概述
賈第蟲滋養體滋養體,一般指原生動物攝取營養階段,能活動、攝取養料、生長和繁殖,是寄生原蟲的寄生階段。在寄生蟲的原蟲中該階段通常與致病作用有關。在血鞭毛蟲中,無鞭毛體、前鞭毛體、上鞭毛體和錐鞭毛體以及剛地弓形蟲的速殖子和緩殖子都歸屬滋養體階段。痢疾內變形蟲的大小滋養體結構基本相同,但大小不同。大滋養體運動較為活躍,能分泌蛋白分解酶溶解腸壁組織。小滋養體運動較遲緩,寄生於腸腔,不侵蝕腸壁,以細菌和黴菌為食物。圓形或
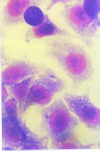
橢圓形蟲體,內質顆粒小而均勻,含有染成藍黑色的紅細胞,細胞核1個,核膜內緣有一層排列整齊的染色質粒,核中央有一小而圓的核仁。滋養體有紫紅色的細胞核和藍色的細胞質,胞核為紫紅色,胞質為藍色.
滋養體-鏡下滋養體含義
阿米巴滋養體系原蟲具有其全部功能的活動體。有些原蟲可形成包囊體和滋養體,如阿米巴原蟲、瘧原蟲、......行阿米巴樣運動,具有吞噬功能與侵襲能力。具有類囊體及滋養體的原蟲,此期為致病期;僅有滋養體的原蟲,
如利什曼原蟲、毛滴蟲等在傳播與致病上均有意義。
阿米巴滋養體
宿主免疫
宿主對阿米巴侵入的免疫反應主要是細胞免疫和體液免疫。雖然自然防禦系統可阻止阿米巴的入侵,但是獲得性免疫則起著更為重要的防禦作用,並且具有抗再感染能力,特別是宿主體內的抗體特異性T細胞和細胞因子γ-干擾素,他們可活化巨噬細胞,從而達到抗阿米巴的作用。抗阿米巴抗體還可結合在蟲體表面,通過凝集素凝集滋養體,起抗感染或控制感染的輔助作用,由於細胞膜的流動性作用和胞吞作用,一些抗體可能被遷移或被攝入細胞內,影響抗體的作用效果。溶組織內阿米巴的功能性抗原較弱,不能刺激機體產生較強的保護性抗體,所以宿主的保護性免疫功能不強,感染溶組織內阿米巴後,沒有持久的免疫作用,病癒後仍可重複感染。
病毒的作用
病毒與阿米巴也有著密切的關係,自Diamorid(1972)首次在溶組織內阿米巴內發現近似植物桿狀病毒顆粒以來,有許多病毒顆粒都在阿米巴內發現過,如愛滋病毒(HIV)、輪狀病毒和呼腸病毒等,1976年,Diamond L S又發現在溶組織內阿米巴內的病毒有3種主要結構形式,即呈20面體、細絲狀和串株狀結構。溶組織內阿米巴內攜帶有較多病毒顆粒,像肝炎病毒質粒就是其一。可見阿米巴是病毒顆粒的較好載體之一,存在於阿米巴細胞內的病毒顆粒是否能轉染機體,引起宿主細胞病變,還不清楚。
細菌的作用
滋養體在某些細菌的協同作用下,溶組織內阿米巴會對機體產生更強的致病作用,它不僅可吸取腸道內細菌分解的食物,還可利用細菌提供的理化條件增殖和活動,甚至可直接攝食細菌。試驗表明,機體吞食其純包囊和純細菌都不發病,而吞食混有細菌的包囊卻出現急性阿米巴痢疾的症狀。這是因為細菌能造成適宜的氧化還原電位與氫離子濃度,促使阿米巴的增殖及阿米巴毒素的分泌,從而削弱宿主全身或局部的抵抗力。細菌還可直接損壞機體的腸黏膜,為蟲體侵入腸道組織提供有利條件。某些革蘭氏陰性菌與阿米巴混合培養後,可以明顯增強實驗動物感染率和病變程度;表面附有細菌的滋養體,還可憑著甘露糖結合凝集素或阿米巴260 ku半乳糖/乙醯氨基半乳糖凝集素,增強阿米巴對宿主細胞的溶解作用。
蟲株與毒力
不同溶組織內阿米巴分離株在其毒性特徵方面有很大的可變性。來源於不同地區和不同宿主的阿米巴,其毒性不同。急性患者的蟲株毒力比帶蟲者的強;熱帶地區的蟲株毒力更強,發病率更高;溫帶及寒帶地區的蟲株,毒力較弱;阿米巴的毒力也受其他外部因素的影響,如通過感染實驗動物,給實驗動物投餵或肌注膽固醇,與細菌混合培養,與枯氏錐蟲混合培養,培養基中加入膽固醇或NO等,都能起到調節蟲株毒力的作用。
高氧環境中的阿米巴在巰基依賴過氧化物酶和超氧化物歧化酶的作用下在可以阻止組織產生有害的H2O2,有助於滋養體在高氧環境中的自身保護,並不影響其毒力。
