肺弓形蟲病病因
肺弓形蟲病體徵
肺弓形蟲病生理
肺弓形蟲病檢查
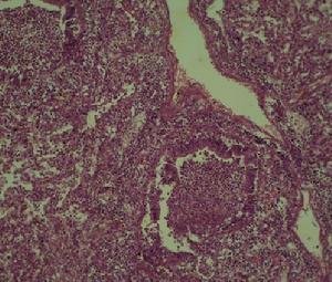
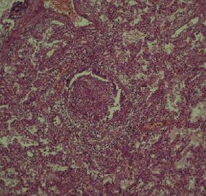
肺弓形蟲病1.病原學檢測直接光鏡檢查:血液、腦脊液、骨髓、前房水、痰、尿、唾液、其他滲液,以及淋巴結、肌組織或其他活組織等標本可採用直接塗片或印片。吉姆薩或瑞特染色,於細胞內外可見到典型新月形的弓形蟲滋養體。在組織細胞內弓形蟲亦可呈梨形或卵圓形;動物接種:標本接種於大鼠、棉鼠或金地鼠腹腔內和(或)腦內。潛伏期4天左右,動物出現不活潑、閉目、弓背、腹部膨大、呼吸窘迫症狀,解剖取肺、腹水、腦等組織作塗片染色檢查可見弓形蟲滋養體和包囊;原蟲培養:有雞胚培養和組織培養法。前者標本接種於10~12天的雞胚絨毛尿囊膜上,孵育6~7天(35℃),若陽性則尿囊膜水腫混濁,有黃白色壞死灶。2.免疫學檢查染色試驗(Sabin-Feldmandyetest):Sabin於1948年根據新鮮弓形蟲與正常血清混合後鹼性亞甲藍(美藍)染色蟲體很深,而與免疫血清混合後染色很淺或不著色,提示本試驗敏感性與特異性高。其他如間接螢光抗體、間接血凝、補體結合試驗,均具有一定的診斷參考價值;皮內試驗亦具有很高的特異性,對慢性病例有篩選作用,在流行病學調查上有診斷價值。
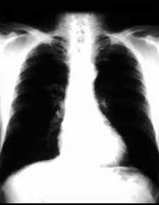
肺部X線表現為支氣管肺炎、非典型肺炎、胸膜炎和合併心血管病變4種類型。支氣管肺炎型:病變為沿支氣管分布於兩中、下肺野,密度不均勻,邊緣模糊的斑片狀炎症陰影、肺門影增寬。此型多見於兒童和老年患者;非典型肺炎型:支氣管周圍間質的片絮狀影,密度較淡,邊緣模糊,主要位於中、下肺野;胸膜炎型:呈胸腔積液徵象;合併心血管病變型:可有心力衰竭(急性肺水腫),心包積液的X線徵象。
治療
肺弓形蟲病預防
肺弓形蟲病本病廣泛分布於世界各地,動物和人的感染都極為普遍,感染率範圍由0.6~94%。許多國家平均感染率在25%~50%左右,根據18個省、市、自治區部分人群調查結果,本病廣泛存在人群感染率為0.33%~38.6%,但一般都在10%以下。其終末宿主為貓或某些貓科動物,中間宿主很廣泛,包括哺乳動物(豬、羊、狗、牛、鼠、兔),禽類(雞、鴨、鴿為主)和人
