簡介
胰頭癌病理生理
胰頭癌胰頭癌病例分析顯示,儘管腫瘤很小,但由於在胰管內生長的特點,80%左右的病例可見胰體尾部腺管擴張和(或)腺體萎縮。不少胰頭癌病例往往因梗阻性黃疸就診,故膽總管、肝內膽管擴張以及膽囊增大也為胰頭癌的常見徵象。
胰腺癌的組織學類型以導管細胞癌最多,約占90%,其組織學分類尚無統一方案,下列分類法可作為參考:
導管細胞癌:乳頭狀腺癌、管狀腺癌、囊腺癌、鱗形上皮癌、腺鱗癌、粘液癌等;
其他未分化癌,胰母細胞癌,癌肉瘤等。
胰頭癌的轉移從解剖學角度看,胰腺屬於腹膜後器官,位置隱蔽,胰周臨近許多重要器官,胰腺的鉤突又包繞門靜脈等大血管。從腫瘤的生物學特點看,胰頭癌對腹主動脈、門靜脈等大血管具有高度的侵襲性。有關臨床資料指出,早期胰頭癌的門靜脈受侵率達18%左右;胰頭癌對於膽總管胰腺段的侵襲性也很強,即使是和膽總管有相當距離的早期胰頭癌,也可表現出“圍管浸潤”的病理學特點;作為胰頭癌最主要的轉移方式,淋巴結轉移在腫瘤早期即可出現,病理Ⅰ期(腫瘤直徑<2cm)者的淋巴結轉移率高達36%。另外,胰頭癌可以直接浸潤破壞神經束膜,並沿束膜間隙轉移,這種獨特的轉移方式往往成為腹膜後軟組織腫瘤殘留的原因。胰腺癌致死性特高,可能由於它發病詭秘隱匿。確診時多已進入晚期之故,早期即可轉移到區域淋巴結(90%),甚至轉移到縱隔及鎖骨上淋巴結。確診時半數以上病人自然已有肝轉移,四分之一以上病人已有腹膜種植,三分之一病人已侵犯十二指腸並可潰破。
綜上所述,胰頭癌轉移範圍廣泛,方式多樣,涉及許多重要臟器、血管,手術難度很大,臨床上最常見的病理Ⅲ期、Ⅳ期的患者無論何種術式死亡率都相當高,預後很差,成為外科亟待解決的難點之一。
發病原因
一、長期吸菸:胰頭癌的發生與吸菸有很大的關係,長期吸菸的人患胰頭癌的幾率會明顯加重。煙中含有很大對身體健康有害的物質,長期吸菸可促使致癌物質形成,從而就會誘發胰頭癌。二、胰腺病患:患有胰頭癌可能是胰腺部位的疾病發展而來的,胰腺發生一些急慢性炎症等疾病如果不及時進行治療,或者治療不當,可導致病情加重,最終可導致胰頭癌發生。
三、飲食不當:飲食結構與胰頭癌的發生有一定關係,如果人們長期食用高蛋白、高脂肪的食物,其患胰頭癌的幾率會明顯加重。另外,飲用咖啡過多也會增加胰頭癌的發病幾率。
四、其他疾病:如果患有糖尿病、膽石症等,也會給胰腺造成不同程度的損傷,從而就會誘發胰頭癌。
臨床表現
胰頭癌(1)上腹痛和上腹飽脹不適:是常見的首發症狀。早期由於胰管梗阻,管腔內壓增高,呈上腹鈍痛、脹痛,可放射至後腰部。少數病人可呈現劇痛。多數病人對早期症狀不在意,未能早期就診,或者被忽視,而延誤診斷。中晚期,腫瘤侵及膽總管中下段,壓迫腸系膜上靜脈或門靜脈,侵及十二指腸的不同節段及腹腔神經叢,使腹痛症狀加重,甚而晝夜腹痛不止,影響睡眠和飲食,加速體質消耗。
(2)黃疸:是胰頭癌的最主要的症狀和體徵。黃疸出現的早晚與癌腫在胰頭的部位有關,靠近膽總管區出現黃疸較早,遠離膽總管者黃疸出現較晚。大部分病人出現黃疸時已屬中晚期,黃疸呈進行性加重,伴皮膚瘙癢,但部分病人可無瘙癢。黃疸時間長者可有出血傾向。膽道完全梗阻,黃疸深,大便呈陶土色;深度黃染時,大便表面又被染成淺黃色。體格檢查:可見鞏膜及皮膚黃染、肝大,大部分病人膽囊腫大。
(3)消瘦和乏力:患者初期即有消瘦、乏力、體重下降,其與飲食減少、消化不良、睡眠不足和癌腫消耗等有關。
(4)消化道症狀:如食欲不振、腹脹、消化不良、腹瀉或便秘。部分病人可有噁心、嘔吐。晚期癌腫侵及十二指腸可出現上消化道梗阻或消化道出血。
(5)其他:部分病人患病早期表現為輕度糖尿病症狀,血糖增高、尿糖陽性。胰頭癌致膽道梗阻多無膽道感染,少數病人可合併膽道感染,寒戰高熱易與膽石症相混淆。晚期病人偶可捫及上腹腫塊,質硬且固定,可有腹水。
(6)出現神經症狀,如焦慮、抑鬱、失眠等。
體格檢查:查體可見上腹壓痛和黃疸,出現黃疸時,常因膽汁淤積而有肝大、觸診質硬、表面光滑,可捫及囊狀、無壓痛、表面光滑、並可推移的脹大膽囊,稱Courvisier征,是診斷胰頭癌的重要體徵。胰腺腫塊多見於上腹部,呈結節狀或硬塊腫塊,可以是腫瘤本身,也可是腹腔內轉移的淋巴結。胰頭癌的腫塊一般較深、不活動,而腸系膜或大網胰的轉移癌則有一定活動性。晚期患者可有腹水,多因腹胰轉移所致。少數患者可有鎖骨上淋巴結腫大或直腸指檢觸及盆腔轉移癌。
臨床診斷
胰頭癌2、早期無特異症狀,常見的症狀有上腹隱痛、鈍痛、脹痛和上腹部不適,可長期存在,夜間更明顯。
3、晚期因侵犯腹腔神經叢,腹痛可加劇,呈頑固性,可伴背痛,止痛藥往往效果不明顯。
4、黃疸是胰頭癌較早出現的症狀之一,呈進行性加深,全身瘙癢,大便色淺,尿色漸深。
5、病人可出現腹脹、食慾缺乏、消化不良、噁心嘔吐等消化道症狀,常有消瘦、乏力。
鑑別診斷
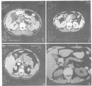
胰頭癌轉移性胰腺癌:肺、乳腺、卵巢、前列腺、肝、腎和胃腸道的癌腫均可轉移到胰腺。胰腺是轉移癌的好發部位。轉移性胰腺癌的CT表現多種多樣,大致分為3種情況,即單發不規則腫物、多發腫物和胰腺瀰漫性腫大。其中以單發腫塊最多見,而單發腫塊多位於胰頭部。轉移灶的大小依檢查時間早晚不同各異,其形態大多呈不規則狀,部分可見分葉,密度上表現為低密度及等密度,但以低密度為主。形態與密度改變沒有明顯特異性,但從局部表現很難與原發腫瘤區別,必須密切結合臨床及其他一些間接徵象加以辨別。原發灶明確是診斷的前提,所以診斷並不十分困難。
胰腺多發腫物比較容易引起轉移,如果原發灶確定,可以診斷。但是胰腺癌應與急性胰腺炎、全胰癌鑑別。急性壞死型胰腺炎有時因低密度壞死與胰實質緊貼在一起似胰腺多發性瀰漫轉移,但強化後實質邊界不清,胰周有低密度水腫帶,臨床症狀典型可以鑑別。部分全胰癌表現為胰腺多發病灶和灶性瀰漫性腫大時,二者鑑別較困難,須緊密結合臨床病史。
此外,部分慢性胰腺炎表現為胰腺局限性腫大,特別是位於胰頭部的胰腺增大與胰頭癌極為相似,以下幾點可以鑑別:
①胰頭增大,外形光滑無分葉;
②增強表現為密度均勻;
③膽總管正常或擴張,但形態規則;
④胰周血管或臟器無明顯侵犯;
⑤胰頭部可見到鈣化。
總之,胰頭癌表現形態多種多樣,診斷時須密切結合臨床,以提高診斷率,CT仍為重要檢查方式
預防
胰頭癌(一)醫生在廣大人群中發現可懷疑對象,即高危人群。這是一個非常困難的問題,因為病人既沒有特異的症狀,也沒有特異的體徵,全憑醫生的高度警惕,醫生要做"有心人"。病人所能提供的只有上腹脹痛,有時脹感超過了痛覺,其他只有消化不良,體重減輕以及“突發性的糖尿病”等這些無特異性的症狀。臨床醫師若找不到其他疾病能解釋以上這些症狀時,進而經過對症治療,以上這些症狀未能改善改善後又惡化時,臨床醫師就應大膽懷疑。
(二)普及防癌知識,進行定期的例行體格,檢查開展二級預防。
(三)對高危對象進行現代高科技的調查,如綜合套用B超、ERCP、MRI、選擇性腹腔動脈造影及新近發展的癌基因檢測。

