概述
肝細胞凋亡肝細胞凋亡是目前各國科學家研究的一個熱點,現已確定與急慢性肝炎的發病有著密切的關係。探索肝細胞凋亡的機制,了解凋亡順序化的環節,不僅可以用於指導臨床對肝炎的診斷,而且可以為探索治療肝炎新的方法提供新的途徑和依據。
肝細胞凋亡細胞凋亡是細胞死亡的形式之一,多數研究顯示,在各種肝疾病中,肝細胞損傷的結果可導致肝細胞凋亡,抑制細胞凋亡可達到保護肝細胞損傷的目的,凋亡抑制劑的運用將為臨床上防治各種肝損傷提供新的途徑。
一、細胞凋亡的形態學檢測
根據凋亡細胞固有的形態特徵,人們已經設計了許多不同的細胞凋亡形態學檢測方法。
1光學顯微鏡和倒置顯微鏡
(1)未染色細胞:凋亡細胞的體積變小、變形,細胞膜完整但出現發泡現象,細胞凋亡晚期可見凋亡小體。
貼壁細胞出現皺縮、變圓、脫落。
(2)染色細胞:常用姬姆薩染色、瑞氏染色等。凋亡細胞的染色質濃縮、邊緣化,核膜裂解、染色質分割
成塊狀和凋亡小體等典型的凋亡形態。
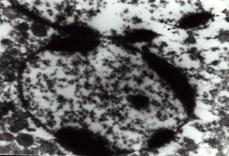
肝細胞凋亡一般以細胞核染色質的形態學改變為指標來評判細胞凋亡的進展情況。
常用的DNA特異性染料有:HO33342(Hoechst33342),HO33258(Hoechst33258),DAPI。三種染料與 DNA的結合是非嵌入式的,主要結合在DNA的A-T鹼基區。紫外光激發時發射明亮的藍色螢光。
Hoechst是與DNA特異結合的活性染料,儲存液用蒸餾水配成1mg/ml的濃度,使用時用PBS稀釋成終濃度為2~5mg/ml。
DAPI為半通透性,用於常規固定細胞的染色。儲存液用蒸餾水配成1mg/ml的濃度,使用終濃度一般為0.5~1mg/ml。
結果評判:細胞凋亡過程中細胞核染色質的形態學改變分為三期:Ⅰ期的細胞核呈波紋狀(rippled)或呈折縫樣(creased),部分染色質出現濃縮狀態;Ⅱa期細胞核的染色質高度凝聚、邊緣化;Ⅱb期的細胞核裂解為碎塊,產生凋亡小體。
細胞凋亡與藥物性肝炎
![]() | ![]() |
2抗腫瘤藥物 現在普遍認為,抗腫瘤藥的抗癌機理之一為抗腫瘤藥誘導腫瘤細胞發生凋亡。也有文獻報導抗腫瘤藥也可誘導正常肝細胞凋亡,如Tsuki-date等(4)發現,經秋水仙鹼與長春新鹼處理後的體外培養的肝細胞,出現細胞凋亡所具有的典型的生化學特徵,即梯狀DNA電泳圖譜。聯繫到許多抗腫瘤藥的肝毒性,不難推測其與細胞凋亡有聯繫。
細胞凋亡與病毒性肝炎
肝細胞凋亡1.2.2慢性病毒性肝炎 有研究報導,慢性B肝與C肝患者肝活檢標本中,肝細胞凋亡率明顯高於正常人,前者在平均6‰左右,後者在1‰以下,兩組在統計學上有顯著差異。慢性病毒性肝炎病檢中常見嗜酸性小體,局灶性死亡,現在認為均是調亡的典型表現,而且,經IFN-α治療後,肝臟的凋亡情況明顯改善,肝功能發生好轉(7)。這些都提示細胞凋亡與慢性病毒性肝炎有關。
1.3細胞凋亡與酒精性肝病 給大鼠長期餵飼酒精,鼠肝細胞凋亡的比例會明顯增加。Kawahara等為研究人酒精性肝病的凋亡情況,通過運用對Lewis抗原及斷裂的DNA(兩者均為凋亡之表現)的檢測,發現除脂肪肝外,處於臨床各期的酒精性肝病患者活檢標本均發現有凋亡的表現,而且有意義的是凋亡多者轉氨酶活動增強(8)。
1.4細胞凋亡與膽源性肝損傷 膽道梗阻引起肝細胞分泌及排泄膽汁發生障礙,肝細胞內外膽汁濃度升高。體外實驗表現,膽汁中的膽紅素與膽汁酸可使培養的鼠肝細胞發生凋亡,表現典型的凋亡時的形態學及生化學變化,且呈濃度依賴與時間依賴效應,濃度越高凋亡越多,作用時間越長,凋亡亦增加(1)。由此可知,肝細胞凋亡亦可能參與了膽源性肝損傷的病理機制。
1.5細胞凋亡與膿毒血症引起的肝損傷 Haendeler等(9)利用豬內毒休克動物模型觀察了肝細胞凋亡的情況,假手術組凋亡率有輕度的升高為對照組的166%±14%,但膿毒血症組升高明顯,達到295%±11%,而且在膿毒血症組肝細胞電泳時出現了梯狀DNA帶。
肝細胞凋亡1.7細胞凋亡與肝移植物排異反應 有人對鼠肝移植標本行組織學檢查,不僅凋亡信號陽性,而且細胞凋亡比例隨排異反應的演進而增加,隨排異反應的消退而減少,細胞凋亡反映了排異反應的嚴重程度(12)。也有研究顯示同種異體肝移植鼠動物模型的早期(2~7天),肝酶學指標升高與凋亡指數升高呈平行狀態,第2天、3天、4天、7天的凋亡指數分別為0.25%、0.38%、0.47%及1.58%,而GST的含量依次為74ng/ml、86ng/ml、255ng/ml與1710ng/ml,而且包括肝實質細胞在內,膽管細胞也發生凋亡。這些也說明細胞凋亡與肝移植引起的排異反應有關(13)。
細胞凋亡信號的傳導
在肝細胞受到損傷時,有些被稱為死亡因子的細胞因子被激活,如Fasl/Fas抗體,TNFα、TGFβ1、INFγ等,通過與靶細胞上的受體結合,引起凋亡的發生。
肝細胞凋亡2.2TNFα及其受體傳導途徑 TNFα是具有多種生物學效應的細胞因子,對肝臟的生長、炎性反應及細胞毒性均有調節作用。體內及體外實驗均發現,TNFα可誘導肝細胞凋亡,這是因為:(1)TNFα不僅誘導肝細胞死亡,而且能介導Kupffer氏細胞及肝竇內皮細胞發生凋亡;(2)在活體內經予大量的放線菌素D導致肝組織內TNFαmRNA表達增加,凋亡增多,而若經抗TNFα的血清處理後肝細胞損傷受到抑制(16);(3)直接注射TNFα到活體肝臟內,有凋亡典型的DNA梯帶出現(17)。TNFα效應通過2類細胞表面受體介導,即TNFα-R1與TNFα-R2。TNF引發的凋亡活動主要與TNFα-R1有關。這提示TNFα及其受體在肝毒性藥物、膿毒血症等引起的肝損傷方面會起著重要的作用。
2.3TGFβ1及其受體途徑 TGFβ1是抑制上皮細胞生長的多肽家庭族中的一員,是強有力的人或鼠肝細胞DNA合成抑制劑。有絲分裂原誘導的發生凋亡的肝臟組織內,TGFβ1前體表達明顯增加,外源性的TGFβ1可誘導培養的肝細胞發生凋亡,慢性病毒性肝炎及酒精性肝病患者的肝臟TGFβ1持續增加(1),這些均提示TGFβ1在肝損傷引起的細胞凋亡中起作用。以前認為肝臟只有非實質細胞分泌TGFβ1,現在研究發現肝實質細胞與肝外組織均可分泌TGFβ1,這樣TGFβ1可通過自分泌、旁分泌、遠距分泌等方式對肝細胞引發凋亡活動。TGFβ1是通過TGFβ1受體起作用的,其受體有TGFβ1-R1、TGFβ1-R2與TGFβ1-R3三種,肝細胞均表達這三種受體,在肝細胞受到損傷時,這三種受體的表達發生上調(18)。這些研究也表明TGFβ1及其受體途徑在肝細胞凋亡中發揮的重要作用。
2.4INF-γ途徑 INF-γ是激活的T細胞及NK細胞分解的一種細胞因子,其生物學作用主要是誘導主要組織相容性抗原(Ⅰ型與Ⅱ型)的表達,刺激TNF的產生,促進機體對病原微生物的清除。在調節機體的宿主反應、炎症及自體免疫方面起重要作用。由cancanaval-ina(Con-A)誘導的急性肝損傷動物的肝組織內凋亡率明顯增高的同時,INF-γ也增加,抗INF-γ血清不僅能降低肝損傷的程度,亦能改善肝細胞凋亡的情況(19)。在帶有INF-γ缺陷基因的轉基因鼠體內由ConA誘導的肝損傷活動受到抑制,在免疫性肝炎、病毒性肝炎、肝移植排異性反應病人發生肝損傷時,INF-γ明顯較正常人增高(20)。這都說明INF-γ與肝損傷、肝細胞凋亡間有密切關係。
2.5顆粒-排粒途徑 T細胞被激活後,釋放含穿孔素與顆粒酶的顆粒,在Ca2+的藉助下,顆粒在靶細胞膜上穿孔,進而顆粒酶(granzyme)進入靶細胞內,引起靶細胞DNA降解活動。對這種顆粒酶的研究也較多,已從人及鼠體內提取了10餘種酶,認為起主要作用的是granzymea與granzymeB(12)。
無論是受體介導的傳導,還是通過顆粒-排粒途徑,細胞凋亡時,在引起DNA降解之前幾乎都存在一共同的通路,即靶細胞內的蛋白水解酶(Caspase)的激活,尤其是蛋白水解酶3的激活最為重要(22)。
預防及保護
肝細胞凋亡3.1蛋白水解酶抑制劑與肝細胞保護 如前所述,蛋白水解酶激活,是凋亡細胞DNA降解的前提,尤其是蛋白水解酶3的激活可以說是必經之路,那么抑制這些蛋白水解酶的激活也會達到抑制凋亡的目的,有研究亦證實這一假說,如Kunstle等(23)運用蛋白酶抑制劑7-VAD-fluoromethylketone(FMK)可以保護鼠肝臟免受Fasl或TNF-α誘導急性肝損傷,並呈濃度效應關係。
3.2外源性cAMP與肝細胞保護 外源性的cAMP使肝細胞凋亡發生抑制,同對照組相比,明顯改善鼠肝損傷的情況。將CP-cAMP(cAMP之供體)直接作用於培養的鼠肝細胞,可抑制膽酸誘發的肝細胞凋亡活動,保護肝細胞,減輕其損傷程度(24)。
3.3一氧化氮(NO)與肝細胞保護 體內及體外試驗表明,NO在肝細胞凋亡中起重要作用,如將攜帶有含NO的藥物,這種藥物在肝臟代謝後,釋放出NO使肝臟局部達到高濃度NO,結果這種方法能有效地保護肝細胞受TNFα及放射菌素D所誘導的凋亡,而幾乎不影響體循環血流動力學(25)。最近,還有學者利用攜帶有NO合成酶基因的腺病毒處理體外培養的肝細胞,以便使肝細胞內NO合成酶表達增加,以致NO的合成增加,結果發現肝細胞能較好地抵抗TNFα與放線菌素D對其誘導的凋亡活動(26)。
精氨酸是NO的供體,在一個肝缺血再灌注損傷的動物實驗中,給豬提供外源性精氨酸(540mg/kg,iv)後發現,同對照組相比,實驗組動物的凋亡指數明顯降低,動物存活時間延長,循環血中肝功能指標明顯得到改善(27)。
肝細胞凋亡3.5其他 近來,其他的肝細胞凋亡抑制劑尚有衣黴素。衣黴素能抑制蛋白發生糖其他反應,體內與體外實驗顯示,它可抑制TNFα誘導的肝細胞凋亡,降低肝損傷程度(30)。
小結與展望
近來的研究多認為各種病因引起的肝細胞損傷與細胞凋亡有密切的關係,抑制肝細胞凋亡可以達到保護肝細胞的作用。雖然在這一方面研究仍處在體外實驗及動物實驗水平,但是隨著研究的深入各種凋亡抑制劑的運用可望為臨床上各種肝疾病如急性病毒性肝炎、膿毒血症或炎性反應綜合徵、藥物性肝炎、肝缺血再灌注損傷、肝移植物的排異反應等引起的肝損傷的防治及在供肝的保護方面提供新的思路,探索新的路徑。
消化系統疾病
| 消化系統疾病一直是影響人類生存質量的主要疾病,特別是消化系統腫瘤更是嚴重威脅人類健康。醫學統計數據表明,屬於消化系統腫瘤的肝癌和胃癌長年來一直位於我國腫瘤發病率的第二位和第三位。 | |||
| 胃炎 急性胃炎 急性胃腸炎 胃潰瘍 慢性萎縮性胃炎 慢性胃炎 慢性淺表性胃炎 消化性潰瘍 胃腸道脹氣 腸上皮化生 胃癌 胃痛 急性胃擴張 胃柿石症 胃黏膜脫垂症 胃下垂 胃泌素瘤 傾倒綜合徵 胃扭轉 小腸腫瘤 阿狄森氏病 | 大腸癌 直腸癌 肛門直腸損傷 結腸直腸腺瘤 克隆氏病 腸中風 急性腸炎 慢性腸炎 急性腸梗阻 急性腸胃炎 偽膜性腸炎 放射性腸炎 直腸陰道瘺 腸結核 缺血性腸病 闌尾炎 急性闌尾炎 蛔蟲病 蟯蟲病 鉤蟲病 | 先天性肛門閉鎖 肛門瘺管 肛裂 肛門梳硬結 肛門濕疹 肛門直腸先天畸形 直腸脫垂 肛門瘙癢 大便失禁 肛管直腸癌 便秘 器質性便秘 功能性便秘 結腸性便秘 妊娠便秘 產褥期便秘 小兒便秘 急性細菌性痢疾 小兒便血 胃原性腹瀉 | 感染性腹瀉 食物中毒 腺病毒胃腸炎 慢性肝炎 小兒肝炎 藥物性肝炎 酒精性肝炎 肝昏迷 肝功能衰竭 肝細胞凋亡 肝腫大 黃疸 老年肝硬化 肝纖維化 門靜脈高壓症 肝腎綜合徵 肝吸蟲病 肝功能檢查 肝穿刺 肝移植術 |



