簡介
MOF在概念上應注意以下幾點:①原發的致病因素是急性的,繼發的受損器官遠離原發損害的部位;②從原發損害到發生MOF,往往有一間隔期,可為數小時或數天;③受損器官原來的功能基本正常,一旦阻斷其發病機制,功能障礙是可逆的;④在臨床表現上,各器官功能障礙的嚴重程度不同步,有的器官已呈現完全衰竭(如無尿性腎衰),有的器官則可為臨床不明顯的“化學性”衰竭(如血轉氨酶升高)。MOF的病死率很高,並隨衰竭器官的數目增加而增高。累及1個器官者的病死率為30%,累及2個者的病死率為50%-60%,累及3個以上者的病死率為72%-100%。病死率還與病人的年齡、病因和基礎病變等因素有關。
病 因
1.嚴重創傷:多發性創傷、大面積燒傷、擠壓綜合徵等。
2.嚴重感染:如急性梗阻性化膿性膽管炎、嚴重腹腔感染、繼發於創傷後的感染等。
3.外科大手術:如心血管手術、胸外科手術、顱腦手術、胰十二指腸切除術等。
4.各種類型的休克。
5.各種原因引起的低氧血症:如吸入性肺炎及急性肺損傷等。
6.心跳驟停 復甦不完全或復甦延遲。
7.妊娠中毒症。
8.其它:如急性出血性壞死性胰腺炎、絞窄性腸梗阻、大量快速輸血、輸液等。
9.有的病人可能存在一些潛在的易發因素:如高齡、免疫功能低下、營養不良、慢性疾病及器官儲備功能低下等。
發病機制
MOF的發病機理非常複雜,多數觀點認為,儘管病因多種多樣,導致MOF發生髮展的機制是共同的。當機體經受打擊後,發生全身性自我破壞性炎性反應過程,稱為全身性炎性反應綜合徵(Systemic Inflammatory Response Syndrome,SIRS)。在感染或無感染的情況下均可發生SIRS,SIRS最終導致MOF。
1.微循環障礙
2.嚴重感染
3.腸道細菌與內毒素移位
病理改變
(一)MOF病理生理基礎
1..應激反應
2.氧代謝障礙
3. 代謝紊亂
4.凝血機制障礙
(二)各器官的病理生理特點:
1.肺功能障礙:肺是MOF發病過程中最容易和最早受到損害的器官。
(1)肺泡毛細血管膜通透性增加
(2)肺泡Ⅱ型細胞代謝障礙
(3)肺血管調節功能障礙
(4)肺微循環障礙
2.腎功能障礙:腎血流灌注不足,以及毒素和炎性介質引起的組織損傷是造成MOF時腎功能障礙的主要原因。
3.胃腸道功能障礙:其病理生理基礎是胃腸道黏膜屏障功能損害,由應激情況下胃腸道的微循環障礙,黏膜上皮細胞缺血,黏膜通透性增加造成。這可促使腸內細菌移位,誘發SIRS和加劇MOF。
4.肝功能障礙:肝臟在代謝、解毒、免疫、凝血等方面具有重要功能,一旦遭受低血流灌注、炎性介質、細菌及內毒素等損害而發生功能障礙。①代謝障礙②免疫系統③凝血系統
5.心功能障礙:由於機體的調節功能和心臟本身具有的儲備能力,心功能障礙多在MOF較晚期時才趨於明顯。
導致心室功能障礙的主要病理生理因素有:
①冠狀動脈血流減少
②內毒素對心肌的毒性
③心肌抑制因子
④心臟微循環障礙
臨床表現
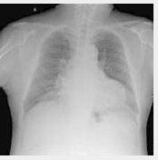
(一)呼吸系統:早期可見呼吸頻率(RR)加快>20次/分,吸空氣時動脈氧分壓(PaO2)下降≦70mmHg,動脈氧分壓與吸入氧濃度之比(PaO2/FiO2)>300。X線胸片可正常。中期RR>28次/分,PaO2≦60mmHg,動脈二氧化碳氧分壓(PaCO2)<35mmHg ,PaO2/FiO2<300。胸片可見肺泡實性改變(≦1/2肺野)。晚期則呼吸窘迫,RR>28次/分,PaO2≦50mmHg,PaCO2>45mmHg,PaO2/FiO2<200 。胸片肺泡實性改變加重(≧1/2肺野)。
(二)心臟:由心率增快(體溫升高1℃,心率加快15-20次/分)、心肌酶正常,發展到心動過速、心肌酶(CPK、GOP、LDH)升高,甚至室性心律失常、Ⅱ-Ⅲ度房室傳導組滯、室顫、心跳停止。
(三)腎臟:輕度腎功能障礙,在無血容量不足下,尿量能維持40ml/h,尿鈉、血肌酐可正常。進而尿量<40ml/h,使用利尿劑後尿量可增加,尿鈉20-30mmol/L、血肌酐為176.8μmol/L左右。嚴重時無尿或少尿(<20ml/h,持續6h以上),利尿劑衝擊後尿量不增加,尿鈉>40mmol/L、血肌酐>176.8μmol/L。非少尿腎衰者尿量>600ml/24h,但血肌酐>176.8μmol/L,尿比重≦1.012。
(四)肝臟:SGPT>正常值2倍以上、血清膽紅素>17.1μmol/L可視為早期肝功能障礙,進而血清膽紅素可>34.2μmol/L,重者出現肝性腦病。
(五)胃腸道:可由腹部脹氣,腸鳴音減弱,發展到腹部高度脹氣,腸鳴音消失。重者出現麻痹性腸梗阻,應激性潰瘍出血。
(六)凝血:輕者可見血小板計數減少<100×109/L,纖維蛋白原、凝血酶原時間(PT)及凝血酶原激活時間(TT)正常。進而纖維蛋白原可≧2.0-4.0g/L、PT及TT比正常值延長3秒,優球蛋白溶解試驗>2h。重者血小板計數<50×109/L,纖維蛋白原可<2.0g/L、PT及TT比正常值延長>3秒,優球蛋白溶解試驗<2h,有明顯的全身出血表現。
(七)中樞神經系統:早期有興奮或嗜睡表現,喚之能睜眼,能交談,能聽從指令,但有定向障礙。進而可發展為對疼痛刺激能睜眼、有屈曲或伸展反應,但不能交談、語無倫次。重者則對語言和疼痛刺激均無反應。
(八)代謝:可表現為血糖升高或降低、血鈉降低或增高以及酸中毒或鹼中毒。
診 斷
SIRS的診斷標準:具有以下兩項或兩項以上者:①體溫>38℃或<36℃;②心率>90次/min;③呼吸>20次/min或PaCO2<32 mmHg;④白細胞計數>12.0×109/L或<4.0×109/L或 ⑤幼稚桿狀細胞>0.10。
MOF的早期診斷依據為:①誘發因素(嚴重創傷、休克、感染等);②SIRS;③器官功能障礙。
表31-2 MODS的診斷標準
系統與器官 器官功能障礙 器官功能衰竭
肺臟 急性肺損傷 急性呼吸窘迫綜合徵
PaO2/FiO2≤300mmHg PaO2/FiO2≤200mmHg
心血管系統 輕度休克 重度休克
收縮壓(mmHg) >80,<100 <80
多巴胺(mg/kg×min) <10 >10
尿量(ml/h) 20~30 <20
心率(bpm) 130~150 >150或≤54
心律失常 室上速 室速或室顫
腎臟
尿量(ml/h) <20 需血液透析治療
血肌酐(mmol/L) ≥177 需血液透析治療
肝臟
血清膽紅素(mmol/L) 34~60 >60
ALT、AST >正常的2倍 肝昏迷
胃腸道
腸蠕動 腸脹氣腸鳴音減弱 麻痹性腸梗阻
出血量(ml/d) <100 >100
凝血功能
血小板計數 50~80×109/L <50×109/L
PT和PTT延長 >25% DIC
中樞神經系統 意識模糊 昏迷
Glasgow評分 <7,>3 <3
代謝
血糖(mmol/L) 5.6~7.5 >7.5
血鈉(mmol/L) 145~155 >155
滲透壓(mOsm/L) 310~330 >330
pH 7.1~7.35 <7.1
預 防
1.積極治療原發病:原發病是發生MODS的根本原因。
2.控制感染:原發嚴重感染和創傷後繼發感染均可引發MODS。
3.改善全身狀況:儘可能維持水、電解質和酸鹼平衡,提高營養狀態等。
4.及早發現SIRS的徵象,及早治療。
5.及早治療任何一個首先繼發的器官功能障礙,阻斷病理的連鎖反應,以免形成MODS。臨床經驗證明,治療單一器官功能障礙的療效,勝過治療MODS。
治 療
(一) 治療MOF的主要措施
1.消除引起MOF的病因和誘因,治療原發疾病。
2.改善和維持組織充分氧合
3.保護肝、腎功能
4. 營養支持及代謝調理
5. 合理套用抗生素。
6. 抗氧化劑、自由基清除劑的套用
7. 特異性治療
(二) MOF的治療方法
1.呼吸系統:
(1)保持氣道通暢
(2)吸氧
(3)呼吸機支持療法
(4)防治肺水腫
2. 循環系統
維持正常的循環功能,是保證組織血液灌注,恢復各器官功能的基礎。
(1)維持有效循環血容量
(2)套用血管活性藥物
(3)其它循環功能支持療法
3. 肝臟
在恢復血容量,保證肝臟血液供應的基礎上,加強支持療法。
(1)供給維生素
(2)補充熱量
(3)補充新鮮血漿、白蛋白或支鏈胺基酸,利於保護肝臟和促進肝細胞合成蛋白。
4.腎臟
(1)使用利尿藥
(2)透析療法
(3)避免套用對腎臟有損害的藥物
5.血液系統
對於因為血小板或凝血因子大幅度下降引起的出血,可輸濃縮血小板或新鮮冰凍血漿。纖維蛋白原下降<1g/L時,應補充纖維蛋白原。

