阿米巴肝膿腫臨床表現
阿米巴肝膿腫 臨床表現慢性病例呈衰竭狀態,消瘦、貧血、營養性水腫,發熱反不明顯。部分晚期病人肝腫大質堅,局部隆起,易誤為肝癌。
輔助檢查
阿米巴滋養體2、糞便檢查少數患者可查獲溶組織阿米巴。
3、肝功能檢查 鹼性磷酸酶增高最常見,膽固醇和白蛋白大多降低,其它各項指標基本正常。
4、血清學檢查同阿米巴腸病,抗體陽性率可達90%以上。陰性者基本上可排除本病。
5、肝臟顯影 超聲波探查無創傷,準確方便,成為診斷肝膿腫的基本方法。膿腫所在部位顯示與膿腫大小基本一致的液平段,並或作穿刺或手術引流定位,反覆探查可觀察膿腔的進展情況。B型超聲顯像敏感性高,但與其它液
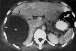
阿米巴肝膿腫 CT表現6、X線檢查 常見右側膈肌抬高,運動受限,胸膜反應或積液,肺底有雲霧狀陰影等。左葉肝膿腫時胃腸道鋇餐透視可見胃小彎受壓或十二指腸移位,側位片見右肋前內側隆起致心膈角或前膈角消失。偶爾在平片上見肝區不規則透光液-氣影,頗具特徵性。
診斷
阿米巴肝膿腫1、右上腹痛、發熱、肝臟腫大和壓痛;
2、X線檢查右側膈肌抬高、運動減弱;
3、超音波檢查顯示肝區液平段。若肝穿刺獲得典型的膿液,或膿液中找到阿米巴滋養體,或對特異性抗阿米巴藥物治療有良好效應即可確診為阿米巴性肝膿腫。
鑑別診斷
國外病理證實的阿米巴肝膿腫生前獲確診的僅40%,中國國內臨床誤診率為17%~38.5%。本病應下下列疾病鑑別。
鑑別診斷 肝癌2、細菌性肝膿腫
3、血吸蟲病 在血吸蟲病流行區,易將肝阿米巴病誤診為急性血吸蟲病。兩者均有發熱、腹瀉、肝腫大等表現,但後者肝痛較輕,脾腫大較顯著,血象中嗜酸粒細胞顯著增加,大例孵化、乙狀結腸鏡檢查、蟲卵可溶性抗原檢測有助於鑑別。
4、膽囊炎 起病急,右上腹痛陣發性加劇,且常有反覆發作史。黃疸多見且較深,肝腫大不顯著,膽囊區壓痛明顯,可作膽囊造影及十二指腸引流予以鑑別。
治療
藥物治療 甲硝唑(1)抗阿米巴治療 選用組織內殺阿米巴藥為主,輔以腸內殺阿米巴藥以根治。目前大多首選甲硝唑,劑量1.2g/天,療程10~30天,治癒率90%以上。無併發症者服藥後72小時內肝痛、發熱等臨床情況明顯改善,體溫於6~9天內消退,肝腫大、壓痛、白細胞增多等在治療後2周左右恢復,膿腔吸收則遲至4個月左右。第二代硝基咪唑類藥物的抗蟲活力、藥代動力學特點與甲硝唑相同,但半衰期長得膿腫療效優於阿米巴腸病。東南亞地區採用短程(1~3天)治療,並可取代甲湖唑。少數單硝唑療效不佳者可換用氯喹或依米丁,但應注意前者有較高的復發率,後者有較多心血管和胃腸道反應。治療後期常規加用一療程腸內抗阿米巴藥,以根除複方之可能。
(2)肝穿刺引流 早期選用有效藥物治療,不少肝膿腫已無穿刺的必要。對恰當的藥物治療5~7天、臨床情況無明顯改善,或肝局部隆起顯著、壓痛明顯,有穿破危險者採用穿刺引流。穿刺最好於抗阿米巴藥物治療2~4天后進行。穿刺部位多選右前腋線第8或第9肋間,或右中腑線上第九或十肋間或肝區隆起、壓痛最明顯處,最好在超音波探查定位下進行。穿刺次數視病情需要而寂靜,每次穿刺應儘量將膿液抽淨,膿液量在200ml以上者常需在3~5天后重複抽吸。膿腔大者經抽吸可加速康復。近年出現的介入性治療,經導針引導作持續閉合引流,可免去反覆穿刺、繼發性感染之缺點,有條件者採用。
(3)抗生素治療 有混合感染時,視細菌種類選用適當的抗生素全身套用。
2、外科治療 緊鑼密鼓肝膿腫需手術引流者一般<5%。其適應證為①抗阿米巴藥物治療及穿刺引流失敗者;②
手術治療肝膿腫的治癒標準尚不一致,一般以症狀及體徵消失為臨床治癒,肝膿腫的充盈缺損大多在6個月內完全吸收,而10%可持續導演至一年。少數病灶較大者可殘留肝囊腫。血沉也可作為參考指標。
療效評價
1、治癒:症狀體徵消失,肝內膿腔閉合。
2、好轉:症狀體徵消失,肝內膿腔縮小。
3、未愈:症狀體徵未改善,肝內膿腔無改善。
相關詞條
參考文獻
1、http://www.fx120.net/JBZT/NK-1/XHK-1/QT=/200502221533401461.htm
2、http://www.3156.cn/disease/offices/2184.shtml
3、http://www.alyisheng.com/illness/677/diff.html
肝臟疾病匯總
病毒性肝炎 | 肝膿腫 | 肝結核 | 肝吸蟲病 | 阿米巴肝膿腫 | 良惡性腫瘤 | 肝囊腫 | 肝膿腫 | | 肝包蟲病肝血管瘤 | 肝內膽管結石 | 脂肪肝 | 中毒性肝病 | 自身免疫性肝病 | 黃疸 | Gilbert綜合徵 | 多發性肝囊腫 | 肝海綿狀血管瘤 | 酒精性肝硬化 | 原發性膽汁性肝硬化 | 肝癌 | B肝 | A肝 | C肝 | 膽汁淤積 | 肝腫大 | 門脈高壓症 | 腹水 | 肝性腦病 | 肝功能衰竭| 脾大| 膽管結石
