病因
慢性淺表性胃炎多見於急性胃炎之後,胃黏膜病變經久不愈或反覆發作,逐漸演變而成淺表性胃炎。鼻腔、口腔、咽部等部位的慢性感染病灶,如齒槽溢膿、扁桃體炎、鼻竇炎等細菌或其毒素的長期吞食,可反覆刺激胃黏膜而引起淺表性胃炎。經發現90%慢性扁桃體炎患者胃內有慢性炎症改變。
2.吸菸
菸草中主要有害成分是尼古丁,長期大量吸菸可使幽門括約肌鬆弛,十二指腸液反流,以及胃部血管收縮,胃酸分泌量增加,從而破壞胃黏膜屏障導致慢性炎性病變。
3.藥物
某些藥物如水楊酸製劑、皮質激素、洋地黃、消炎痛、保泰松等,可引起慢性胃黏膜損害。
4.刺激性食物
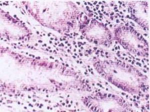
慢性淺表性胃炎鏡下病理改變5.循環及代謝功能障礙
充血性心力衰竭或門靜脈高壓時,使胃長期處於瘀血和缺氧狀態,導致胃黏膜屏障功能減弱,胃酸分泌減少,細菌大量繁殖,容易造成胃黏膜炎性損害。慢性腎衰竭時,尿素從胃腸道排出增多,經細菌或腸道水解酶作用產生碳酸銨和氨,對胃黏膜產生刺激性損害,導致胃黏膜充血水腫,甚至糜爛。
6.膽汁或十二指腸液反流
經胃鏡發現或證實膽汁反流是引起淺表性胃炎的一個重要原因。由於幽門括約肌功能失調或胃手術後十二指腸液或膽汁可反流至胃內,並破壞胃黏膜屏障,促使H+及胃蛋白酶反向彌散至黏膜內引起一系列病理反應,導致淺表性胃炎。醫學/教育網整理蒐集。
7.幽門螺桿菌(Hp)感染
1986年,世界胃腸病學會第八屆會議上提出了Hp感染是淺表性胃炎的重要原因之一。Hp致病機理可能主要是通過破壞胃黏膜屏障,使H+反向彌散,最終引起胃黏膜的炎症。
8.心理因素
由於心理衛生不健康,長期處於精神緊張、憂慮或抑鬱狀態,可引起全身交感神經和副交感神經功能失衡。導致胃黏膜血管舒縮功能紊亂,造成胃黏膜血流量減少,破壞胃黏膜屏障作用,形成胃黏膜慢性炎症反應。
病理
慢性淺表性胃炎又稱慢性單純性胃炎,胃黏膜最常見的病變之一,國內胃鏡檢出率高達20%~40%,以胃竇部常見;胃鏡見胃黏膜:胃黏膜充血、水腫,呈淡紅色,可伴點狀出血及糜爛,表面可有灰黃色或灰白色粘液滲出物覆蓋;顯微鏡示:病變位於黏膜淺層。
症狀
1.上腹痛:疼痛多不規律,與飲食無關,一般為瀰漫性上腹部灼痛、隱痛、脹痛等,極少數患者表現為絞痛並向背部放射,易誤診為心絞痛。
2.噯氣:因胃酸缺乏,胃內發酵產氣等因素使胃內氣體積存,導致噯氣發生。
3.腹脹:因食物滯留、排空延遲、消化不良、進食不易消化的食物,導致腹脹發生。
4.食欲不振:慢性淺表性胃炎多有食慾減退或時好時壞。
5.噁心與嘔吐:炎性胃黏膜受理化、生物因素刺激,以及胃動力不足障礙、胃逆蠕動影響,出現噁心、嘔吐。
6.便秘與腹瀉:大多數患者有便秘症狀,腹瀉相對較少。
診斷
1.主要根據病人的症狀如飯後上腹部飽脹,疼痛等,可懷疑有慢性淺表性胃炎。確診主要依靠胃鏡檢查和胃黏膜活組織檢查。
2.本病需和消化性潰瘍、胃腸神經官能症、慢性膽道疾病等加以鑑別。
治療
慢性淺表性胃炎如戒菸酒,減少食鹽攝入;糾正不良飲食習慣,避免對胃有刺激的飲食,飲食宜軟易消化,避免過於粗糙、過於濃烈的香辛料和過熱、過冷飲食。少吃鹽漬、煙燻、不新鮮食物;以及停服某些刺激胃黏膜的藥物,特別是阿司匹林等非甾體類消炎藥;有鼻腔和咽部慢性感染灶應予以清除。
2.藥物治療
(1)保護胃黏膜藥常用的藥物。
(2)調整胃腸運動功能藥物。
(3)胃鏡檢查發現幽門螺桿菌陽性,應服用抗生素。
(4)服用制酸劑。
(5)上腹疼痛較重者可口服止痛藥。
(6)可用助消化藥等。
預防
(1)對於急性胃炎,應及早徹底治療,以防病情經久不愈而發展為慢性淺表性胃炎。
(2)忌用或少用對胃黏膜有損害的藥物,如阿斯匹林、保泰松、消炎痛、利血平、甲苯磺丁脲、激素等。如果必須套用這些藥物時,一定要飯後服用,或者同時服用抗酸劑及胃黏膜保護藥,以防止對胃黏膜的損害。
(3)積極治療口腔、鼻腔、咽部慢性感染灶,以防局部感染灶細菌或其毒素長期吞食,造成胃黏膜炎症。
(4)飲食宜清淡,富有營養,規律有節,定時定量,切忌過飢過飽、暴飲暴食。同時避免濃茶、咖啡、香料、粗糙生硬食物攝入,戒菸戒酒,以防損傷胃黏膜。
(5)避免精神緊張、心情憂鬱及過度疲勞,宜生活有節、勞逸結合、情緒樂觀,同時應加強體育鍛鍊,增強體質,加強胃腸運動功能。
(6)積極治療可導致慢性胃炎發生的全身性疾病,如肝、膽、胰、心、腎疾病及內分泌病變等。
注意
(1)患者應選粗纖維少、無刺激性、細軟易消化的食物,食物中應含有足夠的蛋白質、熱量、維生素等營養物質;豆漿、牛奶營養高且有保護胃黏膜的作用,應列為常用食品。
(2)避免各種刺激性食物,如烈性酒、濃咖啡、濃茶、辣椒、生蒜等,同時避免過硬、過酸、過辣、過鹹、過燙、過冷、過分粗糙的食物,不吃產氣性強、高脂肪的食物。
(3)烹調方法宜採用蒸、煮、燜、燴、炒等方法。不宜用炸、烤、熏、烙、醃的方法。
(4)要注意飲食規律,定時定量,避免暴飲暴食。胃的活動是有規律的,當飲食不規律時,必將導致胃活動的不協調。我們也常注意到,上夜班的工作人員以及其他生活不規律的人員胃病患病率明顯高於普通人。
預後
預後較好。少部分慢性淺表性胃炎可進展為慢性多灶萎縮性胃炎,這部分患者中,極少部分患者數經過長期的發展可發展為胃癌。由幽門螺桿菌引起的慢性淺表性胃炎部分可以進展為胃潰瘍和十二指腸潰瘍。
消化系統疾病—生存質量的隱患
| 消化系統疾病一直是影響人類生存質量的主要疾病,特別是消化系統腫瘤更是嚴重威脅人類健康。醫學統計數據表明,屬於消化系統腫瘤的肝癌和胃癌長年來一直位於我國腫瘤發病率的第二位和第三位。 |
消化系統疾病
| 消化系統疾病一直是影響人類生存質量的主要疾病,特別是消化系統腫瘤更是嚴重威脅人類健康。醫學統計數據表明,屬於消化系統腫瘤的肝癌和胃癌長年來一直位於我國腫瘤發病率的第二位和第三位。 | |||
| 胃炎 急性胃炎 急性胃腸炎 胃潰瘍 慢性萎縮性胃炎 慢性胃炎 慢性淺表性胃炎 消化性潰瘍 胃腸道脹氣 腸上皮化生 胃癌 胃痛 急性胃擴張 胃柿石症 胃黏膜脫垂症 胃下垂 胃泌素瘤 傾倒綜合徵 胃扭轉 小腸腫瘤 阿狄森氏病 | 大腸癌 直腸癌 肛門直腸損傷 結腸直腸腺瘤 克隆氏病 腸中風 急性腸炎 慢性腸炎 急性腸梗阻 急性腸胃炎 偽膜性腸炎 放射性腸炎 直腸陰道瘺 腸結核 缺血性腸病 闌尾炎 急性闌尾炎 蛔蟲病 蟯蟲病 鉤蟲病 | 先天性肛門閉鎖 肛門瘺管 肛裂 肛門梳硬結 肛門濕疹 肛門直腸先天畸形 直腸脫垂 肛門瘙癢 大便失禁 肛管直腸癌 便秘 器質性便秘 功能性便秘 結腸性便秘 妊娠便秘 產褥期便秘 小兒便秘 急性細菌性痢疾 小兒便血 胃原性腹瀉 | 感染性腹瀉 食物中毒 腺病毒胃腸炎 慢性肝炎 小兒肝炎 藥物性肝炎 酒精性肝炎 肝昏迷 肝功能衰竭 肝細胞凋亡 肝腫大 黃疸 老年肝硬化 肝纖維化 門靜脈高壓症 肝腎綜合徵 肝吸蟲病 肝功能檢查 肝穿刺 肝移植術 |

