簡介
肺炎是指終末氣道、肺泡和肺間質的炎症,可由病原微生物、理化因素、免疫損傷和藥物所致。老年肺炎指的是65歲以上老年人所患肺炎。不論開發中國家還是已開發國家,肺炎均是導致老年人死亡的主要原因之一。隨著我國人口老齡化的發展,老年肺炎的發病率正在逐年增加,應引起我們的高度重視。疾病概述
老年肺炎臨床症狀:多無發熱、咯痰等典型症狀;首發症為呼吸加速及呼吸困難者,或有意識障礙、嗜睡、脫水、食慾減退等;體徵:可出現脈速、呼吸快,胸部聽診可聞及濕性羅音,或伴有呼吸音減弱及支氣管肺泡呼吸音。
1、血液檢查:血常規檢查白細胞總數可增高或不高,但半數以上可見核左移、C反應蛋白陽性、血沉快等炎症表現。
2、動脈血氣分析:可出現動脈血氧分壓下降、二氧化碳壓下降,但合併慢性阻塞性肺疾病時,因肺泡換氣不良可出現二氧化碳分壓升高。
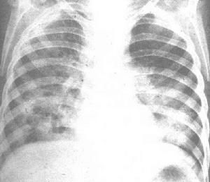
3、胸片:呈支氣管肺炎形態者比大葉性肺炎更多見,病灶多呈斑片狀、網狀、條索狀陰影。應注意的是老年人常因病情嚴重或意識障礙,難以攝出滿意的吸氣相胸片,從而影響病灶的顯示,另外,又因肺組織彈性差、支氣管張力低,肺通氣不足,淋巴回流障礙等原因,致使病灶吸收緩慢,多數需4—6周才能完全吸收。
症狀體徵
老年肺炎(1)多無發熱、胸痛、咯鐵鏽色痰等典型症狀,有症狀者僅占35%左右。
(2)首發症狀以非呼吸道症狀突出:老年肺炎患者可首先表現為腹痛、腹瀉、噁心、嘔吐及食慾減退等消化道症狀,或心悸、氣促等心血管症狀,或表情淡漠、嗜睡、譫妄、躁動及意識障礙等神經精神症狀。高齡者常以典型的老年病五聯征(尿失禁、精神恍惚、不想活動、跌倒、喪失生活能力等)之一或多項而表現之。
(3)缺乏典型體徵:極少出現典型肺炎的語顫增強,支氣管呼吸音等肺實表體徵。可出現脈速、呼吸快、呼吸音減弱、肺底部可聞及濕羅音,但易於與並存的慢性支氣管炎、心衰等相混淆。
(4)實驗室檢查結果不典型:1、基礎疾病多,易發生多臟器功能衰弱。2、併發症多而重:老年肺炎易發生水電解質及酸鹼平衡紊亂、呼吸衰竭、低蛋白血症、心律失常及休克等嚴重併發症、死亡率高。
常見類型
老年肺炎(2)革蘭氏陰性桿菌肺炎。院外感染的肺炎中占20%,而院內感染中占15%-80%,死亡率可達50%以上。病原菌主要有大腸桿菌、變形桿菌、綠膿桿菌、克雷白肺炎桿菌等。可分為:①社會獲得性肺炎,多為原發肺炎;②醫院獲得性肺炎,多為由吸入咽部分泌物所致(內源性感染),從空氣飛沫傳播者(外源性感染)少見。
(3)支原體肺炎。支原體肺炎在老年肺部感染中占20%,起病隱匿,主要臨床表達為刺激性乾咳,不規則發熱、頭痛、胸悶、噁心;胸部X線片下部炎症,呈斑片或點狀陰影,多形性,右肺多於左肺,可並有少量胸水。臨床上難與病毒或輕度細菌性感染區別,誤診率高達55%。因此有以下情況:①有類似病毒感染的臨床表現,經抗生素(紅黴素、四環素除外)治療效果不佳者;②病性與胸片病灶不相稱(即胸片炎性病灶明顯,而症狀不重)者;③肺下部炎症並有少量胸水,難以結核解釋者。應進一步作血清支原體抗體檢查,血清特異性補體結合試驗(+)1:40-1:80,冷凝試驗(+),有助於診斷。
(4)終末期肺炎。是指病人臨終前發生的肺炎,常繼發於其它疾病的晚期,與一般肺炎不盡相同,病理資料高達30%~60%。尚未列入獨立疾病。臨床特點,早期往往無明顯體徵,隨病情加重可有以下特點:①不能用原發病解釋的發熱或寒戰;②出現呼吸困難或紫紺與原發病不相稱;③不能用原發病或其它原因解釋的低血壓、休克或昏迷加重;④膿血症;⑤多發生皮疹或膿泡疹;⑥肺部呼吸音減弱或消失,濕性羅音不受體位改變而變化者。
(5)醫院獲得性肺炎。是指在住院期間由細菌、真菌、支原體、病毒或原蟲等引起的肺部炎症。在老年人中的發生率明顯高於年輕人,發病率達0.5%~15%,占醫院內各種感染的第1-3倍。主要病原菌以革蘭氏陰性桿菌最多見,占68%-80%,其中又以肺炎桿菌、綠膿桿菌、腸桿菌、克雷白氏桿菌常見。革蘭氏陽性球菌占24%,黴菌約占5%。
疾病病因
老年肺炎在20世紀50年代,肺炎雙球菌是肺炎的主要致病菌(90%)。但隨著青黴素及部分合成青黴素的問世,減少了該菌種肺炎的患病率和危害性。近十多年來,革蘭陰性桿菌感染明顯增多(82%)多為大腸桿菌、克雷白桿菌、綠膿桿菌、流感桿菌等。儘管新型抗生素不斷問世,但仍沒有改變這種趨勢。
2、呼吸道條件致病菌感染逐漸增多
老年人由於機體抵抗力降低,口咽部的常存菌(真菌、厭氧菌等)可引起肺炎。口咽部正常菌叢中厭氧菌比需氧菌多10—20倍,系入行肺炎的1/3—1/2為厭氧菌感染,由於常規培養不能生長,易被忽視,因此在送檢標本時應常規厭氧菌培養。口咽部革蘭陰性桿菌居住與否,與機體健康狀況有關。正常人口咽部革蘭陰性桿菌僅占2%,門診患者約束占20%,住院患者增加到30%—40%,危重病人高達75%。這可能是造成老年人革蘭陰性桿菌肺炎的主要原因。
3、混合感染多見
老年人由於免疫功能低下,常表現多種病原體所致的混合感染。如細菌加病毒、細菌加真菌、需氧菌加厭氧菌等。
4、耐藥菌增多
由於抗生素的大量及廣泛使用,造成致病微生物的基因發生改變而產生耐藥、其中以革蘭陰性桿菌最為突出。
易患因素
解剖結構和肺功能變化:鼻腔黏膜和支氣管黏膜的萎縮,支氣管軟骨鈣化或骨化、纖毛運動減弱,終末細支氣管上皮細胞進行性改變,支氣管腺體增生,肺泡管擴張、肺泡擴大、破裂,肺泡毛細血管變窄或斷裂、肺泡毛細血管床減少,肺彈性回縮力下降。上述解剖結構和肺功能的變化可引起呼吸道的保護性反射減弱,使得病原體極容易進入老年人的下呼吸道。免疫功能下降:老年人外周血T淋巴細胞數僅為青年人的70%-75%、且其發生功能異常,B淋巴細胞分泌特異性抗體能力下降,呼吸道分泌IgA下降,病原菌更容易侵入呼吸道黏膜,中性粒細胞趨化能力下降、粘附能力增高,補體活性、血漿纖維蛋白結合素含量下降。
口咽部細菌定植增加:健康青年人的口咽部含有多種細菌,正常情況下,唾液中的蛋白酶及分泌型IgA能阻止細菌在黏膜表面粘附;老年人呼吸道分泌型IgA下降,蛋白酶減少,口咽部寄生菌增加;老年人咽喉黏膜萎縮,感覺減退,引起吞咽困難,寄生菌隨食物進入呼吸道。
其他因素:老年人體弱多病,各系統、各器官功能均下降,禦寒能力降低,易受涼感染;由於行動障礙或長期臥床及吞咽動作不協調,易誤吸而致肺部感染;心肌梗死或心力衰竭等老年臥床患者,活動受限,肺淤血,氣道分泌物排出困難,致使肺部感染不易痊癒,肺炎吸收緩慢或反覆發作;睡眠障礙套用鎮靜劑,抑制呼吸,抑制保護性反射。
治療方案
老年肺炎(1)抗生素的選擇:
憑臨床經驗選藥:社區獲得性肺炎以革蘭陽性球菌感染多見,首選青黴素類或第一代頭孢菌素。對青黴素過敏者可用紅黴素、羅紅黴素、林可黴素等。中度以上感染者,可選用強的抗生素。如第二、三代頭孢菌素,第三代喹諾酮類抗生素等。對於醫院獲得性肺炎,由於致病菌複雜,革蘭陰性菌多,兩種以上細菌感染及耐藥菌多,故首選廣譜抗生素,如第二、三代頭孢菌素等,必要時聯合用藥,吸入性肺炎應選用甲硝唑等藥物。
依致病菌及其藥敏選藥:革蘭陽性球菌:可用青黴素類,頭孢菌素一、二代,或三代喹諾酮類。革蘭陰性菌:一般採用廣譜抗生素或聯合用藥。如流感桿菌、肺炎桿菌,可選氨苄西林6—10mg/d靜滴,或用二、三代頭孢菌素。綠膿桿菌、大腸桿菌、克雷白桿菌,首選二三代頭孢菌素或三代喹諾酮類有可聯合用藥,軍團菌肺炎,首選紅黴素,支原體或衣原體:首選紅黴素或環丙沙星,用藥時間2—4周。厭氧菌:多為雙相感染,套用青黴素G或廣譜抗生素加甲硝唑500mg,2/d靜滴,用藥時間7—10/d。
(2)抗菌藥物的合理套用:如何合理套用抗生素,防止濫用、儘量減少不良反應藥菌的產生,應掌握以下原則:
①熟悉選用藥物的適應證,抗微生物等活性、藥動學、藥效學和副作用。
②根患者的生理、病理、免疫狀態合理用藥。老年人血漿白蛋白減少,腎功能減退,肝臟酶活力下降,用藥後血藥濃度較青年人高,半衰期延長,易發生毒副作用,故用藥量應小,為成人用藥量的50%—70%(1/2—2/3)。並應根腎功能情況選擇用藥,慎用氨基糖甙類。
③老年人胃酸分泌減少,胃排空時間長,腸蠕動減弱,易影響藥物的吸收、對中、重症患者,應採用靜脈給藥為主,病情好轉後改口服。
④及早確認病原學症狀,根致病菌及藥物敏感度測定,選擇用藥。
⑤掌握給藥方案及療程。因老年人多伴有其他基礎疾病,故給要方法途徑選擇要適當。用藥時間應長,防止反覆,一般體溫下降症狀消退後7—14/d停用,特殊情況,如軍團菌肺炎用藥時間可達3—4周。急性期用藥48—72h無效者應考慮換藥。
⑥治療中應嚴密觀察不良反應。老年人易發生菌群失調,假膜性腸炎,二重感染,應及時防治。
⑦熟悉藥物間的相互作用,避免增加毒副作用,發揮協同作用。
老年肺炎老年人咳嗽無力、失水等原因使痰液粘稠,容易阻塞支氣管,加重感染。口服和靜脈補充水分是稀化痰液最有效的方法,但應注意適量。還可通過鼓勵咳嗽、深呼吸,翻身拍背,使用去痰劑、超聲霧化等促進排痰。
3、糾正缺氧
生理狀態下的PaO2隨增齡而降低,老年人PaO2的正常參考值為≥9.33kPa(70mmHg)。因此約半數的老年肺炎患者伴有低氧血正。一般採用鼻導管或面罩給予較高濃度(40%—60%)氧,伴有二氧化碳瀦留者應採取低濃度<30%給氧;Mendelson綜合症應採用呼氣末正壓給氧。
4、防止誤吸
吸入性肺炎患者應謹慎進食,頭部抬高,以防再次誤吸。平臥位時頭部抬高60°,側臥時抬高頭部15°,對於假性延髓性麻痹所致吞咽困難者,應插胃鏡鼻飼。另外應加強口腔護理,防止口腔內的細菌不斷進入肺內。
5、重視併發症和並存病的處理
經上述處理後,病情不改善或改善緩慢,除了重新考慮診斷外,應特別警惕併發症的發生。另外,老年人發生肺炎後,原有慢性疾病(並存病)可能惡化。因為,應重視併發症和並存病的處理。
鑑別診斷
老年肺炎1、心力衰竭左心衰竭早期有咳嗽,咳粉紅色泡沫痰等。但它的呼吸困難、心慌更加突出,不能平臥,兩肺底密集的濕性囉音,PaO2顯著降低,PaO2正常或降低,多有心臟病史而別於肺炎。
2、肺栓塞肺栓塞患者常有發熱、咳嗽、咳血痰、氣短,但它起病突然且胸痛明顯,心電圖常有SⅠQⅡTⅢ動態典型變化及V1~2T波倒置、肺性P波、右束枝傳導阻滯而別於肺炎。必要時行放射性核素肺通氣/灌注掃描檢查以資鑑別。
3、肺結核對發熱、咳嗽、咳痰、X線胸片可見明顯陰影,一般抗感染治療效果不佳者應考慮肺結核的可能。仔細追溯病史,X線胸片上陳舊結核灶的存在,淋巴細胞增高,痰結核菌檢查及結核菌素試驗、聚合酶鏈反應(PCR)檢測等有助於鑑別。
4、其他伴有消化道症狀的應注意與急性胃腸炎鑑別;休克性肺炎與其他原因所致的休克進行鑑別。
關愛我們身邊的老年人
| 關注老年人的健康,從我們身邊的點滴做起,從你我做起。 |

