概述
發病早期,經X線攝片顯示軟組織腫脹,10~14天后病骨出現不規則斑點狀脫鈣。以後隨病變發展,破壞與增生可同時存在,可見新生骨及死骨形成。
早期診斷及治療辦法
急性骨髓炎早期症狀選用有效或對細菌藥物敏感的抗生素聯合套用,靜脈注射。體溫下降後改用口服或肌肉注射抗生素2~3周,同時施行全身支持療法,包括高蛋白飲食、維生素、輸血等,患肢進行牽引或石膏制動,達到減少痛苦,防止病理骨折。一旦穿刺有膿或高熱不退,中毒症狀嚴重要及時切開排膿。
如何處理慢性骨髓炎傷口? 由於在急性骨髓炎階段治療不當或不及時,遺留死骨或膿腫潰破形成竇道,稱為慢性骨髓炎。由急性到慢性骨髓炎是個連續過程,兩者並無絕對的時間界限。慢性骨髓炎傷口不易收口,其原因是膿腫使髓腔內壓力增高,血管栓塞或感染的肉芽推起骨膜,使骨組織失去血運而壞死,同時形成大量新生骨稱為骨包殼,骨膜壞死發生穿孔,使日後形成的新生骨有缺口即骨包殼的一處或多處產生骨瘺孔,多通向皮膚流出膿液的竇道。
臨床上患處死骨的異物刺激,可造成長期流膿發臭,時好時壞,經久不愈。
治療原則
保持傷口排膿通暢,病變部位死腔的擴大引流,使死骨與病骨完全分離後,施行手術清除死骨,刮除肉芽組織,消滅死腔,同時進行全身治療。部分患兒因病變部位血液循環增加,促使肢體過長,相反骺板受炎症破壞可致肢體縮短或發生病理性骨折後的畸形癒合。 小兒患了骨髓炎,家長要耐心配合醫生,定期複診並進行傷口換藥,爭取早日康復。
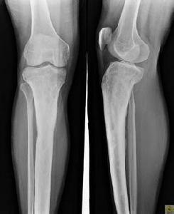
x線表現
急性骨髓炎 x線表現⑴發病兩周內,為軟組織改變:肌間隙模糊或消失;皮下組織與肌間的分界模糊;皮下脂肪層內出現緻密紋影;軟組織充血、水腫,累及關節,可引起關節腫脹 ⑵發病兩周后,為骨改變:骨質破壞,嚴重破壞出現病理性骨折;不同形式的骨膜反應,骨包殼形成;死骨形成;一定程度的骨質增生。
治療措施
急性骨髓炎的治療措施:
1.全身支持療法 包括充分休息與良好護理,注意水、電解質平衡,少量多次輸血,預防發生褥瘡及口腔感染等,給予易消化的富於蛋白質和維生素的飲食,使用鎮痛劑,使患者得到較好的休息。
2.藥物治療 及時採用足量而有效的抗菌藥物,開始可選用廣譜抗菌素,常二種以上聯合套用,以後再依據細菌培養和藥物敏感試驗的結果及治療效果進行調整。抗菌素應繼續使用至體溫正常、症狀消退後2周左右。大多可逐漸控制毒血症,少數可不用手術治療。如經治療後體溫不退,或已形成膿腫,則藥物套用需與手術治療配合進行。
3.局部治療 用適當夾板或石膏托限制活動,抬高患肢,以防止畸形,減少疼痛和避免病理骨折。如早期經藥物治療,症狀消退,可延緩手術,或無需手術治療。但如已形成膿腫,應及時切開引流。如膿腫不明顯,症狀嚴重,藥物在24~48小時內不能控制,患骨局部明顯壓痛,應及早切開引流,以免膿液自行擴散,造成廣泛骨質破壞。手術除切開軟組織膿腫外,還需要在患骨處鑽洞開窗,去除部分骨質,暴露髓腔感染部分,以求充分減壓引流。早期可行閉式滴注引流,傷口癒合較快。
急性骨髓炎的預防
急性化膿性骨髓炎(附骨癰) 發病急驟,局部疼痛,全身不適,發冷寒戰,體溫急劇上升高達39、40oC,汗出而熱不退,倦怠食欲不振,甚至有噁心嘔吐,肢體搏動性疼痛加劇,不能活動,呈環狀腫脹,皮膚微紅微熱,骨的乾骺端壓痛最為明顯,附近肌肉痙攣,關節屈曲,拒絕被動活動及檢、查,自血球總數可達3萬以上,血沉增快,血培養阻性.舌質紅,蒼黃膩,脈滑數。
急性骨髓炎的預防措施:
(1)一般感染性疾病的預防:癤、疔、瘡、癰以及上呼吸道感染都是最常見的感染性疾病,且最易繼發感染而致血源性骨髓炎的發生,因此預防癤、瘡、癰及上呼吸道感染的發生,對預防骨髓炎的發生是十分重要的,其預防的主要措施是:
保持室內氣流通,注意環境衛生和個人衛生,保持皮膚清潔。
青春期應多食蔬采水果,少用油劑潤膚,以防止皮脂腺分泌物堆積或腺管阻塞。
加強體育鍛鍊,增強身體素質,防止感冒發生。
扁桃體炎反覆發作者,應積極預防和治療,必要時考慮手術摘除。
(2)預防外傷感染:外傷感染包括組織損傷後感染和骨骼損傷後感染,也是引起骨髓炎的常見原因,因此,在日常生活中也應注意積極預防。

