概述
慢性萎縮性胃炎慢性萎縮性胃炎是指胃黏膜已經發生萎縮性改變的慢性胃炎,慢性萎縮性胃炎又可以分為多灶萎縮性胃炎和自身免疫性胃炎兩大類。前者萎縮性改變在胃內呈多灶性萎縮,以胃竇為主,多由幽門螺桿菌感染引起的慢性非萎縮性胃炎發展而來,後者萎縮性改變主要在胃體,多由自身免疫引起的胃體胃炎發展而來。
慢性萎縮性胃炎是消化系統常見病、多發病之一,在慢性胃炎中約占10%~30%。在病理上以胃黏膜固有腺萎縮為主要改變,可伴有腸上皮化生、炎性反應及異型增生。
臨床上萎縮性胃炎主要表現為上腹部脹滿、隱痛不適、食慾減退、噯氣等消化不良症狀,有時因胃內因子遭到破壞,維生素B12吸收不良可致貧血。
主要類型
根據萎縮性胃炎血清免疫學檢查與胃內病變的分布,可將其分為A型、B型、AB型。
A型萎縮性胃炎
A型萎縮性胃炎病變主要見於胃體部,多瀰漫性分布,胃竇黏膜一般正常,血清壁細胞抗體陽性,血清胃泌素增高,胃酸和內因子分泌減少或缺少,易發生惡性貧血,又稱為自身免疫性胃炎。
B型萎縮性胃炎
B型萎縮性胃炎病變多見於胃竇部,呈多灶性分布,血清壁細胞抗體陰性,血清胃泌素多正常,胃酸分泌正常或輕度減低,無惡性貧血,較易並發胃癌,這是一種單純性萎縮性胃炎。
AB型萎縮性胃炎
AB型萎縮性胃炎指同時累及胃竇、胃體的萎縮性胃炎。
主要病因
慢性萎縮性胃炎的具體病因不明,可能與下列因素有關:
1、慢性淺表性胃炎的繼續:慢性萎縮性胃炎可由慢性淺表性胃炎發展而來。解放軍總醫院等6個醫院報告經5~8年的隨訪觀察淺表性胃炎164例,其中34例轉變成慢性萎縮性胃炎(20.7%)。慢性淺表性胃炎的病因均可成為慢性萎縮性胃炎的致病與加重因素。
2、遺傳因素:據調查,慢性萎縮性胃炎病人的第一代親屬間,慢性萎縮性胃炎的發病率明顯增高,惡性貧血的遺傳因素也很明顯。
3、金屬接觸:胃黏膜活組織檢查發現鉛作業工作者萎縮性胃炎發病率增高。除鉛外很多重金屬如汞、碲、銅及鋅等對胃黏膜都有一定的損傷作用。
慢性萎縮性胃炎5、生物性因素:慢性傳染病如肝炎、結核病患者常有慢性胃炎的症狀和體徵,胃黏膜染色也證實在B肝病人胃黏膜內有B肝病毒的抗原抗體複合物。瑞金醫院報導91例萎縮性胃炎病人,有24例(26.4%)合併慢性肝炎。
6、缺鐵性貧血:缺鐵性貧血與萎縮性胃炎關係密切,據調查缺鐵性貧血50例,正常胃黏膜、淺表性胃炎及萎縮性胃炎各占14%、46%及40%。但是貧血引起胃炎的機理尚不明了。有些學者認為胃炎是原發病,因為胃炎胃酸低致鐵不能吸收,或因胃出血以致形成貧血;另一種意見認為先有貧血,因為身體內鐵缺乏使胃黏膜更新率受影響而容易發生炎症。
7、體質因素:臨床統計結果顯示本病的發生與年齡呈顯著的正相關。年齡愈大,胃黏膜機能“抵抗力”也愈差,容易受外界不利因素的影響而造成損傷。
8、膽汁或十二指腸液反流:由於幽門括約肌功能失調或胃空腸吻合術後,膽汁或十二指腸液可反流至胃內,並破壞胃黏膜屏障,促使胃蛋白酶反散至黏膜內引起一系列病理變化,從而導致慢性淺表性胃炎,並可發展為慢性萎縮性胃炎。
9、免疫因素:自身免疫反應是慢性萎縮性胃炎的病因之一,在患者的血液、胃液或在萎縮黏膜的漿細胞內,常可找到壁細胞抗體或內因子抗體,部分萎縮性胃炎患者體外淋巴細胞轉化試驗和白細胞移動抑制試驗有異常。
10、幽門螺鏇桿菌(HP)感染:HP的感染程度與胃黏膜炎症程度呈正相關關係。1986年世界胃腸病學會第八屆會議上提出了HP感染是慢性胃炎的重要病因之一。
11、其他:如飲食不當、長期嗜菸酒、濫用藥物、上呼吸道慢性炎症、中樞神經功能失調,使胃黏膜受損,以及胃大部切除術後,分泌胃泌素的胃竇區切除,致使胃黏膜營養障礙等,均易導致胃黏膜受損而發生萎縮、炎症變化。
發病機制
引起慢性萎縮性胃炎的病因和發病機制目前尚不十分清楚。一般認為在免疫因素、膽汁反流、生物因素、藥物因素以及急性胃炎、口腔和鼻咽感染等的影響下,引起胃黏膜慢性炎症,使胃黏膜表面反覆受到損害,久之導致胃分泌腺體萎縮,胃黏膜變色、變薄、血管顯露,胃酸分泌減少,消化功能減弱,胃蠕動功能失調等,從而形成慢性萎縮性胃炎。古方謂崧茶能幫助追風散寒、舒筋活絡,改善人體的新陳代謝。不僅緩解胃內淤血導致的刺痛,還可增強人體免疫力,防止胃潰瘍癌變等
病理分析
主要病理變化是胃黏膜腺體不同程度的萎縮。萎縮性胃炎時,胃黏膜萎縮而被腸的上皮細胞取代即腸化生;炎症繼續演變,則細胞生長不典型,即間變;甚至細胞增生而致癌變。
癌變
胃癌是最常見的惡性腫瘤,嚴重危害人類健康。而胃黏膜癌腫不是由正常細胞“一躍”變成癌細胞,而是一個多步驟癌變的過程,即慢性淺表性胃炎→萎縮性胃炎→腸上皮化生→異型增生→胃癌,在這期間出現的病變稱之為癌前病變。癌前病變是指一類容易發生癌變的胃黏膜病理組織學變化,即胃黏膜的異型增生和腸上皮化生,主要伴存於慢性萎縮性胃炎,所以臨床上常把伴腸上皮化生、異型增生稱之為慢性萎縮性胃炎癌前病變或胃癌前期病變,伴中度以上的異型增生和不完全大腸型化生則稱之為真正的胃癌癌前病變。
慢性萎縮性胃炎容易發生癌變,其發生癌變的機率是5-10年癌變率約3%-5%,10年以上10%,輕度異型增生10年癌變率2.5%-11%,中度異型增生10年癌變率4%-35%,重度異型增生10年癌變率10%-83%。
臨床表現
慢性萎縮性胃炎的臨床表現不僅缺乏特異性,而且與病變程度並不完全一致。
患者臨床症狀表現
臨床上,有些慢性萎縮性胃炎患者可無明顯症狀。但大多數患者在飯後會出現嚴重上腹部灼痛、脹痛、鈍痛或脹滿、痞悶,而且患者多會食欲不振、噁心、噯氣、便秘或腹瀉等症狀。嚴重者可有消瘦、貧血、脆甲、舌炎或舌乳頭萎縮,少數胃黏膜糜爛者可伴有上消化道出血。其中A型萎縮性胃炎並發惡性貧血在中國少見。本病無特異體徵,上腹部可有輕度壓痛。
(1)胃脘部脹滿
在慢性萎縮性胃炎中,胃脘部脹滿不適較為多見,有的患者感覺胃部痞悶或胃脘有堵塞感,甚至腹部、脅肋部、胸部也感到脹滿,噯氣頻頻。
(2)胃脘部疼痛
胃脘部疼痛可以單獨出現,但多數情況下是與胃脘部脹滿同時出現。呈脹痛、隱痛、鈍痛,急性發作時也可出現劇痛或絞痛。疼痛部位一般在胃脘部,少數可出現在脅肋部、腹部、背部或胸部,胃脘部有局限的壓痛或深壓不適感。有的患者僅感胃脘部不適或難受,無可名狀。
(3)燒心及消化不良症狀
患者自覺胃脘部灼熱或嘈雜不適。常常出現食慾減退,甚至無食慾,或雖有食慾但進食後感胃脘脹滿不適或消化不良。
(4)大便異常及虛弱症狀
大便以秘結多見,常數日1次,少數患者可表現為便溏。病程較久者可出現消瘦、疲乏無力、精神萎靡等虛弱的症狀。
(5)貧血
可為缺鐵性貧血或巨幼紅細胞性貧血,前者因長期營養不良,鐵劑補充不足所致,後者因內因子缺乏致使維生素B12減少所致。一般為輕、中度貧血,表現為頭暈、乏力,眼結膜色淡,面色萎黃,甲床色淡或蒼白等。
胃部黏膜表現
早期慢性萎縮性胃炎患者胃黏膜紅白相間或以白為主,可呈現局限性的斑塊狀分布,萎縮黏膜脆性增加,容易出血,可伴有糜爛病灶的表現。
診斷檢查
慢性萎縮性胃炎的診斷檢查慢性萎縮性胃炎在臨床上無特異性表現,故診斷慢性萎縮性胃炎需要臨床表現結合相關輔助檢查,尤其是胃鏡檢查及胃黏膜活組織檢查。
一、臨床表現:
主要為食慾減退、噁心、噯氣、上腹部飽脹或鈍痛,少數病人可以發生上消化道出血、消瘦、貧血、脆甲、舌炎或舌乳頭萎縮等。
二、實驗室檢查
①胃液分析:A型CAG患者多無酸或低酸,B型CAG患者可正常或低酸。
②胃蛋白酶原測定:胃蛋白酶原由主細胞分泌,慢性萎縮性胃炎時,血及尿中的胃蛋白酶原含量減少。
③血清胃泌素測定:胃竇部黏膜的G細胞分泌胃泌素。A型CAG患者,血清胃泌素常明顯增高;B型CAG患者胃竇黏膜萎縮,直接影響G細胞分泌胃泌素功能,血清胃泌素低於正常。
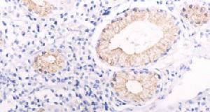
④免疫學檢查:壁細胞抗體(PCA)、內因子抗體(IFA)、胃泌素分泌細胞抗體(GCA)測定,可作為慢性萎縮性胃炎及其分型的輔助診斷。
三、X線檢查
X線胃鋇餐檢查大多數萎縮性胃炎患者無異常發現。氣鋇雙重造影可顯示胃體黏膜皺襞平坦、變細,胃體大彎的鋸齒狀黏膜皺襞變細或消失,胃底部光滑,部分胃竇炎胃黏膜可呈鋸齒狀或黏膜粗亂等表現。
四、胃鏡及活組織檢查
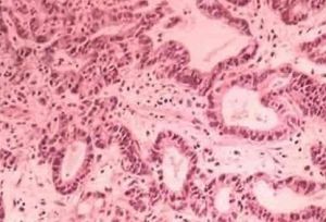
胃鏡檢查及活檢是最可靠的診斷方法。胃鏡診斷應包括病變部位、萎縮程度、腸化生及不典型增生的程度。肉眼直視觀察萎縮性胃炎的黏膜多呈蒼白或灰白,皺襞變細或平坦。黏膜可表現紅白相間,嚴重者有散在白色斑塊。黏膜下血管顯露為萎縮性胃炎的特徵,可見到紅色網狀小動脈或毛細血管,嚴重的萎縮性胃炎,可見有上皮細胞增生形成細小顆粒或較大結節。亦有黏膜糜爛,出血現象。胃黏膜活檢病理主要為腺體不同程度萎縮、消失,代之以幽門腺化生或腸腺化生,間質炎症浸潤顯著。
併發症
慢性萎縮性胃炎在其病變過程中常出現胃出血、胃潰瘍、貧血、胃癌等併發症。
治療方法
慢性萎縮性胃炎 慢性萎縮性胃炎是非常緩慢的疾病,需要長期進行綜合調理治療:
1、去除致病因素:避免食對胃黏膜有刺激的飲食和藥物,忌飲高濃度的酒和濃茶以及吃水楊酸等藥物;戒菸,煙雖不直接和胃接觸,但它可致胃黏膜血液循環障礙,加重炎症。
2、良好的生活調理:宜食易消化的食物,飲食營養合理、富含維生素,進食應細嚼慢咽,不宜過飽,適當運動和注意勞逸結合,可延緩胃黏膜退行性變。
3、藥物治療:進行對症治療及保護胃黏膜治療。上腹脹痛,可服三九胃泰等健脾理氣的中藥製劑;上腹飽脹、噁心、噯氣可用西沙必利、嗎丁啉等;如胃黏膜有炎症活動,幽門螺鏇桿菌陽性,可服含鉍的製劑如德諾等。A、E、C、B族維生素及益氣養胃的中藥對胃黏膜恢復有利。
4、如有癌變傾向者,應定期觀察。如在胃鏡檢查組織活檢時發現胃黏膜有中重度的不典型增生和腸化生,應在治療的同時半年至1年複查一次,看有否癌變。
護理
1、避免有害因素的侵襲:即不飲濃茶、咖啡等。少吃辛辣及粗糙的食物,不暴飲暴食,少服對胃腸有刺激性的藥物等。
2、飲食提倡少食多餐,不能飢一頓飽一頓,以免增加胃的負擔。
3、注意食用具有營養的食物。多吃些高蛋白食物及高維生素食物,保證機體的各種營養素充足,防止貧血和營養不良。
4、注意食用酸鹼平衡。當胃酸分泌過多時,可喝牛奶、豆漿、吃饅頭或麵包以中和胃酸;當胃酸分泌減少時,可食用濃縮的肉湯、雞湯、帶酸味的水果或果汁,以刺激胃液的分泌,幫助消化,要避免引起腹部脹氣和含纖維較多的食物,如豆類、豆製品、蔗糖、芹菜、韭菜等。
5、當口服抗菌素治療某些炎症性疾病時,應同時飲用優酪乳。既能補充營養,又可避免抗菌素對人體產生的副作用,優酪乳中含有大量的活性桿菌,可以使抗菌素藥物引起的腸道菌群失調現象重新獲得平衡,亦保護了胃黏膜。
預後
1、保持精神上的樂觀,不要過度緊張甚至恐慌。如果負擔過重,會引起體內神經、內分泌混亂,降低胃黏膜的抗病能力,加速胃炎的發展。
2、生活要規律,避免飲酒吸菸,避免飲食過度和吃強刺激性食物。
3、堅持服藥和定期複查。
專家觀點
胃鏡檢查是目前慢性萎縮性胃炎的主要診斷手段,但患者萎縮的確診仍依賴於病理組織學檢查.然而萎縮胃炎的肉眼與病理的符合率僅為38%--78%.所以僅僅依靠取到的幾塊胃黏膜活檢尚不能完全診斷或排除萎縮和腸化生。因為無論是萎縮還是腸化甚至幽門螺桿菌在胃黏膜的分布都是不均勻的,如果病理活檢發現萎縮就可診斷為萎縮性胃炎.但如果未能發現萎縮,卻不能輕易排除.如果不取足夠多的標本或者內鏡醫生並未在病變最重部位活檢,都有可能遺漏病灶,對於慢性萎縮胃炎患者需積極抗幽門螺桿菌治療,定期複查胃鏡,這樣才能儘量減少疾病發展為癌。
消化系統疾病—生存質量的隱患
| 消化系統疾病一直是影響人類生存質量的主要疾病,特別是消化系統腫瘤更是嚴重威脅人類健康。醫學統計數據表明,屬於消化系統腫瘤的肝癌和胃癌長年來一直位於我國腫瘤發病率的第二位和第三位。 |
消化系統疾病
| 消化系統疾病一直是影響人類生存質量的主要疾病,特別是消化系統腫瘤更是嚴重威脅人類健康。醫學統計數據表明,屬於消化系統腫瘤的肝癌和胃癌長年來一直位於我國腫瘤發病率的第二位和第三位。 | |||
| 胃炎 急性胃炎 急性胃腸炎 胃潰瘍 慢性萎縮性胃炎 慢性胃炎 慢性淺表性胃炎 消化性潰瘍 胃腸道脹氣 腸上皮化生 胃癌 胃痛 急性胃擴張 胃柿石症 胃黏膜脫垂症 胃下垂 胃泌素瘤 傾倒綜合徵 胃扭轉 小腸腫瘤 阿狄森氏病 | 大腸癌 直腸癌 肛門直腸損傷 結腸直腸腺瘤 克隆氏病 腸中風 急性腸炎 慢性腸炎 急性腸梗阻 急性腸胃炎 偽膜性腸炎 放射性腸炎 直腸陰道瘺 腸結核 缺血性腸病 闌尾炎 急性闌尾炎 蛔蟲病 蟯蟲病 鉤蟲病 | 先天性肛門閉鎖 肛門瘺管 肛裂 肛門梳硬結 肛門濕疹 肛門直腸先天畸形 直腸脫垂 肛門瘙癢 大便失禁 肛管直腸癌 便秘 器質性便秘 功能性便秘 結腸性便秘 妊娠便秘 產褥期便秘 小兒便秘 急性細菌性痢疾 小兒便血 胃原性腹瀉 | 感染性腹瀉 食物中毒 腺病毒胃腸炎 慢性肝炎 小兒肝炎 藥物性肝炎 酒精性肝炎 肝昏迷 肝功能衰竭 肝細胞凋亡 肝腫大 黃疸 老年肝硬化 肝纖維化 門靜脈高壓症 肝腎綜合徵 肝吸蟲病 肝功能檢查 肝穿刺 肝移植術 |

