病理概述
SLE腎臟損害病理原因
狼瘡性腎炎病因1、體液免疫的變化:其中DNA和抗DNA抗體形成免疫複合物起主要作用,病毒觸發因素:較多的研究證實本病與一種RNA病毒——C型病毒有關,C型病毒一方面可能損害組織細胞,使之釋放出DNA具有抗原性;另一方面可能由於這種病毒具有逆轉錄酶,使病毒本身的RNA複製成DNA,而使人體產生的抗DNA,抗體既抗病毒複製產生的DNA又抗,人體DNA。細菌內毒素及脂多糖觸發因素:有人將細菌的脂多糖成分,注入小鼠觀察到可促使小鼠組織的DNA,向血循環釋放,並具有分裂素的作用,促進B淋巴細胞活化產生抗體。從而認為此類物質有促進DNA抗原抗體複合物生成的作
狼瘡性腎炎用。自體組織破壞釋放DNA:本病患者體內,存在著淋巴細胞的細胞毒性抗體中等分子量的可溶性DNA,免疫複合物經過血液循環至腎臟(或其他臟器)而沉積於腎小球
2.細胞免疫:抑制性T細胞功能及數量下降其原因是,患者血清中存在著細胞毒抗體(抗淋巴細胞或胸腺細胞抗體)從而破壞了T細胞抑制性,T細胞下降一方面可直接減小對抗體形成的抑制,另一方面可能因釋放淋巴因子以滅活輔助性T細胞的能力下降而輔助性T細胞,促進抗體產生的能力增加總的使機體體液免疫(抗體生成)旺盛。
3.遺傳因素的影響本病患者中有相同疾病家族史者占0.4%-3.4
病理學
腎臟解剖圖2.系膜病性腎小球腎炎(WHOⅡ型)病變局限於系膜區,光鏡下可無結構異常(Ⅱa型)或表現為系膜區單核細胞或系膜細胞增生(Ⅱb型)。免疫螢光顯示系膜區IgG、C3、C4、C1q,少數可見IgA、IgM呈顆粒狀沉積,偶見IgG呈線狀沉積。電鏡下可見系膜區電子緻密物沉積,腎小球上皮細胞足突呈節段性消失。本型常無腎小管、間質及血管的異常。
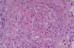
3.局灶性節段性增生性腎小球腎炎型(WHOⅢ型)本型常見,約占30%。光鏡下見在系膜病變基礎上半數以上腎小球正常,有病變的腎小球呈節段性細胞增生,可伴細胞壞死。免疫螢光檢查表現系膜區和毛細血管壁少量IgG、IgM、IgA、C1q、C3、C4,備解素呈顆粒狀沉積。電鏡下可見內皮下、系膜區電子緻密物沉積。
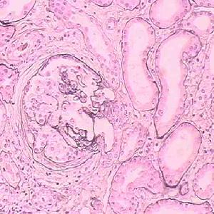
4.瀰漫性增生性腎小球腎炎型(WHOⅣ型)最嚴重而常見,約占半數以上。光鏡下幾乎所有的腎小球均有嚴重的改變,表現為系膜細胞和內皮細胞增生,白細胞聚集,許多細胞呈退行性改變,亦可有系膜細胞插入到基膜與內皮細胞之間,可有新月體形成。本型可出現“鐵絲圈樣病損及蘇木素小體,常提示狼瘡性腎炎的診斷。此外,可出現透明血栓,免疫螢光檢查可見腎小球所有區域IgG、IgM、IgA、C1q、C3、C4、C5-9,少數可有IgE呈顆粒狀沉積,特別是內皮下。電鏡下見顯著的電子緻密物沉積,主要見於內皮下及系膜區。
5.膜型狼瘡性腎炎(WHOV型)較少見。光鏡下表現可與特發性膜性腎小球腎炎相似(Va)或瀰漫性系膜病變(Vb)或伴局灶性細胞增生及硬化(Vc)或伴瀰漫性增生性腎炎改變(Vd)。免疫螢光示IgGIgM、IgA、C1q、C4、C3、C5~9沿毛細血管壁呈顆粒狀沉積,以IgG、C1q為多見,亦可見於系膜區。電鏡下可見系膜區、內皮下、小管間質等處電子緻密物沉積,這均提示LN的診斷。
6.腎小球硬化型(WHOⅥ型)病變以腎小球硬化為主,而缺乏其他病變。
7.血管異常及腎小管間質炎症血管異常多種多樣,以典型的高血壓動脈及小動脈改變最常見,以小動脈和進球小動脈為主,表現為血管壁血漿蛋白聚集,內皮細胞腫脹、破壞、管腔狹窄、堵塞,壞死性動脈炎少見。腎間質炎症細胞浸潤常見,常伴腎小管萎縮和壞死,腎小管基底膜變厚及間質、腎小管基底膜、管周毛細血管等部位沉積,這些小球外的沉積常與腎小球病變的活動及小球細胞增生的嚴重程度相關。
病理分型
2003年狼瘡性腎炎的分類標準將狼瘡性腎炎分為六型。
Ⅰ型為系膜輕微病變性LN:光鏡下表現基本正常,免疫螢光可見系膜區免疫複合物沉積。
Ⅱ型為系膜增生性LN:光鏡下可見系膜細胞增生或系膜基質增多,伴系膜區免疫複合物沉積,免疫螢光或電鏡下可見少量孤立的上皮下或內皮下沉積物。
Ⅲ型為局灶性LN:受累腎小球少於全部腎小球的50 %,可表現為活動或非活動性病變,局灶、節段或球性病變,毛細血管內或毛細血管外增生性病變。其中Ⅲ(A) 型為活動性病變,表現為局灶增生型LN;Ⅲ(A C) 型為活動性伴慢性病變,表現為局灶增生硬化性腎炎;Ⅲ(C) 型為慢性病變,表現為局灶硬化性腎炎。
Ⅳ型為瀰漫性LN:受累腎小球占全部腎小球的50 %以上,典型病例常有瀰漫性內皮下免疫複合物沉積,伴或不伴系膜病變。根據腎小球的病變分為瀰漫節段型LN(受累腎小球表現為節段性病變)和瀰漫性球型LN(受累腎小球表現為球性病變)。
ⅣS(A) 為活動性節段增生性LN,ⅣG(A) 為活動性球性增生性LN,ⅣS(AC)為活動性伴慢性節段增生硬化性LN,ⅣG(A C)為活動性伴慢性球性增生硬化性LN,ⅣS(C)為慢性節段硬化性LN,ⅣG(C) 慢性球性硬化性LN。
Ⅴ型為膜性LN:光鏡下可見上皮下免疫複合物沉積,伴或不伴系膜病變。免疫螢光或電鏡下可見球性或節段性上皮下連續性免疫複合物沉積,Ⅴ型常與Ⅲ型或Ⅳ型共同存在。
Ⅵ型為進行性硬化性LN:90 %以上的腎小球呈球性硬化。
活動性病變是指下列情形:毛細血管內細胞增生,核碎裂,纖維素樣壞死,腎小球基底膜破壞,細胞性或纖維細胞性新月體形成、白金耳等。
慢性病變是指存在節段性或全球性腎小球硬化、纖維性粘連、纖維性新月體形成。
檢查項目
狼瘡性腎炎患者在治療前及隨訪中應做以下化驗檢查:血常規,以了解有無貧血,白細胞減少或血小板減少;紅細胞沉降率(血沉);肝腎功能;自身抗體;補體;冷球蛋白;CD4/CD8T淋巴細胞;尿液檢查。醫生會根據病情有目的選擇化驗項目,目的是了解狼瘡活動性及腎臟損害的變化情況,以便於醫生調整用藥。
免疫學檢察:血清多種自身抗體陽性,γ-球蛋白明顯增高,血循環免疫複合物陽性,低補體血症,特別在活動期。血紅斑狼瘡細胞陽性,皮膚狼瘡帶試驗陽性。
重型活動性狼瘡性腎炎伴有可逆性的Ccr不同程度下降、血尿素氮和肌酐升高、血白蛋白降低或肝功轉氨酶增高;終末期狼瘡性腎炎Ccr明顯下降和血肌酐、尿素氮明顯升高。
影像學檢察:B超示雙腎增大提醒急性病變;部分病人合併肝、脾腫大或心包炎。
臨床表現
狼瘡性腎炎四、呈腎病綜合徵者,但尿中紅細胞不多腎功能穩定或腎活檢,顯示膜型狼瘡性腎炎應首選強的松2-4周后效果不佳時加用CTX,若伴有腎功能減退,嚴重高血壓腎活檢顯示腎小球增生明顯,或發生病理類型轉變時則應給予標準激素治療,加CTX衝擊治療
五、對於固定不變的蛋白尿,而無系統性紅斑狼瘡,表現者或氮質血症而腎臟病理,以慢性病變為主者,一般不要長期用強的松和細胞毒類藥物治療
六、終末期狼瘡性腎炎按慢性腎衰處理。
七、一般治療:包括休息,飲食,利尿,降血壓,抗凝和防治各種併發症等,應根據患者的病情參考,原發性腎小球疾病的治療。
八、中醫中藥辨證施治,可提高療效減少症狀和減少西藥的副作用
如何預防
狼瘡性腎炎1重視體質因素
系統狼瘡性腎炎,近親發病率高達5%一12%,同卵孿生發病率高達69%,狼瘡患者親屬中,其它自身免疫病,如類風濕皮肌炎,硬皮病乾燥症及牛皮癬等發病率也高。黑人和亞洲後裔發病率高於白種人,這些均提示狼瘡性腎炎受遺傳因素影響而女性多發,患者睪丸酮水平偏低,則說明內分泌因素,尤其是雌激素,在狼瘡患者體內的水平,與狼瘡性腎炎的發病有關,因此對於有自身免疫病發病基礎的紅斑狼瘡患者,包括親屬中有自身免疫病者,都應當高度警惕一旦患病,就應想到自身免疫病一旦患上自身免疫病,則應積極治療防止發生狼瘡性腎炎以致造成腎損害。
2積極治療病毒感染
近年實驗研究發現,狼瘡性腎炎病毒感染可能與系統性紅斑狼瘡的發生有關。因此我們應積極治療各種病毒感染,尤其是對於上呼吸道病毒感染,這樣的“小病”決不能掉以輕心因為“風為百病之長”許多大病都是以傷風感冒為始,發病因而危害人群的。
3注意藥物毒性
與狼瘡性腎炎有關的藥物,有肼苯噠嗪普魯卡因,醯胺異煙肼甲基,多巴氯普嗎嗪及奎尼丁等,尤以前二者為常見可能與藥物中,肼胺巰基團有關,因此,對於有狼瘡遺傳學基礎的狼瘡性腎炎患者,應注意到這些藥物可能對患者產生的毒性。
4避免日光曝曬
紫外線照射,加重狼瘡性腎炎病情,較為常見因為紫外線可使DNA轉化為胸腺嘧啶二聚體,而使抗原性增強,促使系統性紅斑狼瘡發生,因此,狼瘡性腎炎患者在日常生活中,應避免在強烈的日光下長時間曝曬,以減少紫外線過度照射造成的腎損害。
5飲食
狼瘡性腎炎--預防感染6運動
運動可以促進血液循環,增進心肺功能,保持肌肉、骨骼的韌性,對任何人都有助益,病人自不例外.(散步.氣功)不要過度疲勞.但關節發炎則不適宜活動。
7預防感染
患者因病情的影響或類固醇或免疫抑制劑的副作用影響,免疫能力普遍下降,非常容易受到細菌侵犯,而引起各器官的感染。常見的有呼吸道感染、泌尿道感染、腸胃道感染、及傷口的感染等問題。
8調整情緒
患者在突然的情境下被診斷為狼瘡性腎炎,對精神上是一個沉重的打擊,往往情緒低落,焦慮、憂鬱、氣憤、罪過、否認等情況接鍾而來。但情緒和疾病有著密不可分、相互影響的關係。患者就面臨著身體與心理的挑戰。要打贏這場戰爭,保持心情的愉快,有助於病情的改善。同時親朋好友要給予關愛和支持。
中醫治療
(1)分型論治
①熱毒熾盛;症見高熱不退,出血傾向明顯,煩渴飲冷,甚則昏譫抽搐,或見關節紅腫疼痛,舌紅絳,脈洪大或數。治宜清熱解毒,涼血消斑,方用犀角地黃湯合五味消毒飲加減。若見神昏譫語,可安宮牛黃丸、紫雪丹,抽搐加羚羊粉、鉤藤、全蠍,關節紅腫疼痛,可用宣痹湯加味。
②肝腎陰虛:兩目乾澀,手足心熱,口乾咽燥,發脫齒搖,腰膝酸痛,大便乾結,或低熱盜汗,尿赤灼熱,頭暈耳鳴,舌紅少苔,脈細數。治宜滋養肝腎,方用歸芍地黃湯或杞菊地黃湯加減。若尿熱尿血者,可用知柏地黃湯加馬鞭草、側柏葉、大,小薊;若頭暈耳鳴,加僵蠶,菊花,磁石。
治療③ 脾腎陽虛:症見全身乏力,少氣懶言,畏寒肢冷,腰膝酸軟,足跟疼痛,納少腹脹,尿清便溏,或水腫明顯,舌淡胖有齒痕,苔白,脈沉遲無力。治宜溫補脾腎,若無明顯水腫,可用香砂六君子湯或補中益氣湯加附子、肉桂、仙茅、仙靈脾等;若水腫明顯,偏脾陽虛者以實脾飲加減,偏腎陽虛者以真武湯加牛膝、車前子等。若偏於 脾腎氣虛時,則以健脾益腎為主,脾氣虛明顯者,用補中益氣湯或異功散加金櫻子、菟絲子、補骨脂;水腫重者,用防己黃芪湯或春澤湯;若腎氣虛明顯者,可用五子衍宗丸加黨參、黃芪。
④氣陰兩虛:症見倦怠乏力,少氣懶言,自汗畏風,易感冒,低熱盜汗,五心煩熱,口燥咽乾,舌質淡紅或偏紅,邊有齒痕,苔薄白,脈細或細數。治宜益氣養陰,用參芪地黃湯或大補元煎加減。若見陰陽兩虛者可用地黃飲子或參芪桂附地黃湯加減。
(2)其他治療:可服用雷公藤片、雷公藤多甙片,昆明山海棠片等。
診斷依據
1.sle診斷,參照美國風濕病學會1982年修訂的標準,11項中符合4項或以上者即可診斷。(附11項是:(1)蝶形紅斑皮疹;(2)盤狀紅斑;(3)光敏感;(4)口腔潰瘍;(5)多發性關節炎;(6)漿膜炎;(7)腎損害:蛋白尿、管形尿;(8)神經系統損害:癲癇或精神病;(9)血液系統病變:溶血性貧血,全血細胞減少;(10)免疫系統損害:le細胞或抗dna抗體或抗sm抗體陽性及抗核抗體陽性。)
狼瘡性腎炎2.腎損害明確,並可排除原發性腎小球疾病,如急、慢性腎炎等;或排除慢性活動性肝炎、痛風、混合性結締組織病、血小板減少性紫癜等。
中醫偏方
(1)三子代茶飲:菟絲子、金櫻子、五味子三味煎湯代茶頻飲。可消尿蛋白。
(2)銀花茶:銀花60克,水煎泡茶頻飲。有清熱解毒作用。
(3)蟲草鴨:鴨一隻,重1000克左右,去毛及內臟,蟲草15克、蘇葉6克、砂仁6克、生薑10克,填入鴨腹內,煮熟,少加食鹽,食肉喝湯。可治狼瘡性腎炎低蛋白血症水腫,有腎功能損害者。
(4)鯉魚湯:鯉魚一條,500克重,黃芪18克、冬瓜300克不去皮,陳皮lo克、茯苓15克、葫蘆皮15克,同煮,有利水作用,可治狼瘡性腎炎水腫。
(5)鹿角片:鹿角片加工成細末,開水沖服,治狼瘡性腎炎並見白細胞低下者。
(6)方藥:犀角地黃湯合五味消毒飲加減。藥用水牛角、生地、赤芍、丹皮、金銀花、野菊花、公英、地丁、玄參等。如神昏譫語,可加用安宮牛黃丸、紫雪丹之類;如抽搐,加羚羊角粉、鉤藤、全蠍等;夾瘀血明顯者,加桃仁、紅花、茜草、益母草、澤蘭等。

