概述
克雷白桿菌肺炎克雷白桿菌肺炎亦稱肝炎桿菌肺炎,是由肺炎克雷白桿菌引起的急性肺部炎症,多見於老年、營養不良、慢性酒精中毒、慢性支氣管-肺疾病及全身衰竭的患者。近20餘年來,該菌已成為院內獲得性肺炎的主要致病軍,耐藥株不斷增加,且產生超廣譜酶,成為防治中的難點。本病多見於中年以上男性,起病急、高熱、咳嗽、痰多及胸痛,可有發紺、氣急、心悸,約半數患者有畏寒,可早期出現休克。臨床表現類似因為的肺炎球菌肺炎,但其痰常呈粘稠膿性,量多、帶血,灰綠色或轉紅色、膠凍狀,但此類典型的痰液並不多見。胸部X線表現常呈多樣性,包括大葉實變,好發於右肺上葉、雙肺下葉,有多發性蜂窩狀肺膿腫、葉間隙下墜。克雷白桿菌肺炎的預後較差,病死率高。
病因
克雷白桿菌肺炎肺炎克雷白桿菌常存在於人體上呼吸道及腸道,當機體抵抗力降低時,經呼吸道進入肺內引起大葉子或者小葉融合性病變,以上葉為多見。病灶中滲出液粘稠而重,致使中間隙下墜。細菌具有莢膜,在肺泡內生長繁殖時,引起組織壞死、液化、形成耽擱或多發性膿腫。若病變累及胸膜或心包,可引起滲出性或膿性積液病灶的纖維組織增生活躍,易於機化,纖維素性胸膜炎可早期發生粘連。多見於老年、營養不良、慢性酒精中毒、已有慢性支氣管-肺疾病和全身衰竭的患者。
診斷
老年體弱患者有急性肺炎、中毒症狀嚴重、且有血性粘稠痰者,應考慮本病。確診有賴於痰細菌學檢查,並與葡
克雷白桿菌肺炎實驗室檢查
1.血液檢查大多數病人血白細胞增高,範圍平均在(150~200)×109/L,其中有中毒顆粒及核左移現象,約1/4的
克雷白桿菌肺炎2.痰或支氣管吸引物塗片和(或)培養查到肺炎克雷白桿菌是確診的依據,但它受到很多因素的影響。
(1)病理情況下,肺炎克雷白桿菌的咽部寄殖率很高,易形成口咽部的標本污染。
(2)單一肺炎克雷白桿菌肺炎在減少,多種菌混合感染增多(尤其是院內感染)。常無法確定主要作用菌。
目前國內外學者均認為痰檢的敏感性、特異性及可靠性方面不理想,許多病人痰量不多,即使有痰有時也查不到細菌,部分病人雖能通過培養確定,但對初始診斷及治療幫助不大。不過就我國目前各醫院的情況及條件而言,痰塗片革蘭染色及培養仍是一項重要的初步篩選手段及診斷措施。
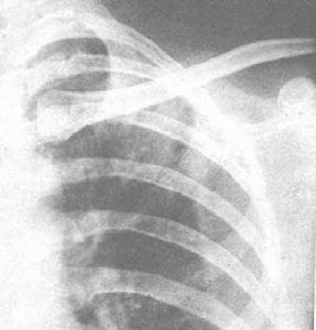
其他輔助檢查:X線表現:大葉實變、小葉浸潤、膿腫形成。大葉實變多位於右上葉,由於炎性滲出物量多,黏稠且重,故葉間裂呈弧形下墜。炎症浸潤中見膿腫,胸腔積液,少數呈支氣管肺炎。
臨床特點
①發病驟起,出現呼吸困難;
克雷白桿菌肺炎②年長兒有大量黏稠血性痰,但嬰兒少見;
③由於氣道被黏液梗阻,肺部體徵較少或完全缺乏;
④病情極為嚴重,發展迅速,患兒常呈休克狀態;
⑤X線胸片示肺段或大葉性緻密實變陰影,其邊緣往往膨脹凸出。可迅速發展到鄰近肺段,以上葉後段及下葉前段較多見;
⑥常見併發症為肺膿腫,可呈多房性蜂窩狀,日後形成纖維性變;其次為膿胸及胸膜肥厚。治療尚缺乏有效抗菌藥物。
鑑別
1.與支氣管擴張症區別 支氣管擴張症是常見的慢性支氣管化膿性疾病,大多數繼發於呼吸道感染和支氣管阻塞,尤其是兒童和青年時期麻疹、百日咳後的支氣管肺炎,由於破環支氣管管壁,形成管腔擴張和變形。
臨床表現:慢性咳嗽伴大量膿痰和反覆咯血。若有厭氧菌混合感染,則有臭味。咯血可反覆發生,程度不等,從小量痰血至大量咯血,咯血量與病情嚴重程度有時不一致,支氣管擴張咯血後一般無明顯中毒症狀。
2.與肺炎球菌肺炎區別 肺炎球菌肺炎是由肺炎球菌或肺炎鏈球菌所引起,占院外感染肺炎中的半數以上。肺段或肺葉呈急性炎性實變,臨床上症狀輕或不典型病較為多見。起病多急驟,有高熱,體溫在數小時內可以升到39-40℃,可呈稽留熱,與脈率相平行。患側胸部疼痛,可放射到肩部、腹部,咳嗽或深呼吸時加劇。痰少,可帶血絲或呈鐵鏽色。胃納銳減,偶有噁心、嘔吐、腹痛或腹瀉,有時誤診為急腹症。
治療方案
頭孢噻肟及早使用有效抗生素是治癒的關鍵。原則為第二、第三代頭孢菌素聯合氨基糖苷類康生數,如頭孢噻肟鈉或頭孢他啶靜滴合併阿米卡星或妥布黴素肌注或靜滴。亦可選擇哌拉西林鈉(氧哌嗪青黴素)與氨基糖苷糖聯用。部分病例使用氟喹諾酮類、氯黴素等亦有效。也可用氨基甙類抗生,如慶大黴素、卡那黴素、妥布黴素、丁胺卡那黴素,可肌注、靜滴或管腔內用藥。重症宜加用頭孢菌素如孢孟多(cefamandole)、頭孢西丁(cefoxitin)、頭孢噻肟(cefotaxime)等。哌拉西林(piperacillin),美洛西林(mezlocillin)與氨基甙類聯用、以及氧氟沙星療效亦佳。部分病例使用氯黴素、四環素及SMZ-TMP亦有效。重症多有肺組織損傷,慢性病例有時需行肺葉切除。機體已因其他疾病而免疫力降低的病人容易發生菌血症。當混有其他革蘭陰性菌感染時,預後更差。
注意事項
1.多見於老年、營養不良、慢性酒精中毒、已有慢性支氣管-肺疾病和全身衰竭的患者。
2.起病急劇,有高熱、咳嗽、痰量多和胸痛。
3.可有紫紺、氣急、心悸,約半數患者有畏寒,可早期出現休克。
4.不宜吃茄屬蔬菜,如西紅柿、土豆、茄子、辣椒等及菸草中的生物鹼能使關節炎症狀加重。
預後及預防
預後:血培養陽性者預後一般欠佳。由於肺炎桿菌耐藥率較高,病死率為20%~30%。
預防預防:
1.嚴格執行消毒與隔離制度這主要是針對醫務人員及院內環境、器械而言,接觸病人前後嚴格洗手、戴手套操作,定期環境及室內消毒通風,按照要求定期清洗、消毒呼吸治療裝置,定期更換機械通氣及霧化器管路等,採取一整套嚴格的院內感染監測和預防計畫。據報導,採取這一計畫的醫院與未採取的醫院比較,院內感染率低20%。
2.胃腸道去污治療這是近年來歐洲常用的一種預防措施,主要是針對院內感染的易感人群,目的是去除胃腸內的菌落寄殖與生長。方法有全胃腸去污和選擇性胃腸去污法,常用的為後者,它通過鼻飼或口服胃腸不吸收的多粘菌素B、妥布黴素(慶大黴素或新黴素等)及二性黴素B,連用5天,並每天系統套用頭孢菌素,從口咽部及胃腸道中去除需氧菌而不降低厭氧菌的數量,其預防作用在革蘭陰性桿菌方面尤為明顯,據作者統計有關文獻,去污組幾乎無繼發性肺炎克雷白桿菌的肺炎與呼吸道感染(個別為耐藥株感染)。
3.保護胃部酸性屏障主要是在預防應激性潰瘍時,套用硫糖鋁(ulcerlmin)類藥物,它既可以防止應激性潰瘍出血,又因它具有吸附胃黏膜、改變胃黏液、增加胃腔中前列腺素E2(PGE2)含量、吸收胃蛋白酶的作用,並不改變胃內酸性環境,從而有效地起到了防止潰瘍及防止感染的作用.而且據文獻介紹,硫糖鋁尚具有內在的殺菌活性,一系列研究表明套用抗酸劑組的肺炎發生率為23%~35%,而套用硫糖鋁組肺炎的發生率為10%~19%。
4.生物預防肺炎克雷白桿菌肺炎的生物預防方法尚處於實驗階段。Held等利用自肺炎克雷白桿菌莢膜多糖(CPS)誘導產生的IgM單克隆抗體(MAb)注射給實驗動物以預防肺炎克雷白桿菌肺炎,與對照組比較,無論器官受累率、感染組織的細菌數量、肺內組織學改變等諸方面,預防組遠優於對照組(P<0.01),但這種MAb尚無阻止肺炎克雷白桿菌進入肺內的作用,而是加速感染吸收,增強肺的排菌能力。另外尚有一些類似的實驗報告,但成熟的疫苗及抗體尚未套用於臨床,需進一步研究。肺炎克雷白桿菌肺炎危害人類已一個多世紀,隨著科學的發展,檢查及治療手段的不斷完善,人類對其了解的逐步深入,相信可以進一步降低它的發病率及病死率,取得更大的進步。
相關條目
資料參考
1.http://www.yongyao.net/
2.http://www.yongyao.net
呼吸內科疾病
| 研究範圍及進展呼吸內科是研究呼吸系統疾病的學科。它是既古老又年輕的學科,說它古老是因為,自從人類認識疾病以來,呼吸系統疾病就一直是危害人類健康的常見病和多發病,八十年代中期的統計資料表明,呼吸系統疾病仍然是導致死亡的主要疾病。在死亡的順序上排列第二。現在我們來認識一下這些可怕的疾病吧? |
