
4.體位性(直立性)蛋白尿可在3%~5%青年中出現保持直立或脊柱前凸位置時,發生機會較多,可能與腎靜脈淤血也有關。本病尿蛋白一般健康搜尋不超過1g/d,無尿沉渣異常,無高血壓健康搜尋。平臥可使蛋白尿減輕或消失在晨起床前重複收集尿標本檢驗,可資鑑別。
檢查
妊娠合併慢性腎小球腎炎1.尿常規檢查常在孕前或妊娠20周前持續有蛋白尿而發現本病,在腎病型的尿蛋白最多慢性腎炎晚期,腎小球多數毀壞,蛋白漏出反而逐漸減少,因而尿蛋白較少不一定說明疾病的好轉,也不能以尿蛋白的多少作引產的標準健康腎臟應能濃縮使尿比重達1.020以上,而慢性腎炎晚期時因濃縮及稀釋能力減退常使尿比重固定於1.010左右。視病變輕重程度不同,尿中出現多少不等的紅、白細胞管型。
2.血常規慢性腎炎因蛋白質大量喪失和腎臟實質的毀損,使腎臟紅細胞生成素減少所以常伴有貧血屬於正常血紅蛋白及紅細胞型貧血。慢性腎功能不全伴有貧血者很難治療,宜少量多次輸血。
3.腎臟功能測定在疾病早期,腎功能受影響較少,至晚期各種腎功能如酚紅試驗、內生肌酐和尿素廓清即濃縮稀釋功能等均有不同程度的減退。
其它輔助檢查:
1.眼底檢查可見出血、滲出及典型符合腎炎之網膜炎。輕度慢性腎炎,眼底檢查可以正常。
2.腎臟活組織檢查國內已有些醫院在妊娠期做腎臟活組織檢查,此對明確診斷、了解病變程度有很大幫助但妊娠期做此檢查,各學者之意見不一,主要顧慮活檢出血不止反而弊多利少。
治療
組成妊娠前如果已有高血壓和蛋白尿血壓在150/100mmHg(20/13.3kPa)以上,或有氮質血症者均不宜妊娠一旦妊娠應及早進行人工流產,因為妊娠必將加重腎臟負擔,還容易並發妊高征,對母兒都非常不利Kaplan認為胎兒在宮內能存活多長時間,高血壓較氮質瀦留更為重要,血壓在150/100mmHg(20/13.3kPa)以上不宜妊娠,即使妊娠,最後因先兆子癇發生早,需要終止妊娠而引起胎兒死亡。
2.妊娠期
有些患者非常渴望孩子必須認真詳細檢查健康搜尋了解病情嚴重程度後做出適當決定,如病情輕者僅有蛋白尿或蛋白尿伴有高血壓,但血壓不超過20/13.3kPa可在醫護人員監護下繼續妊娠,但妊娠期要保證充足睡眠和休息,避免勞累、受涼、感染等;合適的營養選擇富含必需胺基酸的優質蛋白質,補充足量維生素,提高機體的抗病能力,積極防治妊高征,高血壓患者要減少鈉的攝入。必要時要住院治療密切觀察腎功能的變化隨訪尿常規,尿液比重,每周測血清肌酐尿素氮、尿酸的濃度。在觀察治療過程中,如腎功能進一步減退,或血壓上升到150/100mmHg(20/13.3kPa)以上不易控制時,亦應考慮終止妊娠,保全母體健康。Bear提出妊娠合併腎臟疾患,如血清肌酐含量<132.6μmol/L(1.5mg/dl),母兒預後好,如>141.4μmol/L(1.6mg/dl),則預後較差,故建議以血清肌酐含量141.4μmol/L為終止妊娠的指標。
慢性腎炎的孕婦如果經過治療妊娠達到36周時也應考慮終止妊娠,因為血壓突然升高往往發生在36周左右這也是胎兒死亡及腎功能惡化的時期凡孕36周前需終止妊娠者為促使胎兒肺表面活性物質的產生,可用地塞米松5mg,肌內注射,每8小時1次,共2天。
預後
妊娠合併慢性腎小球腎炎臨床資料表明血壓正常僅有輕度腎功能不全的婦女,妊娠期雖有尿蛋白排泄量的增多健康搜尋,但對腎功能無明顯影響;中重度腎功能不全者容易並發妊娠期高血壓疾病,進一步加重腎臟損傷,重症者有25%腎功能急劇惡化,以致在產後數月至1~2年內發展成終末期腎功能衰竭。固然慢性腎病病情不可避免地會隨病程延長而進展,但國內外資料均證明高血壓、妊娠期高血壓疾病是促使腎功能惡化的重要因素。此類患者的遠期預後尚須積累更多的資料。

