病因
長期過量飲酒所致。
臨床表現
酒精性肝炎酒精性肝炎病例中,飲酒年數8.5年~41年,平均21年。折合飲酒精量60~200g/d,平均117g/d。根據前述病理分級24例中,輕度15例、中度6例,重度3例。其分別飲酒平均時程及平均飲酒精量均無明顯統計學差異。
以黃疸、肝腫大和壓痛為特點,少數有脾臟腫大、面色灰暗、腹水、浮腫、蜘蛛痣等。有肝功能不全時腹水明顯,有的出現神經精神症狀。Lischner報告中的169例中,肝腫大81%、黃疸77%、腹水59%、發熱56%、營養不良55%、上消化道出血22%、食管靜脈曲張12%、精神症狀10%。中日友好醫院24例中,肝腫大58%、酒徒面容50%,肝掌46%、消瘦46%、蜘蛛痣38%、黃疸33%、脾臟腫大21%、腹水12.5%,食管靜脈曲張1例,食管靜脈顯露2例,發熱1例38.1攝氏度。文獻報告多數發熱病人住院後隨著停酒,發熱也於數天內恢復正常,但個別病人發熱可達4周。
至於病理改變的輕、中、重程度與臨床的關係,本組24例從實驗室檢查項目包括ALT、AST、ALP、GGT值上升(輕度酒精性肝炎為43%-72%;中度60%-80%;重度100%上升),和凝血酶原活動度下降。臨床徵象:乏力、肝區痛、性功能減退、陽痿、肝腫大(輕度酒精性肝炎有36%-71%肝腫大、中度2/3肝腫大、重度全部肝腫大)也可供參考。
以上這些檢查項目都是酒精性肝炎的非特異性的,因此,在具體病人時,僅靠上述非特異改變的有無來區分輕、中、重度是不確切的,有條件時,宜做肝活檢以幫助判別輕重程度。
檢查
白細胞計數增多(主要是中性粒細胞增多)酷似細菌性感染。
有條件時,宜做肝活檢,以幫助判別輕重程度。
診斷標準
酒精性肝炎病人臨床症狀輕微,肝功能正常或輕度異常,診斷主要靠詳細詢問飲酒史,結合臨床、肝穿活檢有助確診。此型在中日友好醫院136例酒精性肝病肝穿中占31.3%,較日本的報告所占比例為大。
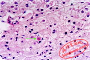
輕症酒精性肝病中可見酒精性肝病的基本病變,如大泡脂變、灶壯氣球樣變、壞死灶伴PMN侵潤及小葉中心竇周纖維化,但病變程度較輕,均在1級範圍。由於病變較輕,肝小葉結構無破壞,戒酒後可以完全恢復。
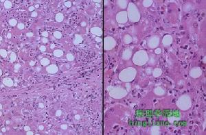
二、酒精脂肪肝
臨床症狀多較輕,有不同程度肝腫大,肝重量常達2000-2500g,甚至達3000g以上(正常1200-1500g)。肝臟色黃,邊緣鈍。鏡下大部分病人的脂變為大泡性脂變,主要見於肝腺泡2、3區分布,嚴重者瀰漫分布。
三、酒精性肝炎
酒精性肝炎發生於慢性嗜酒者,往往發病前有短期內持續大量飲酒史。酒精性肝炎可無症狀但通常伴非特異性消化道症狀,肝腫大,肝酶學升高,25%肝損傷嚴重,病人可有發熱、厭食、黃疸、白細胞升高,也可出現肝功能衰竭或肝性腦病。
四、酒精性肝纖維化
各型慢性酒精性肝病均伴有不同程度的肝纖維化,酒精性肝纖維化作為一個獨立類型,近十幾年才被一些學者所採用。
酒精性肝炎輕度酒精性肝纖維化鏡下特點為明顯的蔸周纖維化,並有少數纖維間隔形成,但小葉結構保留。中度酒精性肝纖維化範圍廣或出現中至重度竇周纖維化,纖維間隔多,致小葉結構紊亂,此階段部分病人可以出現門靜脈高壓體徵,包括食管靜脈曲張,脾臟腫大及腹水,繼續發展進入重度酒精性肝纖維化即早期肝硬化。
五、酒精性肝硬化
酒精性肝硬化特點是小結節性肝硬化、肝臟腫大。早期酒精性肝硬化結節甚為細小,鏡下特點為肝細胞結節小,再生不著,匯管區多尚保留。纖維化自終末肝靜脈周圍,沿3區與匯管區間,形成較寬的含擴張血竇的血管纖維間隔,常沿3區將小葉腺泡分隔成微小結節。
治療
酒精性肝炎2、酒精性肝病的治療原則主要是:①減輕酒精性肝病的嚴重度;②阻止或逆轉肝纖維化;③改善已存在的繼發性營養不良;④對酒精性肝硬化進行治療。
3、戒酒是首要方法,其療效與肝病的嚴重度有關。對於普通的酒精性肝病可使臨床和病理表現明顯改善;對嚴重的酒精性肝病,則不一定有效;對於酒精性脂肪肝,戒酒是唯一有效的治療方法。
4、皮質激素對輕中型病例無明顯效果,而僅有嚴重病例才能從激素受益。激素能減輕肝內急、慢性炎症,但對早期或已確定的纖維化無肯定效果。因此,酒精性肝病時激素可能僅適用於少數不伴有肝硬化的重型病例。
5、秋水仙鹼、丙基硫氧嘧啶、胰島素-胰血高血糖素、抗氧化劑、多不飽和卵磷脂/磷脂醯膽鹼、降脂藥、抗內毒素劑、肝移植和中醫中藥等療法有一定效果,但並非對每一病例均有效,或者僅對某一方面如改善肝功能,降低病死率,減少肝硬化發生等有一定療效。
長期的過度飲酒,通過乙醇本身和它的衍生物乙醛可使肝細胞反覆發生脂肪變性、壞死和再生,而導致酒精性肝病,包括酒精性脂肪肝、酒精性肝炎、肝纖維化和肝硬化。在歐美國家,酒精性肝病是中青年死亡的主要原因之一。據估計,1993年美國約有1530萬人酗酒,患有酒精性肝病者有200多萬人;每年有2.6萬人死於肝硬化,其中至少40%或許高達90%的患者有酗酒史。在我國,隨著生活條件的改善,酗酒有增多趨勢,儘管酒精性肝病的發生率尚無精確的統計,但並不少見。由於國內肝病主要由肝炎病毒引起,肝炎病毒攜帶者的數量更多,可能掩蓋了實際上是酒精作為病因的肝病。因此正確認識酒精引起的肝損害,及時診斷和防治具有重要的意義。
酒精性肝炎酒精性肝病臨床上常交叉重疊地表現為肝細胞壞死、門脈高壓症或兩者兼備的徵象。肝細胞壞死的表現有黃疸、噁心、嘔吐、肝腫大、肝區疼痛、血清酶學等生化改變;門脈高壓的表現有腹水、門-體側支循環形成、脾腫大和食管、胃底靜脈曲張出血等。
酒精性肝病的診斷依賴於:①確定是否有肝病;②確定肝病是否與酒精有關;③確定在臨床病理上屬於哪個階段;④排除其他肝病。在診斷過程中應仔細詢問病史,特別是飲酒史,包括飲酒的種類、量、時間、方式和進食的情況。一般每日飲酒80~150g[具體換算法為:酒精(g)=含酒精飲料(ml)·酒精含量(%)·0.8(酒精比重)],連續5年即可造成肝損害;大量飲酒在20年以上,40%~50%會發生肝硬化。肝活檢對酒精性肝病有肯定價值。其他生化和特殊檢查有助於了解肝臟的代謝異常,並有助於同其他肝病相鑑別。本病應與病毒性肝炎、非酒精性脂肪肝、其他原因的肝硬化、阻塞性黃疸、肝性腦病與酒精性譫妄相鑑別[1,2]。
戒酒
治療酒精性肝病的首要方法是戒酒,其療效與肝病的嚴重度有關。對於普通的酒精性肝病及時戒酒後往往在幾周至幾月內臨床和病理表現即可明顯改善,病死率明顯下降;對嚴重的酒精性肝病,戒酒和藥物支持治療不一定能改善其症狀;伴有凝血酶原活動度降低和腹水的酒精性肝硬化時,病程常有反覆,戒酒也難以使其逆轉;對於酒精性脂肪肝,戒酒是唯一的治療方法,肝內脂肪可於數周至數月內消失,如果同時補充蛋白質或胺基酸,則可進一步促進肝細胞恢復[1,2]。
酒精性肝炎酒精性肝病時肝內有炎症反應,肝細胞腫脹壞死以及膠原生成和沉積。前已述及,酒精性肝病的起始和發展有免疫因素參與,患者血中可查到抗Mallory小體的抗體。糖皮質激素能抑制花生四烯酸代謝的脂氧合酶和環氧合酶的途徑,從而抑制白三烯類及前列腺素的促炎症作用,還可促進清蛋白合成和阻止I型膠原生成。因此有人提出可用糖皮質激素來治療酒精性肝病,但目前許多研究結果不一致。1971年~1989年間,有11項隨機雙盲對照研究對酒精性肝病患者激素的療效作了評價。結果差異很大,僅有4項研究顯示可降低近期病死率。許多因素包括性別、肝病嚴重度、腎功能、營養狀態甚至地域均影響結果。分析了所有因素後,認為糖皮質激素能降低近期病死率,無論是口服潑尼松龍40mg/d或靜脈注射甲基潑尼松龍32mg/d都有效。治療有效的試驗中,先給以全劑量治療28至30天,然後在2~4周內逐漸減量。少數糖皮質激素治療的患者可發生嚴重感染,但與安慰劑對照組相比,並不更常見。
胰島素與胰高血糖素
有報導每日靜脈滴注胰島素及胰高血糖素12小時,治療3周,可改善酒精性肝病患者的肝功能的報導,但此法是否能延長患者的存活期,結論不一。有人認為如先給予上皮生長因子,再給胰島素及胰高血糖素,效果可望更好。也有報導認為胰島素-胰高血糖素療法對酒精性肝病無效。總的看來,本療法可試用於酒精性肝病,但在治療過程中應檢測血糖,防止發生致命性低血糖。
丙基硫氧嘧啶
長期攝取酒精的動物和人呈高代謝狀態。正常情況下處於相對缺氧狀態的肝腺泡3區(中央靜脈周圍區)往往對酒精中毒性損害更敏感,因此酒精性肝病的肝損害以肝腺泡3區更嚴重,酷似肝缺血性損害。實驗研究顯示,甲狀腺切除和丙基硫氧嘧啶(PTU)治療可部分地防止攝取酒精的動物發生缺氧性肝損害。上述事實促使臨床上套用PTU治療活動性酒精性肝病。
抗氧化劑
實驗顯示還原型谷胱甘肽、牛磺酸、胡蘿蔔素、維生素E、月見草及硒有機化合物等能減少氧應激性損害及脂質過氧化誘致的肝纖維化,解除外源性有毒物質的毒性。但對酒精性肝病的效果尚未明。
多不飽和卵磷脂/磷脂醯膽鹼
酒精性肝病中肝細胞線粒體磷脂有變化。提供足夠的磷脂可減輕酒精所致的線粒體功能障礙。含多不飽和卵磷脂的大豆提取物有潛在的膜穩定作用。一項持續10年的研究表明,雖然多不飽和卵磷脂未能阻止肝細胞中乙醇所致的線粒體異常,但能明顯減輕肝纖維化(治療組和對照組相比為75%比0%)。多不飽和卵磷脂可能通過增加肝膠原降解而起抗肝纖維化作用。體外實驗證明,多不飽和卵磷脂可抑制肝星狀細胞轉變為成纖維母細胞,從而抑制細胞外基質的分泌,提高膠原酶的活力,促使已形成的膠原分解。
酒精性肝炎酒精性肝病的一個重要特徵是高內毒素血症。酗酒患者的腸道革蘭陰性菌增加,這是內毒素的主要來源。菌類使腸道內的pH值升高,增加腸黏膜的通透性,使得內毒素從腸道易於進入門脈循環。枯否細胞在酒精性肝病中起著重要的作用。內毒素可激活枯否細胞,使其釋放一系列細胞因子,造成肝臟的損害。同時,激活的枯否細胞使肝細胞對氧的吸收增加,肝細胞表面的氧張力下降,使肝組織缺氧,加重肝臟的損害。業已證明,給酒精性肝病患者口服腸道難吸收性抗生素如多粘菌素B和新黴素,可抑制腸道菌群,減輕內毒素血症,使枯否細胞激活減少,進而改善肝功能,使肝病理學評分下降。
S-腺苷甲硫氨酸
活化的蛋氨酸有許多功能,在理論上對酒精性肝病患者有利。該藥通過質膜磷脂和蛋白質的甲基化,能影響線粒體和細胞膜的流動性和微黏性;通過轉硫基化增加肝內谷胱甘肽、硫酸根及牛磺酸水平。在脂質飲食中,添加外源性的S-腺苷甲硫氨酸可部分糾正和減輕酒精性肝病的肝損傷,主要是改善線粒體的損害,而對肝脂肪變和肝纖維化無影響。
營養支持和營養治療
酒精性肝炎患者可有繼發性蛋白質熱能不足性營養不良,並與疾病的嚴重度和病死率有相關性。有人給酒精性肝病患者每天100g蛋白質口服,總熱能3000kcal,輔或不輔以胺基酸,治療17例患者,無一例死亡,肝功能也有改善;而18例對照組中死亡4例。繼患者的營養狀態改善後,免疫功能也隨之改善。動物實驗表明,酒精性肝病中的肝損傷與飲食中脂質含量有一定的關係,飲食中脂質含量高者更易形成脂肪肝和肝纖維化。同時給以富含飽和脂肪酸的飲食,可減輕或阻止脂肪肝和肝纖維化的發生,而同時給以富含不飽和脂肪酸的飲食則可誘發和加劇脂肪肝與肝纖維化;如對酒精性肝病患者給以富含飽和脂肪酸飲食,可使脂肪肝和肝纖維化減輕或消失,而用富含不飽和脂肪酸飲食則未見好轉。因此飲食中脂肪酸成分可影響酒精性肝病的病變;調整飲食成分或可減輕酒精性肝病的病變。
酒精性肝炎對降脂藥在酒精性肝病治療中的價值尚有異議。需要指出的是,許多降血脂藥可驅使血脂更集中於肝臟進行代謝,反而促使脂質貯積並損害肝功能。煙酸類、彈性酶及苯氧乙酸類的安妥明、苯扎貝特等降脂藥具有潛在的肝毒性,並有降低糖耐量及升高血尿酸等不良反應,對肝內脂肪沉積無改善作用甚或使其加重。最近研究發現,HMG-CoA還原酶抑制劑辛伐他丁可抑制肝星狀細胞的增殖,且可顯著改善持續飲酒的脂肪肝患者的肝功能及血脂代謝紊亂。
在我國套用活血化瘀中藥治療慢性肝病已有悠久歷史,如桃仁、丹參、當歸、漢防已甲素、何首烏、山楂、薑黃、枸杞子、川芎、澤瀉、黃岑、黃精及大黃等,經實驗研究和臨床套用證實,有改善肝臟微循環,防止肝細胞變性壞死,減少膠原纖維產生或增強膠原酶活性等作用,看來可用於酒精性肝炎肝纖維化的治療。
肝移植
酒精性肝炎戒酒的重要性
雖然戒酒理所當然地是酒精性肝病的基本治療,但對戒酒到底有多大實際意義,卻是一個有爭議的問題。在輕度酒精性肝病不伴肝硬化者中,單純戒酒即可使肝功能恢復或接近正常,而對重症病例,肝功能失代償伴出血、腦病者,即使戒酒,病死率也很高。一般而言,酒精性肝炎是可逆性病變,戒酒後病變可停止發展;如已發展為肝硬化,病變呈不可逆性,戒酒的實際意義可能不大。看來戒酒的作用與肝病變嚴重度有關。由於酒精性肝炎和肝硬化常重疊存在,因此對任何一個酒精性肝病者,勸其戒酒是必要的。
預後
通常認為酒精性脂肪肝為良性病變,儘管急性脂肪肝可導致門脈高壓,但戒酒後其病變可逆轉。如果酒精性脂肪肝患者繼續飲酒,連續肝活檢證實可發生更嚴重的肝損傷。目前認為,酒精性肝炎具有較高的獨立死亡危險因素,較非活動性肝硬化更易導致死亡。根據肝活檢組織學,一組調查研究了酒精性肝病的自然史,發現脂肪肝患者的預後最好,4~5年的生存率是70%~80%;酒精性肝硬化伴有酒精性肝炎患者的預後最差,4~5年的生存率是30%~50%;而酒精性肝炎或肝硬化患者的預後介於兩者之間,4~5年的生存率是50%~75%。將所有酒精性肝病患者合併統計,其1年和5年的平均生存率分別是80%和50%。
酒精性肝炎套用特殊的營養或藥物治療能否改變酒精性肝病的自然史,尚不清楚。這些藥物看來可改善短期生存率和實驗室參數,而對遠期預後,包括生存率﹑肝硬化發生率的影響,尚待進一步研究。
酒精性肝炎具有較高的獨立死亡危險因素,較非活動性肝硬化更易導致死亡。根據肝活檢組織學,一組調查研究了酒精性肝病的自然史,發現脂肪肝患者的預後最好,4~5年的生存率是70%~80%;酒精性肝硬化伴有酒精性肝炎患者的預後最差,4~5年的生存率是30%~50%;而酒精性肝炎或肝硬化患者的預後介於兩者之間,4~5年的生存率是50%~75%。
飲食療法
慢性肝炎及肝硬化代償期病人的食療原則是:除遵守所有肝病病人飲食治療中的“高蛋白質、高熱量”原則以外,另外增加一條,就是低鹽、高維生素。這是因為慢性肝炎及肝硬化病人體內易發生水、鈉瀦留,且常缺乏多種維生素如維生素A、維生素C、維生素E等,病人可通過攝入黃綠葉蔬菜以及豆類製品來達到補充的目的。另外,酒精性肝硬化病人體內往往還缺乏維生素B卜維生素B2、葉酸等B族維生素,要補充這類維生素,可將主食改為富含維生素B1及葉酸的胚芽類。
消化系統疾病(三)
| 消化系統疾病一直是影響人類生存質量的主要疾病,特別是消化系統腫瘤更是嚴重威脅人類健康。醫學統計數據表明,屬於消化系統腫瘤的肝癌和胃癌長年來一直位於我國腫瘤發病率的第二位和第三位。 |
消化系統疾病
| 消化系統疾病一直是影響人類生存質量的主要疾病,特別是消化系統腫瘤更是嚴重威脅人類健康。醫學統計數據表明,屬於消化系統腫瘤的肝癌和胃癌長年來一直位於我國腫瘤發病率的第二位和第三位。 | |||
| 胃炎 急性胃炎 急性胃腸炎 胃潰瘍 慢性萎縮性胃炎 慢性胃炎 慢性淺表性胃炎 消化性潰瘍 胃腸道脹氣 腸上皮化生 胃癌 胃痛 急性胃擴張 胃柿石症 胃黏膜脫垂症 胃下垂 胃泌素瘤 傾倒綜合徵 胃扭轉 小腸腫瘤 阿狄森氏病 | 大腸癌 直腸癌 肛門直腸損傷 結腸直腸腺瘤 克隆氏病 腸中風 急性腸炎 慢性腸炎 急性腸梗阻 急性腸胃炎 偽膜性腸炎 放射性腸炎 直腸陰道瘺 腸結核 缺血性腸病 闌尾炎 急性闌尾炎 蛔蟲病 蟯蟲病 鉤蟲病 | 先天性肛門閉鎖 肛門瘺管 肛裂 肛門梳硬結 肛門濕疹 肛門直腸先天畸形 直腸脫垂 肛門瘙癢 大便失禁 肛管直腸癌 便秘 器質性便秘 功能性便秘 結腸性便秘 妊娠便秘 產褥期便秘 小兒便秘 急性細菌性痢疾 小兒便血 胃原性腹瀉 | 感染性腹瀉 食物中毒 腺病毒胃腸炎 慢性肝炎 小兒肝炎 藥物性肝炎 酒精性肝炎 肝昏迷 肝功能衰竭 肝細胞凋亡 肝腫大 黃疸 老年肝硬化 肝纖維化 門靜脈高壓症 肝腎綜合徵 肝吸蟲病 肝功能檢查 肝穿刺 肝移植術 |

