疾病概述
細菌性肝膿腫位置細菌性肝膿腫是指由化膿性細菌侵入肝臟形成的肝內化膿性感染灶。本病可來自膽道疾病(占16%~40%),門靜脈血行感染(占8%~24%),直接感染較少見,經肝動脈血行感染報告不一,最多者為45%,隱匿性感染約占10%~15%。致病菌以革蘭陰性菌最多見,其中2/3為大腸埃希桿菌,糞鏈球菌和變形桿菌次之;革蘭陽性菌以金葡菌最常見,感染常為混合性。細菌性肝膿腫約70%~83%發生於肝右葉,這與門靜脈分支走向有關。左葉者約10%~16%;左右葉均有膿腫者約6%~14%。膿腫多為單發且大,多發者較少而小。少數細菌性肝膿腫病人的肺、腎、腦及脾等亦可有小膿腫。臨床上以寒戰、高熱、肝區疼痛、肝大和壓痛為主要表現。隨著影像學的發展和各種綜合療法的開展,對本病的診斷與治療均有明顯的改善。
細菌性肝膿腫多為繼發病變,其臨床表現受原發疾病的影響,多系在原發病病程中驟起寒戰、高熱、大汗,肝區或右上腹痛並伴有厭食、乏力和體重減輕等症狀,多發性肝膿腫症狀最重,單發性者症狀較為隱匿。嚴重時,由於肝臟的廣泛性損害可出現黃疸和腹水。細菌性肝膿腫是一種嚴重的疾病,必須早期診斷,早期治療。
疾病病因
細菌性肝膿腫影像1.膽道系統患者最重要的感染途徑。在有膽道阻塞和繼發感染的病例,如膽總管結石、膽道蛔蟲或華支睪吸蟲病等並發急性化膿性膽總管炎者,細菌可沿膽道上行,感染肝臟而形成肝膿腫。
2.門靜脈系統腹腔感染(如壞疽性闌尾炎、化膿性盆腔炎等)、腸道感染(如潰瘍性腸炎、菌痢等)、痔核感染等可引起門靜脈屬支的血栓性靜脈炎,其膿毒性的栓子脫落後可沿門靜脈系統進入肝臟,引起肝膿腫。由於抗生素的廣泛套用,此途徑的感染已少見。
3.淋巴系統肝臟的鄰接部位如有化膿性病灶如膽囊炎、膈下膿腫及胃、十二指腸穿孔等,細菌可經淋巴系統侵入肝臟。
4.血液感染體內任何部位的化膿性感染,如上呼吸道感染、急性骨髓炎、亞急性心內膜炎、癤和癰等並發菌血症時,病原菌可由肝動脈入肝。
5.直接侵入當肝臟有開放性損傷時,細菌可經由創口直接侵入。有時肝臟的閉合性損傷形成肝臟的被膜下血腫後,肝臟內原有的細菌可使血腫轉化為膿腫。
6.其他原因不明的方式不少肝膿腫並無明顯原因,如隱匿性肝膿腫。可能體記憶體在某種感染性病灶,當機體抵抗力減弱時,偶然的菌血症引起了肝臟的炎症和膿腫。隱匿性肝膿腫中25%伴有糖尿病。由於抗生素廣泛而有效的套用及手術治療的進步,使原屬於其他腹腔感染引起的細菌性肝膿腫的病例已少見。北京協和醫院比較早年及近10年的細菌性肝膿腫病例,膽繫結石和腫瘤成為最主要致病原因,糖尿病患者易並發本病(8.3%),細菌培養陰性的病例有所增加(52.1%)。膽源性肝膿腫約占半數或更多,合併結石或癌性膽道梗阻者更易發生。
至於所謂的不明原因的肝膿腫,是由原發病灶不明顯的菌血症所致;輕度的肝損傷或缺血亦有可能為其直接的誘因,糖尿病也是產生細菌性肝膿腫的誘因。有時肝膿腫的細菌培養結果為陰性,不排除由於對厭氧菌的培養技術不適當所致。
臨床表現
細菌性肝膿腫穿刺治療1.寒戰和高熱多為最早症狀,也是最常見的症狀。病人在發病初期驟感寒戰,繼而高熱,發熱多呈弛張型,體溫在38~40℃,最高可達41℃,寒熱往來伴大量出汗,脈率增快,一天數次,反覆發作。
2.肝區疼痛炎症引起肝臟腫大,導致肝被膜急性膨脹,肝區出現持續性鈍痛;出現的時間可在其他症狀出現之前或之後發生,亦可與其他症狀同時出現,疼痛劇烈者常提示單發性膿腫;膿腫早期為持續鈍痛,後期常為銳利劇痛,隨呼吸加重者常提示肝膈頂部膿腫;有時疼痛可向右肩放射,左肝膿腫也可向左肩放射。
3.乏力、食欲不振、噁心和嘔吐由於伴有全身性毒性反應及持續消耗,乏力、食慾差、噁心和嘔吐等消化道症狀較為常見。少數病人在短期內表現精神萎靡等較嚴重病態,也有少數病人出現腹瀉、腹脹或較頑固性的呃逆等症狀。
4.體徵肝區壓痛和肝大最常見;右下胸部和肝區有叩擊痛;有時出現右側反應性胸膜炎或胸腔積液;如膿腫位於肝表面,其相應部位的肋間皮膚呈紅腫、飽滿、觸壓痛及凹陷性水腫;如膿腫位於右下部,常見有右季肋部或右上腹部飽滿,甚至可見局限性隆起,常能觸及腫大的肝臟或波動性腫塊,並有明顯的觸痛和腹肌緊張等;左肝膿腫時,上述體徵則局限在劍突下。晚期病人可出現腹水,這可能是由於門靜脈炎以及周圍膿腫的壓迫影響門靜脈循環及肝功能受損傷,長期消耗致營養不良和低蛋白所致。繼發於膽道梗阻的病人,都伴有黃疸。其他原因的化膿性肝膿腫,一旦出現黃疸,則表示病情嚴重,預後不良。以上為典型的肝膿腫表現,值得指出的是,由於診療技術的進步,抗生素的早期套用,上述典型表現已不多見,而常以腹痛、乏力和夜間盜汗為主要症狀。
診斷檢查
細菌性肝膿腫切開引流術實驗室檢查:細菌性肝膿腫絕大多數都有白細胞增高現象,總數可達(15~20)×109/L或更高,中性白細胞多在90%以上,有核左移現象。但在套用抗生素的情況下,白細胞也可不高或增高不明顯。病情較重時,谷丙轉氨酶、鹼性磷酸酶多有升高,甚至血清膽紅素也出現增高。病程較長者,可有貧血或低蛋白血症。肝膿腫穿刺液培養,常可培養出致病菌。
其他輔助檢查:
1.X線檢查X線檢查可發現肝臟陰影增大,如果膿腫位於右肝葉,可觀察到膈肌抬高、運動受限、肋膈角模糊或胸腔少量積液、右下肺炎症或肺不張等。有時在膿腫部位可出現氣液平面,多提示膿腫由產氣細菌感染所致。肝左葉的膿腫可出現胃賁門和胃小彎受壓現象。膈肌運動受限、肋膈角消失、胸腔少量積液等情況時,還要考慮到有無膈下膿腫存在。
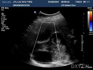
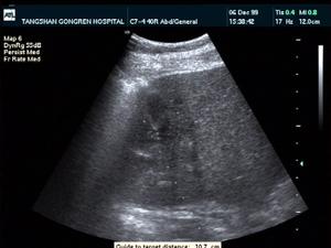
2.超音波檢查可發現膿腫部位有典型的液性回聲暗區或膿腫內液平面。該檢查除能協助臨床診斷外,還可以幫助了解膿腔的部位、大小及距體表的深度,以便確定膿腫的最佳穿刺點和進針方向與深度,或為手術引流提供入路選擇。但超聲對小於1cm的多發性肝膿腫,往往難以發現,臨床診斷時應予注意。從超聲學的角度,還需要與其他囊性病變鑑別。一般情況下,肝囊腫的囊壁整齊清晰,囊內密度均勻一致。而肝膿腫的腔壁不規則,界限不清楚,腔內常含有多個回聲區。
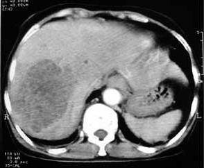
3.CT檢查CT檢查可發現膿腫的大小及形態,顯示膿腫在肝臟中的確切部位,為臨床醫師行膿腫穿刺及手術引流提供清晰、直觀的影像資料。主要表現為肝內出現低密度區,CT值略高於肝囊腫,邊界多數不太清晰,有時低密度區內可出現塊狀影。注射造影劑後其外圍增強明顯,邊界更加清楚。增強掃描的典型表現是膿腫壁的環狀增強(靶征),出現“靶”征強力提示膿腫已形成。
4.MRI檢查肝膿腫早期因水腫存在,故在MRI檢查時具有長T1和T2弛豫時間特點。在T1權重像上表現為邊界不清的低信號強度區,而在T2權重像上信號強度增高。當膿腫形成後,則膿腫在T1權重像上為低強度信號區;膿腫壁系炎症肉芽結締組織,其信號強度也較低,但稍高於膿腫部;膿腫壁周圍的炎症水腫肝組織形成稍低於膿腫壁環狀信號強度灶。在T2權重像上,膿腫和水腫的組織信號強度增高明顯,在其間存在稍低信號強度的環狀膿腫壁。
5.實驗性肝穿刺超聲檢查,確定膿腫的大小、部位以及距局部皮膚的最近距離,選擇最佳穿刺點。細菌性肝膿腫與阿米巴肝膿腫兩者的膿液完全不同,由於感染細菌的種類各異,膿液可呈黃色、白色、黃白色、黃綠色等。抽到膿液後,應立即送細菌培養以及厭氧菌培養,並進行藥物敏感試驗。同時還應將膿液做塗片染色,以大概了解是何種細菌,便於在培養出致病菌之前,早日予以治療。
鑑別診斷
肝膿腫1.膽囊和膽道疾患膽囊和膽道疾患常有急性發作史。如為單純膽石症,則全身反應不顯著而噁心嘔吐常為突出的表現;而肝膿腫一般多不伴有噁心嘔吐。急性膽囊炎常有明顯的局部疼痛和壓痛,且常能捫得腫大的膽囊;而肝膿腫則主要表現為肝臟之向上腫大,膽囊不能觸及。膽總管結石伴有嚴重膽管炎者,臨床上有時與肝膿腫甚相似,但膽管結石常伴有噁心嘔吐及黃疸,在早期其肝臟的腫大和觸痛常不明顯,而橫膈也無升高和活動限制現象。
2.右膈下膿腫膈下膿腫與細菌性肝膿腫的鑑別更困難,術前之正確診斷有時幾乎不可能。一般說來,細菌性肝膿腫的全身反應較之膈下膿腫尤為嚴重;在後者,寒戰和間歇型的高熱不如肝膿腫顯著。相反,胸壁的疼痛在膈下膿腫較為顯著,放射到肩部的現象比較經常,且呼吸時疼痛加劇的現象也較明顯。膈下膿腫形成前幾乎常有先驅病變如急性闌尾炎穿孔及潰瘍病穿孔等;然而上述病灶也可以引致肝膿腫。X線檢查有時可對上述兩種病變作出鑑別。一般單純的膈下膿腫在前後位片上可見肋膈角模糊,側位片上可見後側的肋膈角模糊,而肝膿腫並有膈下膿腫者,在前後位片中可見心膈角模糊,側位片上可見前面的肋膈角模糊。B型超聲檢查對診斷幫助更大。當超聲和CT掃描不易鑑別時,磁共振冠狀面圖像可以確診。
3.阿米巴性肝膿腫一般說來,多發性細菌性肝膿腫與單發性細菌性肝膿腫在臨床上也有不同表現,前者多有突然的寒戰、高熱及出汗,肝臟的腫大和壓痛明顯,白細胞增加較顯著,黃疸也較多見;而單發性細菌性肝膿腫則上述表現均較輕微或緩和。同樣,阿米巴性肝膿腫的臨床表現較之多發性細菌性肝膿腫也較緩和,兩者之間的鑑別多不困難。但阿米巴性肝膿腫與單發性細菌性肝膿腫的症狀則頗多相似之處,兩者之鑑別有時非常不易。最重要的鑑別點在阿米巴性肝膿腫常有阿米巴性腸炎和膿血便病史,如在患者糞便中找到阿米巴滋養體,更具有診斷意義。此外,阿米巴性肝膿腫的症狀較輕,白細胞增加不顯著,且以嗜酸性者為多,病程較長,但貧血較明顯;肝大明顯,肋間水腫,局部隆起及壓痛較明顯。確實的診斷往往只有在穿刺抽得膿液以後,根據膿液的性質及細菌檢查結果,方能作出最後結論。
4.其他門靜脈血栓性靜脈炎有時也需與肝膿腫鑑別。單純的血栓性門靜脈炎常因門靜脈血回流不暢(主要是因肝硬化及肝癌引起)及門靜脈壁有病變,或者血液的成分有所改變(主要是紅細胞增多或血小板增加)等原因產生。發病後門靜脈內有血栓形成,患者也可有輕度寒戰和發熱等症狀,有時可能與肝膿腫混淆。惟血栓性門靜脈炎有時並可有腹水;而肝臟則多無明顯腫大,無觸痛,亦無黃疸,一般鑑別尚不困難。
肝癌有時與肝膿腫在鑑別上也有困難。雖然肝癌患者其肝臟的腫大多是結節性,質較硬,局部疼痛和壓痛不明顯,全身亦無明顯炎症反應,但有時與單發性肝膿腫甚難鑑別。血清甲胎蛋白測定常呈陽性,B型超聲檢查等有助於鑑別。右下葉肺炎有時也有可能與肝膿腫混淆。後者所表現的寒戰發熱、右側胸痛、呼吸急促、咳嗽、肺部囉音、白細胞增高,均可疑為有下葉肺炎的表現。惟在肝膿腫時肺部一般無實變的症狀,橫膈有升高現象,肝臟有腫大和壓痛,當可作出鑑別。隨著醫療設備和臨床診療技術的不斷進步,為本病的臨床診斷提供了很多有利的條件,重要的是臨床醫師要能考慮到本病的存在,因為早期診斷是改善本病及預後的關鍵。
流行病學
細菌性肝膿腫手術治療方案
細菌性肝膿腫治療藥2.B超引導下經皮穿刺抽膿或置管引流術適用於單個較大的膿腫,在B超引導下以粗針行膿腔穿刺,抽淨膿液後反覆注入甲硝唑溶液沖洗抽吸,直至注入液體清淨,拔出穿刺針。也可在反覆沖洗吸淨膿液後,置入導管,以備術後定時沖洗引流,至膿腔小於1.5cm時拔除。這種方法簡便、創傷小、療效也滿意,特別適用於年老體弱及危重病人,穿刺抽膿或置管引流並不能完全代替手術引流,原因是:①如膿腔的膿汁黏稠,將造成引流不暢。②引流管粗則易致組織或膿腔壁出血。③對多分隔膿腔引流不徹底。④不能同時處理膽管結石等原發病灶。⑤厚壁膿腫經抽膿或引流後,膿腫壁不易塌陷。
3.手術療法主要有膿腫切開引流術及肝葉切除術,前者適用於膿腫較大或經上述治療後全身中毒症狀仍較嚴重或出現併發症,如膿腫穿透胸腔、穿入腹腔引起腹膜炎或穿入膽道等時;後者適用於慢性肝膿腫因其壁厚難以用非手術療法治療且局限於一個肝葉者。
(1)膿腫切開引流術:在全身套用抗生素的同時,對有手術指征的病人應積極進行膿腫切開引流術,常用的手術方式有以下幾種:①經腹腔切開引流術:採用右肋緣下斜切口,進入腹腔後,探明膿腫部位,用濕鹽水墊保護手術野以免膿液污染腹腔;先試穿刺抽得膿液後,用直血管鉗沿針頭方向插入膿腔,吸引器吸盡膿液後,再以手指伸入膿腔,輕輕分離腔內間隔組織,並用生理鹽水反覆沖洗膿腔,吸淨後,膿腔內放置雙套管負壓吸引;膿腔內及引流管周圍填塞或覆蓋大網膜;引流管從腹壁另戳口引出。膿液送細菌培養。經腹膿腫切開引流術的優點是病灶定位準確,能達到充分引流目的、可探查和同時處理原發病灶,是臨床最常用的手術方式。
②腹膜外膿腫切開引流術:位於肝右前葉和肝左外葉的肝膿腫,與前腹膜已發生緊密粘連,可採用前側腹膜外進路引流膿液。方法是作右或右肋緣下斜切口,在腹膜外間隙(不切開腹膜),用手指推開肌層直達膿腫部位,此處腹膜有明顯水腫,穿刺抽到膿液後,處理方法同上。
③後側膿腫切開引流術:適用於肝右葉膈頂部或後側的膿腫。病人左側臥位,左側腰部墊一砂袋;沿右側第12肋稍偏外側作一切口,切除一段肋骨,在第一腰椎棘突水平之肋骨床作一橫切口,顯露膈肌,有時需將膈肌切開到達腎後脂肪囊區;用手指沿腎後脂肪囊向上分離,顯露腎上極與肝下面的腹膜後間隙直達膿腫;將穿刺針沿手指方向刺入膿腫腔,抽得膿液後,用長彎止血鉗順穿刺方向插入膿腔,排出膿液。用手指擴大引流口,吸淨膿液,沖洗膿腔後,放置雙套管或多孔橡皮管引流;切口部分縫合。
(2)肝葉切除術:適用於:①病程長的慢性厚壁膿腫,用切開膿腫引流的方式,難以使膿腔塌陷,長期殘留無效腔,創口經久不愈者;②肝膿腫切開引流後,留有竇道長期不愈,流膿不斷,不能自愈者;③合併某肝段膽管結石,肝內因反覆感染、組織破壞、萎縮,失去正常生理功能者;④肝左外葉內多發膿腫致使肝組織嚴重破壞者。肝葉切除治療肝膿腫應注意術中切勿使炎性感染擴散到術野或腹腔,特別對於肝斷面的處理要細緻妥善,術野的引流要通暢,一旦局部感染,將導致肝斷面的膽瘺、出血等併發症。肝膿腫急診肝葉切除,有使炎症擴散的危險,應嚴格掌握手術指征。
預後預防
細菌性肝膿腫檢查預防:細菌性肝膿腫是一種繼發性疾病,如能及早重視治療原發病灶,本病是可以預防的。即使在肝臟感染的早期,如能及時給予大量抗生素治療,加強全身支持療法,也可防止肝膿腫的形成。

