簡介
腸上皮化生腸上皮化生是指胃黏膜上皮細胞被腸型上皮細胞所代替,即胃黏膜中出現類似小腸或大腸黏膜的上皮細胞,其是胃黏膜常見病變,見於多種慢性胃病。腸上皮化生細胞來自胃固有腺體頸部未分化細胞,這部分細胞是增殖中心,具有向胃及腸上皮細胞分化的潛能。正常時,它不斷分化成胃型上皮細胞,以補充衰老脫落的表面上皮;病理情況下,它可分化為腸型上皮細胞,形成腸化生。近來有人進一步研究腸化灶的組織學始發部位主要在胃小溝,微小的腸化灶以胃小溝為中心,可以不同程度地向周圍胃小區發展為小灶及大片狀腸化灶。通過病理學的研究,目前對腸上皮化生作了一系列的分類,按化生上皮功能來分腸上皮化生,可分為完全性或不完全性腸上皮化生。前者與小腸黏膜吸收細胞相似,有刷狀緣,不分泌粘液,具有潘氏細胞、杯狀細胞和吸收細胞,含蔗糖酶、海藻糖酶及亮氨酸基肽酶和鹼性磷酸酶;而不完全性腸上皮化生刷狀緣不明顯,微絨毛髮育不全,胞漿內有粘液分泌顆粒,含蔗糖酶,但氨基肽酶和鹼性磷酸酶活性低,無海藻糖酶。
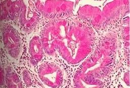
腸上皮化生通過粘液組化染色把腸上皮化生分為小腸型化生(即完全性腸上皮化生)和結腸型化生(即不完全性腸上皮化生)。結腸型化生,其上皮分化差,在良性胃病中檢出率很低(11.3%),但在腸型胃癌旁黏膜中檢出率很高(88.2%),說明結腸型化生與胃癌的發生有密切關係。一般結腸型化生發生的年齡較小腸型化生為晚,而且均位於較重的小腸化生灶中。兩型化生可混合存在,因此結腸型化生可能是在小腸型化生逐漸加重的基礎上發生的。
慢性萎縮性胃炎常伴有腸化,腸化是胃黏膜損傷的一種指標,也是慢性萎縮性胃炎的重要上皮變化。有人統計腸化合併萎縮性胃炎者占65.5%,而且隨著年齡增長而上升,隨著萎縮區的擴大,腸化的比數也增加。腸化與萎縮性胃炎部位分布也基本一致,以胃竇部出現率為最高,其次是體竇移行部位,由於萎縮性胃炎並腸上皮化生與胃癌發生關係密切,故臨床上對此種病人應引起高度重視,長期隨訪,定時複查,以防癌變。
疾病分類
通過一種名叫黏液組化染色的方法,把腸上皮化生分為小腸型化生(即完全性腸上皮化生)和結腸型化生(即不完全性腸上皮化生)。
小腸型化生:其上皮分化好,是一種常見的黏膜病變,廣泛見於各種良性胃病(檢出率為57.8%>,尤其多見於慢性胃炎,隨著炎症的發展化生亦加重,故認為小腸型化生可能屬於炎症反應的性質。
結腸型化生:其上皮分化差,在良性胃病中檢出率很低(11.3%),但在腸型胃癌旁的黏膜中檢出率很高(88.2%),說明結腸型化生與胃癌的發生有密切關係。
病因
腸上皮化生關於腸上皮化生與胃癌的關係,目前的證據是:
1、有癌的胃比有良性病的胃,其腸上皮化生發生率高而且廣泛;
2、腸上皮化生與癌的發生部位非常相似,同樣在胃竇的小彎比大彎及胃底多見;
3、胃癌高發區比胃癌低發區腸上皮化生多見;
4、多數胃癌伴隨息肉者皆系腸型蕈狀癌在腸化生的鄰近;
5、有直接組織學的證據說明癌可能發生在腸上皮化生部位,也有人證實從腸上皮化生移行為癌組織。當然還有1/3胃癌不伴有腸上皮化生,癌細胞仍正常黏膜的頸部細胞轉化而成,這種癌為瀰漫型,組織學上分化較差。
病理
腸上皮化生腸上皮化生是怎樣演變為胃癌的呢?目前的假設是:胃黏膜的腺頸部幹細胞具有多方面分泌的潛能,在正常時它可以分化成各種胃黏膜的成熟上皮細胞。在炎症刺激下,由於幹細胞的異常增殖而發展成為小腸型腸化生,隨著炎症的加重,化生變加重,隨後在小腸型腸化生的基礎上,又發生大腸型腸化生。大腸型腸化生更易癌變,癌變後成為腸型胃癌。另外,幹細胞在癌變中直接向腸型細胞分化,也可形成腸型胃癌。
症狀
病例
腸上皮化生發紅黏膜的病理結果為以淋巴細胞和漿細胞為主,還有中性粒細胞浸潤及不同程度的腺體萎縮和腸上皮化生(腸化)共7例,其餘20例分別為慢性淺表性胃炎、慢性萎縮性胃炎。有腸上皮化生表現的占所有發紅黏膜表現的25.9%。這7例腸上皮化生病人中,有4人有胃癌家族史,其餘3人病史很長(8~20年)。這7例病人的臨床特點是均有長時間的上腹不適、反酸、噯氣、燒心等不同症狀,輕重不一,一直未用任何胃藥,就診時有4人臨床症狀明顯加重,以腹痛、燒心症狀為主,其餘3人症狀輕微。經過對症治療後,該7例病人臨床症狀消失,病理檢查腸化成分消失。
一般資料
1202例胃鏡檢查患者中,均以上消化道症狀就診,男:661人,女541人。胃鏡檢查中發現有發紅黏膜表現者27人,占2.25%,男19人,女8人。病變部位在胃體部者,男8人,女3人;在胃竇部者,男3人,女2人;在胃底部者,男8人,女3人。病變形態不規則者多見,少數為類圓形。表面光滑,面積大小從直徑1~5cm不等。發紅黏膜與周圍正常黏膜界限清楚。
方法
腸上皮化生將所有發紅黏膜從不同部位分別取3~6塊組織,將組織送病理HE檢查。
腸上皮化生:出現腸上皮的杯狀細胞、吸收細胞、潘氏細胞和PAS陽性的具有刷狀緣的細胞。
內鏡下將腸化分為四類:
① 淡黃色結節型:單發或多發的2~3mm大小淡黃色結節,略呈扁平狀突出於胃黏膜,表面呈絨毛狀或細顆粒狀;
② 瓷白色小結節型:孤立或多發的細小結節,瓷白色半透明狀,表面光滑、柔軟,鏡下反光較正常黏膜強;
③ 魚鱗型:胃小區呈條狀擴大,排列呈魚鱗狀或羽毛狀,一般呈條片狀或瀰漫性分布;
④ 瀰漫型:黏膜瀰漫性不規則性顆粒狀不平,略呈灰白色,以上是胃鏡下的腸化表現。由於淺表性胃炎的活動使黏膜產生紅斑,紅色掩蓋了腸化的本身顏色。故在發紅黏膜區取病理可以查到腸化。通過本資料研究發現發紅黏膜並不是腸上皮化生的表現,但在發紅黏膜區可以查到腸化,而萎縮性胃炎及腸化均是胃癌的癌前病變,故提醒內鏡醫師在日常工作中,鏡下見到發紅黏膜時,應取組織行病理檢查,以免遺漏腸化診斷。
病因治療
腸上皮化生祛除致病因素是治療和預防慢性淺表性胃炎的上策。故應避免精神緊張,戒菸,適量限制飲酒,儘量不服用對胃有刺激的藥物,積極治療慢性扁桃體炎、副鼻竇炎、齲齒及咽喉部感染灶。
飲食療法
慢性淺表性胃炎患者飲食宜清淡,有規律、定時定量,避免過酸、過辣、生冷及粗糙食物。
藥物治療
保護胃黏膜的藥物
腸上皮化生① 生胃酮--是甘草酸水解後製成的琥珀酸半酯,能增強胃黏膜粘液的分泌,延長胃上皮細胞壽命及輕度抑制胃蛋白酶的活力,故能保護胃黏膜不受膽汁損傷,避免H+反擴散。用法100毫克/次,3次/日,2周后改為50毫克/次,3次/日,餐前半小時服,4--5周為一療程。副作用有水鈉瀦留,故宜同時服用氫氯噻嗪和鉀鹽。
② 硫糖鋁--該藥能與胃蛋白酶絡合,抑制該酶分解蛋白質,並能與胃黏膜蛋白質絡合成保護膜,阻止胃酸、胃蛋白酶和膽汁酸的滲透、侵蝕。此外,本藥亦能促進胃黏膜細胞的新陳代謝。用法1.0克/次,3--4次/日。
③ 麥滋林-S顆粒--該藥含有水溶性B334和L-谷氨醯胺。水溶性B334能直接作用於胃黏膜,使局部炎症消失。L-谷氨醯胺與胃腸黏膜上皮成分已糖胺及葡萄糖胺一起,參與促進組織修復以達到治療目的。用法670毫克/次,3次/日。
④ 胃炎乾糖漿--藥主要由硫酸慶大黴素、鹽酸普魯卡因、VitB12等成分組成。具有消炎、止痛,促進胃黏膜修復等作用。用法5克/次,3次/日。
⑤ 思密達--該藥對細菌和病毒有很強的固定能力,對消化道黏膜具有很強的復蓋能力。通過與粘液的作用可提高消化道黏膜膠質的韌性,以對抗各種攻擊因子。用法3克/次,3次/日。
⑥ 其他--維酶素2--4片/次,3次/日口服;胃膜素2--3克/次,3次/日口服;氫氧化鋁膠10毫克/次,3次/日口服;蓋胃平4片/次,3次/日口服;前列腺素E250--150毫克/次,3次/日口服等。均可起到保護和改善胃黏膜的作用。
消除胃黏膜損害因素的藥物
腸上皮化生① 控制HP感染--HP與慢性胃炎尤其是慢性活動性胃炎關係密切,殺滅HP的藥物有利於治療慢性淺表性胃炎,體外試驗HP對青黴素、氨基甙類、四環素類、頭孢菌素類、大環內酯類、硝基咪唑類、呋喃類及鉍劑敏感。故臨床常選用以下藥物:三鉀二枸櫞酸鉍鹽(TDB)120毫克/次,4次/日,4周為一療程;羥氨苄青黴素1.5克/次,2次/日,連服8天,改為1.0/次,2次/日,再連服28天;呋喃唑酮0.1克/次,3次/日,連續服用2--4周;甲硝唑0.4克/次,3次/日口服,連服14天為一療程;瑞貝克口服每次80毫克/次,2次/日,連服3--4周為一療程;等等。此外,還可以通過聯合用藥加強清除HP的效果。
② 胃壁細胞受體拮抗劑--組織胺H2受體、胃泌素受體和乙醯膽鹼受體拮抗劑,均能減少胃酸分泌而用於治療胃炎,尤其對於高胃酸者尤為適宜。臨床常用的有西咪替丁、雷尼替丁、法莫替丁等;丙谷胺、阿托品、普魯本辛等也可用於本病。哌吡氮平能選擇性抑制胃酸分泌而對心率、瞳孔、前列腺素及胃腸蠕動均無明顯影響。用法50毫克/次,2次/日。洛賽克為H+-K+-ATP酶阻滯劑,亦可抑制胃酸分泌。
③ 控制和改善膽汁反流的藥物--幽門功能紊亂,膽汁反流破壞胃黏膜屏障致胃炎,故可用胃復安、止嘔靈、嗎丁啉、西沙比利及消膽胺等治療,此類藥物均有促進胃排空、防止反流的作用。具體用法胃復安10毫克/次,3次/日;止嘔靈50--100毫克/次,3次/日;嗎丁啉10--20毫克/次,3--4次/日;西沙比利5--10毫克/次,2--3次/日;消膽胺3--4克/次,4次/日。
④ 抗胃蛋白酶藥物--硫化多糖能與胃蛋白酶結合而使之滅活,避免胃黏膜受損,常用者有硫糖鋁、硫酸軟骨素等。
消化系統疾病—生存質量的隱患
| 消化系統疾病一直是影響人類生存質量的主要疾病,特別是消化系統腫瘤更是嚴重威脅人類健康。醫學統計數據表明,屬於消化系統腫瘤的肝癌和胃癌長年來一直位於我國腫瘤發病率的第二位和第三位。 |
消化系統疾病
| 消化系統疾病一直是影響人類生存質量的主要疾病,特別是消化系統腫瘤更是嚴重威脅人類健康。醫學統計數據表明,屬於消化系統腫瘤的肝癌和胃癌長年來一直位於我國腫瘤發病率的第二位和第三位。 | |||
| 胃炎 急性胃炎 急性胃腸炎 胃潰瘍 慢性萎縮性胃炎 慢性胃炎 慢性淺表性胃炎 消化性潰瘍 胃腸道脹氣 腸上皮化生 胃癌 胃痛 急性胃擴張 胃柿石症 胃黏膜脫垂症 胃下垂 胃泌素瘤 傾倒綜合徵 胃扭轉 小腸腫瘤 阿狄森氏病 | 大腸癌 直腸癌 肛門直腸損傷 結腸直腸腺瘤 克隆氏病 腸中風 急性腸炎 慢性腸炎 急性腸梗阻 急性腸胃炎 偽膜性腸炎 放射性腸炎 直腸陰道瘺 腸結核 缺血性腸病 闌尾炎 急性闌尾炎 蛔蟲病 蟯蟲病 鉤蟲病 | 先天性肛門閉鎖 肛門瘺管 肛裂 肛門梳硬結 肛門濕疹 肛門直腸先天畸形 直腸脫垂 肛門瘙癢 大便失禁 肛管直腸癌 便秘 器質性便秘 功能性便秘 結腸性便秘 妊娠便秘 產褥期便秘 小兒便秘 急性細菌性痢疾 小兒便血 胃原性腹瀉 | 感染性腹瀉 食物中毒 腺病毒胃腸炎 慢性肝炎 小兒肝炎 藥物性肝炎 酒精性肝炎 肝昏迷 肝功能衰竭 肝細胞凋亡 肝腫大 黃疸 老年肝硬化 肝纖維化 門靜脈高壓症 肝腎綜合徵 肝吸蟲病 肝功能檢查 肝穿刺 肝移植術 |

