描述
急性化膿性膽管炎解剖圖症狀體徵
急性化膿性膽管炎造影檢查腹痛比較常見,為本病的首發症狀。常有反覆發作的病史。疼痛的部位一般在劍突下和(或)右上腹部,為持續性疼痛陣發性加重,可放射至右側肩背部。疼痛的輕重程度不一,因膽管下端結石和膽道蛔蟲引起的腹痛非常劇烈,而肝門以上的膽管結石,以及腫瘤所致膽道梗阻繼發感染所致的APC,一般無劇烈腹痛,僅感上腹部或右上腹部脹痛、鈍痛或隱痛,通常可以忍受。
發熱是最常見的症狀,除少數病人因病情危重,出現感染中毒性休克,體溫可以不升外,一般APC患者均有發熱,體溫可高達40℃以上,持續高熱。部分
急性化膿性膽管炎腸鏡圖片病因
急性化膿性膽管炎檢查1.膽管結石膽管結石是引起APC的最常見原因,占80%以上。它分為原發性膽管結石和繼發性膽管結石。原發性膽管結石主要是“膽紅素鈣”結石,在中國多見於農村地區,尤其是四川等地發病率為高。肝內膽管和肝外膽管均可以發生,在膽道手術和屍檢中常見到結石同時伴有膽管狹窄。繼發性膽管結石多為膽固醇結石,主要來自於膽囊結石,由於各種原因引起膽囊收縮,將小結石排入膽道。膽管結石引起膽道梗阻,繼發細菌感染而發生急性化膿性膽管炎。膽管炎症狀的輕重與膽管結石的數目和結石的大小不成比例,但與膽道梗阻的程度和細菌的毒力有密切的關係,臨床上常常見到膽管明顯擴張,膽管內有多塊較大的結石,患者並沒有嚴重膽管炎的表現,相反,有的病人只有一塊結石嵌頓在膽總管下端,病人出現劇烈的腹痛和嚴重的中毒症狀。膽囊結石一般不引起膽管炎,只有位於膽囊頸部和膽囊管結石嵌頓,壓迫肝總管和(或)膽總管,即Mirizzi綜合徵時才引起膽管炎。
2.膽道寄生蟲膽道寄生蟲是引起APC的又一個常見原因,常見的寄生蟲有膽道蛔蟲,膽道華支睪吸蟲等,其中最常見的是膽道蛔蟲症,它是腸道蛔蟲病的併發症。在中國,尤其是農村地區腸道蛔蟲的感染高達50%~90%。當胃腸功能紊亂、飢餓、驅蟲治療不當或胃酸缺乏的患者,蛔蟲容易鑽入膽道;另外,蛔蟲喜歡鹼性環境,並有鑽孔的習性,因此,腸道蛔蟲很容易進入膽道,引起膽道不完全性梗阻,同時刺激Oddi括約肌,引起括約肌痙攣進一步加重膽道梗阻,臨床上出現劇烈的腹痛。蛔蟲進入膽道的同時將細菌帶入膽道,在膽道梗阻,膽汁淤積的情況下,細菌大量生長繁殖,便引起急性化膿性膽管炎。
3.腫瘤腫瘤是引起APC的重要原因,主要是膽道及壺腹周圍的腫瘤,以惡性腫瘤居多。腫瘤的生長引起膽道梗阻,膽汁排泄不暢,淤積的膽汁繼發細菌感染而引起APC。值得注意的是,在膽道梗阻原因不清時,為了明確診斷,施行膽道侵入性檢查,如ERCP檢查時極容易將細菌帶入膽道,患者在檢查結束後即出現腹痛、發熱等一系列急性膽管炎的症狀。APC的出現給腫瘤的治療帶來極大困難,增加了手術的危險性,甚至使病人錯過根治性切除的時機。因此,在梗阻性黃疸的患者,疑為膽道或壺腹周圍的腫瘤時,ERCP等膽道侵入性檢查應特別慎重,如必須進行,可同時放入鼻膽管引流,以預防APC的發生。對於十二指腸乳頭部腫瘤,可採用十二指腸鏡下觀察及切取活體組織做病理檢查,不做逆行胰膽管造影。
4.膽管狹窄在手術和屍檢中通常可見到APC患者存在有膽管狹窄,常見的有:膽總管下端狹窄,肝門部膽管及肝內膽管狹窄,狹窄可以是一處,也可以有多處狹窄,狹窄的輕重程度不等,在狹窄的上段膽管擴張,多伴有結石存在。膽管狹窄還見於醫源性膽管損傷,膽腸吻合口狹窄及先天性膽管囊狀擴張症等。膽管狹窄造成膽汁排泄不暢,容易遭致細菌感染引起急性化膿性膽管炎。膽道感染的細菌以需氧革蘭陰性桿菌檢出率最高,其中以大腸埃希桿菌、變形桿菌、銅綠假單胞菌和克雷白桿菌最多,革蘭陽性球菌中以糞鏈球菌和葡萄球菌較多。膽汁中厭氧細菌的感染尤其受到重視,其中以脆弱桿菌為主,據報導細菌培養陽性率40%~82%,其差異與培養和分離方法、培養技術有關。大劑量抗生素套用後的膿性膽汁也可以無細菌生長。膽汁中細菌的來源主要是上行性感染,即腸道細菌經十二指腸進入膽道;也可以通過血路感染,主要通過門靜脈,見於腸炎、壞疽性闌尾炎等疾病;身體其他部位的化膿性感染灶也可以通過血循環引起肝膿腫和膽道感染。膽汁中革蘭陰性桿菌裂解釋放出一種脂多糖,具有很強的毒性作用,稱為內毒素,它可以通過毛細膽管肝細胞屏障或膽小管靜脈逆流入血,引起內毒素血症。內毒素直接損害細胞、引起血細胞和血小板凝集,血栓形成,損害毛細血管內皮細胞,使其通透性增加,這種微血管損害可遍及全身各重要器官,引起中毒性休克和多臟器功能不全。
病理生理
膽總圖APC時除引起膽管及肝臟損害外,炎症還可波及其周圍組織及臟器,手術及屍檢中可見到膽原性肝膿腫附近出現化膿性感染、膈下膿腫、局限性腹膜炎。有時炎症可波及到胸腔引起右側急性化膿性胸膜炎及右下肺炎等。APC還可以引起急性間質性肺炎、急性間質性腎炎、局灶性化膿性腎炎及膀胱炎、急性脾臟炎及急性化膿性腦膜炎等各重要臟器的損害,並可以發生瀰漫性血管內凝血(DIC)及全身性出血等嚴重損害。
診斷檢查
急性化膿性膽管炎造影圖片1.精神症狀。
2.脈搏超過120次/min。
3.白細胞計數超20×109/L。
4.體溫高於39℃或低於36℃。
5.膽汁為膿性,切開膽管時膽管內壓力明顯增高。
6.血細菌培養陽性。
這個診斷標準已試行了近20年,它對臨床工作有實際的指導意義,有利於避免盲目性,及時救治病人,有效降低病死率。分清重症急性膽管炎與一般膽管炎的界限和它們的不同含義,把救治工作提到了新的高度、新的水平。
實驗室檢查:
1.白細胞計數80%的病例白細胞計數明顯升高,中性粒細胞升高伴核左移。但在重症病例或繼發膽源性敗血症時,白細胞計數可低於正常或僅有核左移和中毒顆粒。
2.膽紅素測定血清總膽紅素、結合膽紅素的測定和尿膽原、尿膽紅素試驗,均表現為阻塞性黃疸的特徵。
3.血清酶學測定血清鹼性磷酸酶顯著升高,血清轉氨酶輕度升高。如膽管梗阻時間較長,凝血酶原時間可延長。
4.細菌培養在寒戰、發熱時採血作細菌培養,常呈陽性。細菌種類和膽汁中的一致,最常見細菌為大腸埃希桿菌、克雷白桿菌、假單胞菌、腸球菌和變形桿菌等。在約15%膽汁標本中可見到厭氧菌,如脆弱類桿菌或產氣莢膜桿菌。
其他輔助檢查:
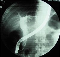
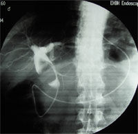
1.膽管造影多採用PTC術,具有診斷和治療的雙重作用。可以發現擴張的膽管和梗阻的部位、原因,但嚴重休克病人一般不宜立即作此項檢查。
2.CT和MRI檢查當高度懷疑肝內外膽管梗阻而B超檢查未能確立診斷時,可行CT或MRI檢查。CT或MRI對於明確梗阻部位、引起梗阻的原因明顯優於B超檢查,其準確率可達90%以上。
3.超音波檢查B超檢查已成為首選的檢查方法。探查膽囊結石、膽總管結石及肝內膽管結石的診斷符合率分別為90%、70%~80%和80%~90%。可發現結石阻塞部位的膽管和(或)肝內膽管擴張,並可了解膽囊的大小、肝臟大小和有無肝膿腫形成等。
鑑別診斷
對於典型病例一般較易作出診斷,但應與以下疾病相鑑別。
1.消化性潰瘍穿孔患者有潰瘍病史,腹肌呈板狀強直,肝濁音區縮小或消失,膈下有游離氣體等可確診。
2.膈下膿腫B超檢查可發現膿腫的部位和大小,CT檢查能可靠定位,並可看出膿腫與周圍臟器的關係。
3.急性胰腺炎血、尿澱粉酶或血清脂肪酶升高。B超檢查可發現胰腺呈局限性或瀰漫性增大可與之鑑別,必要時可行CT檢查進一步確定病變部位和程度。
4.肝膿腫B超、CT等影像學檢查與急性化膿性膽管炎易於鑑別。
5.右下細菌性肺炎可通過其典型症狀、體徵及胸部X線檢查確診。
治療方案
急性化膿性膽管炎治療方案1.非手術治療在疾病早期,尤其是急性單純性膽管炎,病情不太嚴重時,可先採用非手術方法。有75%左右的病人,可獲得病情穩定和控制感染,而另25%病人對非手術治療無效,並由單純性膽管炎發展成急性梗阻性化膿性膽管炎,應及時改用手術治療。非手術治療包括解痙鎮痛和利膽藥物的套用,其中50%硫酸鎂溶液常有較好的效果,用量為每次30~50ml服用,或10ml,3次/d,胃腸減壓也常套用;大劑量廣譜抗生素的聯合套用很重要,雖在膽管梗阻時膽汁中的抗生素濃度不能達到治療所需濃度,但它能有效治療菌血症和敗血症,常用的抗生素有慶大黴素、氯黴素、氨苄西林(氨苄青黴素)和第3代頭孢菌素等,最終還須根據血或膽汁細菌培養以及藥物敏感試驗,再調整合適的抗生素。如有休克存在,應積極抗休克治療;如非手術治療12~24h後病情無明顯改善,應即進行手術;即使休克不易糾正,也應爭取手術引流,因只有膽管梗阻解除後,休克才能得到糾正。
(1)一般治療:胃腸減壓可以減輕腹脹、減輕嘔吐以及對膽汁分泌的刺激。在診斷明確後可給予止痛解痙藥,如肌注阿托品、山莨菪鹼或哌替啶(度冷丁)。急性化膿性膽管炎病人多有脫水,應適當補充液體,靜脈輸入維生素C和維生素K。
(2)抗休克治療:首先儘快補充血容量,可用靜脈輸液、輸血。若血壓仍偏低,可選用多巴胺等升壓藥物治療,尿少時套用此藥物尤為必要。少數病人一旦停用升壓藥後,血壓又趨下降,遇此情況,待血壓上升後,將藥物濃度逐漸減少,待血壓穩定後再停用,有時需維持用藥2~3天。有些病人出現代謝性酸中毒,經輸液、糾正休克後酸中毒即可糾正,有時仍需適量套用鹼性藥物來糾正。
(3)抗感染:膽道感染選用抗生素的原則是根據抗菌譜、毒性反應、藥物在血液中濃度及膽汁中排出多少而選擇,理論上抗生素的選擇應根據血培養的藥敏結果。在細菌培養未出結果前,抗生素的選擇主要根據臨床經驗及膽汁中最常見的細菌情況而採取聯合用藥的方法,包括抗需氧菌和厭氧菌的藥物。需氧菌主要是大腸埃希桿菌,可選用慶大黴素、妥布黴素、廣譜青黴素或者第二、三代頭孢菌素(如頭孢曲松、頭孢哌酮等)。此外,喹諾酮類抗生素及碳青黴烯類(如亞胺培南-西司他丁,商品名為泰能)較敏感。甲硝唑對厭氧菌有較強的殺菌作用,抗菌譜廣,膽汁中濃度高。近年來,新型製劑替硝唑已套用於臨床,未發現明顯的胃腸道副作用。
(4)腎上腺糖皮質激素:大劑量的腎上腺皮質激素能改善毛細血管的通透性,減少炎症部位的體液滲出和細胞的聚集,有助於炎症的消退,減輕細菌毒素對重要器官的損害,解除血管痙攣改善微循環,增強血管對升壓藥物的反應,因而多數學者主張對急性化膿性膽管炎的病人套用腎上腺糖皮質激素治療中毒性休克,常用劑量為氫化可的松200~300mg/d或地塞米松15~20mg/d,隨液體靜脈滴注。
(5)預防腎功能不全:升壓藥、抗生素的選擇,應避免套用減少血容量或有腎毒性的藥物,在合併有腎功能不全的患者,可以給甘露醇利尿,促進毒物排出。如已有腎衰,要考慮儘早套用腎透析治療。
2.手術治療對病情較嚴重,特別是黃疸較深的病例,應及早手術治療。手術死亡率可高達25%~30%。手術方法應力求簡單有效,主要是膽管切開探查和引流術。應注意的是引流管必須放在膽管梗阻的近側,在梗阻遠側的引流是無效的,病情並不能得到緩解。如病情條件允許,還可切除有炎症的膽囊,待病人渡過危險期後,再徹底解決膽管內的病變。
(1)外科手術治療:手術治療主要適用於:
①經非手術治療12~24h後病情仍無改善者。
②休克出現較早且發展較快,難以糾正者。
③病情一開始就較嚴重,全身中毒症狀重並伴有較深黃疸者。
(2)內鏡治療:對於膽管炎病因不明者;非手術治療24~36h無效或病情加重者;年齡較大,伴發病較多或重,手術麻醉風險較大者;有多次膽道手術史者,均可行急診內鏡膽道減壓引流,包括十二指腸乳頭括約肌切開術並取石,或經鼻胃管或內鏡導管(鼻膽管)引流膽汁。有研究顯示內鏡治療確實有效,並可降低病死率。急性膽管炎行急診內鏡EST和取石的指征為:
①結石嵌頓或膽總管遠端結石,如不取出則無法有效放置鼻膽管引流減壓。
②患者一般情況尚可,無血流動力學及凝血機制異常。
③結石較少、較小,1~3枚,小於1.0cm,估計易取出。急診內鏡取石後應常規放置鼻膽管引流。在急診內鏡作EST有利於膽汁引流和結石取出和排出,也有利於胰液的引流,降低胰管壓力,減少胰腺炎的發生。由於引流通暢可有效預防結石復發和膽道感染復發。但在急診情況下,治療原則應以有效膽道減壓引流為主,不應一味追求徹底治癒。
(3)經皮肝穿刺膽道引流(PTCD):本法對高位或低位膽管梗阻都適用,且療效較好,穿刺應在B超引導下或X線下進行,還可經引流導管進行沖洗和灌注有效的抗生素治療。
預後及預防
急性化膿性膽管炎病理圖片預防:急性化膿性膽管炎是肝膽管結石、膽道蛔蟲症的嚴重併發症,故該病的一級預防主要是針對肝膽管結石及膽道蛔蟲的防治。①防治肝膽管結石,肝膽管結石的預防關鍵在於預防及消除致病因素。而已確診為肝膽管結石的病人,則應高度警惕本病的發生,尤其在並發膽道感染時應更積極地防治。早期即套用大劑量敏感抗生素抗感染,注意水、電解質及酸鹼平衡,加強全身支持治療控制膽道感染。在全身情況允許的情況下儘早手術,去除結石,通暢引流,從而達到預防AOST的發生。②防治膽道蛔蟲症。蛔蟲進入膽道後造成膽道不同程度的梗阻,使膽道壓力增高,當並發細菌感染時,可誘發AOST。另外,膽道蛔蟲症也是肝膽管結石形成的重要因素。因此,防治膽道蛔蟲症是預防AOST的極其重要的方面。主要是注意飲水、飲食衛生,防治腸道蛔蟲病。一旦確診即行驅蛔治療,如已確診為膽道蛔蟲症,則應儘快治療。給予鎮痛、解痙、控制感染,促使蛔蟲自行從膽道退出。另外,可作十二指腸內鏡檢查,用圈套器將部分進入膽總管口的蛔蟲套住拉出體外。治療無效時方考慮手術治療。
併發症
1.菌血症部分病人可出現高熱、寒戰的菌血症徵象。
2.黃疸其發生率約占80%。黃疸出現與否及黃疸的程度,取決於膽道梗阻的部位和梗阻持續的時間。
3.腹膜炎有炎性滲出的患者,可出現右下腹膜炎徵象。

