概述
肝結核肝結核(tuberculosis of the liver)較為少見,因缺乏特異的症狀和體徵,故臨床誤診誤治率較高。多數肝結核系全身粟粒性結核的一部分,稱為繼發性肝結核,患者主要表現為肝外肺、腸等結核引起的臨床表現,一般不出現肝病的臨床症狀,經過抗結核治療肝內結核可隨之治癒,臨床上很難作出肝結核的診斷。原發性肝結核系指結核累及肝臟,並成為其全部臨床表現的原因,或者當發生肝結核時,其他部位的結核病灶已自愈或非常隱匿而未發現,肝臟為唯一發現結核的器官。此時,患者可出現肝腫大、肝區疼痛及觸痛、黃疸等肝病表現,也可出現結核病常有的全身症狀如發熱、畏寒、盜汗、乏力、消瘦、噁心、嘔吐、腹脹、腹瀉。
病因
結核菌屬於放線菌目,分枝桿菌科的分枝桿菌屬,為有致病力的耐酸菌。主要分為人、牛、鳥、鼠等型。對人有致病性者主要是人型菌,牛型菌少有感染。肝結核是由各種肝外結核菌播散到肝臟所致,有時因肝外原發灶較小或已痊癒,不能查出原發病灶,據統計能查到原發灶者僅占35%。
臨床表現
該病主要症狀有發熱、食欲不振、乏力,肝區或右上腹痛及肝大。發熱多在午後,有時伴畏寒和夜間盜汗;有低熱者也有弛張型者,高熱可達39~41℃,有發熱症狀者占91.3%,凡有結核或有明確結核病史者,長期反覆發熱,且排除其他原因者常有肝結核的可能。肝大是主要體徵,半數以上有觸痛、肝質硬,結節性腫塊;約15%的患者因結節壓迫肝膽管可出現輕度黃疸,10%的病例有腹腔積液。
檢查
1.血常規
白細胞總數正常或偏低,少數患者可增高,甚至出現類白血病反應。80%以上患者有貧血表現,血沉常加速。
2.肝功能檢查
ALT、ALP及膽紅素升高,可有白蛋白減少、球蛋白增加。
3.結核感染相關的檢測。
4.肝穿刺活檢
對瀰漫性或粟粒型病變診斷價值較大。
5.X線腹部平片
可能發現肝內鈣化灶。有人報肝結核患者48.7%有肝內鈣化灶。
6.B超檢查
可發現肝大及肝內較大的病灶,亦可在其引導下做病灶穿刺檢查。
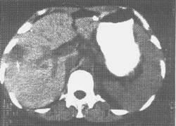
7.CT掃描
能發現肝內病灶。
8.腹腔鏡檢查
可發現肝表面的黃白色點狀或片狀病變,並在直視下做病灶穿刺作病理及細菌學等進一步的檢查。
9.剖腹探查
個別疑難病例,必要時可通過手術途徑獲得明確的診斷。
診斷
根據臨床表現結合上述檢查可獲得診斷。
鑑別診斷
需要與下列病變鑑別:
1.局限性肝結核瘤有時與肝癌難以鑑別,而粟粒型肝結核有時易與瀰漫型肝癌混淆,但後者病情嚴重,病程發展較快,AFP陽性,結合慢性肝病史等,一般可以鑑別。
2.肝結核形成膿腫後應與阿米巴性或細菌性肝膿腫相鑑別。細菌性肝膿腫多繼發於膽道感染,全身中毒症狀嚴重,有寒戰、高熱,而阿米巴性肝膿腫多有膿血便史,膿腫一般比較大,膿液呈朱古力色,一般不難鑑別。
3.對具有黃疸的病例,慎勿誤診為病毒性肝炎、肝硬化、鉤端螺鏇體病、敗血症等,尤其當患者有結核病史或治療無效而日漸惡化時,應警惕該病的可能並做相關檢查。
4.肝脾腫大、高熱、黃疸、貧血、惡病質,應與淋巴瘤、急性白血病、惡性網狀細胞增多症相鑑別,可查骨髓象和淋巴結活檢。
治療
1.抗結核藥物治療
用藥方案可參照肺結核,應適當延長療程。肝結核患者有ALT升高等肝功能異常時,不僅不是抗結核治療的禁忌證,反而是適應證,療程中ALT可能有小的波動,但很快恢復正常。
2.手術治療
對結核性肝膿腫較大者,在有效抗結核藥物治療的同時,可考慮手術引流或行肝葉切除術。
預後
因肝具有豐富的網狀內皮組織和強大的反應性,有很強的再生和防禦能力,能及時形成屏障作用,故肝結核有自愈傾向。但患者一旦呈高熱、發冷、肝大等活動性肝結核表現,難以自行恢復;如不及時給予特效治療,一般迅速惡化,於數周或數月內死亡。抗結核藥物治療能立即顯效,即使非常嚴重的病例,也多能治癒。
預後在很大程度上取決於臨床的正確診斷,或確診的早晚。死亡多因誤診或確診太晚。併發症脂肪肝導致的嚴重肝功衰竭,可為死亡原因。黃疸表示肝損傷嚴重,預後不良。
經抗結核藥物治療,粟粒性肝結核於6~8個月痊癒;其餘類型的肝結核,痊癒需時可能更長。
預防
預防和治療原發性肝外結核,是預防肝結核的關鍵:
1.首先應是積極、儘早、徹底治癒活動性肺結核,使痰菌轉陰。
2.養成良好的衛生習慣,勿將含有結核桿菌的痰液吞下。
3.將有活動性肺結核病人的餐具單獨套用,並定期煮沸消毒,以防交叉感染。
4.牛奶必須採用巴氏滅菌法或煮沸飲用,不喝生牛奶。
5.加強個人衛生,勤曬衣服,被褥等生活用品,殺滅污染的結核桿菌。
6.加強身體鍛鍊,提高機體抗病能力。
肝臟疾病匯總
病毒性肝炎 | 肝膿腫 | 肝結核 | 肝吸蟲病 | 阿米巴肝膿腫 | 良惡性腫瘤 | 肝囊腫 | 肝膿腫 | | 肝包蟲病肝血管瘤 | 肝內膽管結石 | 脂肪肝 | 中毒性肝病 | 自身免疫性肝病 | 黃疸 | Gilbert綜合徵 | 多發性肝囊腫 | 肝海綿狀血管瘤 | 酒精性肝硬化 | 原發性膽汁性肝硬化 | 肝癌 | B肝 | A肝 | C肝 | 膽汁淤積 | 肝腫大 | 門脈高壓症 | 腹水 | 肝性腦病 | 肝功能衰竭| 脾大| 膽管結石

