胎盤部位滋養細胞腫瘤胎盤部位滋養細胞腫瘤是指來源於胎盤種植部位的一種特殊類型的滋養細胞腫瘤,其病理形態及生物學行為與其他滋養細胞腫瘤有諸多不同。胎盤部位滋養細胞腫瘤胎盤原位滋養細胞瘤(PSTT)較少見,多見於生育期婦女,患者多因閉經、流產、葡萄胎或足月妊娠後陰道不規則流血而就診。PSTT是由於妊娠後中間型滋養層細胞過度增生形成的腫瘤,瘤細胞與胎盤種植部位的細胞相似,免疫組化顯示hPL(胎盤泌乳素)陽性細胞比hCG陽性細胞更多,患者預後良好,少數可發生轉移。臨床罕見,多數呈良性臨床經過,一般不發生轉移,預後良好。
概況
PSTT是一種起源於中間型滋養細胞的罕見腫瘤,過去曾被稱為滋養細胞假瘤、不典型絨毛膜癌、絨毛膜上皮病、合胞體瘤或不典型絨毛膜上皮瘤等。1981年Scully等將其命名為PSTT。並與葡萄胎、侵襲型葡萄胎、絨毛膜癌並列為第四種滋養葉細胞腫瘤。本病大多數為良性病變,約10%到15%由於出現轉移性病變被稱為惡性PSTT,死亡率為20%
病因
來源於胎盤種植部位的一種特殊類型的滋養細胞腫瘤。
病理
病理檢查:
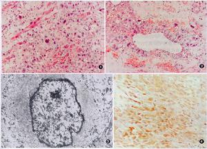
胎盤部位滋養細胞腫瘤病理圖片(1)、肉眼觀,腫瘤位於胎盤種植部位,呈結節狀,棕黃色,切面腫瘤侵入子宮肌層,與周圍組織界限不清,肌層的浸潤程度不一,少數情況下,腫瘤可穿透子宮全層。一般無明顯出血.
(2)、鏡下,在正常妊娠過程中,中間型滋養葉細胞的功能是將胚體固定在肌層表面。當中間型滋養葉細胞呈腫瘤增生時,浸潤的方式和胎盤附著部位的正常滋養葉上皮相似,仍然位於滋養葉上皮生長旺盛的典型部位。細胞形態比較單一,多數為單核,胞漿豐富,邊界清楚,淡紅色,體積大於細胞滋養層細胞。少數細胞呈多核或雙核,瘤細胞在肌層細胞之間呈單個、條索狀、片狀或島嶼狀排列。一般無壞死和絨毛。與絨毛膜上皮癌不同的是,胎盤部位滋養細胞腫瘤由單一增生的胎盤中間滋養葉細胞組成,而絨毛膜上皮癌由兩種細胞構成。免疫組織化學染色大多數中間性滋養葉細胞胎盤催乳素(Human placental lactoge, HPL)陽性;而僅少部分細胞HCG陽性。少數情況下,腫瘤細胞可出現異型,細胞豐富密集,核分裂像多見,並伴有較廣泛的壞死,呈惡性組織學表現。
病理特徵:
(1)、巨檢:子宮多增大,腫物可呈結節(直徑1cm到10cm)、息肉狀(直徑1cm到1.5cm)突入宮腔,或宮壁內界限清楚的腫物,或瀰漫浸潤宮壁使宮壁增厚無明確界限。切面呈紫紅色或棕褐色,質軟,顆粒狀,可伴微灶出血。有些腫瘤可浸潤穿過肌層擴展到漿膜或蔓延到闊韌帶、附屬檔案。
(2)、鏡檢:PSTT由中間型滋養細胞組成,多呈圓形、多邊形,少數為梭形,胞質豐富,嗜鹼或透亮,細胞核多為單個圓形,核膜、核仁清楚,腫瘤細胞排列呈片塊、條索狀將平滑肌纖維分隔開,而不造成廣泛的肌組織損傷;侵犯血管由瘤細胞和/或纖維組織代替血管內皮細胞,保持其形態的相對完整性,血管內瘤栓不常見。轉移灶的病理學改變大多和原發灶相同。轉移灶可見於肺、肝、腦、陰道、腹腔、腎、胃、脾、淋巴結。
(3)、免疫組化:上皮組織來源的標記物EMA、CK均為陽性,且多為++以上的強陽性;原始間葉細胞和肌細胞標誌的Vim、Act均為陰形,支持PSTT是一種非間葉非肉瘤性質的腫瘤。HPL均為陽性並且多為++以上的強陽性,而HCG僅為個別細胞陽性,證實本瘤內大量單核瘤細胞類同妊娠中期胎盤的中間型滋養細胞,含有豐富的HPL,而HCG則極微少或缺如。
實驗室檢查

實驗室抽血
根據葡萄胎排空後或流產,足月分娩,異位妊娠後出現的陰道流血和/或轉移灶及其相應的症狀與體徵結合輔助檢查,考慮該病的可能,最後確診靠組織學診斷。
常用輔助檢查如下:
1、血β-HCG測定:多數陰性或輕度升高。僅1/3-1/2患者升高,β-HCG水平通常<3000IU/L。
2、血HPL:輕度升高或陰性。
3、超聲檢查:B型超聲量示子宮肌壁內低回聲區,彩色都卜勒超聲可見以舒張期成分占優勢的低阻抗、血流豐富腫塊圖像。
4、病理學檢查:一般根據刮宮標本即可作出胎盤部位滋養細胞腫瘤的組織學診斷,臨床常通過刮宮首先確診。
診斷及鑑別診斷
診斷:PSTT臨床表現及影像學檢查無特異性,診斷需要結合輔助檢查綜合判斷,確診需要病理檢查。取材除刮宮和子宮切除外還有套用宮腔鏡和腹腔鏡檢查子宮底部血管分布有無異常,宮內腫瘤部位有無穿孔,並行活組織檢查。
鑑別診斷:
絨毛膜癌(1)絨毛膜癌:瘤細胞以細胞及合體滋養細胞為主,出血壞死顯著,血清HCG異常增高,免疫組化HCG強陽性,HPL陰性。而PSTT的瘤細胞為單一的中間型滋養葉細胞,出血壞死較少或較局限,免疫組化HPL中~強陽性,HCG陰性或弱陽性。
(2)上皮型滋養細胞腫瘤:本瘤來源於絨毛型的中間型滋養細胞,瘤細胞較小,常形成巢狀或條索狀,以膨脹型結節的方式生長,免疫組化HPL和黑色素黏附因子通常局部陽性,而PSTT為瀰漫陽性。
(3)胎盤結節:本瘤是一種體積小且邊界清楚的良性病灶,於近期妊娠無關,通常在刮宮、宮頸活檢或其他原因切除子宮時偶爾發現,組織學可見廣泛的透明樣變,和絨毛模型的中間型滋養細胞混合,而無滋養細胞浸潤肌層,偶見或無核分裂象,免疫組化HPL和黑色素黏附因子通常局部陽性或陰性,與PSTT相反。
(4)超常胎盤反應:此病胎盤床擁有眾多中間型滋養細胞,較難與PSTT的診刮標本區分,需要HCG鑑別,超常反應者的血清HCG值經數周后降至正常,而PSTT則持續不降或上升。
(5)子宮平滑肌肉瘤:此瘤易與PSTT梭形中間型滋養瘤細胞混淆,但平滑肌肉瘤肌源性抗體陽性,HPL呈陰性。
臨床表現
發生於生育年齡,可繼發於足月產、流產和葡萄胎,但後者相對少見,偶爾合併活胎妊娠。症狀多表現停經後不規則陰道流血或月經過多。體徵主要是,子宮均勻性增大或不規則增大,僅少數病例發生子宮外轉移,受累部位主要包括肺,陰道,腦,肝,腎及盆腔和腹主動脈旁淋巴結。一旦發生轉移,預後不良。
症狀體徵:
1、病史 一般繼發於足月產、流產或葡萄胎後,發病時也可合併妊娠。
2、症狀 主要表現為不規則陰道出血或月經過多,有時閉經,常伴貧血、水腫。少數病例以轉移症狀為首發症狀。晚期有轉移,肺多見,腦、肝少。
3、婦科檢查 子宮可增大如孕8-16周大小,呈不規則或均勻增大。
臨床病理聯繫
胎盤部位滋養細胞腫瘤雖然在局部呈浸潤性生長,但一般較局限,臨床表現多為良性,10%的病例可發生轉移,偶致病人死亡。若HCG持續陽性,則預後和絨毛膜上皮癌相似。
治療方案
相關圖書徹底切除局部病灶,術後輔以化療,是提高惡性患者生存率的關鍵。一般為子宮全切除術,如有手術可能盆外病灶應予切除。對於年輕,希望保留生育功能的低危患者,可用銳性刮匙反覆刮宮,清楚宮腔內全部病灶後,給予化療,但需嚴密隨訪,發現異常應及時手術。
1、手術:此類腫瘤對化療藥物不夠敏感,且PSTT對血HCG缺乏敏感性,不利於預測腫瘤復發,使轉移率、死亡率增高,故手術是首選治療方法。手術範圍為全子宮及雙側附屬檔案切除術。年輕婦女可保留卵巢。疑有淋巴結轉移者同時行盆腔淋巴結清掃術。
2、化療:適用於手術後輔助治療。PSTT患者對化療敏感性不一, 輔助化療方案多採用MAC,PVB,或EMA/CO方案。對於復發和對EMA/CO方案耐藥的病例可採用EMA/EP方案(VP16、氨甲喋呤、更生黴素、甲醯四氫葉酸、VP16、順鉑)
對於高危PSTT患者應考慮輔助化療,高危因素危:(1)腫瘤細胞有絲分裂指數>5個/10HP,(2)距先前妊娠時間>2年,(3)有子宮外轉移病灶。首選的化療方案危EMA -CO。對於無高危因素的患者一般不主張給予輔助性化療。
3、放療:適用於單個轉移瘤或局部復發病變。
預後與預防
有關PSTT的預後,臨床期別是明顯的相關因素。綜合分析死亡病例,經產婦多於初產婦,前次分娩女嬰者居多,術前及/或術後血清βHCG值持續高濃度,瘤細胞HPL與HCG比例逆轉及組織形態符合惡性標準者居多。死亡原因多為腦出血、肺功能衰竭、肝臟出血等,全病程2個月到78個月不等。
治療後應隨訪。由於該患者血清和尿HCG測定常不高,所以臨床表現和影像學檢查再隨訪中意義非常重要。

