病因病理
肝穿刺肝穿刺用於臨床已有100餘年的歷史,隨著穿刺器械和操作方法的不斷改進,現在普遍採用的Menghini一秒鐘肝穿刺法,方便安全,成功率高,且無明顯不良反應。如嚴格按照肝穿刺的適應症和禁忌症選擇患者,術前術後做好充分的準備與護理,不會加重原有肝臟的病變,不會加重病情。
診治
肝穿刺(1)可以明確診斷
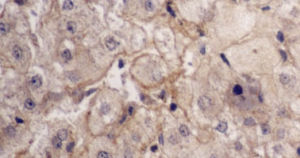
臨床診斷疾病往往有一定的偏差,只有病理診斷才確實可靠。有時臨床診斷是急性肝炎,而病理則提示為慢性肝炎的急性發作;臨床診斷是急性或亞急性重型肝炎,而病理提示為在肝硬變的基礎上發生的大塊或亞大塊壞死,即慢性重型肝炎;臨床上診斷慢性肝炎或病毒攜帶者,而病理提示為早期肝硬化等等。還有一些非病毒性肝炎肝損害的患者,單憑血化驗、B超、CT等檢查很難與病毒性肝炎鑑別。例如,張鴻飛曾對1020例小兒肝活檢進行分析,顯示非病毒性肝損害占9.6%(98例),其中病因達18種之多,前五位是:a.與脂類代謝有關的疾病;b.肝豆狀核變性;c.肝糖原儲積症;d.進行性肌營養不良;e.自身免疫性肝炎。由此,肝活檢可以為肝病的診斷提供重要的線索。
(2)判斷病情、指導治療和預後評估
慢性病毒性肝炎者肝臟的炎症和纖維化程度與治療及預後有密切的關係,只有臨床症狀和化驗結果,沒有肝活檢很難作出正確的判斷。例如B肝病毒攜帶者,經肝穿肝組織活檢發現10%的人肝組織基本正常;70%的人肝組織有輕微的病變;20%的人有慢性活動性肝炎,肝硬化。前80%的人可不需治療,後20%的人則一定要治療。還有重型肝炎的嚴重性與肝細胞壞死的程度有直接的關係。計算肝活檢組織內肝細胞體積的比例,可估計重型肝炎的預後。凡肝細胞體積的比例<10%者全部死亡,>35%者則恢復意識。有人對22例重型肝炎作了多次肝活檢,發現意識恢復的病人,肝細胞再生後肝組織內肝細胞體積的比例>45%。在重型肝炎病人的恢復過程中,複查肝活檢,根據肝細胞恢復程度和纖維組織增生程度,對預後也有一定的參考意義。病理顯示肝細胞破壞嚴重,肝小葉結構紊亂,纖維組織增生多,預示病人將發展到肝硬變。
肝穿刺治療的效果不能但憑患者的主觀感覺,實驗室檢查也受到各種因素的影響,而肝活檢比較客觀且確切。
(4)為肝病的發病機理的研究提供了一個重要的手段。
其適應症:(1)不明原因的肝腫大,如病毒性肝炎、自身免疫性肝炎、先天性代謝病、肝結核、惡性組織細胞病和肉牙腫等。(2)鑑別內科性和外科性黃疸,如淤膽型肝炎,原發性膽汁性肝硬變,藥物性肝炎。(3)判斷病情、預後和療效。禁忌症:肝昏迷,出血傾向,局部感染,腹水,重度黃疸,肝外阻塞性黃疸,肝包囊蟲病,肝血管瘤。
活體組織檢查術
肝穿刺肝穿刺活體組織檢查術(Liverbiopsy)簡稱肝活檢,是採取肝組織標本的一種簡易手段。由穿刺所得組織塊進行組織學檢查製成塗片做細胞學檢查,以判明原因未明的肝腫大和某些血液系統疾病。
肝組織活檢的穿刺方法有多種,如一般肝穿刺術、套管針穿刺術、分葉針切取術、快速肝穿刺術等。這些方法各有優缺點,前三種較易造成肝損傷或出血;後者屬抽吸式活檢針,較安全,多為臨床所採用。
適應症
凡肝臟疾患通過臨床、實驗或其他輔助檢查無法明確診斷者,包括:
1.肝功能檢查異常,性質不明者。
肝穿刺4.對病毒性肝炎的病因、類型診斷,病情追蹤,療果考核及預後的判斷。
5.肝內膽汁淤積的鑑別診斷。
6.慢性肝炎的分級
7.慢性肝病的鑑別診斷。
8.肝內腫瘤的細胞學檢查及進行藥物治療。
9.對不明原因的發熱進行鑑別診斷。
10.肉芽腫病、結核、布魯桿菌病、織孢漿菌病、球孢子病、梅毒等疾病的診斷。
局限性
肝穿刺肝組織活檢的一些局限性包括:(1)抽樣誤差大約為12%—20%,有時可能低估肝硬化(15%---30%);
(2)可發生潛在的併發症,30%患者感到疼痛,0.3%患者出現嚴重併發症,0.03%的患者因此死亡;
(3)費用比較昂貴。這些意見是一部分國外專家提出的,可供我們參考。
總之,肝穿刺檢查是以志願為前提的,不管是“大三陽”、“小三陽”.不管是B肝帶毒者,還是B肝病人,你自願接受肝穿刺,都是可以做的。目的是為了確診,或檢驗治療效果。B肝帶毒者若想進行抗病毒治療,必須首先進行肝穿刺檢查,否則就不要用藥,這是一條重要原則,要牢牢記住。
這裡強調,總起來看,肝穿刺是一種很安全的檢食方法,我國某醫院做了肝穿刺檢查7000多例,從未發生嚴重的併發症,也未出現任何嚴重後遺症。有報導近7萬例肝穿刺檢查,嚴重併發症發生率為0.1%—0.3%,死亡率為09/10萬,死亡者均為肝硬化或肝癌患者。嚴重併發症指出血、膽汁性腹膜炎、敗血症和菌血症等。但要掌握好適應症和禁忌症,操作熟練,多數嚴重併發症是可以避免的。現採用的肝穿針,直徑僅僅1—2毫米損傷小。何況在進行肝穿刺檢查前,醫生都能嚴格掌握適應症.對不適宜者堅決不做。接受該檢查者不要為安安全坦憂。
禁忌症
肝穿刺2.有出血傾向的患者。如血友病、海綿狀肝血管病、凝血時間延長、血小板減少達80×10的9次方/L以下者。
3.大量腹水或重度黃疸者。
4.嚴重貧血或一般情況差者。
5.肝昏迷者。
6.嚴重肝外阻塞性黃疸伴膽囊腫大者。
7.肝縮小或肝濁音界叩不清。
8.疑為肝包蟲病或肝血管瘤者。
9.嚴重心、肺、腎疾病或其功能衰竭者。
10.右側膿胸、膈下膿腫、胸腔積液或其他臟器有急性疾患者,穿刺處局部感染者。
11.嚴重高血壓(收縮壓>24KPa)者。
注意事項
肝穿刺一般而說,不少肝病患者經過病史詢問和體格檢查,或者在輔以必要實驗室和影像學檢查,就可確診。但是,有些不能明確診斷疾病,只有通過肝穿刺活檢,進行病理學檢查才能下結論,如肝癌、淋巴瘤、結核等。還有些疾病診斷起來有困難,需要肝活檢與臨床症狀相結合,才能作出診斷,如自身免疫性肝炎、慢性肝炎、原發性膽汁肝硬化等。
除了明確診斷,肝穿刺活檢還能為一些疾病提供進一步檢查的方向。例如血色病、肝豆狀核變性,肝穿刺活檢的病理學描述為肝硬化,這時候就提示要進行特異染色的組織化學染色。此外,肝穿刺活檢還可以為慢性肝病提供分級、分期等指標。對於慢性肝病的治療有指導作用。
知道了肝穿刺活檢這么重要,依然有患者會害怕,關鍵問題是安全不安全。
肝穿刺活檢一般相當安全。經皮的肝穿刺活檢已有100餘年的歷史,近年來,由於穿刺器械和操作方法的改進,並制定了嚴格的適應症和禁忌症,使經皮肝穿刺活檢可取得較好的標本,而且相當安全。
為了檢查更安全,在術前1—2天,患者需要進行常規肝臟生化檢查、凝血功能檢測、血常規、血小板檢測、胸透和腹部超聲檢查。術前1天,要用超聲定位穿刺點,並了解周圍有無較大血管或腫大的膽囊。術前1天和手術當天,要肌注維生素K1十毫克各1次,患者最好還要住院。
術前,醫生還要向患者說明配合穿刺的注意事項,練習送氣以及消除患者的恐懼和緊張。患者術前半小時測血壓、脈搏,排空小便。肝穿刺後需要嚴密觀察血壓、脈搏等,術後要絕對臥床24小時。臥床24小時後患者可起床進行室內活動。
肝穿刺活檢後,患者可能會出現局部疼痛,包括活檢部位的不適、放射至右肩的疼痛和短暫的上腹痛。這些都屬於正常情況,可以適當進行鎮痛治療。只有極少數的患者在穿刺活檢後會出現有臨床意義的出血,出血可在腹腔內、胸腔內或者肝臟內;發生肝臟膽汁外漏或者穿透膽囊可以引起膽汁性腹膜炎。但是,大多數併發症都發生在活檢後3小時內。
肝穿刺活檢疼嗎
肝穿刺活校多年來已套用於臨床,對疑難肝病的診斷有可靠的實用價值。自1957年Menghini一秒鐘肝穿法問世以後,肝穿刺已成為簡便、安全、有效的肝病診斷方法之一。通過肝穿活檢對肝炎的診斷、分型和病情演變、療效觀察都有很大價值,對進一步明確診斷和指導治療十分重要。將臨床所見與病理所見結合起來,有助於對各種肝病的進一步認識。對於臨床上難以鑑別的肝脾腫大思者,急慢性黃疽病人如肝澱粉樣變性、妊娠急性脂肪肝、體質性黃疽、藥物中毒性肝病、酒精性肝病、慢性遷延性肝炎與慢性活動性肝炎、肝硬化的分型以及肝癌等,通過肝穿活檢都有重要的鑑別及診斷意義。近年來,國內外關於病毒性肝炎的研究有了進一步提高,一致認為肝活檢可通過組織化學染色和對超微結構的觀察以及免疫病理檢查,有利於肝炎發病機理的探討。對B型肝炎的診斷、分型具有重要意義。一些醫院採用一秒鐘快速肝穿對無症狀無體徵的B型肝炎表面抗原攜帶者進行肝穿病檢,結果提示:全部病例均為隱匿性肝病患者,雖然大多數息者為慢性延性肝炎,但亦潛在慢性活動性肝炎及肝硬化的危險,通過肝話檢得到早期診斷和治療。
總之。肝穿活檢是診斷肝病必不可缺的手段之一。但並非是萬能的診斷方法,因為肝穿所取組織的重量約為0.02—0.03g(長2—3cm,直徑約0.2cm)占肝總量的1/50000,顯微鏡下所見一般為5—20個肝小葉,活撿有一定的局限性。其診斷率與疾病的性質、技術操做熟練程度和適應症的選擇等有關。對瀰漫性病變(如脂肪肝、肝炎、淤膽、含鐵血黃素沉著、澱粉樣變性),因病變分布均勻,任取一點足以反映肝組織學的全貌,故診斷率高。對結構性病變(如肝硬化)因纖維結締組織明顯增生,取材不易完整,以致影響對小葉結構有關病變的診斷。而局灶性病變(如肝癌、肝膿腫、肝肉芽腫)常與病灶大小,病變分布和範圍有關。總之,肝穿刺取材有一定的抽樣誤差,陽性結果對診斷有決定性意義,而陰性結果基本上可排除瀰漫性病變但不能排除局限性病變。
肝穿活檢有無危險,這是許多患者所關心和懷疑的一個問題,近年來多採用Menshini法一秒鐘肝穿,根據從國內外數千例肝穿結果來看,少數患者於肝穿後除育穿刺點輕微疼痛及肩痛外無任何不適亦不遺留其它併發症。當然併發症的發生與肝穿前的準備,穿刺後的護理皆有關。因此,必須嚴密作好肝穿前的各項檢查工作,嚴防肝穿後併發症的發生應列為首要。只要病人配合好、技術操作熟練,肝穿刺一般來講沒有危險性,並且沒有明顯的痛感。
哪些人需要做肝穿刺
一、肝臟腫大的鑑別診斷:肝臟腫大但判斷不明者,肝穿有助於查找原因。二、鑑別引起黃疸的原因:一般通過詢問病史、臨床及實驗室檢查即可確定。但約有15%的黃疸患者仍不能準確判斷,這時候做肝穿可能對確診會有一定的幫助。
三、各種肝臟疾病的鑑別:可用於幫助判斷患者是病毒性肝炎還是中毒性肝損害;是慢性肝炎還是已發展成肝硬化;是肝硬化還是肝腫瘤等等。
四、原因不明的脾腫大:懷疑由肝內病變引起者,或肝脾均腫大而又原因不明者。
五、了解肝病的演變過程:例如確定肝炎為急性、慢性期;慢性肝炎的活動程度及是否演變成肝硬化或肝癌等。
六、觀察治療效果及判斷預後:觀察藥物治療後的病理改變情況,以進一步確定其療效。也可根據肝臟病理改變判斷患者的預後。
七、確定腫瘤的來源:通過肝穿來判斷肝癌是原發的還是繼發的;是肝細胞性還是膽管細胞性。
做肝穿刺的意義
一般而說,不少肝病患者經過病史詢問和體格檢查,或者在輔以必要實驗室和影像學檢查,就可確診。但是,有些不能明確診斷疾病,只有通過肝穿刺活檢,進行病理學檢查才能下結論,如肝癌、淋巴瘤、結核等。還有些疾病診斷起來有困難,需要肝活檢與臨床症狀相結合,才能作出診斷,如自身免疫性肝炎、慢性肝炎、原發性膽汁肝硬化等。有不少慢性B肝患者感染HBV(B肝病毒)時間很長,但抽血化驗轉氨酶有的長期正常、有的反覆異常、有的異常可能僅半年時間,HBVDNA陽性或陰性,這樣的患者通過肝穿刺檢查能發現慢性B肝是否處於活動期,並能推斷其病變的輕重程度。
B肝患者進行肝穿刺檢查是作為療效考核的標準,治療以後B肝患者有沒有好轉,病變恢復得程度怎么樣,必須要做肝組織的檢查,這是最直接的。
價格
肝穿刺活檢是B肝常見檢測手段,多對於B肝中後期病人的檢測。肝穿刺檢查多少錢,一直以來備受廣大B肝患者所關注。重慶騎士肝病專科醫院權威肝病專家指出:肝穿刺檢測費用受地域消費水平、醫院醫療條件、檢測儀器的不同,收費也大不相同。一般肝穿刺價格在200~300元之間,有的時候會考慮到檢查、打針、手術燈等一系列問題,價格可能會稍微高一些,另外地區消費水平,各個醫院的收費標準等存在一定差異,肝穿刺費用也會有一定的波動,具體價格需要根據當地專科醫院費用擬定標準。作用
1.有利於多種肝病的鑑別診斷
許多臨床診斷比較困難的慢性肝病,如各型病毒性肝炎、酒精性肝炎、
肝穿刺
肝結核、肝肉芽腫、血吸蟲病、肝腫瘤、脂肪肝、肝膿腫、原發性膽汁性肝硬變及各種代謝性肝病(肝豆狀核變性、肝糖原累積病、肝臟澱粉樣變性)等,往往需要通過肝穿刺來了解病人的肝臟病變,為明確診斷提供重要的甚至可能是決定性的依據。
2.了解肝臟病變的程度和活動性
肝穿刺活組織檢查是一種能直接了解肝組織的病理變化,並可以做出較客觀、精確診斷的檢查方法。有不少慢性B型肝炎患者,感染肝病病毒時間很長,但抽血化驗發現轉氨酶異常可能僅有半年時間,肝病病毒含量水平也不高。這樣的病人通過肝穿刺能發現慢性肝病是否處於活動期,並能推斷其病變的輕重程度。
3.提供各型病毒性肝炎的病原學診斷,依據大部分肝炎病毒是嗜肝病毒,它們往往多在肝組織中寄生。只有血清肝病病毒達到一定量時,臨床化驗才能夠檢測得到。所以目前仍有一些病毒性肝炎,臨床化驗顯示血清肝病病毒標誌物全部是陰性,難以確定其病原。但是,通過肝穿刺,用超敏感免疫組織化學和原位分子雜交技術,可檢測出寄生在肝組織中的肝炎病毒。
4.發現早期、靜止或尚在代償期的肝硬化肝硬化,特別是肝纖維化,在發病早期,通過血液化驗、B超檢查一般難以發現。但是通過肝臟穿刺檢查,可以對肝臟纖維化和早期、靜止或尚在代償期的肝硬化進行精確診斷,並能夠鑑別肝硬化臨床類型,區分是酒精性肝硬化,還是肝炎後肝硬化,以及是否伴有活動性肝炎。例如,一些診斷為慢性無症狀肝病病毒攜帶者的患者,通過肝臟穿刺檢查,可發現是活動性肝硬化或慢性活動性肝炎。
5.有利於藥物的選擇和藥物的療效判斷
治療前後肝活檢組織病理變化是評判藥物治療效果的可靠指標,為臨床藥物治療提供客觀的評價依據。目前常用的抗肝病病毒的藥物有干擾素與拉米夫定,套用干擾素或拉米夫定進行抗病毒治療,不僅療程長,且價格昂貴。治療前如能進行肝穿刺,根據肝組織炎症活動程度,有選擇性
肝穿刺
和針對性地套用抗病毒藥物,將明顯提高療效。
6.鑑別黃疸的性質和原因
臨床上黃疸往往難以確定病因,可做肝活檢。它可以確定黃疸是膽紅素代謝障礙,或是肝細胞性黃疸,還是膽汁淤積所致,是病毒性還是藥物引起。不同的病因,預後和治療是完全不同的,只有診斷清楚,才能制定正確的診療方案。
7.作為慢性肝炎病情、預後的評判指標
肝穿刺可發現肝組織的病變情況,為病情變化、預後的判斷提供客觀依據。重型肝炎如以肝細胞水腫為主,則病情較輕,預後較好,病死率較低;如以肝細胞壞死為主,且正常肝細胞殘存率較低,則病情嚴重,預後較差,病死率高。
8.可以進行診斷性治療
在B超或CT引導下,有目的性地肝穿刺,可開展肝膿腫穿刺排膿、注射藥物,無水酒精瘤內注射治療肝癌等。在進行穿刺取材、診斷的同時,還可以開展診斷性治療,做到診斷治療兩不誤。
肝穿刺後出血的發生率在十萬分之一左右,由於肝活檢技術已經很成熟,只要掌握好適應症、禁忌症,在肝穿刺前做好充分的準備,肝穿刺活檢的操作可做到萬無一失。
護理工作
在手術後要注意臥床休息24小時,在4小時內每隔15-30分鐘測脈搏、血壓一次,出現脈搏增快細弱、煩躁不安、血壓下降、面色蒼白、出冷汗以及內出血現象時,應趕快進行緊急處理。如無變化,改為每小時一次,共6次,直到保證沒有任何事情的情況下方可停止檢查。多數人在穿刺後會出現局部疼痛的症狀,這時我們應仔細查找原因,若為一般組織創傷性疼痛,可用止痛劑來加以控制,如果出現氣胸、胸膜性休克活膽汁性腹膜炎症狀時應去醫院進行及時處理。
術後飲食
⑴對於肝穿刺手術後飲食不可過鹹,限制食鹽入量,以免導致體內水鈉瀦留,加重腹脹、腹水,給後期病情的康復帶來困難,一般食鹽用量不超過每日2克。⑵肝穿刺手術後,短期內肝功能受到一定的傷害,影響腸道的脂肪消化吸收,應以易消化、低蛋白飲食、低脂肪以及容易消化的食物為宜,並要遵循少食多餐的飲食原則。
⑶不合理的飲食會加重病情,提醒在做完肝穿刺後不要吃過硬的粗纖維食物,辛辣及刺激性食物、少吃過熱、過冷的食物以防食道、胃底靜脈曲張破裂而引起大出血。
肝臟是人體解毒的總機關,具有化解細菌、酒精和其他毒素功能。長期酗酒、服用藥物以及不規律的生活作息,都會造成肝臟的負擔。
預防肝病要點
微量元素硒的作用硒——微量元素中的護肝衛士
⒈現代科學研究證明:肝炎、肝硬化等肝損傷時,都可表現血硒降低,而低硒又能促成酒精性肝病的發生;
⒉硒可以起到加速酒精分解代謝,解除酒後不適,進而保護肝臟,預防酒精性肝損傷;
⒊硒元素可以通過谷胱甘肽過氧化物酶完成的抗氧化作用,保護肝細胞的結構完整,清除自由基,加快脂質過氧化物的分解,從而保護肝臟。 4.硒具有良好的解毒功能,能拮抗多種有毒重金屬物質(如:汞、鉛、苯、砷等)和一些有害化合物,從而減少環境中有毒物質對肝臟的傷害。
五味子的作用
五味子—中藥護肝新要素
⒈五味子能促進膽汁分泌,加速肝內酒精等有毒物質的排泄。
⒉五味子中富含多種活性成分——木脂素,此類物質可以增強GSH-PX和SOD等酶的生物活性,具有保護肝細胞膜、抗脂質過氧化、促進蛋白質生物合成和肝糖原生成等作用,能促進損傷的肝細胞的修復,增長、抑制肝細胞病變。
⒊五味子能促進肝臟的解毒過程、保護肝臟免受毒害,並能再生因濫用酒精、藥物或肝炎而受損的肝臟組織。
⒋五味子亦能有效地降低不斷升高的轉胺酶–丙胺酸轉胺酶(SGPT/ALT-20天內降低75%)和甲型胎兒球蛋白(AFP-最廣泛用於生化血液檢驗以檢測肝癌)水平,比起廣為人知的水飛薊素(取自奶薊),其效用更安全。
肝穿刺活檢疼嗎肝穿刺活校多年來已套用於臨床,對疑難肝病的診斷有可靠的實用價值。自1957年Menghini一秒鐘肝穿法問世以後,肝穿刺已成為簡便、安全、有效的肝病診斷方法之一。通過肝穿活檢對肝炎的診斷、分型和病情演變、療效觀察都有很大價值,對進一步明確診斷和指導治療十分重要。將臨床所見與病理所見結合起來,有助於對各種肝病的進一步認識。對於臨床上難以鑑別的肝脾腫大思者,急慢性黃疽病人如肝澱粉樣變性、妊娠急性脂肪肝、體質性黃疽、藥物中毒性肝病、酒精性肝病、慢性遷延性肝炎與慢性活動性肝炎、肝硬化的分型以及肝癌等,通過肝穿活檢都有重要的鑑別及診斷意義。
近年來,國內外關於病毒性肝炎的研究有了進一步提高,一致認為肝活檢可通過組織化學染色和對超微結構的觀察以及免疫病理檢查,有利於肝炎發病機理的探討。對B型肝炎的診斷、分型具有重要意義。一些醫院採用一秒鐘快速肝穿對無症狀無體徵的B型肝炎表面抗原攜帶者進行肝穿病檢,結果提示:全部病例均為隱匿性肝病患者,雖然大多數息者為慢性延性肝炎,但亦潛在慢性活動性肝炎及肝硬化的危險,通過肝話檢得到早期診斷和治療。
總之。肝穿活檢是診斷肝病必不可缺的手段之一。但並非是萬能的診斷方法,因為肝穿所取組織的重量約為0.02—0.03g(長2—3cm,直徑約0.2cm)占肝總量的1/50000,顯微鏡下所見一般為5—20個肝小葉,活檢有一定的局限性。其診斷率與疾病的性質、技術操做熟練程度和適應症的選擇等有關。對瀰漫性病變(如脂肪肝、肝炎、淤膽、含鐵血黃素沉著、澱粉樣變性),因病變分布均勻,任取一點足以反映肝組織學的全貌,故診斷率高。對結構性病變(如肝硬化)因纖維結締組織明顯增生,取材不易完整,以致影響對小葉結構有關病變的診斷。而局灶性病變(如肝癌、肝膿腫、肝肉芽腫)常與病灶大小,病變分布和範圍有關。總之,肝穿刺取材有一定的抽樣誤差,陽性結果對診斷有決定性意義,而陰性結果基本上可排除瀰漫性病變但不能排除局限性病變。
肝穿活檢有無危險,這是許多患者所關心和懷疑的一個問題,近年來多採用Menshini法一秒鐘肝穿,根據從國內外數千例肝穿結果來看,少數患者於肝穿後除育穿刺點輕微疼痛及肩痛外無任何不適亦不遺留其它併發症。當然併發症的發生與肝穿前的準備,穿刺後的護理皆有關。因此,必須嚴密作好肝穿前的各項檢查工作,嚴防肝穿後併發症的發生應列為首要。只要病人配合好、技術操作熟練,肝穿刺一般來講沒有危險性,並且沒有明顯的痛感
肝穿刺活檢步驟
肝穿刺活檢步驟是,首先要通過B肝b超檢查確認穿刺點的位置,對於肝臟明顯腫大的患者可以在肋緣下穿刺。在肝穿刺活檢手術前,一般會對患者進行消毒,麻醉。肝穿刺活檢中,患者應該保持呼吸平靜,醫生通過穿刺針於b超選定的穿刺點穿透皮膚,進入肝實質後迅速拔針,整個過程只需要1-2秒。
肝穿刺檢查的詳細步驟是什麼在肝穿刺活檢中患者需要注意的是有嚴重凝血障礙的患者,或者有高度梗塞型黃疸的患者不能進行肝穿刺活檢,當患者出現肝硬化肝臟明顯縮小,肝臟澱粉樣病變時患者是不能做肝穿刺活檢的,肝穿刺活檢對患者的要求會比較嚴格,患者一定要遵主治醫生的囑咐。
肝穿刺應該注意什麼
⒈有些人不適合做肝穿刺,如兒童、老年人、不能合作的病者,常規的檢查就能達到目的病人,有出血傾向、嚴重的貧血的患者,肝病症狀比較明顯如肝昏迷、腹水、重症黃疸,肝功能衰竭者,嚴重高血壓者等;⒉為了肝穿刺更安全,建議在肝穿刺術前1到2天,患者先進行常規的肝生化檢查,凝血功能檢測,對血常規、血小板、胸透、腹部超聲進行檢查;另外,肝穿刺術前一天和手術當天,需要注射維生素K1十毫克各1次;
⒊在做肝穿刺手術前,患者需要了解配合肝穿刺的注意事項,如練習送氣以消除恐懼和緊張,患者術前半小時測血壓、脈搏,排空小便,術後絕對臥床24小時等;
⒋肝穿刺大多數的併發症會在活檢後的3個小時內發生,如活檢部位不適、放射至右肩的疼痛和短暫的上腹痛等,這些都是正常的狀況,可以適當進行鎮痛治療。
作用
1.有利於多種肝病的鑑別診斷許多臨床診斷比較困難的慢性肝病,如各型病毒性肝炎、酒精性肝炎、
肝穿刺
肝結核、肝肉芽腫、血吸蟲病、肝腫瘤、脂肪肝、肝膿腫、原發性膽汁性肝硬變及各種代謝性肝病(肝豆狀核變性、肝糖原累積病、肝臟澱粉樣變性)等,往往需要通過肝穿刺來了解病人的肝臟病變,為明確診斷提供重要的甚至可能是決定性的依據。
2.了解肝臟病變的程度和活動性
肝穿刺活組織檢查是一種能直接了解肝組織的病理變化,並可以做出較客觀、精確診斷的檢查方法。有不少慢性B型肝炎患者,感染肝病病毒時間很長,但抽血化驗發現轉氨酶異常可能僅有半年時間,肝病病毒含量水平也不高。這樣的病人通過肝穿刺能發現慢性肝病是否處於活動期,並能推斷其病變的輕重程度。
3.提供各型病毒性肝炎的病原學診斷,依據大部分肝炎病毒是嗜肝病毒,它們往往多在肝組織中寄生。只有血清肝病病毒達到一定量時,臨床化驗才能夠檢測得到。所以目前仍有一些病毒性肝炎,臨床化驗顯示血清肝病病毒標誌物全部是陰性,難以確定其病原。但是,通過肝穿刺,用超敏感免疫組織化學和原位分子雜交技術,可檢測出寄生在肝組織中的肝炎病毒。
4.發現早期、靜止或尚在代償期的肝硬化肝硬化,特別是肝纖維化,在發病早期,通過血液化驗、B超檢查一般難以發現。但是通過肝臟穿刺檢查,可以對肝臟纖維化和早期、靜止或尚在代償期的肝硬化進行精確診斷,並能夠鑑別肝硬化臨床類型,區分是酒精性肝硬化,還是肝炎後肝硬化,以及是否伴有活動性肝炎。例如,一些診斷為慢性無症狀肝病病毒攜帶者的患者,通過肝臟穿刺檢查,可發現是活動性肝硬化或慢性活動性肝炎。
5.有利於藥物的選擇和藥物的療效判斷
治療前後肝活檢組織病理變化是評判藥物治療效果的可靠指標,為臨床藥物治療提供客觀的評價依據。目前常用的抗肝病病毒的藥物有干擾素與拉米夫定,套用干擾素或拉米夫定進行抗病毒治療,不僅療程長,且價格昂貴。治療前如能進行肝穿刺,根據肝組織炎症活動程度,有選擇性
肝穿刺
和針對性地套用抗病毒藥物,將明顯提高療效。
6.鑑別黃疸的性質和原因
臨床上黃疸往往難以確定病因,可做肝活檢。它可以確定黃疸是膽紅素代謝障礙,或是肝細胞性黃疸,還是膽汁淤積所致,是病毒性還是藥物引起。不同的病因,預後和治療是完全不同的,只有診斷清楚,才能制定正確的診療方案。
7.作為慢性肝炎病情、預後的評判指標
肝穿刺可發現肝組織的病變情況,為病情變化、預後的判斷提供客觀依據。重型肝炎如以肝細胞水腫為主,則病情較輕,預後較好,病死率較低;如以肝細胞壞死為主,且正常肝細胞殘存率較低,則病情嚴重,預後較差,病死率高。
8.可以進行診斷性治療
在B超或CT引導下,有目的性地肝穿刺,可開展肝膿腫穿刺排膿、注射藥物,無水酒精瘤內注射治療肝癌等。在進行穿刺取材、診斷的同時,還可以開展診斷性治療,做到診斷治療兩不誤。
肝穿刺後出血的發生率在十萬分之一左右,由於肝活檢技術已經很成熟,只要掌握好適應症、禁忌症,在肝穿刺前做好充分的準備,肝穿刺活檢的操作可做到萬無一失。
肝穿刺活檢步驟
編輯
肝穿刺活檢步驟是,首先要通過B肝b超檢查確認穿刺點的位置,對於肝臟明顯腫大的患者可以在肋緣下穿刺。
在肝穿刺活檢手術前,一般會對患者進行消毒,麻醉。肝穿刺活檢中,患者應該保持呼吸平靜,醫生通過穿刺針於b超選定的穿刺點穿透皮膚,進入肝實質後迅速拔針,整個過程只需要1-2秒。
肝穿刺檢查的詳細步驟是什麼在肝穿刺活檢中患者需要注意的是有嚴重凝血障礙的患者,或者有高度梗塞型黃疸的患者不能進行肝穿刺活檢,當患者出現肝硬化肝臟明顯縮小,肝臟澱粉樣病變時患者是不能做肝穿刺活檢的,肝穿刺活檢對患者的要求會比較嚴格,患者一定要遵主治醫生的囑咐。
7肝穿刺應該注意什麼
編輯
⒈有些人不適合做肝穿刺,如兒童、老年人、不能合作的病者,常規的檢查就能達到目的病人,有出血傾向、嚴重的貧血的患者,肝病症狀比較明顯如肝昏迷、腹水、重症黃疸,肝功能衰竭者,嚴重高血壓者等;
⒉為了肝穿刺更安全,建議在肝穿刺術前1到2天,患者先進行常規的肝生化檢查,凝血功能檢測,對血常規、血小板、胸透、腹部超聲進行檢查;另外,肝穿刺術前一天和手術當天,需要注射維生素K1十毫克各1次;
⒊在做肝穿刺手術前,患者需要了解配合肝穿刺的注意事項,如練習送氣以消除恐懼和緊張,患者術前半小時測血壓、脈搏,排空小便,術後絕對臥床24小時等;
⒋肝穿刺大多數的併發症會在活檢後的3個小時內發生,如活檢部位不適、放射至右肩的疼痛和短暫的上腹痛等,這些都是正常的狀況,可以適當進行鎮痛治療。
消化系統疾病(三)
| 消化系統疾病一直是影響人類生存質量的主要疾病,特別是消化系統腫瘤更是嚴重威脅人類健康。醫學統計數據表明,屬於消化系統腫瘤的肝癌和胃癌長年來一直位於我國腫瘤發病率的第二位和第三位。 |
消化系統疾病
| 消化系統疾病一直是影響人類生存質量的主要疾病,特別是消化系統腫瘤更是嚴重威脅人類健康。醫學統計數據表明,屬於消化系統腫瘤的肝癌和胃癌長年來一直位於我國腫瘤發病率的第二位和第三位。 | |||
| 胃炎 急性胃炎 急性胃腸炎 胃潰瘍 慢性萎縮性胃炎 慢性胃炎 慢性淺表性胃炎 消化性潰瘍 胃腸道脹氣 腸上皮化生 胃癌 胃痛 急性胃擴張 胃柿石症 胃黏膜脫垂症 胃下垂 胃泌素瘤 傾倒綜合徵 胃扭轉 小腸腫瘤 阿狄森氏病 | 大腸癌 直腸癌 肛門直腸損傷 結腸直腸腺瘤 克隆氏病 腸中風 急性腸炎 慢性腸炎 急性腸梗阻 急性腸胃炎 偽膜性腸炎 放射性腸炎 直腸陰道瘺 腸結核 缺血性腸病 闌尾炎 急性闌尾炎 蛔蟲病 蟯蟲病 鉤蟲病 | 先天性肛門閉鎖 肛門瘺管 肛裂 肛門梳硬結 肛門濕疹 肛門直腸先天畸形 直腸脫垂 肛門瘙癢 大便失禁 肛管直腸癌 便秘 器質性便秘 功能性便秘 結腸性便秘 妊娠便秘 產褥期便秘 小兒便秘 急性細菌性痢疾 小兒便血 胃原性腹瀉 | 感染性腹瀉 食物中毒 腺病毒胃腸炎 慢性肝炎 小兒肝炎 藥物性肝炎 酒精性肝炎 肝昏迷 肝功能衰竭 肝細胞凋亡 肝腫大 黃疸 老年肝硬化 肝纖維化 門靜脈高壓症 肝腎綜合徵 肝吸蟲病 肝功能檢查 肝穿刺 肝移植術 |

