概述
剛地弓形蟲剛地弓形蟲是貓科動物的腸道球蟲,1908年由法國學者Nicolle及Manceaux在北非剛地梳趾鼠的肝脾單核細胞內發現,蟲體呈弓形,命名為剛地弓形蟲。
該蟲呈世界性分布,人和許多動物都能感染,全世界有25%—50%受感染,中國陽性感染率為5%—20%,部分地區高達30%以上 。
剛地弓形蟲是一種重要的機會致病原蟲(opportunisticprotozoan),在宿主免疫功能低下時,可致嚴重後果。但是,該弓形蟲只能在貓的胃裡繁殖,有研究發現弓形蟲感染可以潛在地影響人類的行為,甚至世界的文化。在2010年南非世界盃淘汰賽階段的八場比賽中,全部都是弓形蟲感染率高的國家獲得了勝利。
形態
包囊弓形蟲發育的全過程,可有五種不同形態的階段:即滋養體、包囊、裂殖體、配子體和卵囊。但對人體致病及與傳播有關的發育期為滋養體、假包囊與包囊和卵囊(亦稱囊合子)。
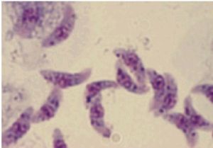
滋養體是指中間宿主在核細胞內營分裂繁殖的蟲體,包括速殖子(tachyzoite)和緩殖子(bradyzoite)。游離的速殖子呈香蕉形或月芽形,一端較尖,一端鈍圓;一邊扁平,另一邊較膨隆。速殖子長4~7μm,最寬處2~4μm。經姬氏染劑染色後可見胞漿呈藍色,胞核呈紫紅色。核位於蟲體中央,在核與尖端之間有染成淺紅色的顆粒,稱副核體。游離蟲體能螺鏇式轉動。細胞內寄生的蟲體呈紡錘形或橢圓形,可以內二芽殖、二分裂及裂體增殖三種方式不斷繁殖,一般含數個至十多個蟲體。這個被宿主細胞膜包繞的蟲體集合體稱假包囊(pseudocyste)。
包囊圓形或橢圓形,直逕自5~100μm,具有一層富有彈性的堅韌囊壁。囊內滋養體稱緩殖子(bradyzoite)可不斷增殖,內含數個至數百個蟲體,在一定條件下可破裂,緩殖子重新進入新的細胞形成新的包囊,可長期在組織內生存。
裂殖體在貓科動物小腸絨毛上皮細胞內發育增殖,成熟的裂殖體為長橢圓形,內含4~29個裂殖子,以10~15個居多,呈扇狀排列,裂殖子形如新月狀,前尖後鈍,較滋養體為小。
配子體由游離的裂殖子侵入另一個腸上皮細胞發育形成配子母細胞,進而發育為配子體,有雌雄之分。雌配子體呈圓形,成熟後發育為雌配子,其體積可不斷增大達10~20μm,核染成深紅色,較大,胞質深藍色;雄配子體量較少,成熟後形成12~32個雄配子,其兩端尖細,長約3μm,電鏡下可見前端部有2根鞭毛。雌雄配子受精結合發育為合子(zygote),而後發育成卵囊。
卵囊剛從貓糞排出的卵囊為圓形或橢圓形,大小為10~12μm;具兩層光滑透明的囊壁,內充滿均勻小顆粒。成熟卵囊含2個孢子囊,每個分別由4個子孢子組成,相互交錯在一起,呈新月形。
生活及流行病史
生活史貓科動物為其終宿主,有性生殖限於在貓小腸上皮細胞內進行。無性生殖階段可在腸外其他組織、細胞內進行。
哺乳類、鳥類、人等都可作為中間宿主,(除紅細胞外)有核細胞都可寄生,只能無性生殖。機會致病性原蟲。
流行環節(1)傳染源:動物是弓形蟲病的傳染源,貓及貓科動物是重要傳染源。人經胎盤的垂直傳播也具有傳染源的意義。
(2)傳播途徑:食入未煮熟的含各發育期弓形蟲的肉製品、蛋品、乳類或被卵囊污染的食物和水可致感染;肉類加工人員和實驗室工作人員有可能經口、鼻、眼角膜或破損的皮膚、黏膜感染;輸血或器官移植也可能引起感染;節肢動物攜帶卵囊也具有一定的傳播意義。
(3)易感人群:人對弓形蟲普遍易感。胎兒和嬰幼兒的易感性較成人高,腫瘤和免疫功能缺陷或受損患者比正常人更易感。人的易感性隨接觸機會增多而上升,但無性別上的差異。
致病
剛地弓形蟲(致病)人對弓形蟲普遍易感,免疫功能正常時常處於隱性感染狀態,當宿主免疫功能低下時異常增殖而致病。
速殖子是主要致病階段。蟲體侵入有核細胞大量增殖,組織細胞被破壞,炎症細胞侵潤,導致組織的炎症,壞死。
蟲株毒力
(1)RH株(強毒株)可使宿主迅速死亡。
(2)Beverley(弱毒株)增殖緩慢,易形成包囊。
危害因素
(1)弓形蟲毒素(toxotoxin)一種抗原,致死因子,可致小鼠驚厥、後肢麻痹,幾分種後死亡。
(1)弓形蟲素(Toxoplasmin)對雞胚胎有畸作用。
(3)弓形蟲因子(Toxofactor)培養的上清液提取物,可阻止母鼠受孕,或流產,或胚胎髮育停滯。
臨床表現
(1)先天性弓形蟲病
母親孕期感染,50%胎兒先天感染
胎兒先天性畸形,如腦積水、無腦兒、視網膜脈絡膜炎、弱智等或流產、早產、死產等。
(2)後天獲得性弓形蟲病
免疫力天常——隱性感染
免疫力低下——全身性弓形蟲
引起腦膜炎、視網臘脈絡膜炎、 淋巴結炎、肝炎、心膜炎、肺炎。
實驗診斷
病原學檢查
(1)塗片染色法:取急性期患者的腹水、胸水、羊水、腦脊液或血液等離心沉澱物作塗片,或採用活組織穿刺物塗片,染色鏡檢弓形蟲滋養體。此外也可將切片用免疫酶或螢光染色法。
(2)動物接種分離法或細胞培養法查找滋養體。
血清學試驗
常用方法有:染色試驗、間接血凝試驗(IHA)、間接免疫螢光抗體試驗(IFA)、酶聯免疫吸附試驗(ELISA)、免疫酶染色試驗(IEST)。
另外,可採用B超檢查、羊水和胎血檢查。PCR及DNA探針技術套用於檢測弓形蟲感染。
防治原則
眼弓形蟲病防止弓形蟲病流行重在預防:
(1)應加強對家畜、家禽和可疑動物的監測和隔離;
(2)對肉類加工廠建立必要的檢疫制度,加強飲食衛生管理,教育民眾不吃生或半生的肉製品,不養貓養動物,不要讓貓舔手、臉及食具等;
(3)定期對孕婦作弓形蟲常規檢查,以防制先天性弓形蟲病的發生。
(4)對急性期患者應及時藥物治療,藥物有乙胺嘧啶、磺胺類如複方新諾明。孕婦初次感染應立即服用螺鏇黴素。
相關新聞
導致高自殺率
2012年7月2日,美國一項最新研究結果顯示,養貓的女性更容易實施自殺行為。研究人員稱,貓體內一種稱為“剛地弓形蟲”的寄生蟲很可能是罪魁禍首。
美國馬里蘭州大學醫學院的此次研究調查樣本包含超過45000名丹麥女性。研究結果發現,感染弓形蟲的女性的自殺幾率比未感染女性高出1.5倍,而且隨著體內弓形蟲抗體的增加,自殺幾率持續上升。
控制老鼠以及其他被感染的動物的行為
弓形蟲使得老鼠不怕貓
