概述
膽管癌的病理切片發病原因
1、膽道慢性炎症、感染因素長期的慢性炎症刺激是膽管癌發生的基礎,因為臨床上發現與膽管癌有聯繫的疾病均可導致膽管慢性炎症。膽汁中某些物質(如膽汁酸的代謝產物)長期對膽道黏膜的刺激,導致上皮不典型增生。2、膽管、膽囊結石20%~57%的膽管癌患者伴有膽結石,因而認為結石的慢性刺激可能是致癌因素。
3、潰瘍性結腸炎,潰瘍性結腸炎患者膽管癌發生率較一般人群高10倍。伴潰瘍性結腸炎的膽管癌患者發病年齡較一般者早20~30年,平均為40~45歲,常有長期的結腸炎病史,病人門靜脈系統的慢性菌血症可能是誘發膽管癌和PSC的原因,病變多波及全結腸,潰瘍性結腸炎致膽道癌可能與慢性門靜脈菌血症有關。
4、膽管囊性畸形(先天性膽管擴張症)先天性膽管囊腫容易癌變已成為共識,先天性膽管囊腫病人膽管癌的發病率高達2.5%~28%,膽管囊性畸形者發生癌變較正常人早20~30年。儘管75%的膽管囊性畸形在嬰兒期和兒童期出現症狀,但就膽管癌的發生來說,有3/4的患者是成年期出現膽管囊性畸形症狀者。關於膽管囊性畸形導致膽管癌變的機制,有人認為胰管匯入膽管的開口異常高時,會使胰液反流入膽管引起膽管上皮惡變。其他可能導致惡變的因素有膽汁淤滯、結石形成和囊腔內慢性炎症等。
5、肝吸蟲(中華分支睪吸蟲)感染華支睪吸蟲感染也被認為與膽管癌的發生有一定聯繫,雖然華支睪吸蟲多寄生於肝內膽管,但也可寄生在肝外膽管,蟲體本身及代謝產物對膽管黏膜上皮長期刺激,引起膽管黏膜增生,產生瘤樣改變、癌變。
6、膽道手術史膽管癌可發生在手術多年之後,可發生在不含結石良性腫瘤的膽管,主要是慢性膽道感染導致上皮間變,常是在膽道內引流術後。
7、放射性二氧化釷與釷有接觸史的患者中,膽管癌的發病年齡較無釷接觸史者早10年,其平均潛伏期為35年(接觸釷後),且較多發生在肝內膽管樹的末梢。
8、硬化性膽管炎惡變原發性硬化性膽管炎(PSC)病人患膽管癌的機會也高於一般人群,PSC亦與潰瘍性結腸炎有關。
9、B型肝炎病毒感染國內部分膽管癌病人伴有B型肝炎病毒感染,二者之間是否有聯繫尚待進一步闡明。
10、K-ras基因突變近年來分子生物學研究表明,膽管癌K-ras基因12密碼子突變率達77.4%,說明K-ras基因突變在膽管癌的發生中可能起比較重要的作用。
可能與胰液反流、膽汁淤滯、結石形成、膽管良性腫瘤惡變、肝臟幹細胞的腫瘤樣分化有關。均可造成對膽管黏膜的慢性炎症刺激,進而誘發膽管癌。
病理特徵
1、肉眼形態學分類:根據腫瘤的大體形態可將膽管癌分為乳頭狀型、硬化型、結節型和瀰漫浸潤型4種類型。其中以浸潤型較多見,其次為結節型,而乳頭型較少見。膽管癌一般較少形成腫塊,而多為管壁浸潤、增厚、管腔閉塞;癌組織易向周圍組織浸潤,常侵犯神經和肝臟;病人常並發肝內和膽道感染而致死。①乳頭狀癌:大體形態呈乳頭狀的灰白色或粉紅色易碎組織,常為管內多發病灶,向表面生長,形成大小不等的乳頭狀結構,排列整齊,癌細胞間可有正常組織。好發於下段膽管,易引起膽管的不完全阻塞。此型腫瘤主要沿膽管黏膜向上浸潤,一般不向膽管周圍組織、血管、神經淋巴間隙及肝組織浸潤。手術切除成功率高,預後良好。
②硬化型癌:表現為灰白色的環狀硬結,常沿膽管黏膜下層浸潤,使膽管壁增厚、大量纖維組織增生,並向管外浸潤形成纖維性硬塊;伴部分膽管完全閉塞,病變膽管伴潰瘍,慢性炎症,以及不典型增生存在。好發於肝門部膽管,是肝門部膽管癌中最常見的類型。硬化型癌細胞分化良好,常散在分布於大量的纖維結締組織中,容易與硬化性膽管炎、膽管壁慢性炎症所致的瘢痕化、纖維組織增生相混淆,有時甚至在手術中冷凍組織病理切片檢查亦難以作出正確診斷。硬化型癌有明顯的沿膽管壁向上浸潤、向膽管周圍組織和肝實質侵犯的傾向,故根治性手術切除時常需切除肝葉。儘管如此,手術切緣還經常殘留癌組織,達不到真正的根治性切除,預後較差。
③結節型癌:腫塊形成一個突向膽管遠方的結節,結節基底部和膽管壁相連續,其膽管內表面常不規則。瘤體一般較小,基底寬、表面不規則。此型腫瘤常沿膽管黏膜浸潤,向膽管周圍組織和血管浸潤程度較硬化型輕,手術切除率較高,預後較好。
④瀰漫浸潤型癌:較少見,約占膽管癌的7%。癌組織沿膽管壁廣泛浸潤肝內、外膽管,管壁增厚、管腔狹窄,管周結締組織明顯炎症反應,難以確定癌原始發生的膽管部位,一般無法手術切除,預後差。
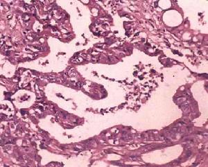
2、組織學分類:95%以上的膽管癌為腺癌,少數為鱗狀上皮癌、黏液癌,囊腺癌等,在原發性肝外膽管癌中,以膽總管癌最多見,33%~40%;其次為肝總管癌,30%~32%;肝總管分叉處,為20%;膽囊管4%。肝外膽管癌組織學缺乏統一的分類,常用的是按癌細胞類型分化程度和生長方式分為6型:①乳頭狀腺癌;②高分化腺癌;③低分化腺癌;④未分化癌;⑤印戒細胞癌;⑥鱗狀細胞癌等,以腺癌多見。分型研究報告各家不盡一致,但最常見的組織學類型仍為乳頭狀腺癌、高分化腺癌,占90%以上,少數為低分化腺癌與黏液腺癌,也有罕見的膽總管平滑肌肉瘤的報告等。
轉移途徑
約71.4%的膽管癌有直接浸潤或轉移,其中33.3%波及肝臟,33.3%波及所屬淋巴結,17.5%為腹膜播散。由於膽管周圍有血管、淋巴管網和神經叢包繞,膽管癌細胞可通過多通道沿膽管周圍向肝內或肝外擴散、滯留、生長和繁殖。膽管癌的轉移包括淋巴轉移、血行轉移、神經轉移、浸潤轉移等,通過以上多種方式可轉移至其他許多臟器。肝門部膽管癌細胞可經多通道沿膽管周圍淋巴、血管和神經周圍間隙,向肝內方向及十二指腸韌帶內擴散和蔓延,但較少發生遠處轉移。1、淋巴轉移:較常見。常轉移至肝門部和胰周淋巴結,較少發生遠處淋巴轉移,以上段膽管癌淋巴結轉移率較高。膽管在肝內與門靜脈、肝動脈的分支包繞在Glisson鞘內,其中尚有豐富的神經纖維和淋巴。Glisson鞘外延至肝十二指腸韌帶,其記憶體在更豐富的神經纖維、淋巴管、淋巴結及疏鬆結締組織,而且膽管本身有豐富的黏膜下血管和淋巴管管網。近年來隨著高位膽管癌切除術的發展,肝門的淋巴結引流得到重視。有人在27例肝門部淋巴結的解剖中,證明肝橫溝後方門靜脈之後存在淋巴結,粗大的引流淋巴管伴隨著門靜脈,且在膽囊淋巴結、膽總管淋巴結與肝動脈淋巴結之間有粗大的淋巴管相通。
2、浸潤轉移:較為常見。膽管癌細胞沿膽管壁向上下及周圍直接浸潤是膽管癌轉移的主要特徵之一。上部膽管癌向鄰近膽管的肝臟浸潤,中部膽管癌向肝固有動脈和門靜脈浸潤,下部膽管癌向胰腺浸潤。癌細胞多在膽管壁內瀰漫性浸潤性生長,且與膽管及周圍結締組織增生並存,使膽管癌浸潤範圍難以辨認,為手術中判斷切除範圍帶來困難。此外,直接浸潤的結果也導致膽管周圍重要的毗鄰結構如大血管、肝臟受侵,使手術切除範圍受限而難以達到根治性切除,而癌組織殘留是導致術後很快復發的主要原因之一。肝轉移是上部膽管癌的主要轉移方式,腹膜播散較少見。
3、血行轉移:可達全身,最常見為肺,達10%~25%。病理學研究表明,膽管癌標本中及周圍發現血管受侵者達58.3%~77.5%,說明侵犯血管是膽管癌細胞常見的生物學現象。膽管癌腫瘤血管密度與癌腫的轉移發生率明顯相關,且隨著腫瘤血管密度的增加而轉移發生率也升高,提示腫瘤血管生成在膽管癌浸潤和轉移中發揮重要的作用。臨床觀察到膽管癌常常發生淋巴系統轉移,事實上腫瘤血管生成和血管侵犯與淋巴轉移密切相關。因此,在膽管癌浸潤和轉移發生過程中,腫瘤血管生成和血管侵犯是基本的環節。
4、沿神經蔓延:神經侵犯發生率可達33.3%~83.4%,故臨床上以黃疸和疼痛為多見症狀。支配肝外膽道的迷走神經和交感神經在肝十二指腸韌帶上組成肝前神經叢和肝後神經叢。包繞神經纖維有一外膜完整、連續的間隙,稱為神經周圍間隙(Perineuralspace)。以往多認為,神經周圍間隙是淋巴系統的組成部分,但後來通過光鏡和電鏡觀察證明,神經周圍間隙是一個獨立的系統,與淋巴系統無任何關係,腫瘤細胞通過神經周圍間隙可向近端或遠端方向轉移。統計表明,神經周圍間隙癌細胞浸潤與肝及肝十二指腸韌帶結締組織轉移明顯相關,提示某些病例肝臟、肝十二指腸韌帶及周圍結締組織的癌轉移可能是通過神經周圍間隙癌細胞擴散而實現的。因此,神經周圍間隙浸潤應當是判斷膽管癌預後的重要因素。
輔助檢查
1
膽管癌的X照片2、B超檢查:反覆仔細的B超檢查可顯示擴張的膽管,梗阻的部位,甚至腫瘤。膽管癌的、超聲像可呈腫塊型、條索狀、突起型及血栓狀,肝內膽管癌常呈腫塊或條索狀,肝門部癌常為條索狀,下部膽管癌常為突起型,肝門部血栓狀聲像可能是肝門癌、膽囊癌或轉移癌。由於膽管擴張發生在黃疸之前,B超具有診斷早期膽管癌的價值。
3、PTC:是診斷膽管癌的主要方法,它能顯示膽管癌的位置和範圍,確診率可達94%~100%。
4、CT:膽管癌的CT基本表現為⑦顯示為膽管癌之近端膽管明顯擴張。接近腫瘤的膽 管壁增厚,於增強掃描時膽管更清晰可被強化,管腔呈不規劃的縮窄變形。一般可發現軟組織密度的腫瘤影,其CT值為50Hu,增強掃描時被強化CT值為60~80Hu。②腫瘤多數沿膽管壁浸潤性生長。膽管壁增厚,邊緣欠清晰,增強掃描時可被強化而易顯示。少數呈息肉狀或結節狀向管腔內生長,結節為軟組織密度。③腫瘤向腔處浸潤擴展,管壁邊緣模糊。常侵犯膽囊肝臟、毗鄰的血管及淋巴組織。而呈不均密度軟組織影,形態不規整,組織結構模糊,界限不清。
5、ERCP:可直接觀察十二指腸乳頭,造影能顯示梗阻遠端膽管。
6、血管造影:血管造影術可較好地判定膽管癌能否被切除。
7、細胞學檢查:在PTCD基礎上擴大竇道插入纖維膽道鏡,可直接觀察並鉗取腫塊活檢。行PTC或PTCD時可抽取膽汁行細胞學檢查。
治療措施
1.、膽管癌的手術治療
癌細胞①、肝門部膽管、膽總管及膽囊切除、膽腸吻合。適用於未侵及肝實質之肝總管癌。
②、肝方葉或加部分右前葉切除及肝門部膽管、肝外膽管切除、膽腸吻合。適用於肝總管癌或匯合部膽管癌。
③、肝方葉或左半肝切除及肝門部膽管,肝外膽管切除、膽腸吻合。適用於左肝管及肝總管癌。
④、肝方葉或右半肝切除及肝門部膽管、肝外膽管切除、膽腸吻合。適用於右肝管及肝總管癌。
⑤、超半肝或三肝切除及肝門部膽管、肝外膽管、部分尾狀葉切除、膽腸吻合。適用於左或右肝管癌侵及二級以上肝管和尾狀葉肝管。
⑥、姑息性切除。肝方葉及肝門部膽管、肝外膽管切除、膽腸吻合,並殘留部分癌組織如尾狀葉肝管或門靜脈前壁。
⑦、門靜脈主幹、匯合部或左右乾前壁受侵犯者切除其受累部分靜脈壁再予血管修補重建,術後輔以腔內放療。
(2)肝門部膽管癌故息性手術:膽腸內引流術是首選的姑息手術方法。原則是膽腸吻合口應儘量遠離病灶。根據PTC顯示擴張的膽管情況,選擇膽腸吻合部位。部分病例由於病灶侵犯肝門,或因肝萎縮-肥大複合征存在,萎縮葉膽管吻合、引流價值不大。肥大葉膽管顯露困難,使不少無法切除的病例僅能置管引流。常用的方法是擴張癌性狹窄後放置儘可能粗而較硬的T形管、U形管或內支撐導管。T形管經膽總管或經肝引出均可。為了防止滑脫,應將引流管縫合固定於膽管壁及周圍組織上,並做一上段空腸造瘺供術後回輸膽汁及必要時管飼營養。非手術置管引流常用的方法為PTCD,也可經PTCD竇道擴大後放置內支撐管。穿過狹窄段。
(3)中、下部膽管癌切除術:中、下部膽管癌比肝門部及乳頭部癌少見。目前多數學者為其手術方式是胰頭、十二指腸切除術。中下部癌無法切除者,可用上述姑息性方法。
2.化療:術中經胃網膜有動脈插管至肝動脈留置藥物泵導管,皮下埋泵,術後經藥物泵給藥,常用的化療藥為5-Fu.MMC。
3.放療:術中放療、術後定位放療及分期內照射等。根治性劑量照射放療,對晚期膽管癌有一定的效果,因其可使癌細胞變性、壞死與抑制其生長,可延長晚期膽管癌病人的生存期。術中放療、術後定位放療及分期內照射等,根治性放療劑量照射,對晚期膽管癌有一定的效果,可使癌細胞變性壞死和抑制其生長,可延長晚期膽管癌病人的生存期。目前質子放療廣泛套用在膽囊癌的臨床治療。質子放療與普通的X光的光子放療不同,質子放療主要有二大特點:一是可以有效的避免X光射線對癌部主要功能區的照射,並且在入射皮膚時幾乎沒有劑量的損失。二是質子射線具有布拉格峰,它可以精準的到達體內特定位置的腫瘤,在腫瘤部位實行大劑量爆破,能夠有效的殺死癌細胞,腫瘤後方沒有劑量,對後方的組織沒有傷害,攜康長榮幫助患者出國質子治療,國內現在也建設了自己的質子重離子醫院,但是接收患者有局限性,對於不接收的患者可選擇出國就醫,先評估是否能治療再出國省去麻煩,攜康在德國、日本在專注質子治療癌症上已經有了多年的經驗,也是個好的方法和選擇!質子放療也算是放療技術中首選的方式。
4.藥物治療:常用藥物珍香膠囊、抗癌平丸、安康欣膠囊、參丹散結膠囊等。
病理改變
腹水2、肝外膽管癌的大體形態:肝外膽管癌在大體形態上可分為三型:①管壁浸潤型:可見於膽管的任何部位,最為多見。由於受累的管壁增厚,可致管腔變小或狹窄,進而可發生阻塞現象。②結節型:較管壁浸潤型少見,可見於較晚期的膽管癌,癌結節的直徑可1.5~5.0cm。③腔內乳頭狀型:最少見,可見於膽管的任何部位,但匯合部更為少見。此型可將膽管腔完全阻塞。癌組織除主要向管腔內生長外,亦可進一步向管壁內浸潤生長。
3、肝外膽管癌的組織學類型:根據癌細胞的類型,分化程度及癌組織生長方式。肝外膽管癌可分為以下6型:⑦乳頭狀腺癌:除個別為管壁浸潤型外,幾乎均為腔內乳頭狀型。②高分化腺癌:在膽管癌中最多,可占2/3以上,可見於任何部位。癌組織均在管壁內浸潤生長,環繞整個管壁。浸潤的癌組織呈大小不等,形狀不規則的腺體結構,有的可擴大呈囊腔。③低分化腺癌:即分化差的腺癌,癌組織部分呈腺體結構,部分為不規則的實性片塊,亦在管壁內瀰漫浸潤生長。④未分化癌:較少見。有的小細胞未分化癌,與膽囊的未分化癌相同,癌細胞在膽管壁內瀰漫浸潤,間質較少。癌組織侵襲較大,常可侵及膽管周圍脂肪組織或鄰近的器官。⑤印戒細胞癌:較少見。它與膽囊或胃腸道的印戒細胞癌一樣,由分化程度不等的含有粘液的癌細胞構成。癌細胞無一定結構,瀰漫浸潤。⑥鱗狀細胞癌:罕見。其組織形態與其他器官所見者相同。
4、肝外膽管癌的擴散與轉移:早期,發生轉移者較少,主要是沿膽管壁向上、向下浸潤直接擴散。如上段肝管癌可直接侵及肝,要比中、下段癌多見。最常見的是肝門部淋巴結轉移,也可至腹腔其他部位的淋巴結。血路轉移,除非是晚期癌者,一般較少。各部位的膽管癌,以肝轉移最多見,尤其高位膽管癌,癌組織易侵犯門靜脈,形成癌性血栓,可導致肝轉移。也可向鄰近器官胰腺、膽囊轉移。
臨床表現
進行性梗阻性黃疸為膽管癌的主要症狀,進行性黃疸是膽管癌的主要症狀(80%~90%),其他如體重減輕、身體瘦弱、肝臟腫大,有時並能觸及腫大的膽囊,均為本病常見的症狀。
臨床表現主要為伴有上腹部不適的進行性黃疸、食欲不振、消瘦、瘙癢等。如合併膽結石及膽道感染,可有發冷、發熱等,且有陣發性腹痛及隱痛。如位於一側肝管癌腫,開始常無症狀,當影響至對側肝管開口時,才出現阻塞性黃疸。
如膽管中部癌不伴有膽石及感染,多為無痛性進行性阻塞性黃疸。黃疸一般進展較快,不呈波動性。檢查可見肝腫大、質硬、膽囊不腫大。如為膽總管下端部,則可捫及腫大的膽囊。如腫瘤破潰出血,可有黑便或大便潛血試驗陽性、貧血等表現。
凡40歲以上的黃疸患者,或有原因不明的上腹部不適、脹痛、納差等消化系症狀,肝臟腫大伴或不伴膽囊腫大,均應懷疑膽管癌而進行進一步B超、CT、MRI、ERCP、超聲內鏡、膽道鏡、PTC、低張十二指腸造影術,或選擇性血管造影檢查可以確診。
黃疸雖然是本病的明顯症狀,但其正確診斷常有困難,易與膽總管結石混淆,特別是黃疸出現前的明確診斷實為不易,常需對有上腹部隱痛不適或有梗阻性黃疸者作全面仔細的檢查分析方能作出較為正確的診斷,有時尚待剖腹探查後方能明確真相。以往的文獻統計術前診斷正確者僅占病例的1/3,但近年來隨著影像學診斷技術的發展和改進,其術前正確診斷率則大為提高,重要的是應對有可疑的患者及時選取相應的檢查,這樣可對該病做出較為早期的診斷和治療。
膽管癌結合臨床表現、實驗室及影像學檢查可作出初步診斷。肝外膽管癌術前診斷目的包括:①明確病變性質,②明確病變的部位和範圍,③確定肝內外有無轉移灶,④了解肝葉有無萎縮和肥大,⑤了解手術切除的難度。
主要症狀
①黃疸:為最常見的症狀,約占36.5%。黃疸是膽道阻塞的結果,多呈進行性加深,其程度與梗阻部位和程度有關。肝外膽管梗阻時黃疸較深,肝內膽管分支受阻時黃疸較淺。完全性膽管阻塞時黃疸較深,不完全性膽管阻塞時黃疸較淺。偶爾膽管的炎症、痙攣以及腫瘤脫落和乳頭型的腫瘤偏位,可使黃疸有所波動。中下段膽管癌常表現為無痛性膽汁淤積性黃疸。患者尿色深黃或呈茶色,大便變淺或為陶土色。
②腹痛:可呈進食後上腹部輕度不適,或劍突下隱痛不適,或背部疼痛,或右上腹絞痛,系神經侵犯的表現。可出現於黃疸之前或黃疸之後。
③發熱:多為梗阻膽管內炎症所致,發生率較低。
④其他:可有食欲不振、厭油、乏力、體重減輕、全身皮膚瘙癢、噁心嘔吐等伴隨症狀,或癌腫的非特異性症狀。少數可有門脈高壓症狀,系癌腫浸潤門靜脈所致。
病理體徵
①肝臟腫大:80%以上的患者有肝大,多為肝內膽汁淤積所致。
②膽囊腫大:如癌腫發生於三管匯合處以下部位,可觸及腫大的膽囊。
③腹水:晚期因腹膜侵犯,或侵犯門靜脈,導致門脈高壓,可出現腹水。
癌腫的位置與臨床表現具體的臨床表現,將視癌腫的位置及病程之早晚而有所不同。位於膽總管末段壺腹部的癌腫:以膽總管及胰管的阻塞為突出症狀,且由於癌腫崩潰可有腸道出血及繼發貧血現象。患者常有進行性黃疸及持續性背部隱痛,但如膽管內並有結石,疼痛也可呈絞痛狀。由於胰管有時受到阻塞,可能影響胰腺的內分泌而有血糖過高或過低現象,更可能因外分泌的缺失導致脂性腹瀉。因膽管受到阻塞,也將影響到脂性食物的消化。由於膽、胰管同時受阻塞,磁共振胰膽管造影(MRCP)檢查可有典型的“雙管征”,並時常有膽囊脹大和肝臟腫大。壺腹部癌腫病灶很小時即可出現黃疸,且極易發生潰瘍出血,糞便可呈柏油樣而貧血嚴重。故凡患者有進行性黃疸、經常有腸道出血,且有頑固的脂性腹瀉者,極有可能是壺腹部癌。
預防方法
膽管癌1、對於40歲以上的人,特別是婦女,要定期進行B超檢查,發現有膽囊炎、膽結石或息肉等,更應追蹤檢查,發現病情有變化應及早進行治療。
2、保持愉快的心理狀態,養成良好的飲食習慣,禁食辛辣,少食厚膩食品,不要飲烈性酒。
3、積極治療癌病變前,遲早社除可能引起癌變的誘因。
4、多吃蔬菜類抗膽管癌食物,如:熟紅薯、生紅薯、蘆筍、花椰菜、捲心菜、菜花、西芹、茄子皮、甜椒、胡蘿蔔、黃花菜、薺菜、苤(音瞥)藍、芥菜、雪裡蕻、番茄、大蒜、大蔥、黃瓜、大白菜等。
5、預防膽管癌一定要注意生活規律,朋友們在日常生活中一定要注意按時吃飯,按時休息,注意勞逸結合。同時,還要注意養成定時排便的習慣。
6、預防膽管癌還要注意鍛鍊身體,增強自身體質,避免發胖。同時,女性朋友還要注意減少妊娠次數。
飲食注意
1、宜多吃具有抗膽道、膽管癌作用的食物:魚翅、雞肫、蕎麥、薏米、豆腐渣。
2、宜多吃具有抗感染、抗癌作用的食物:蕎麥、綠豆、油菜、香椿、芋艿、蔥白、苦瓜、百合、馬蘭頭、地耳、鯉魚、水蛇、蝦、泥鰍、海蜇、黃顙魚、針魚。
3、宜食具有利膽通便作用的食物:羊蹄菜、牛蒡根、無花果、胡桃、芝麻、海參。
4、食慾差宜吃楊梅、山藥、薏米、蘿蔔、塘虱、恭菜。
膽管癌晚期患者忌暴飲暴食、飲食過飽,不宜吃油煎煙燻等油膩食物、堅硬不易消化食物、辛辣刺激性食物,還有菸酒也要忌口。
護理知識
1、注意飲食的調節膽管癌病人因膽汁排泄不暢影響食物的消化和吸收,特別是對脂肪性食物更難消化,病人常表現納呆、食少、腹脹、大便不調。選擇易消化吸收並富有營養的食物,如新鮮水果和蔬菜,少吃或不吃高脂肪食物,禁菸酒,多飲開水。
2、心理護理情緒因素對疾病的發展和治療效果及預後都有著重要關係。醫護人員應鼓勵病人保持愉快的心態,樹立戰勝疾病的信心,充分發揮機體的潛在能力,使患者能夠積極配合治療,提高效果。
3、靜臥休息時應保持舒適的臥位,一般以左側臥位、仰臥位為佳,以防膽管部位受壓。
4、鼓勵病人做些力所能及的事,以轉移不良情緒,自我調理心態,如練氣功、散步、聽科普知識,做到動靜結合。
5、密切觀察體溫、脈搏、呼吸、血壓的變化,防止合併症的發生。
腫瘤靶向新技術--緩釋庫療法
圖緩釋庫療法的適應症
適應症:鼻咽癌、口腔癌、肺癌、食道癌、胃癌、腸癌;肝癌、膽囊癌、膽管癌、胰腺癌、腎癌、膀胱癌;子宮癌、卵巢癌、乳腺癌、前列腺癌、睪丸癌;甲狀腺癌、皮膚癌、惡性淋巴瘤、骨腫瘤、原發或轉移的各種實體腫瘤。

