社會獲得性肺炎概述
社會獲得性肺炎體徵
肺絲蟲病約半數無臨床症狀,約一半臨床表現有周期性的感冒樣畏寒、寒戰、發熱、即絲蟲熱,體溫可高達4
社會獲得性肺炎1.前驅症狀社會獲得性肺炎的前驅症狀較醫院內獲得性肺炎發生率高,常出現在肺炎發病初期,相當一部分病人有明確的受涼或過度疲勞的誘因,其前驅症狀主要有鼻炎樣症狀或上呼吸道感染的症狀,如鼻塞、鼻流清涕、噴嚏、咽乾、咽痛、咽部異物感、聲音嘶啞、頭痛、頭昏、眼睛熱脹、流淚及輕度咳嗽等。並非每一個社會獲得性肺炎患者都會有前驅症狀,其發生率依病原體不同一般在30%~65%之間。
2.全身毒血症表現絕大多數社會獲得性肺炎患者都會不同程度地出現全身毒血症樣症狀,如畏寒、寒戰、發熱、頭昏、頭痛、全身肌肉和關節酸痛、體乏、飲食不佳、噁心、嘔吐;重症患者還可出現神志障礙或精神症狀。
3.呼吸系統症狀即咳嗽、咳痰、咯血、胸痛、呼吸困難五大症狀。在不同的病原體和不同的患者,以上五大症狀的發生率及其特徵各不相同,而並非每一個患者或每一種病原體所致的肺炎都會同時出現以上五大症狀。如支原體肺炎常表現為乾性嗆咳,重者伴胸骨後疼痛;病毒性和漿細胞性肺炎咳嗽可逐漸加重,但胸痛和氣促較少見,年輕人發作時常表現為典型的急性症狀,而老年或重症患者咳嗽、咳痰較少,甚至常無明顯呼吸道症狀,免疫缺陷患者肺炎發病早期可僅表現為呼吸頻率增快、發熱、不安,也可無明顯呼吸道症狀。典型的肺炎鏈球菌肺炎可咳鐵鏽色痰,葡萄球菌肺炎時有咳膿血痰,克雷白桿菌肺炎患者咳痰可呈磚紅色,銅綠假單胞菌肺炎膿痰中可帶淡綠色,厭氧菌肺炎患者可咳膿性惡臭痰。抗生素的廣泛套用,臨床上所見的社會獲得性肺炎患者在呼吸道症狀表現上以輕型或不典型者為多。
4.肺外症狀肺炎除直接導致呼吸道症狀外,還可出現肺外症狀,如肺尖部病變可反射性引起肩臂痛,後部病灶可刺激後胸膜表現為腰背部疼痛,少數下葉肺感染刺激橫膈可出現上腹疼痛並向肩部放射,可同時有噯氣和呃逆。全身毒血症可在某一個系統表現更為突出,如劇烈頭痛、噁心、嘔吐頻繁及重症患者的神志障礙和精神症狀顯著等。以上肺外症狀發生率雖不高,但容易轉移人們的注意力而發生誤診,在診斷及鑑別診斷中應給予重視。
社會獲得性肺炎5.併發症症狀社會獲得性肺炎的併發症不多見,隨著大量強有力廣譜抗生素的套用,出現併發症的頻率還在繼續下降,但也並未完全消失。臨床上仍可見胸膜炎或膿胸、腦膜炎、心包膜炎、心內膜炎、腹膜炎,經血行早期播散還可引起關節炎、乳突炎、中耳炎、鼻竇炎,重症或敗血症患者還可合併休克及多臟器功能衰竭。對此臨床醫師不可忽視。另一方面,由於大量廣譜抗生素的套用,還產生了一些過去少見的併發症,如繼發病毒感染,弱毒力條件致病菌感染,以及菌群失調性二重感染和耐藥菌株感染等,則是我們必須面對的新問題。因此,在我們注重肺炎本身的症狀表現同時,不可遺漏其併發症的存在,尤其是在經過正規的符合病原體的抗感染治療後,如體溫不降,或熱退後又復升,或伴症狀加重、白細胞數升高等情況時,應考慮到有發生併發症的可能性。
6.肺部體徵社會獲得性肺炎的臨床體徵隨病變的部位、大小及病程的不同和是否存在併發症而表現不一。常見體徵表現為以下4個方面。①一般體徵:如體溫高、急性熱病容、呼吸急促或呼吸困難,重症患者可有神志改變。②肺部實變體徵:如病側胸部呼吸運動減弱、語顫增強、叩診發濁、呼吸音減低、語音傳導增強、病灶部位出現管性呼吸音及吸氣相濕囉音等。③肺外體徵:如發紺、輕度黃疸、腹脹、上腹壓痛、單純皰疹等.此類體徵臨床上相對少見。④併發症體徵:視具體的併發症種類而異。
病因
社會獲得性肺炎一些學者對社會獲得性肺炎的病原學進行了分析:
結果表明:1.就細菌而言,社會獲得性肺炎與醫院內獲得性肺炎相反,主要是由革蘭陽性菌所致,其中以肺炎鏈球菌最為常見,其陽性率占已知病原的40%~60%,其次為結核桿菌及金黃色葡萄球菌。2.80%的病源為單一致病菌,20%存在兩種或兩種以上致病菌,對一些結核病人可檢查到多種病原體,這可能表明原來的共生菌在結核病人身上可能成為致病菌。3.一些重型社會獲得性肺炎患者多發生在60歲以上者且多具某些基礎疾病如糖尿病,慢性阻塞性肺疾患,這些患者則有較大比例(20%~30%)的病源為革蘭陰性桿菌。而在青年人群中,院外細菌性肺炎的致病菌則不同,大部分以革蘭陽性菌感染為主。4.在住院治療的社會獲得性肺炎患者中無病原學依據的患者為30%~50%,其原因可能是由於在入院前使用過抗生素治療或是由於所用檢測手段不完備所致。
生理
社會獲得性肺炎導致社會獲得性肺炎的致病微生物有3個來源。一是直接吸入周圍空氣中的感染顆粒。二是誤吸入口、鼻、咽、喉部位的微生物。三是鄰近部位感染病灶內的病原體穿透或播散至肺組織。第1種情況主要發生在與某些呼吸道感染源的密切接觸或處於某種呼吸道病原體流行期間的流行地域內時,第3種情況較少見,如膈下膿腫穿破橫膈至右肺或金葡菌敗血症血行肺內播散等,在臨床上尤以第2種情況最為常見。上呼吸道正常菌群主要由多種需氧細菌混合寄生,如鏈球菌屬、葡萄球菌、肺炎鏈球菌、奈瑟菌屬(包括腦膜炎奈瑟菌)、類白喉桿菌、嗜血桿菌屬,少數健康人群還可以有革蘭陰性桿菌寄生,如大腸埃希菌、銅綠假單胞菌、肺炎克雷伯菌、乳酸桿菌、梭形桿菌及少見的螺鏇體和白色念珠菌等。
此外,還有大量厭氧細菌在牙和牙齦間隙寄生,其每毫升唾液中的細菌濃度可高達108。另外一些導致社會獲得性肺炎的病源微生物則分布於自然界中或一些動物身上。如軍團菌是一種常見的環境污染菌,主要通過污染水的氣霧傳播,真菌廣泛分布於熱帶和亞熱帶較潮濕的自然界中,其孢子隨塵土飛揚進入呼吸道。支原體廣泛分布於自然界中,亦可寄生於人體,但平時不致病,急性患者為感染源,由飛沫經呼吸道吸入而感染他人。能導致肺炎的立克次體在臨床常見的有兩種,一是貝氏立克次體。二是普氏立克次體,前者引起Q熱肺炎,牛羊為主要傳染源,病原體自動物體內排出後呈氣溶膠狀態,主要自呼吸道吸入人體致病。後者引起斑疹傷寒立克次體肺炎,主要通過人虱叮咬的皮膚破口或皮損部位侵入人體致病。在衣原體屬微生物中,過去人們只知道鸚鵡熱衣原體可導致人發生間質性肺炎。
1986年Grayston首先發現了肺炎衣原體,它不同於沙眼衣原體和鸚鵡熱衣原體,其主要區別是肺炎衣原體的外膜蛋白上抗原決定簇較少,感染時為非免疫顯性抗原,人是僅知的宿主,以8~9歲和大於70歲的老年人為感染的兩個高峰,臨床表現與鸚鵡熱肺炎相同,但70%~90%為亞臨床型。2000例肺炎患者的血清標本進行檢測發現,肺炎衣原體的感染率為8%,年發病率1‰,70歲以上人群為3‰。各種病原微生物即便偶然進入肺內也不一定能致病,必須具備兩個條件方可導致肺炎。一是病原體本身必須具有足夠的生存數量和毒力強度,二是病原體必須戰勝機體,尤其是呼吸系統局部的免疫防禦機能,主要包括鼻咽部和上呼吸道的解剖屏障和清除機能、終末氣體交換單位局部的細胞及體液因子的免疫清除機能。這種防禦機能可使正常肺的第1級大支氣管以下保持無菌狀態。
上呼吸道和大氣道可通過機械原理排出顆粒樣物質,包括:①解剖屏障作用,如會厭和黏膜表層細胞間的緊密連線;②聲門反射性關閉;③支氣管樹頻繁分叉,可通過氣體動力學的改變對吸入氣體進行過濾;④黏液纖毛的清除系統,可排除黏膜上的顆粒物質;⑤咳嗽反射。當感染源,尤其是細菌逃脫上述防禦機制而進入肺泡後,另外一組防禦機能即發揮作用。終末單位(肺泡導管和肺泡)無纖毛上皮和黏液分泌細胞(杯狀細胞和黏液腺),此時咳嗽不能有效地清除進入肺泡的病原體,主要依靠吞噬細胞和體液因子進行清除。
調理素:細菌或顆粒物質到達肺泡表面後大多數被吞噬細胞迅速消化。雖然肺泡巨噬細胞對惰性顆粒具有較強的吞噬作用。但吞噬活細菌較慢,包被或被調理後的微生物可使吞噬作用增加10倍。肺泡表面液體層中含有非免疫性調理素(Ⅱ型肺泡上皮細胞分泌的脂蛋白表面活性物質和局部肺泡巨噬細胞或血管源性產生的大分:子糖蛋白及纖維素等)。免疫性調理毒包括IgG抗體和補體因子C3b,可加強特異性漿膜受體的連線。調理素可在局部產生或為全身體液免疫的一部分。IgG及其亞型存在於支氣管肺泡灌洗液中,其比例與血液中相似。IgG亞型中包含:有針對呼吸道病原菌(如肺炎鏈球菌,流行性感冒嗜血桿菌)中的莢膜多糖抗體,葡萄球菌中的磷壁質酸抗體及革蘭陰性桿菌中的脂多糖抗體。嗜細胞的或黏附於肺泡巨噬細胞質膜表面的是IgG1、IgG4亞型。巨噬細胞FCgamma受體中IgG3最多,IgG1、IgG2、IgG4受體較少,且常被遮蓋。在氣道中,補體系統可通過替代途徑激活,進而溶解易感微生物及產生調理素C3b。吞噬活動一開始,胞內殺菌過程也開始進行,但速度通常較多形核白細胞慢。可能有氧依賴和氧非依賴兩種途徑的機制參與。巨噬細胞與多形核白細胞不一樣,通常缺乏髓性過氧化物酶(myeloperoxidase),但“活化”後可使超氧陰離子和過氧化氫(H202)產生增加。
肺泡巨噬細胞在防禦作用中有如下特點:①直接吞噬進入肺泡的病原微生物顆粒。②可進一步抑制、破壞病原體並最後將其殺滅。③可長期存活數天至數月,且可應付病原微生物的重複感染。④具有遊走性,可迅速從Kohn孔向其他肺泡移動,或向呼吸道遠端移行。⑤可指導胞內降解抗原物質,並將其提呈給特異的肺淋巴細胞,從而始動特異性免疫反應。⑥可進入呼吸性細支氣管的淋巴組織,由產生體液和細胞免疫的淋巴轉運。⑦所分泌的許多活性物質參與免疫效應系統,並參與慢性炎症和纖維化或肉芽腫的形成。從正常肺泡中回收的淋巴細胞約占氣道細胞總數的10%,其中70%為T淋巴細胞,主要淋巴細胞亞群的比例與周圍血液中相似。淋巴細胞對肺泡巨噬細胞的激活和炎症起重要調節作用,亦可直接參與抗體反應的形成和調節,使休眠的毒性淋巴細胞激活。輔助T淋巴細胞中少部分(7%)HLA-DR陽性淋巴細胞,它是白細胞介素2的主要來源。殺傷T細胞可能是休眠細胞,但可被γ-干擾素激活。T細胞分泌數種細胞因子,包括γ-干擾素和巨噬細胞抑制因子,可激活巨噬細胞。巨噬細胞要抑制或殺滅某些細胞內的微生物,必須有獲得性細胞免疫參與。這些微生物包括結核分枝桿菌、軍團桿菌、卡氏肺孢子蟲、單核細胞增多性李斯特菌和巨細胞病毒。
各種病原微生物所致的肺炎有著大致相似的基本病理改變,尤其是在炎症發生的初期,其病理改變的程式和內容
社會獲得性肺炎診斷
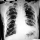
社會獲得性肺炎1.臨床表現社會獲得性肺炎的診斷並不困難,一般認為和其他肺炎一樣,病人有發熱,咳嗽、膿痰、白細胞增多或減少;胸部X線片表現有片狀、葉狀、肺泡高密度浸潤性病變等,半數以上大於65歲的患者有呼吸道以外的症狀,1/3以上的患者無全身感染體徵。在發病期間通過檢查體溫,脈搏、呼吸音及囉音等多數能從臨床上做出初步診斷。但從臨床症狀和體徵不能對病原學做出診斷,病原學診斷其一是依據患者的患病背景與微生物的關係即流行病學依據。
2.實驗室診斷入院後儘快獲取檢材:常用痰標本、血液、尿液及下呼吸道分泌物等。檢測方法有:
(1)痰液:取深部痰液作革蘭染色,若有較純的細菌出現如均為革蘭陰性桿菌則可能是流感嗜血桿菌/革蘭陰性需氧菌,如為革蘭陽性菌呈雙式葡萄狀排列,則可能是真實的病原菌,此時對痰液作相應的可疑菌的對流免疫電泳是敏感和特異的檢測法。
(2)血標本:一般取早、晚期雙份血標本,對早期血標本進行細菌培養,分離鑑定病原菌,常用血清凝集試驗法確定,對其他病原如支原體、鸚鵡熱衣原體、病毒和軍團菌等則可用酶聯免疫測定法,螢光素標記抗體法檢測血清中相應抗體。凡酶聯免疫(ELISA法)IgM陽性或IgM雙份血清有4倍升高者即可做出病原學診斷。建立的聚合酶鏈反應(PCR法)可直接快速檢測病原的特異性核酸序列,快速準確地作出診斷。尿標本:常用乳膠凝集試驗法測定病原菌抗原(如肺炎鏈球菌抗原和流感嗜血桿菌B型抗原等。
(3)下呼吸道分泌物:獲取分泌物較好方法是支氣管肺泡灌洗法(BAL)。帶塞導管(TPC)法或經皮肺穿刺抽吸法。用這些方法之一種獲取標本後可進行病原分離培養。亦可進行快速PCR體外擴增法在較短時間內做出病原學診斷。對於廣泛受到臨床醫生重視的軍團菌所致社會獲得性肺炎的實驗診斷已建立了多種方法。但每種方法單獨用於軍團菌感染的診斷都是困難的。因此通常強調同時使用多種方法對該菌作診斷,在我國臨床常採用的方法是直接螢光素標記抗體法。此方法需要多種標螢光素的抗體,才能在較短的時間完成。DNA探針測定法是特異且敏感的方法,可在數小時內完成對標本的檢測,已有商品化檢測試劑供應是一種快速檢測軍團菌感染的較好方法。
3.病原學診斷病原體的診斷對於肺炎的治療、病情判斷、預後判斷以及今後的經驗總結都具有十分重要的意義。
社會獲得性肺炎檢查
社會獲得性肺炎其表現特徵,結合病理基礎分述如下:
(1)肺紋理增強:此征常見於支氣管肺炎。病毒性感染所引起的肺紋理增強往往比細菌性感染更明顯。這是病原體經支氣管感染和沿支氣管蔓延所引起的X線表現,在病理上從氣管至終末細支氣管以至呼吸性支氣管均可見黏膜有滲出性、增生性或壞死性炎症,以5或6級以下支氣管病變較重,小葉所屬的終末細支氣管及腺泡所屬的呼吸性細支氣管更重,常伴有支氣管周圍肺泡炎,故有人認為肺紋理增強是肺炎的早期X線表現。肺炎所致的肺紋理增強多為普遍性,紋理邊緣比較模糊,藉此可與血管性紋理增強相鑑別。
(2)小結節影:此征多見於腺病毒性肺炎、呼吸道合胞病毒肺炎及麻疹病毒性肺炎等,也可見於細菌性肺炎和真菌性肺炎。病灶直徑多為1~6mm,邊緣比較模糊,以中下肺野為多見。在病理上為終末細支氣管或呼吸性細支氣管周圍炎,也可為腺泡範圍的肺泡炎。前者與普遍性肺紋理增強及肺氣腫並存。多見於病毒感染,後者多與小葉融合病灶並存,可見於病毒感染或細菌性感染。
(3)小斑片狀或斑片狀融合影:此症可見於各種原因所致的支氣管肺炎。在X線上表現為直徑1~2.5cm邊緣模糊的
社會獲得性肺炎(4)肺段及大葉陰影:此種表現多見於肺炎鏈球菌肺炎、肺炎桿菌肺炎、金葡菌肺炎、卡氏囊蟲肺炎及腺病毒肺炎。肺炎鏈球菌肺炎和肺炎桿菌肺炎占據一個肺段或一個肺葉者居多,而卡氏肺孢子蟲、腺病毒肺炎可同時累及幾個肺段或肺葉,可於緻密陰影中見含支氣管影像。在病理大體標本上可見病變為分界清楚的、呈褐紅色或灰白色的實變區、病變體積多不縮小,在顯微鏡下於肺泡腔內可見纖維、紅細胞及白細胞滲出。
(5)條索狀及網狀陰影:此症見於放射性肺炎、慢性肺炎及間質性肺炎,病變以增生為主,多發生於肺泡壁,中葉間隔,也可與實質性肺泡炎混合存在。這種增生病變還可與部分肺萎陷同時存在。慢性肺炎可伴有支氣管擴張,在X線上表現為斑片狀不規則索條狀的混合陰影。邊緣可清楚,也可模糊。一般說來此種病變較滲出性肺泡炎吸收緩慢。
(6)球形陰影:此症見於金葡菌肺炎、真菌性肺炎等,前者在病理上為膿腫,境界模糊或比較清楚。血源性金葡菌肺炎常為多發,在X線上,金葡菌肺炎可表現為多發或單發的球形陰影,直徑多為1~3cm左右,邊緣比較清楚.密度較均勻,但在短時間內可形成空洞。真菌性肺炎所形成的球形陰影的病理基礎是膿腫或肉芽腫。
(7)空洞:主要見於化膿性肺炎及真菌性肺炎,尤以金葡菌肺炎常見。在X線上表現為環形透明區,邊緣比較清楚或模糊,其壁厚薄各不相同,病變與正常肺組織分界不清,空洞內為壞死組織,若引流支氣管因炎症而形成活瓣,由於空洞內含氣量不斷增多,壓力增大,因而使空洞增大,壁變薄,一般稱此症為肺氣囊。這種現象見於金葡菌,A型溶血性鏈球菌等革蘭陽性球菌感染。在X線上表現為薄壁空腔,在肺炎吸取後可短時間內消失,也可殘留數月,在病理上其壁為薄層纖維組織。
(8)肺氣腫:多見於小兒支氣管肺炎,尤以腺病毒肺炎、麻疹肺炎、呼吸道合胞病毒肺炎多見。在X線上表現為胸部增大,肋間變寬,兩肺透明度增高,膈低平,在病理上為全小葉肺氣腫、肺泡腔擴大、肺泡壁變薄,病變常發生在各肺葉的邊緣,如上、中、下葉的前緣。
(9)胸膜病變:肺炎可合併胸膜改變,當發生胸腔積液時,積液的性質可不相同,如漿液性、漿液纖維素性或化膿性。化膿性胸腔積液多合併化膿性肺炎,漿液纖維素性積液複合並於病毒性肺炎。在X線上可見胸腔內有液體,胸膜可見充血、水腫和炎性細胞浸潤。
治療
社會獲得性肺炎2.銅綠假單胞菌所致社會獲得性肺炎早期聯合套用敏感的抗生素是治療的關鍵。一般選用慶大黴素或妥布黴素加羧苄西林、呋布西林或哌拉西林靜脈給藥。亦可套用第三代頭孢菌素如頭孢哌酮、頭孢他啶(頭孢噻甲羧肟),或套用氧氟沙星(ofloxacin)等氟喹諾酮類藥物。對銅綠假單胞菌肺炎可取得良好療效。
3.肺炎克雷白桿菌所致社會獲得性肺炎儘管占比重不大,亦應給予重視。對該菌治療應儘早選用有效抗生素,如羧苄西林每天20~40g或哌拉西林8~16g,分次加入少量液體中靜脈點滴;或阿米卡星每次0.2g,2次/d肌內注射;或用頭孢他啶(頭孢噻甲羧肟,復達欣)每天2~4g,分次加入少量液體中靜脈點滴。用藥量宜足,療程宜長直至病變痊癒。用時應加強支持療法。
4.有明顯基礎(或潛在)疾病的社會獲得性肺炎患者(如慢性支氣管炎、嗜酒者、高齡體弱者,患流感者,糖尿病或神志障礙者以及免疫功能失調者等)必須首先診斷病因,並予相應處理,因為上述諸多因素均系流感嗜血桿菌、金黃色葡萄球菌、卡他摩拉克菌及革蘭陰性菌感染的最危險的因素。對這類患者開始即應選用第二代頭孢菌素(頭孢呋辛),每次750mg~1.5g,每8小時1次;對免疫失調者、住過院並接受了革蘭陽性菌抗生素治療者,又患社會獲得性肺炎後,可一開始即使用更廣譜抗生素治療。如第三代頭孢菌素,每次1g,每8~12小時1次。頭孢哌酮(Cefoperazone),每次1~2g,2次/d。或用亞胺培南/西司他丁鈉(primaxin)每次500~1000mg,重症每次2000mg,2次/d,或每次500mg,分3~4次靜脈點滴,可取得較好療效。療程均以5~7天為妥。
預防
社會獲得性肺炎