症狀體徵
膽總管結石CT顯示疾病病因
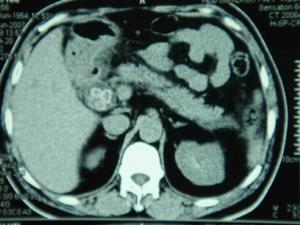
膽總管結石橫斷面2.原發性膽總管結石是發生在膽總管的原發性膽管結石,病因和形成機制尚未完全明了。研究結果認為這種結石的生成與膽道感染、膽汁淤滯、膽道寄生蟲病有密切關係。結石外觀多呈棕黑色、質軟、易碎、形狀各異、大小及數目不一。有的狀如細沙或不成形的泥樣,故有“泥沙樣結石”之稱。這種結石的組成是以膽紅素鈣為主的色素性結石。經分析其主要成分為膽紅素、膽綠素和少量膽固醇以及鈣、鈉、鉀、磷、鎂等礦物質和多種微量元素。在礦物質中以鈣離子的含量最高並易與膽紅素結合成膽紅素鈣。此外尚有多種蛋白質及黏蛋白構成網狀支架。有的在顯微鏡下可見寄生蟲的殼皮、蟲卵和細菌聚集等。
病理生理
膽總管結石B超診斷檢查
膽總管結石內鏡取出實驗室檢查:在急性梗阻性膽管炎時主要為白細胞增多和中性粒細胞增加等急性炎症的血液像,血膽紅素增高和轉氨酶增高等梗阻性黃疸和肝功受損的表現。若較長時間的膽管梗阻、黃疸或短期內反覆發作膽管炎肝功明顯受損,可出現低蛋白血症和貧血徵象。
其他輔助檢查:
1.X線平片膽總管的原髮結石和繼髮結石,分別是以膽色素和膽固醇為主的混合結石。X線平片不能顯示。
2.口服或靜脈膽道造影膽管的影像淺淡,難以作出準確診斷。
3.B型超音波檢查雖然價廉無創,對膽囊結石的準確率達98%,但因受十二指腸等空腔臟器的影響,對膽總管結石的準確率僅為50%左右,特別對十二指腸後段膽管難以顯示。假陽性及假陰性率均較高。
4.CT斷層掃描CT對膽總管結石的診斷優於B超,準確率可達80%左右。但難以顯示膽管系統病理改變和結石數量、大小、分布等狀況。
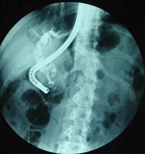
5.ERCP和PTC檢查均可清晰顯示膽管系統的全貌,能比較準確提供肝內外膽管和膽囊結石的大小、數量、位置以及肝內外膽管擴張、狹窄等病理改變狀況,是獲得術前準確診斷最重要的檢查方法。ERCP基本無創、併發症較少,PTC為有創、併發症稍多,可根據病人和病變的具體情況選擇。一般情況下多選擇ERCP檢查。
6.磁共振膽胰管造影(MRCP)無創、不需造影劑,可以良好顯示膽、胰管的管道系統。能顯示膽總管內結石,但不如ERCP或PTC的影像清晰。
鑑別診斷
膽總管結石位置圖1.傳染性肝炎患者有傳染的接觸史。在出現腹痛和黃疸以前常有明顯的先驅症狀如全身乏力、食欲不振等。其腹痛為肝區的鈍痛,多不放散。黃疸出現迅速而消退比較緩慢,程度深淺不定,范登白試驗呈雙相反應。本症患者起病初期即有體溫升高,但白細胞之增減不定,而淋巴細胞常有增加。肝功能試驗在病變初期即有明顯減退,頗為突出。
2.膽道蛔蟲病患者年齡一般較輕。多在30歲以下。發病突然,絞痛劇烈,有陣發性加劇且有特殊鑽頂感。發作時常伴有噁心嘔吐,常可吐出蛔蟲。黃疸一般多不明顯,除非至病程之晚期,通常亦無寒戰發熱。腹肌強直和腹壁壓痛也多不顯著。
3.胰頭癌患者年齡一般較大,多在50歲以上。發病隱晦,往往先出現黃疸而後方伴有腹痛(以往無相似的腹痛黃疸史)。黃疸屬進行性,可發展至甚深程度而無波動表現。其糞便因缺乏膽汁呈灰白色後,將始終為陶土狀;尿中尿膽素原也常為陰性,因阻塞往往是完全性。腹痛不常有,有腹痛者多為上腹部的持續性隱痛,往往向後背牽涉。即使病程已久,通常也多無感染的症狀,體溫和白細胞將始終正常;但其病變為進行性,至病程晚期常有消瘦和惡病質表現。范登白試驗為直接強陽性反應,其他肝功能試驗也符合阻塞性黃疸而無肝細胞之損害現象。總之,對一個黃疸患者,應首先確定黃疸的類型性質,然後再根據各方面的檢查確定其病變部位及原因。一般而論,在病變初期結合病史和化驗檢查確定黃疸的類型應無困難。如已確定為阻塞性黃疸,則病變在膽管內者最常見的是結石或寄生蟲,有時可為血塊或黏液;病變在膽管壁者多是手術後的瘢痕狹窄,有時可為膽胰管括約肌之痙攣,或為硬化性膽管炎;病變在膽管外者主要是胰頭癌,有時可為慢性胰腺炎或因胃癌、肝癌之轉移性淋巴結壓迫所致。此類不同病變均可引起阻塞性黃疸,通常均有手術指征,確實的病因往往在剖腹探查時即可明確,術前鑑別並不太重要。
需要特別指出,膽道長期阻塞後可引起肝細胞損害,而肝細胞有病變時也可引起肝內毛細膽管阻塞,因此范登白試驗二者均可呈雙相反應,其他肝功能試驗也都表現有一定損害,致使肝細胞性黃疸與阻塞性黃疸之鑑別為難。上述兩種不同原因的黃疸,因治療原則根本不同,前者需要嚴格的內科治療,後者必須及時手術,其鑑別診斷尤為重要。臨床上必須根據各方面資料全盤考慮,反覆推敲,才能得出正確的結論。
併發症狀
脫出結石2.膽源性肝膿腫由於肝膽管結石並發感染未能及時手術引流或肝內小肝管結石嵌頓所致化膿性小膽管炎,炎症波及周圍組織而形成。以多發性小膿腫多見。可有右上腹痛也可能沒有腹痛,表現為寒戰高熱,為弛張熱型,黃疸可有可無,病程一般較長。本病經過短期非手術治療未能奏效,應手術引流膽道,若為瀰漫性小膿腫,引流膽道即可。若為單個大膿腫或多發性膿腫外尚有較大的膿腫時,除作膽道引流外,同時要行膿腫引流。
3.膽道出血是原發性膽管結石的較嚴重的併發症。
4.膽源性肝硬化是原發性膽管結石的晚期併發症,屬於晚期膽道病。嚴重時伴有門靜脈高壓、脾大及脾功能亢進。除有肝膽管結石的症狀外,還有肝硬化和門靜脈高壓的表現。如果病人無門靜脈高壓症,則應儘早行膽道探查術,將肝內結石儘量取淨,一部分病人肝功能可望恢復。若伴有門靜脈高壓症則處理較複雜困難,病人情況允許可一期行膽道探查取石和脾切除手術,然後再行徹底的肝膽管結石手術來處理複雜的肝內病變。否則應行分期手術,首先作膽道探查取石,再次行門靜脈高壓手術,最後處理複雜的肝膽管手術。這類病人病情重,處理困難,病死率高,有時不管怎樣做手術都預後極差。因而對於肝膽管結石最好在沒有出現症狀或才出現症狀時即行手術,以減少肝功能損害。
5.膽管癌大多數學者認為膽管癌的發生與原發性膽管結石有關。特別是肝內膽管結石並感染者發生肝內膽管癌較多,又稱膽管細胞型肝癌。往往被原發性膽管結石的症狀所掩蓋,術前容易漏診。原發性膽管結石病人近來出現上腹痛發作頻繁並加劇,且局限於某一個部位。腹部查體右上腹或劍突下明顯壓痛,尚可捫及有壓痛的包塊,應懷疑此病。進一步作B超和CT檢查可同時發現肝內結石及肝內局限性或瀰漫性占位性病變,基本可明確診斷。這類病人一般AFP為陰性。由於為肝膽管結石反覆炎症纖維化增生所致,膽管細胞型肝癌多為硬癌,內有較多的纖維結締組織。主要為局部浸潤性生長,肝內跳躍性轉移及遠處轉移較少。湖南醫科大學附屬第二醫院肝膽外科近年手術發現17例膽管細胞型肝癌,均伴有肝膽管結石,其中13例位於左半肝和左肝外葉,4例在右前葉或右後葉。行膽道探查和肝葉或半肝切除術,其中10例已存活達3年以上,2例已存活2年,3例在1年左右。2例死亡於術後6個月及14個月。若腫塊巨大已累及周圍組織及鄰近器官,行腫塊大部切除,即減體積手術,也有較好療效。
6.膽源性胰腺炎原發性膽管結石合併急性胰腺炎大大少於繼發性膽管結石,可能與原發性膽管結石病人大多存在Oddi括約肌呈鬆弛狀態有關。
流行病學
膽總管結石確診治療方案
膽總管結石治療藥一般情況下,應儘量避免急診手術。採用非手術措施,控制急性炎症期,待症狀緩解後,擇期手術為宜。經強有力的抗炎、抗休克、靜脈輸液保持水、電解質和酸鹼平衡、營養支持和對症治療,PTCD或經內鏡乳頭切開取石,放置鼻膽管引流減壓,多能奏效。經非手術保守治療12~24h,不見好轉或繼續加重,如持續典型的Charcot’s三聯征或出現休克,神志障礙等嚴重急性梗阻性化膿性重症膽管炎表現者,應及時行膽道探查減壓。膽總管結石外科治療原則和目的主要是取淨結石、解除梗阻,膽流通暢,防止感染。
1.經內鏡Oddi括約肌切開術或經內鏡乳頭切開術經內鏡Oddi括約肌切開術(endoscopicsphincterotomy,EST)或經內鏡乳頭切開術(endoscopicpapillectomy,EPT)適於數量較少和直徑較小的膽總管下段結石。特別是繼發性結石,多因結石小、數量少,容易嵌頓於膽總管下段、壺腹或乳頭部。直徑1cm以內的結石可經EPT或EST取出。此法創傷小,見效快,更適於年老、體弱或已做過膽道手術的病人。經纖維內鏡用膽道子母鏡取石,需先行EST,然後放入子母鏡,用取石網籃取石。若結石較大,應先行碎石才能取出。此法可以取出較高位的膽管結石,但操作比較複雜。
2.開腹膽總管探查取石仍然是治療膽總管結石的主要手段。採用右上腹經腹直肌切口或右肋緣下斜切口都能滿意顯露膽總管。開腹後應常規觸捫探查肝、膽、胰、胃和十二指腸等相關臟器。對於擇期手術,有條件者在切開膽總管之前最好先行術中膽道造影或術中B超檢查,進一步明確結石和膽道系統的病理狀況。尤其原發性膽總管結石,多數伴有肝內膽管結石或膽管狹窄等改變,需要在術中同時解決。切開膽總管取出結石後,最好常規用纖維膽道鏡放入肝內外膽管檢查和取石。直視下觀察肝膽管系統有無遺留結石、狹窄等病變並儘可能取淨結石。然後用F10~12號導尿管,若能順利通過乳頭進入十二指腸並從導尿管注入10ml左右的生理鹽水試驗無誤,表明乳頭無明顯狹窄。如果F10導尿管不能進入十二指腸,可用直徑2~3mm的Bakes膽道擴張器試探。正常Oddi乳頭可通過直徑3~4mm以上的擴張器,使用金屬膽道擴張器應從直徑2~3mm的小號開始,能順利通過後逐漸增大一號的擴張器。隨膽總管的彎度輕柔緩慢放入,不可猛力強行插入,以免穿破膽總管下端形成假道,發生嚴重後果。膽總管明顯擴張者可將手指伸入膽總管探查。有時質軟、泥樣的結石可以黏附在擴張膽管一側的管壁或壺腹部,不阻礙膽道探子和導尿管通過,此時手感更為準確。還應再次強調,無論採用導尿管、Bakes擴張器,或手指伸入探查,都不能準確了解有無膽管殘留結石或狹窄,特別是肝內膽管的狀況。而術中膽道鏡觀察和取石,可以彌補這一不足,有效減少或避免殘留結石。北京大學第三醫院手術治療1589例原發性肝膽管結石病例,單純外科手術未使用膽道鏡檢查取石的683例中,殘留結石達42.8%(292/683)。術中術後聯合使用膽道鏡檢查碎石取石的906例中,殘留結石2.1%(19/906)。因此擇期膽道探查手術,常規進行膽道鏡檢查取石具有重要意義。膽總管切開探查後,是否放置膽管引流意見不一致。認為不放置膽管引流,僅適於單純性膽總管內結石(主要是繼髮結石),膽管系統基本正常。確切證明無殘留結石、無膽管狹窄(特別是無膽總管下段或乳頭狹窄)、無明顯膽管炎等少數情況,可以縮短住院時間,避免膽管引流的相關併發症。嚴格掌握適應證的情況下以即期縫合膽總管。在縫合技術上最好使用無創傷的帶針細線,準確精細嚴密縫合膽總管切口,預防膽汁溢出。但應放置肝下腹腔引流,以便了解和引出可能發生的膽汁溢出。
膽總管結石手術3.腹腔鏡膽總管探查取石主要適於單純性膽總管結石,並經術前或術中膽道造影證明確無膽管系統狹窄和肝內膽管多髮結石者。因此這一方法多數為繼發性膽總管結石行腹腔鏡膽囊切除術時探查膽總管。切開膽總管後多數需要經腹壁戳孔放入纖維膽道鏡用取石網籃套取結石,難度較大,需要有熟練的腹腔鏡手術基礎。取出結石後可根據具體情況決定直接縫合膽總管切口或放置“T”形管引流。
4.膽總管下段狹窄、梗阻的處理無論原發性或繼發性膽總管結石並膽總管明顯擴張者,常有並存膽總管下端狹窄梗阻的可能。術中探查證實膽總管下端明顯狹窄、梗阻者,應同時行膽腸內引流術,建立通暢的膽腸通道。
(1)膽總管十二指腸吻合術:手術比較簡單、方便、易行,早期效果較好,過去常被採用。但因這一術式不可避免發生膽道反流或反流性膽管炎,反覆炎症容易導致吻合口狹窄,復髮結石,遠期效果欠佳。特別是吻合口上端膽管存在狹窄或肝內膽管殘留結石未取淨者,往往反覆發生嚴重膽管炎或膽源性肝膿腫。因此,膽總管十二指腸吻合術今已少用。多主張僅用於年老、體弱、難以耐受較複雜的手術並已明確吻合口以上膽管無殘留結石、無狹窄梗阻者。吻合口徑應在2~3cm以上,防止日後回縮狹窄。
(2)膽總管十二指腸間置空腸吻合術:將一段長20~30cm帶血管的游離空腸兩端分別與膽總管和十二指腸吻合,形成膽總管與十二指腸間用空腸架橋式的吻合通道。雖然在與十二指腸吻合處做成人工乳頭或延長空腸段達50~60cm,仍難以有效防止膽道反流並易引起膽汁在間置空腸段內滯留、增加感染因素。手術過程也比較複雜,遠期效果和手術操作並不優於膽總管空腸吻合術。
(3)膽總管空腸Roux-en-Y吻合術:利用空腸與膽總管吻合,容易實現3~5cm以上的寬大吻合口,有利於防止吻合口狹窄。空腸的游離度大、操作方便、靈活,尤其並存肝總管、肝門以上肝膽管狹窄或肝內膽管結石者,可以連續切開狹窄的肝門及左右肝管乃至Ⅲ級肝膽管,解除狹窄,取出肝內結石,建立寬暢的大口吻合。適應範圍廣、引流效果好。輔以各種形式的防反流措施,防止膽道反流和反流性膽管炎,是最常用的膽腸內引流術式。
(4)Oddi括約肌切開成形術:早年較多用於膽總管末端和乳頭狹窄病人,切開十二指腸行Oddi括約肌切開、成形。實際上如同低位膽總管十二指腸吻合,而且操作較十二指腸吻合複雜、較易發生再狹窄,遠期效果並不優於膽總管十二指腸吻合術。特別是近年來EST成功用於臨床和逐漸普及,不開腹、創傷小、受歡迎。適於Oddi括約肌切開的病例,均可採用EST代替,並能獲得同樣效果,因此開腹Oddi括約肌切開成形術已極少採用。
(5)中西醫結合非手術治療:一般性膽管炎發作在有力的抗炎、保守治療過程中使用一些中藥方劑舒肝、利膽、解痙、止痛作為輔助治療,有一定效果。中西醫結合排石法,對於結石小、數量少、不伴膽管狹窄、Oddi括約肌功能正常者,曾有排石成功的報導。但較大的結石,不能排出,多髮結石難以排淨,並易再發。特別是明顯膽管梗阻併發重症膽管炎、不明結石數量和大小、是否存在膽管狹窄等情況下,經非手術治療不能在短時間內緩解、好轉者,仍應及時進行膽總管手術探查引流,以免發展成嚴重的膽源性感染性休克等嚴重後果。
多發人群
1、大多數的女性
膽總管結石病人中女性占多數,其原因是由於女性身體中雌激素水平高,會影響肝內葡萄糖醛酸膽紅素的形成,使非結合膽紅素增高;雌激素又影響膽囊排空,引起膽汁淤滯,這樣極易形成結石。絕經後用雌激素者,膽總管結石發病率增多。
2、肝硬化的病人
肝硬化病人膽總管結石的發生率明顯高於正常人,這膽總管結石與肝硬化病人身體中對雌激素滅活功能降低,雌激素水平較高,以及又有慢性溶血,膽囊收縮功能低下,膽囊排空不暢、膽道靜脈曲張、血中膽紅素升高等多種因素有關。
3、體形超重的肥胖者
體重超過正常標準15%者,膽總管結石的發病率比正常人高5倍。肥胖者大多脂肪和膽固醇攝入過多,加之肥胖者大多活動少,易生膽總管結石。
4、飲食偏葷、偏甜及不吃早餐者
飲食偏葷喜甜者,其脂肪和膽固醇攝入多,易形成膽固醇結石;甜食過多又促進胰島素分泌,會加速膽固醇沉積;經常不吃早餐會使膽酸含量減少,膽汁濃縮,利於結石形成。
5、體內有蛔蟲者
6、具有家族病史的遺傳患者
此外,遺傳因素影響膽總管結石的發生。故家裡的直系親屬如父母、兄弟姐妹或子女患有膽結石者,也是高危發生者。
