形態
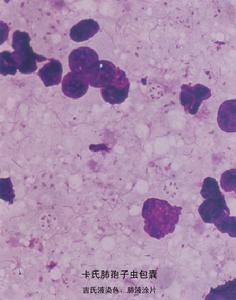
卡氏肺孢子蟲為真核單細胞生物,其分類地位尚未明確。生活史中主要有兩種型體,即滋養體和包囊。在姬氏染色標本中,滋養體呈多態形,大小為2-5µm,胞質為淺藍色,胞核為深紫色。包囊呈圓形或橢圓形,直徑為4-6µm,略小於紅細胞,經姬氏染色的標本,囊壁不著色,透明似暈圈狀或環狀,成熟包囊內含有8個香蕉形囊內小體,各有1個核。囊內小體的胞質為淺藍色,核為紫紅色。生活史
卡氏肺孢子蟲在人和動物肺組織內的發育過程已基本清楚,但在宿主體外
卡氏肺孢子蟲包囊1984年吉用幸雄等用電子顯微鏡觀察囊前期早期發育的構造,內含有聯會複合體。當聯會複合體消失後進行兩次連續的減數分裂和一次有絲分裂,形成8個囊內小體。
致病性
健康人感染本蟲多數為隱性感染,無症狀,當宿主免疫力低下時,
卡氏肺孢子蟲卡氏肺孢子蟲肺炎臨床表現可分為兩種類型:
嬰兒型:或稱流行型(間質性漿細胞性肺炎)。主要發生於早產兒及營養不良的虛弱嬰兒。高發於出生後6個月內。患兒乾咳突然發燒、呼吸、脈搏增快,嚴重時呼吸困難和紫紺,X線胸檢可見雙肺瀰漫性浸潤灶。常進一步呼吸困難導致死亡。國內已有報導,但未見到病原證實。
成人型:或稱散髮型。先天性免疫功能不全,大量的免疫抑制劑,抗腫瘤藥物及放射線照射等的套用易誘發本病。在患者免疫功能低下的情況下發病最多。國外曾報導卡氏肺孢子蟲肺炎是愛滋病患者最常見的併發症,其中愛滋病成人患者感染率為59%,兒童患者為81%,是愛滋病患者主要死亡原因之一。由於愛滋病的流行,全世界的本病發病率逐年明顯上升。症狀為乾咳、呼吸困難、紫紺、精神不安,咳嗽幾乎無痰,肺部無明顯的羅音。X線顯示兩肺瀰漫性陰影或斑點狀陰影。急性期時,血沉快,原發病加重,如診斷不及時,2-6周內死亡。中國已有檢到病原體的病例報導。本病的發病多與淋巴細胞白血病、惡性淋巴瘤、惡性淋巴瘤、器官移植術後、愛滋病、長期飢餓、惡性營養不良、及原發性免疫缺陷等有關。
流行性
世界性分布,二次大戰後先在歐洲流行,病例報告達數千例,以後美洲、亞洲、大洋洲、非洲均有報告。我國文獻報告已有10餘例。本病流行常發生於嬰幼兒集中的場所。散發病例多見於兒童或成人。傳播途徑不甚清楚可能與咳痰飛沫直接傳染有關。
實驗診斷
1.病原學診斷 可收集痰液或支氣管分泌物塗片鏡檢,但陽性率很低,套用支氣管沖洗術可提高檢出率。也可進行經皮穿刺肺活檢、支氣管鏡肺活檢或開胸肺活檢,這些方法雖可靠,但損傷大。
2.免疫學診斷 常用方法為IFA、ELISA或補體結合試驗。但由於大多數正常人都曾有過肺孢子蟲隱性感染,血清中都有特異性抗體存在,故檢測血清抗體的方法一般不用於肺孢子蟲病的診斷。
近年來,DNA探針、rDNA探針和PCR技術等已試用於肺孢子蟲病診斷,顯示有較高的敏感性和特異性。
導致病症
卡氏肺孢子蟲廣泛分布於自然界,可寄生於多種動物,如鼠、兔、貓、狗、豬、馬、猴等體內,
卡氏肺孢子蟲包囊卡氏肺孢子蟲感染嚴重時引起的機會性卡氏肺孢子蟲肺炎多發生在早產兒,營養不良的嬰兒和免疫受抑制的兒童和成人。目前世界各地皆有散發病例,中國也有少數報告。近年來由於腎上腺糖皮質激素(簡稱激素)的廣泛套用、器官移植後免疫抑制劑的套用、惡性腫瘤以及腫瘤的化學或放射治療等原因,尤其自獲得性免疫缺陷綜合徵(AIDS,愛滋病)於1981年報告以來,發病率有增高之勢,其病死率高,日益引起人們的重視。
臨床表現有:1.乾咳、氣促、呼吸困難和紫紺。2.發熱或無熱。3.納差,偶有腹瀉,體重減輕。4.雙肺偶聞及少許羅音。5.幼兒可發生縱隔氣腫和皮下氣腫。6.部分成人患者可有肝、脾腫大。
多見於免疫缺陷或激素、免疫抑制藥物治療後的患者。早期有發熱、乾咳、氣短,晚期常有嚴重呼吸困難、紫紺、進行性低氧血症、呼吸衰竭,肺部體徵可聽到散在的乾性和濕性羅音。胸部X線檢查:早期呈粟粒狀或網狀、結節狀的間質性炎症,以肺門周圍浸潤為主,向肺的外周播散,繼而出現肺泡性炎症改變,病變廣泛而呈向心性分布,與肺水腫相仿。痰液、氣管內抽吸物、支氣管肺泡灌洗液或肺活檢標本,找到卡氏肺孢子蟲的包囊或滋養體為確診依據。卡氏肺孢子蟲補體結合試驗呈陽性反應有助診斷。
防治原則
卡氏肺孢子蟲引起的卡氏肺孢子蟲病如得不到及時治療,死亡率很高,如及早治療則可有60%-80%生存。常用藥物有戊烷脒,乙胺嘧啶及複方新諾明。中國多數醫院治療白血病時加服磺胺噻唑(ST)合劑,對預防並發卡氏肺孢子蟲肺炎有良好效果。
