疾病簡介
肝門部膽管癌,是指原發於膽囊管開口以上肝總管與左、右二級肝管起始部之間,主要侵犯肝總管、肝總管分叉部和左、右肝管的膽管癌。
發病原因
有關HCCA的發病原因或危險因素尚不清楚,可能與膽道慢性炎症有關,如原發性硬化性膽管炎、膽總管囊腫、膽管結石、膽道良勝腫瘤、膽道寄生蟲病、C型肝炎、胰膽管合流異常、先天性膽管囊性擴張症、慢性潰瘍性結腸炎等均可增加發生膽道癌腫的危險。
疾病分型
膽管癌分期:
按照國際抗癌協會(UICC)提出TNM分期標準,可把膽管癌分為0~Ⅳ期:0期,原位癌,無淋巴結或遠處轉移。Ⅰ期,腫瘤侵及黏膜或肌層,無淋巴結或遠處轉移。Ⅱ期,腫瘤侵及肌層周圍結締組織,無淋巴結或遠處轉移。Ⅲ期,在上述情況下伴有淋巴結轉移。Ⅳa期,腫瘤侵犯鄰近組織如肝、胰、十二指腸、膽囊、胃、結腸,有或無淋巴結轉移,無遠處轉移。
Ⅳb期,無論腫瘤大小,有無淋巴結轉移,有遠處轉移。Bismuth分型:1975年法國的Bismuth-Corette對肝門部膽管癌進行的分型現已被廣泛使用。Ⅰ型,腫瘤位於肝總管,未侵犯匯合部。Ⅱ型,腫瘤侵犯肝總管及左右肝管匯合部。Ⅲ型,腫瘤侵犯肝總管,左右肝管匯合部並已侵犯右肝管(Ⅲa)或左肝管(Ⅲb)。Ⅳ型,腫瘤侵犯肝總 管,左右肝管匯合部並同時侵犯左右肝管。
病理組織學分型:大體上分為4型:
(1)乳頭型:表現為管內多發病灶,向表面生長,形成大小不等的乳頭狀結構,排列整齊,癌細胞間可有正常組織。
(2)硬化型:質硬的灰白色環狀增厚,並引起大量纖維組織增生,向外周浸潤累及肝門血管或方葉。
(3)結節型:管腔內結節狀腫瘤,質地韌,常位於膽管一側。
(4)浸潤型:沿膽管壁廣泛浸潤,管壁增厚、管腔狹窄,管周結締組織明顯炎症反應,與硬化性膽管炎不易區別。
在組織學上又分為六型:
(1)乳頭狀腺癌;
(2)高分化腺癌;
(3)低分化腺癌;
(4)未分化癌;
(5)印戒細胞癌;
(6)鱗狀細胞癌。
傳統的臨床病理學描述將其定義為:
肝管分叉處體積小、高分化、生長緩慢的腫瘤。但近年來研究的觀點認為並非如此,低中分化腺癌可占一半左右,其原因可能是早期肝門部膽管癌手術切除率較低,而能行切除者均為分化程度較高的病人,因為腫瘤組織分化程度與其周圍浸潤程度和轉移率呈反比,因此低分化者由於未能切除而被忽略了。
臨床分型:
高位膽管癌臨床分型,目前廣為引用的是法國Bismuth-Corlett分型方法:Ⅰ型腫瘤位於肝總管分叉處,左右肝管之間相通;Ⅱ型腫瘤占據左右肝管匯合部,兩者之間無通道;Ⅲ型腫瘤侵犯一側肝管,累及右肝管者為Ⅲa型,累及左肝管者為Ⅲb型;Ⅳ型腫瘤雙側肝管均受累。臨床上根據癌腫對肝動脈和門靜脈的侵犯,可將膽管癌的病程分為4期。Ⅰ期:腫瘤限於膽管,無門靜脈及肝動脈侵犯;Ⅱ期:腫瘤累及單側的門靜脈及肝動脈;Ⅲa期:腫瘤累及一側肝動脈及門靜脈的分叉部;Ⅲb期:腫瘤累及一側門靜脈及肝固有動脈;Ⅳ期:腫瘤累及肝固有動脈及門靜脈的分叉部。
病理生理
膽管梗阻後由於膽汁及其諸多成分不能流入腸道內(尤其是完全性梗阻者),將導致膽管內壓升高、肝血流改變以及一系列包括體內生物化學、免疫功能、肝腎功能及代謝等的變化,其特點與程度主要取決於膽管梗阻的部位、完全性、期限以及是否合併感染。
肝細胞凋亡隨膽道梗阻時間延長而增加,而肝臟損害及肝功能受損亦隨梗阻時間延長而加重,細胞凋亡與其正相關。梗阻性黃疽由膽汁流出受阻引起,是肝細胞受損的主要原因,最終常導致肝硬化、肝功能衰竭和死亡。膽汁酸鹽在肝內蓄積,誘發肝細胞和膽管細胞凋亡,過多的細胞凋亡又造成抗凋亡異常,從而造成肝纖維化的異常增生,這是構成肝損害的另一個主要原因。
隨著膽道梗阻時膽道內壓力增加,出現膽汁逆流,使肝血竇壓力明顯增高,並導致門靜脈壓力的增高和肝動脈阻力的增高,使入肝血流量減少,致肝細胞相對性缺血、缺氧,肝臟病理改變加重。同時,因膽汁酸鹽不能經膽道排入腸道,不能發揮膽鹽對腸道細菌的抑菌作用,致腸道內毒素繁殖加速,菌群失調,Gˉ細菌明顯增多,內毒素產生增加;此時腸黏膜屏障受損,內毒素和細菌經門靜脈移位入肝,肝內Kupffer細胞功能受損,對內毒素的清除能力下降。上述原因共同作用導致肝細胞超微結構發生改變,核形態異常、固縮,線粒體腫脹、晴消失、斷裂,膽小管內有均質物質,貯脂細胞、內質網減少和Kupffer細胞增多、腫脹。另外,梗阻性黃疽時存在著全身免疫功能下降,尤以細胞免疫功能降低顯著。腫瘤引起的膽道狹窄和梗阻,致使膽紅素和膽汁酸等返流入血產生高膽紅素血症和膽汁酸血症。研究表明,膽管梗阻1、2周,內毒素血症尚不明顯時,心肌、肝臟和腎臟細胞均有線粒體腫脹、變形、靖消失等,梗阻2周時尚有肌絲紊亂。此時血膽汁酸濃度明顯升高,管飼膽酸鈉使膽汁酸濃度達到膽道梗阻2周的平均濃度,心肌有類似的超微結構改變。這提示梗阻性黃疽時膽汁酸淤積會損害心肌等臟器或組織超微結構。
臨床表現
多發群體
肝門膽管癌好發於50~70歲的中老年人,60歲左右最多,為老年性疾病。
疾病症狀
肝門膽管癌由於位置特殊,在膽管未被腫瘤完全阻塞前常無特異臨床表現,不易引起病人及外科醫生的重視。HCCA早期臨床症狀多為納差、食慾下降、厭油膩、消化不良以及上腹脹悶不適等非特異症狀,部分病人可反覆出現膽管感染。隨著病變的進展,可出現阻塞性黃疽的症狀和體徵,但最使病人注意的是進行性黃疽、皮膚搔癢症和體重下降,這也是HCCA特徵性的臨床徵象。
1.黃疸
膽管癌患者早期缺乏典型症狀,大部分病人多因黃疸而就診,黃疸是膽管癌最早也是最重要的症狀,約有90%~98%的膽管癌病人都有不同程度的皮膚、鞏膜黃染。黃疸的特點是進行性加重,且多屬無痛性,少數病人黃疸呈波動性。上段膽管癌黃疸出現較早,中、下段膽管癌因有膽囊的緩衝,黃疸可較晚出現。
肝門部膽管癌但實際上在黃疽出現之前患者常有一段時間的上腹部飽脹不適、厭油膩、食慾減退、體重下降等非特異性的“胃病”症狀,常因症狀不典型而被誤診為“慢性胃炎”、“慢性膽囊炎”等,有的患者即使出現了黃疽症狀,仍易於被誤診為“黃疽型肝炎”。
2.腹痛
半數左右的患者有右上腹痛脹痛或不適,體重減輕,食欲不振等症狀,這些症狀常被視為膽管癌早期預警症狀。腹痛一開始,有類似膽石症、膽囊炎的疼痛。據臨床觀察,膽管癌發病僅3個月,便可出現腹痛和黃疸。
3.皮膚瘙癢
可出現在黃疸出現的前或後,也可伴隨有其他症狀如心動過速、出血傾向、精神萎頓、乏力和脂肪瀉、腹脹等,皮膚瘙癢是因血液中膽紅素含量增高,刺激皮膚末稍神經而致。
4.其他
伴隨著黃疸、腹痛等症狀,還會有噁心、嘔吐、消瘦、尿色深黃如醬油或濃茶樣,大便色淺黃甚至陶土色等,晚期腫瘤潰破時,出現膽道出血時可有黑便,大便隱血試驗陽性,甚者可出現貧血;若有肝轉移時可出現肝臟腫大,肝硬化等症象。
臨床症狀與臨床分型的關係:
研究HCCA的臨床症狀與臨床分型的關係對該病的早期診斷具有重要意義。從肝門部膽管系統的解剖而言,右肝管較短,幾乎接近垂直位;左肝管細長,幾近於橫位。成人右肝管平均長8.8mm,管徑3.5mm;左肝管平均長14.9mm,管徑3.3mm。由於右肝管短、粗,且與肝總管約成129°角,故膽汁引流比較通暢;而左側肝管與肝總管約成100°角,故膽汁引流可能比較緩慢,出現肝管狹窄更易於出現引流不暢引起的膽管擴張。
表現黃疽之前的上腹部非特異性症狀持續時間長短則視膽管癌距離膽管分叉部遠近而異。來源於肝門處左側肝管的癌,開始時距離肝管分叉尚有一段距離,故黃疽前症狀持續時間較長。
臨床上不少患者黃疽持續的時間可能甚短,但經影像學檢查或手術探查時卻發現腫瘤已向肝門部轉移並侵犯主要血管,這種情況多見於Ⅲ型和Ⅳ型的病變,因腫瘤開始時發生在左側或右側的肝管內,健側充分代償分泌膽汁的能力,故臨床上並不出現黃疽,隨著時間的推移,黃疽的出現可能由於癌組織沿膽管擴展,侵犯對側肝管或阻塞肝總管,亦可能由於癌細胞轉移至肝十二指腸韌帶,壓迫肝外膽管或肝門部的轉移侵犯肝總管而致黃疽。
I、Ⅱ型肝門部膽管癌的早期臨床症狀即早期出現梗阻性黃疽;Ⅲ、IV、V型者則有不同的臨床表現。特別值得注意的是起始於一側肝管的癌,早期並無黃疽,待黃疽出現時,已經向膽管外侵犯和轉移,病變以達晚期。另外,HCCA中64%-70%為硬化型,其生物學特徵為早期沿膽管壁向周圍組織浸潤,對於I、Ⅱ型肝門部膽管癌其梗阻性黃疽也並不一定是HCCA的早期症狀。
診斷鑑別
肝門部膽管癌的經典診斷模式為:黃疸+肝內膽管擴張+肝外膽管口徑正常+膽囊空虛+肝門部占位病變,診斷並不困難,但多已屬中晚期,若能在黃疸出現之前得以確診,對提高切除治癒率具有積極意義。
一、影像學檢查:
1. B型超聲掃描以無創傷、可重複、簡單、經濟而成為梗阻性黃疸的首選檢查方法。其優點是:
①可顯示肝內膽管擴張,肝外膽管和膽囊空虛;
②擴張膽管遠側的管腔突然截斷閉塞,並可發現中等或低回聲的團塊影;
③可以明確腫瘤的部位及浸潤範圍;腫瘤與肝動脈和門靜脈的關係,以及門靜脈有無癌栓;
④同時還可了解肝內有無轉移及肝外淋巴結的轉移情況。B超的不足之處是可受肥胖、肋弓遮蓋、腸道氣體以及操作者本身等因素影響。
2. CT掃描的圖像比較清晰,不受肥胖、腸道氣體和操作者的主觀因素影響。
CT能客觀地顯示腫瘤的部位和大小,腫瘤與周圍組織的關係;顯示肝葉的形態改變(肥大或萎縮),腫瘤與尾葉的關係;擴張的左、右肝管間連續性中斷,能提供準確的梗阻水平及肝內膽管擴張徵象。增強掃描可使組織結構 為清晰。螺鏇CT可以獲得人體解剖結構無間斷的圖像信息,將這種特殊的圖像採集方法和靜脈注射造影劑相結合,用多種圖像處理方法顯示血管影像。因此螺鏇CT可以代替血管造影顯示門靜脈系統結構,了解門靜脈系統的受累情況。
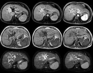
3. 磁共振膽管成像(MRCP)與超聲及CT比較有明顯的優勢。
①具有非侵入性、無創性、無放射性、無需對比、病人易接受;
②可以清楚的顯示整 膽管的情況,對臨床分期和術前評估更準確;
③安全,無併發症;
④不能行經內鏡逆行胰膽管造影(ERCP)檢查或ERCP檢查失敗者可行MRCP檢查;
⑤可以指導經皮經肝穿刺膽道引流(PTCD)和膽管內支架放置的位置。
肝門部膽管癌MRCP主要表現為肝總管、左右肝管起始部膽管壁不規則增厚、狹窄、中斷或腔內充盈缺損;肝門軟組織腫塊,向腔內或腔外生長,邊界欠清晰,T1加權呈相對低信號,T2加權呈相對高信號;腫瘤上方肝管呈軟藤狀擴張,腫瘤下方膽總管正常,並可顯示膽囊管和胰管情況。如有肝門部淋巴結轉移,CT和MRI表現為肝門部腫塊,而MRCP表現為左右肝管受壓變窄或被破壞。如有肝內轉移可見散在低信號影。
4. 經皮經肝穿刺膽道造影(PTC)
能詳盡顯示肝內膽管形態,直接顯示並明確腫瘤的部位,腫瘤累及肝管的範圍,腫瘤與肝管匯合部的關係。但它是一種侵襲性檢查,有引起出血、膽漏、膽道感染和氣胸的可能,其併發症發生率為1%~7%。同時PTC只能顯示梗阻上方擴張的膽道,對Ⅳ型肝門部膽管癌必須分別行左右葉穿刺造影,方能全面顯示擴張的膽管及梗阻部位,而且這更加大了併發症的風險,並且放置PTCD減少黃疸也是有爭議的措施,還有經此管引起癌轉移的風險。
5. 經內鏡逆行胰膽管造影(ERCP)
能顯示腫瘤的下界及梗阻以下的膽道情況,如同時行PTC和ERCP,則可以相互補充,完整地顯示腫瘤上下緣,對判斷腫瘤大小、範圍和決定手術方案具有重要意義。
肝門部膽管癌有B超、CT、MRI和MRCP都不能比擬的準確和清晰顯像,是可靠實用的檢查方法。ERCP最致命的併發症是造影可引起上行性感染誘發急性膽管炎、感染中毒性休克或多發性肝膿腫,給治療帶來困難,甚至失去手術的時機。隨著CT、MRI、MRCP和超聲技術的發展及普及,現在已基本不用PTC或PTCD,ERCP也因其致命的併發症很少被使用。
顯示肝門部入肝血管與腫瘤的關係及受腫瘤侵犯的情況。DSA診斷膽管癌動脈相主要表現為周圍動脈受侵犯,一般為肝左、右動脈或肝固有動脈管壁不規則、狹窄或梗阻,部分病例可見微細腫瘤血管出現在受侵犯動脈周圍;在毛細血管相可出現腫瘤染色,門靜脈及其分支受侵時靜脈相顯影不良。
二、腫瘤標誌物:
1.CA19-9
在無膽管炎的情況下,肝門部膽管癌患者血清CA19-9值>37 kU/L者達86%(47/55),>222 kU/L(正常值的6倍)者亦達71%(39/55)。CA19-9值的顯著增高有助於肝門部膽管癌的診斷。
2.膽管癌相關抗原檢測
膽管癌相關抗原(Cholangiocarcinoma-related antigen,CCRA)是近年來從人膽管癌組織中發現的一種新的抗原物質。正常人血清中CCRA<28.95 g/L。膽管癌時血清CCRA濃度明顯升高。
CCRA與碳水化合物抗原(尤其CA19-9)在膽管癌中陽性率相似,但CCRA在其他消化道腫瘤中陽性率卻很低。這點對於膽管癌的診斷和鑑別診斷具有很重要的價值。
三、細胞學檢查:
通過PTC或ERCP技術獲取膽汁行脫落細胞檢查,診斷的特異性高,但敏感性低,原因可能是細胞在膽汁中變性溶解或腫瘤被增生的結締組織包埋。為提高診斷敏感性,Mo-handas(1994)等使用擴張器擴張膽管狹窄處後再取膽汁,結果陽性率從27%提高到63%,可能是狹窄段膽管擴張後,脫落游離的癌細胞更易進入膽汁。行PTC或ERCP檢查發現膽管狹窄懷疑有癌變時,可置入細胞刷反覆刷取膽管狹窄處,獲取標本後行細胞學檢查,或通過胰十二指腸鏡鉗取病變組織活檢。這兩種方法診斷特異性高,幾乎可達100%。
疾病治療
目前治療肝門部膽管癌的方法繁多,有手術切除、化療、放療、免疫治療、生物治療、中草藥治療和介入治療,但最有效的方法仍為手術切除。
1. 根治性切除術
隨著影像學診斷技術的發展和手術技術的進步及治療態度的轉變,該病的手術切除率有明顯的提高。1985年以前該病的手術切除率僅占10%,而目前手術切除率可達64.1%。肝門部膽管癌只有徹底手術切除,才能給患者提供唯一可能治癒的機會,且其改善患者生活質量的作用遠優於各種引流術。因此,對於肝門部膽管癌的治療應採取積極的手術態度,力爭切除腫瘤。
根治性切除手術包括肝外膽道切除、肝十二指腸韌帶上血管“骨骼化”、廣泛切除十二指腸韌帶上的纖維脂肪組織、神經、淋巴,必要時切除一側肝葉,重建肝管空腸吻合。肝門部膽管癌多有尾狀葉浸潤,侵犯匯合部或左、右肝管者均須切除尾狀葉,並被認為是否合併尾狀葉切除是影響肝門部膽管癌患者長期生存的主要相關因素之一。
Nagino等主張肝段切除+尾葉切除進行治療,報導193例,其行腫瘤切除138例,其中124例合併肝段及尾葉切除,合並門靜脈切除41例,並肝胰十二指腸切除16例;其住院病死率為9.9%(12例),治癒切除97例,3年存活率為42.7%;5年存活率為25.8%。認為在正確估計侵犯程度的基礎上積極行肝切除可改善預後。
2.姑息性手術
2.1左側肝內膽管空腸吻合術
一般在鐮狀韌帶左側找到擴張的左外葉膽管,與空腸吻合。該方法手術相對簡單,但一般只能引流左半肝,我院大部分不能手術切除的肝門部膽管癌用該方法或同時加用U型管引流,通過U管側孔內引流,使全肝膽道起到引流減黃的作用。
2.2右側肝內膽管空腸吻合術
近年不少學者採用右肝管-膽囊-空腸吻合術。這種內引流術不需分離膽囊,創傷小,手術也較簡單。
2.3置管引流術
膽道內支架直接支撐腫瘤段狹窄膽管,將梗阻近段膽汁通過患者自身膽管達到內引流目的。放置膽道內支架管的方法有:經皮肝穿刺膽道(PTD)放置內支架、經十二指腸鏡(ERCP)放置內支架、經剖腹探查術中放置內支架、經外引流管運用介入方法放置內支架。近年來,隨著介入治療技術的發展,經肝穿刺膽管內置放記憶合金支架引流,或剖腹經膽總管向肝內膽管置放記憶合金支架引流,取得了良好的療效。合金支架經膽管穿過腫瘤上、下端,使梗阻的膽汁經支架流入肝管下段而進入十二指腸。但記憶合金支架價格昂貴,而且一般基層醫院難以開展。
3.原位肝移植術(OLT)
肝門部膽管癌具有肝內轉移、生長緩慢、肝外轉移較晚的特點,故有學者提出其可作為肝移植的一個良好的適應證。具體做法是選用原位肝移植,膽管重建,並行膽總管與受體空腸roux-Y吻合,最大限度的切除患者的近端膽管,防止復發。
肝門部膽管癌肝移植術的適應證為:
①已確診為國際抗癌協會分期(UICC)Ⅱ期患者,剖腹探查無法切除者;
②擬行R0切除但因腫瘤中心型浸潤,只能做到R1或R2切除者(R0切除:切緣無癌細胞;R1切除:切緣鏡下可見癌細胞;R2切除:切緣肉眼可見癌細胞);
③手術後肝內局部復發者。國外報導,行全肝切除加原位肝移植術,術後生存率與根治性切除組無明顯差異甚至優於根治性切除組。
疾病預後
文獻報導肝門部膽管癌根治性切除療效明顯優於姑息性切除,姑息性切除療效優於單純引流。因此,疑似或確診病例,除有明確手術禁忌症外,應積極行手術探查,爭取行根治性切除。對無法手術者,積極行PTCD、ENBD引流或採取介入方法經PTCD、ERCP放置支架,以期延長生命,提高生存質量。隨著擴大根治術臨床推廣,切除範圍大,手術風險大,術後併發症增多,死亡率高。
併發症
術後常見併發症:
HCCA患者除有高膽紅素血症外,常合併內毒素血症,營養不良、貧血、低蛋白血症、凝血機制障礙、電解質紊亂、免疫功能低下、感染及肝、腎、心血管等重要臟器損害,加上手術創傷大,術後併發症多,嚴重時直接導致死亡。
1.腹腔大出血
多發生於合併肝葉切除及術中門靜脈損傷者,亦見於膽腸吻合口出血,腹腔引流鮮血>200ml/h,提示腹腔內有活動性出血。急診手術止血。
預防以術中確切縫合止血為主。
2.膽瘺
最常見併發症,多發生肝葉切除肝創面膽管處理不當或肝內膽管分別與空腸吻合,因肝內膽管開口眾多,有時難以處理妥善,改用膽管成型後與空腸吻合,膽汁瘺發生減少;亦可發生於經肝引流管穿出肝表面處。近來研究發現膽管血供不良是膽瘺發生的重要因素。高位膽管血供主要來自膽囊動脈或肝固有動脈分支,有時也由肝右動脈分支供應,並且沿膽道呈軸向性走行,約60%血流自下向上,約40%血流來自上方,當腫物及肝外膽管切除術後,尤其肝右動脈結紮切除後膽道吻合端血循環將受到影響,造成吻合口癒合不良形成膽瘺。膽管血循環研究將成為肝膽外科的焦點問題。術中游離膽管時,注意保存膽管兩側和後方的血供,膽管上端斷端吻合前應有活躍的動脈性出血。
3.肝功能衰竭
圍手術期死亡常見原因,多見於肝臟儲備功能差的患者。
預防包括結合術前肝功能評測,正確判定手術切除範圍,積極進行圍手術期保肝治療,儘可能避免使用對肝腎功能損害大的藥物。日本學者提出術前行PTCD,降低血清膽紅素,利於肝功能恢復。
肝門部膽管癌但多數學者仍對其增加感染併發症,延長治療時間,導致併發症發生率高等存在顧慮,主張血清總膽紅素高於410μmol/L以上時行PTCD,通過4~6周減黃後,再行手術治療。Makuuchi提出手術前病例施行經皮擬切除側門靜脈栓塞術,待2~3周后對側肝臟體積增大後才施行手術,可以增加半肝或三葉切除術的安全性。定期複查肝功,觀察患者有無黃疸加重、煩躁不安、嗜睡等肝功能衰竭表現。
4.急性腎功能衰竭
多繼發於重度黃疸。常因有效循環血容量不足,交感神經興奮、腎素血管緊張素系統活動增強、腎前列腺素減少,血栓素A2增加及內毒素血症所致。特徵為自發性少尿或無尿、氮質血症、稀釋性低鈉血症和低尿鈉。
預防:術中輸20%甘露醇溶液100-250ml,以維持利尿狀態;術後24小時尿量少於1500ml且血壓正常時,可用速尿20mg靜推。
5.應激性潰瘍出血
重症梗阻性黃疸病人術後嚴重併發症。
其發病機制尚未完全明了,一般認為高膽紅素血症、高膽鹽血症破壞胃黏膜屏障,減少胃黏膜血流有關。同時患者常合併感染、敗血症、營養不良等,手術創傷大均可導致胃黏膜低灌注形成黏膜潰瘍出血,嚴重者可出現穿孔。
預防:術前糾正貧血,補充血容量,抗感染治療,術後常規套用H2受體拮抗劑,有消化道出血時急檢纖維胃鏡,確診同時局部止血。同時改用質子泵抑制劑,一般保守治療多能治癒。如出血量大,需行手術治療。
總之,加強圍手術期的器官功能的支持,預防和治療感染應是降低圍手術期併發症的主要措施,可減少併發症和死亡率。

