內容
肺孢子蟲病(pneumocytosis)是由卡氏肺孢子蟲(pneumocystis carinii)引起的呼吸系統機會感染。蟲體寄生在肺泡內,成簇粘附於肺泡上皮上,在健康宿主體內並不引起症狀,而在營養不良、虛弱的早產兒或免疫缺損患者則可引起肺炎即卡氏肺孢子蟲肺炎(pneumocystis carinii pneumonia,PCP)。80年代以來發現PCP是愛滋病患者最常見的機會性感染,且為其重要致死原因。其臨床特徵為發熱、乾咳、呼吸急促、呼吸困難、鼻翼煽動和紫紺等,症狀呈進行性加劇,經特效治療後可迅速恢復。
卡氏肺孢子蟲廣泛存在於人和某些哺乳類動物(如鼠、兔、犬、貓等)肺組織內。隱性、亞臨床或潛在性感染相當多見。血清流行病學調查顯示多數健康兒童幼年即已暴露原蟲,2/3以上可檢得IgG抗體。與病人接觸的醫務人員中7%~15%抗體效價升高。病人和隱性感染者為本病傳染源。主要通過空氣飛沫傳播。健康人感染後一般不發病。
本病呈世界性分布。感染者無性別、年齡、種族、地區等差別。
卡氏肺孢子蟲在生物分類學上的地位尚未定論。一般認為屬原蟲、孢子蟲綱;但近年來有學者根據分子遺傳學資料,發現其核苷酸序列與真菌者部分相似,因而認為該蟲應歸屬真菌。大多數學者則支持原蟲學說。
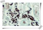
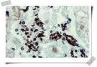
卡氏肺孢子蟲主要有兩種形態,即包囊和滋養體,包囊前期為兩者之間的中間形,其形態學特徵欠清。包囊呈圓形或橢圓形、直徑4~6μm,囊壁厚100~160nm,銀染色時呈棕黑色、甲苯胺藍染成紫藍色,成熟後,囊內胞質被吸收,內含8個囊內小體,大小為1~1.5μm、多形性、膜薄、單核。包囊破裂後,囊內小體釋出,發育為滋養體,滋養體不著色,以二分裂法繁殖。在嚴重感染者肺內常有大量滋養體,而包囊較少。包囊是重要的確診依據。
健康人感染後多呈隱性感染,在以下情況下可引起顯性感染:①早產兒或營養不良的乳幼兒,多在出生後10~24周內發病;②先天性免疫缺陷,包括體液免疫、細胞免疫或兩者兼有;③獲得性免疫缺陷,多見於愛滋病、白血病、淋巴瘤和其他惡性腫瘤、結締組織疾病或器官移植而大量長期套用腎上腺皮質激素、細胞毒藥物或放射治療,均可造成機體的免疫功能抑制,為誘發PCP的重要原因。
肺孢子蟲為致病力低、生長繁殖緩慢的寄生蟲,在人體肺泡I型上皮細胞表面粘附寄生,以肺泡內滲液為營養,呈潛在性感染。當宿主免疫功能降低時,處於潛伏狀態的原蟲開始大量繁殖、對上皮細胞造成直接損害,也阻礙氣體交換。肺體積增大、呈肝樣變。典型組織學病變為肺泡間隙細胞浸潤,在乳幼兒以漿細胞浸潤為主,兒童或成人則以淋巴細胞浸潤為主,可見巨噬細胞和嗜酸粒細胞,如無繼發細菌感染,很少有中性粒細胞浸潤。肺泡間隙上皮細胞增生、增厚、部分脫落,可有透明膜形成、間隙纖維化和水腫等。肺泡腔擴大,其內充滿泡沫樣蜂窩狀嗜伊紅物質,內含蟲體及其崩解物和脫落的上皮細胞等。
病理生理變化有低氧血症、肺泡-動脈血氧(PAO2-PaO2)梯度增加、呼吸性鹼中毒;彌散力減損,提示肺泡毛細血管阻滯(alveolar-capillary block);肺順應性改變,肺活量降低。以上變化可能與肺表面活性物質系統的異常有關。支氣管-肺泡灌洗液(BALF)分析顯示表面活性物質磷脂組分降低而蛋白質增高。原蟲抑制表面活性物質磷脂的分泌(體外試驗)。
潛伏期多數為1~2月。根據宿主情況可分為兩種類型。
(一)流行型或嬰幼兒型 二次世界大戰期間,孤兒院曾發生流行。起病較隱襲。有厭食、消瘦、腹瀉、低熱,數周后才出現呼吸道症狀,有呼吸增快、乾咳、呼吸困難、進行性加重,肺部體徵很廣,病程10餘日至2個月不等。患兒大多死於呼吸衰竭。
(二)散髮型 多見於有免疫缺陷的兒童或成人。起病常急,有發熱、乾咳、速脈、鼻翼歙動、呼吸急促及紫紺。可有胸痛。陽性體徵少。起病1周后X線攝片顯示雙側瀰漫性條索狀或斑點顆粒狀陰影,自肺門向外周擴散,其後融合成結節、雲霧狀。偶有少量胸腔積液。血白細胞數正常或稍高,嗜酸粒細胞計數增高。有明顯低氧血症,動脈血CO2分壓正常或低下。如不治療,幾100%死於呼吸衰竭,或死於其他感染性併發症,如巨細胞病毒感染、結核病、真菌感染或弓形蟲病等。
肺外肺孢子蟲病在愛滋病發現前甚為少見。但近10餘年來肺外肺孢子蟲感染已引起重視,其發生率約1~3%。肺孢子蟲可經血液、淋巴液播散至淋巴結、脾、肝、骨髓、視網膜、皮膚等。
診斷依據:
1.對免疫缺損的患者,如出現發熱、乾咳、進行性呼吸困難,胸部X線檢查符合間質性肺炎時,應高度懷疑本病。
2.確診有賴於病原體的檢出。痰液或氣管分泌物塗片原蟲的檢出率低。吸入含3%NaCl的噴霧5~15分鐘,後盡力咳嗽,收集痰液,可提高原蟲檢出率。支氣管肺泡灌洗液(BALF)沉渣塗片的陽性率可達85%~90%。近年開展經皮穿刺吸引和纖維支氣管鏡肺活檢,陽性率可達90%~95%,開胸肺活檢易引起出血、氣胸等併發症,已基本不用。收集的BALF或纖維支氣管鏡刷檢物沉渣塗片和活檢標本找肺孢子蟲包囊。傳統檢查方法採用銀染色(GMS)、亞甲胺藍染色(TBO)及姬氏染色等,但此三種染色方法均為非特異性,有時難以與酵母菌、組織細胞及組織碎片等區分。近年來國內研製成抗卡氏肺孢子蟲單抗、行免疫組化染色法提高了診斷的靈敏性,特異性強,結果更為清晰,易於判斷。
3.免疫學檢查 有對流免疫電泳檢測抗原;ELISA、間接螢光試驗、免疫印漬試驗等檢測血清中抗體等。尚不能常規用於臨床。隱性感染抗體陽性率亦可相當高,給檢測結果的評價增加複雜性。
本病需與栗粒性結核、真菌病、巨細胞病毒感染以及細菌性支氣管肺炎等鑑別。
(一)對症及支持治療 患者應臥床休息,給予吸氧、改善通氣,注意水和電解質平衡。病前所用的免疫抑制劑應停用或減量。如動脈血氧分壓過低,應考慮人工輔助呼吸。重症呼吸衰竭患者應給予監護。
(二)病原治療
1.複方SMZ-TMP 劑量為每日TMP20mg/kg、SMZ100mg/kg,4次分服,共2~3周。愛滋病患者用複方SMZ-TMP後易發生中性粒細胞和血小板減少、發熱、皮疹、肝炎等,以用噴他脒為宜。
2.噴他脒 每日肌注一次,劑量為4mg/kg,共14~21天。副作用參見"黑熱病"節。噴他脒氣溶療法可提高肺組織濃度而減少藥物全身吸收。劑量為300mg,每月一次,主要副作用為咳嗽和支氣管痙攣(約見於30%~40%)。
3.克林黴素與伯氨喹 劑量前者為450~900mg口服或靜注,6~8小時一次。伯氨喹為15mg/d。兩者合用,3周為一療程,用於對前兩種藥物均無效的患者。主要副作用為皮疹,嚴重者可有發熱、中性粒細胞減少、高鐵血紅蛋白血症等。
4.其他 氨苯碸100mg/d與TMP合用的療效與TMP-SMZ相仿,毒性則較低,氨苯碸的主要副作用為高鐵血紅蛋白血症、皮疹、發熱、噁心、嘔吐;有Gb-PD缺乏症者可出現溶血。三甲曲沙(Trimetrexate):為甲氨蝶呤(methotrexate)的脂溶性衍生物,對卡氏肺孢子蟲雙氫葉酸脫氫酶具非常強力的抑制作用,劑量為每日45mg/m2(成人),主要副作用為骨髓抑制,可同時套用亞葉酸20mg/m2,每6小時一次,其他副作用尚有皮疹、肝功能損害等。
患者應予呼吸道隔離,避免與免疫缺陷或正在接受免疫抑制藥物治療者接觸。對易感者可預防套用:①SMZCO,劑量為每日TMP5mg/kg、SMZ25mg/kg,2次分服,每周服3日。②噴他脒:氣霧給藥300mg/月。③氨苯碸:50~200mg/日~周,單獨套用或與雙氫葉酸脫氫酶抑制劑合用。氨苯碸亦可與乙胺嘧啶合用.
配圖

所屬分類
原蟲病寄生蟲病

