腺病毒胃腸炎60年代在腺病毒呼吸道感染流行時已注意到發生胃腸炎的情況,至1976年正式明確腺病毒是人類胃腸炎的病原之一。
病因
腺病毒胃腸炎腸道病毒屬於微小RNA病毒,包括脊髓灰質炎病毒1、2、3型,柯薩奇病毒,艾可病毒和新型腸道病毒(現稱腸道病毒)68-71型幾類。這些病毒雖名為腸道病毒,傳播方式與病毒性胃腸炎相同均為糞—口傳染,都以兒童感染特別是託兒機構集體感染為主,開始致病也在腸道,但病毒可通過血循環到達全身,引起全身症狀。而腸道本身,特別是小腸病變不明顯,基本不引起腹瀉,而是以咽炎,皮疹,手足口病,呼吸道感染,心肌炎,中樞神經系感染等各種各樣感染為主。這點與病毒性腸炎有顯著不同。如此前安徽阜陽流行的腸道病毒71型感染表現為手足口病,少數嚴重者有無菌性腦膜腦炎,無菌性腦炎、心肌炎等,並不出現腹瀉。嚴格地說,這種病應稱為腸道病毒71型感染,手足口病僅是它的一個臨床症候群。
腸道病毒有許多血清型,不少型都可引起手足口病,除71型外,其他如柯薩奇A10、A16均可導致手足口病。每種腸道病毒同時可引起不同症狀群,如腸道病毒71型除可引起手足口病外,還可致中樞神經系統病變,柯薩奇A22型可同時引起前角灰質炎及呼吸道疾病等。這個特點與病毒性腸炎病毒感染是完全不同的。另一個不同點是腸道病毒感染的傳染源只是病人及無症狀帶毒的人,而病毒性胃腸炎病毒除腸腺病毒外,其他幾個病毒都可感染動物。
流行特徵
腺病毒胃腸炎腺病毒胃腸炎的最小發病年齡為1月,絕數發生於3歲以下的嬰幼兒。Ad-40主要感染1歲左右嬰兒,Ad-41則感染稍大的幼兒,全年均可發病,但腺病毒性胃腸炎一般呈散發性。
腺病毒胃腸炎的潛伏期約10天,主要表現為腹瀉,量少或多,呈水樣便或稀便,少數可排出粘液,病程4~8天,常伴嘔吐。部分患者有呼吸道症狀,少數患者發熱,病程多自限,排毒時間約1周。某些患者失水較嚴重,個別重度失水者可死亡。
由於對一病毒的致病作用不夠重視,尚無常規細胞培養。診斷本病雖可採用DNA限制性內切酶檢測法,但此法有一定局限性,不易推廣。有人認為採用聚丙烯胺凝膠電泳法既能檢測Ad,又可檢測糞便中輪狀病毒,敏感度高於電鏡。
腺病毒胃腸炎廣泛分布於世界各地,特別在小兒,發病情況僅次於輪狀病毒性腸炎。發病年齡以5歲以下為多,尤其3歲以下,可占85%。最小發病年齡為1個月。
![]() | ![]() |
對本病的治療主要是對症治療,可口服世界衛生組織推薦的口服補液鹽,必要時給予靜脈補液。
臨床表現
腺病毒胃腸炎腺病毒腸炎病情一般較輕,少數有嚴重脫水或同伴其他系統感染需住院治療。
本病無明顯季節性,夏秋季略多。可呈暴發流行。
臨床表現為較重的腹瀉,稀水樣便,每日3~30次不等。常有呼吸道症狀。如咽炎、鼻炎、咳嗽等,發熱及嘔吐較輕,可有不同程度的脫水征。病程8~12天。多數患兒病後5~7個月內對蔗糖不耐受,並可伴有吸收不良。
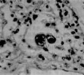
診斷根據免疫電鏡檢測糞便中腸腺病毒顆粒或用免疫螢光法等檢測糞便中腸腺病毒抗原。
診斷說明
腺病毒胃腸炎由於腸腺病毒不能進行常規細胞培養,因此採用DNA限制性內切酶檢測法以測定腺病毒的特異基因,但方法複雜,且需多量病毒存在,故雖特異性強,但難以開展。
治療說明
腺病毒胃腸炎腺病毒胃腸炎的最小發病年齡為1月,絕數發生於3歲以下的嬰幼兒。Ad-40主要感染1歲左右嬰兒,Ad-41則感染稍大的幼兒,全年均可發病,但腺病毒性胃腸炎一般呈散發性。
腺病毒胃腸炎的潛伏期約10天,主要表現為腹瀉,量少或多,呈水樣便或稀便,少數可排出粘液,病程4~8天,常伴嘔吐。部分患者有呼吸道症狀,少數患者發熱,病程多自限,排毒時間約1周。某些患者失水較嚴重,個別重度失水者可死亡。
由於對一病毒的致病作用不夠重視,尚無常規細胞培養。診斷本病雖可採用DNA限制性內切酶檢測法,但此法有一定局限性,不易推廣。有人認為採用聚丙烯胺凝膠電泳法既能檢測Ad,又可檢測糞便中輪狀病毒,敏感度高於電鏡。
對本病的治療主要是對症治療,可口服世界衛生組織推薦的口服補液鹽,必要時給予靜脈補液。
消化系統疾病(三)
| 消化系統疾病一直是影響人類生存質量的主要疾病,特別是消化系統腫瘤更是嚴重威脅人類健康。醫學統計數據表明,屬於消化系統腫瘤的肝癌和胃癌長年來一直位於我國腫瘤發病率的第二位和第三位。 |
消化系統疾病
| 消化系統疾病一直是影響人類生存質量的主要疾病,特別是消化系統腫瘤更是嚴重威脅人類健康。醫學統計數據表明,屬於消化系統腫瘤的肝癌和胃癌長年來一直位於我國腫瘤發病率的第二位和第三位。 | |||
| 胃炎 急性胃炎 急性胃腸炎 胃潰瘍 慢性萎縮性胃炎 慢性胃炎 慢性淺表性胃炎 消化性潰瘍 胃腸道脹氣 腸上皮化生 胃癌 胃痛 急性胃擴張 胃柿石症 胃黏膜脫垂症 胃下垂 胃泌素瘤 傾倒綜合徵 胃扭轉 小腸腫瘤 阿狄森氏病 | 大腸癌 直腸癌 肛門直腸損傷 結腸直腸腺瘤 克隆氏病 腸中風 急性腸炎 慢性腸炎 急性腸梗阻 急性腸胃炎 偽膜性腸炎 放射性腸炎 直腸陰道瘺 腸結核 缺血性腸病 闌尾炎 急性闌尾炎 蛔蟲病 蟯蟲病 鉤蟲病 | 先天性肛門閉鎖 肛門瘺管 肛裂 肛門梳硬結 肛門濕疹 肛門直腸先天畸形 直腸脫垂 肛門瘙癢 大便失禁 肛管直腸癌 便秘 器質性便秘 功能性便秘 結腸性便秘 妊娠便秘 產褥期便秘 小兒便秘 急性細菌性痢疾 小兒便血 胃原性腹瀉 | 感染性腹瀉 食物中毒 腺病毒胃腸炎 慢性肝炎 小兒肝炎 藥物性肝炎 酒精性肝炎 肝昏迷 肝功能衰竭 肝細胞凋亡 肝腫大 黃疸 老年肝硬化 肝纖維化 門靜脈高壓症 肝腎綜合徵 肝吸蟲病 肝功能檢查 肝穿刺 肝移植術 |



