基本簡介
解剖學
從解剖學上看,在長骨幹骺端有很多的終末小動脈,循環豐富,血流較慢,利於細菌繁殖。細菌積聚愈多,毒力愈大,則消滅愈難,發生骨髓炎的機會也就增加。有的細菌如葡萄球菌,常積聚成團,在細小動脈內可形成栓塞,使該血管的末端阻塞,使局部組織壞死,利於細菌生長和感染的發生。臨床上骨髓炎的發生常和外傷(扭傷、挫傷等)有關,局部損傷常為誘因,有利於細菌生長。
進入骨髓途徑
病原菌以金黃色葡萄球菌為最多見(占80~90%),其次為鏈球菌和大腸桿菌。肺炎雙球菌,傷寒桿菌等則少見。一般進入骨骼途徑有三:
1、血源性:化膿性細菌通過循環在局部骨質發生病變,即為血源性骨髓炎。感染病灶常為扁桃腺炎、中耳炎、癤、癰等。患者大多身體衰弱,營養較差,過度疲勞或急性病後發生。外傷常為一誘因,病人有時有輕度外傷史,外傷有時決定發病部位,如局部輕度挫傷後可發生股骨或脛骨骨髓炎。
2、外傷性:系直接感染,由火器傷或其它外傷引起的開放性骨折,傷口污染,未經及時徹底清創而發生感染,即為外傷性骨髓炎。骨與關節手主時,無菌操作不嚴,也可引起化膿性感染。
3、骨骼附近軟組織感染擴散引起,如膿性指頭炎,若不及時治療,可以引起指骨骨髓炎。
總之,血源性骨髓炎常見的發病情況有:①多發於營養不良,發燒初愈的兒童;②常有病灶如癤、癰、扁桃腺炎等;③骨髓炎常起於長骨幹骺端;④男孩發病較多。
骨髓炎的發生必須具備二個條件,即外在因素和內在因素同時存在。高度感染力的細菌侵入人體是外在因素,全身或局部骨骼的抗菌力降低是內在因素。以血源性化膿性骨髓炎為例說明其發生過程。
感染途徑
進入骨骼途徑
一般進入骨骼途徑有三:
急性化膿性骨髓炎1、血源性:化膿性細菌通過循環在局部骨質發生病變,即為血源性骨髓炎。感染病灶常為扁桃腺炎、中耳炎、癤、癰等。患者大多身體衰弱,營養較差,過度疲勞或急性病後發生
。外傷常為一誘因,病人有時有輕度外傷史,外傷有時決定發病部位,如局部輕度挫傷後可發生股骨或脛骨骨髓炎。
2、外傷性系直接感染,由火器傷或其它外傷引起的開放性骨折,傷口污染,未經及時徹底清創而發生感染,即為外傷性骨髓炎。骨與關節手主時,無菌操作不嚴,也可引起化膿性感染。
3、骨骼附近軟組織感染擴散引起,如膿性指頭炎,若不及時治療,可以引起指骨骨髓炎。
骨髓炎發生條件
骨髓炎的發生必須具備二個條件,即外在因素和內在因素同時存在。高度感染力的細菌侵入人體是外在因素,全身或局部骨骼的抗菌力降低是內在因素。以血源性化膿性骨髓炎為例說明其發生過程。在正常人的血液里有時有少數細菌侵入,但由於機體抵抗力而被消滅,如在機體抵抗力降低,並有感染病灶時,細菌可從病灶進入血液,機體未能將其全部消滅,細菌隨循環可侵入骨骼。是否發生感染,要看當時機體對感染的敏感性,局部的抵抗力等條件決定。從解剖學上看,在長骨幹骺端有很多的終末小動脈,循環豐富,血流較慢,利於細菌繁殖。細菌積聚愈多,毒力愈大,則消滅愈難,發生骨髓炎的機會也就增加。有的細菌如葡萄球菌,常積聚成團,在細小動脈內可形成栓塞,使該血管的末端阻塞,使局部組織壞死,利於細菌生長和感染的發生。臨床上骨髓炎的發生常和外傷(扭傷、挫傷等)有關,局部損傷常為誘因,有利於細菌生長。
常見的發病情況
總之,血源性骨髓炎常見的發病情況有:①多發於營養不良,發燒初愈的兒童;②常有病灶如癤、癰、扁桃腺炎等;③骨髓炎常起於長骨幹骺端;④男孩發病較多。
疾病病因
急性化膿性骨髓炎
急性化膿性骨髓炎急性化膿性骨髓炎是化膿性骨髓炎的延續,往往全身症狀大多消失,只有在局部引流不暢時,才有全身症狀表現,一般症狀限於局部,往往頑固難治,甚至數年或十數年仍不能
痊癒。對大多數病案,通過妥善的計畫治療,短期內可以治癒。
慢性骨髓炎
在急性期中,經過及時、積極的治療,多數病例可獲得治癒,但仍有不少病人發生慢性骨髓炎。形成慢性骨髓炎常見的原因如下:
(一)在急性期未能及時和適當治療,有大量死骨形成。
(二)有死骨或彈片等異物和死腔的存在。
(三)局部廣泛疤痕組織及竇道形成,循環不佳,利於細菌生長,而抗菌藥物又不能達到。
毒力基因的調控金葡菌的毒力基因調控極為複雜,受多種環境因素和細菌產物的影響。研究較多的是agr基因和sar基因,這兩個基因可以上調細菌分泌蛋白的表達,減少細胞壁相關蛋白的合成。葡萄球菌的耐藥性:葡萄球菌是耐藥性最強的病原菌之一,該屬細菌具備幾乎所有目前所知的耐藥機制,可對除萬古黴素和去甲萬古黴素以外的所有抗菌藥物發生耐藥。
診斷檢查
病史
急性化膿性骨髓炎注意有無創傷史及身體其他部位感染如癤腫、扁桃體炎及上
呼吸道感染等,有無急性全身症狀如畏寒、高熱、脈速等。
體檢
注意有無全身中毒症狀,患部有無皮膚發紅、腫脹、壓痛、關節功能受限等。
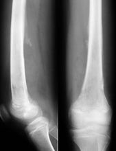
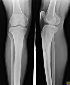
分層穿刺及X線
如抽刺液作細菌學檢查、血液細菌培養及抗生素敏感度測定。同時進行X線攝片檢查。
鑑別診斷
注意與急性風濕熱、類風濕性關節炎、急性軟組織感染及急性化膿性關節炎等疾病相鑑別。
輔助檢查
有條件者可行MRI及ECT檢查。X線片上可以看到多量骨密質增生,因X線片表現為大片濃白陰影,難以看出狹窄的骨髓腔與小透亮區。分層攝片與CT檢查可以探查出普通X線片難以辨出的小透亮區。根據病史、臨床表現和局部檢查,配合X線片即可確定診斷。骨髓炎X線片早期變化不明顯,晚期下頜支後前位片可見骨皮質不光滑,有小片死骨形成,或骨質增生。
治療方案
1.全身支持及對症治療,調節水電解質平衡,補充維生素。中毒症狀明顯者可給予少量多次輸血、降溫、止痛等治療。
2.急性期主張儘早靜脈給予足量抗生素,通常宜用兩種或兩種以上聯合使用,並根據藥敏試驗進行調整。
3.用石膏、夾板、 皮牽引等行患肢抬高和制動。
4.套用大劑量抗生素48h後高熱仍不退者或骨膜下穿刺有膿時應手術治療,包括骨膜切開、鑽孔或開窗。如已形成 骨膜下膿腫,則應早期切開引流,髓腔內放置兩根矽膠管進行抗生素溶液灌注沖洗。
手術治療
術前準備
按一般骨科手術前常規處理,但應注意:
急性化膿性骨髓炎1、詳細檢查並詳閱X線片,明確死骨及死腔位置,確定手術切口
途徑等。
2、術前2~7d開始套用抗生素,用藥前應作竇道分泌物細菌培養及抗生素敏感度測定。
3、創傷所致的骨髓炎,手術前應預防破傷風。
4、必要時準備輸血。
手術方法
1、病灶清除術為治療慢性骨髓炎的基本方法。
(1)切口長度應以能完全顯露死骨及感染骨為度。注意切勿損傷主要神經及血管。
(2)骨膜切開及剝離範圍應按病骨及死骨大小和多少而定,不可剝離過多。
(3)徹底切除壞死組織、肉芽組織、竇道及瘢痕組織,摘除所有死骨,引流不暢的死腔應予打開,但不可過多切除正常骨質。
(4)如手術未遺留較大或較深的死腔,軟組織條件好,可行一期縫合,並在髓腔內上下各放一根有側孔的塑膠管,分別作為沖洗和負壓吸引用,術後用生理鹽水或抗生素溶液沖洗7~10d,先後拔除沖洗管和引流管。如清除後有較大或較深的死腔遺留或軟組織無法修補者,尚應同時進行消滅死腔或修復創面的手術,才能收到較好的效果。
2、肌瓣或肌皮瓣填塞術
適用於病灶清除後殘留較大死腔者。應儘量選擇鄰近肌肉,但應避免採用肢體的主要屈伸肌,所用肌瓣不應過長,張力不宜過大。鄰近無肌瓣可取時,可行吻合血管的游離肌瓣或肌皮瓣移植。
3、松質骨填塞術
在徹底清除病灶後,用髂骨片或其他松質骨填充死腔。此法易招致感染而失敗,須慎重採用。一般多使用於局限性骨膿腫病灶清除後,或在病灶清除後局部骨質缺損多不植骨難以支持體重時。
4、含抗生素骨水泥充填術
清除病灶後將含抗生素的骨水泥珠充填,水泥珠可逐個拔出,也可在數月後一併取出後再進行植骨。
5、病骨切除術
身體某些部位(如腓骨中上部、髂骨翼、肋骨、尺骨遠端等)的慢性骨髓炎,可將病變部分完全切除。
6、截肢術
創面經久不愈,肢體產生嚴重畸形、已發生癌變、肢體功能已大部喪失者可考慮作截肢術。
預後預防
預防注意
急性化膿性骨髓炎積極控制身體其他部位的感染。對急性骨髓炎的預防首先應增加機體抵
抗力,防止機體受到細菌侵襲。良好的個人衛生習慣,加強營養,增強對疾病的認識能力。諸如癤、癰、急性扁桃腺炎已經發生,就應及早治療,阻斷細菌進入血液循環。
藥物預防
1、外敷藥物用金黃膏或露王膏外敷;也可用太乙膏摻紅靈丹外貼。
2、西藥用紅黴素軟膏外塗。
3、內服藥則清火解毒利濕,用黃連解毒湯加減。以防止細菌的擴散。西藥選用青黴素、紅黴素、白黴素等。
4、急性骨髓炎治療不當,多發展為經久不愈的慢性骨髓炎。在急性期要適當治療。
5、改善全身情況,控制感染與手術處理。由於重病長期臥床,尤其在血源性急性發作後。
6、除用抗菌約物控制感染外,應增進營養,必要時輸血,手術引流及其他治療。
常見疾病
| 疾病的存在,是從痛苦和不適等自覺症狀開始的。疾病,有如健康一樣,從不同角度考查可以給出不同的定義。最常套用的定義是"對人體正常形態與功能的偏離。現代醫學對人體的各種生物參數(包括智慧型)都進行了測量,其數值大體上服從統計學中的常態分布規律,即可以計算出一個均值和95%健康個體的所在範圍。 |
