概況
小兒急性肺炎是小兒最常見的一種呼吸道疾病,四季均易發生,3歲以內的嬰幼兒在冬、春季節患肺炎較多。如治療不徹底,易反覆發作、引起多種重症併發症,影響孩子發育。小兒肺炎臨床表現為發熱、咳嗽、氣促、呼吸困難和肺部細濕羅音,也有不發熱而咳喘重者。小兒肺炎有典型症狀,也有不典型的,新生兒肺炎尤其不典型。由細菌和病毒引起的肺炎最為多見。可通過疫苗預防小兒肺炎。常見有安爾寶(B型流感嗜血桿菌結合疫苗)、7價的肺炎球菌疫苗、23價肺炎球菌多糖疫苗。疾病描述
病因
肺炎的病因主要有感染性、理化性(如放射線、毒氣、毒物、藥物等),以
急性肺炎細菌性肺炎仍是最常見的肺炎,約占肺炎的80%。但隨著醫療技術的發展、抗菌藥物廣泛套用和易感人群結構的改變,近幾年肺炎病原體的分布也發生了明顯的變化。調查結果表明,醫院外感染肺炎中肺炎球菌所占比例下降,而流感嗜血桿菌、金黃色葡萄球菌和其他革蘭氏陰性桿菌所占比例明顯上升,此外,病毒性和真菌性肺炎在急性肺炎中的比例有上升的趨勢。
正常肺部的免疫防禦功能,如對吸入氣體的過濾和濕化、會厭反射和咳嗽反射、支氣管纖毛黏液排泌作用、體液和細胞免疫功能以及中性粒細胞的吞噬作用等,可使氣管、支氣管和肺泡組織保持無菌狀態。口咽部定居菌吸入是急性細菌性肺炎最主要的發病機理,正常人的口咽部定居的菌群包括不少可引起肺炎的致病菌,當機體的免疫功能低下或進入下呼吸道的病原菌毒力較強或者數量較多時,則肺炎隨之發生。吸菸是影響肺部免疫防禦功能最常見的原因之一。病毒性肺炎主要通過飛沫與直接接觸傳播,而且傳播迅速、傳播面廣,多發生於冬春季節,可散發流行或者暴發流行;引起肺炎的病毒常見的有流感病毒A和B,腺病毒3、4和7型,其他尚包括鼻病毒、腸道病毒、副流感病毒和呼吸道合胞病毒。
病理
感染中毒
急性肺炎當炎症經支氣管、細支氣管向下蔓延至肺泡,則形成肺炎。此時支氣管黏膜亦多有炎症、水腫而使支氣管管腔變窄,肺泡壁因充血而增厚,肺光內充滿炎性滲出物,從而妨礙了通氣,亦使氣體彌散阻力增加,小支氣管管腔分泌物的集聚,加上纖毛髮育、活動能力差,清除分泌物能力弱等,使小氣管腔變得更為狹窄,甚至堵塞,致肺部發生阻塞性肺氣腫或局限性肺不張,進一步加重了通氣和氣體彌散障礙,最後導致缺氧和二氧化碳瀦留,影響全身代謝過程和重要器官的功能。
低氧血症當空氣進入肺泡及氧自肺泡彌散至血流發生障礙時,血液含氧量減少,動脈血氧分壓(PaO2)動脈血氧飽和度(SaO2)降低,SaO2低於85%,稱為低氧血症,還原血紅蛋白>5.0g/dl(50G/L)時,出現紫紺。二氧化碳排出亦嚴重障礙,則易發生呼吸衰竭。
心血管系統低氧血症及二氧化碳瀦留可引起肺小動脈反射性收縮,使肺循環壓力增高,形成肺動脈高壓而使右心負荷加重。另外,病原體毒素可作用於心肌引起中毒性心肌炎。肺動脈高壓和中毒性心肌炎是心力衰竭的主要誘發因素。重症肺炎可有微循環障礙,由於嚴重缺氧,酸中毒及病原體毒素等的作用,均可引起微小動脈痙攣,血液淤滯,血流速度減慢,動靜脈短路開放,血液與細胞間的物質交換髮生障礙,細胞缺氧,二氧化碳不能排出。至晚期毛細血管擴張,血流速度減慢,動靜脈短路開放,血液與細胞間的物質交換髮生障礙,細胞缺氧,二氧化碳不能排出。至晚期毛細血管擴張,血流停滯,血管中液體滲入組織間隙發生組織水腫,血液濃縮,有效血循環量減少,回心血量減少,心搏出量下降而出現休克,或使心力衰竭加重。微循環障礙還可引起休克。
神經系統缺氧及二氧化碳瀦留可使腦毛細血管擴張,血腦屏障通透性增加,腦細胞代
急性肺炎酸鹼平衡失調嚴重缺氧時,體內需氧代謝發生障礙,酸性代謝產物增加。肺炎時由於患兒高熱、進食少、飢餓及脫水等因素常可引起代謝性酸中毒,同時由於二氧化碳瀦留還可發生呼吸性酸中毒。
因此重症肺炎常同時存在不同程度的代謝性和呼吸性酸中毒。
胃腸道功能紊亂低氧血症及病原體毒素作用可致胃腸道功能紊亂,毛細血管通透性增加,引起消化道出血,甚至引起中毒性腸麻痹。
症狀體徵
發熱大多數較高,在39-40℃左右,不規則,咳嗽是本病的早期症狀,開始為頻繁的剌激性乾咳,隨之咽喉部出現痰鳴音,咳嗽時可伴有嘔吐、嗆奶,呼吸表淺增快,鼻扇,部份患兒口周、指甲輕度發紺,除呼吸道症狀外,患兒可伴有精神萎靡,煩躁不安,食欲不振,哆嗦,腹瀉等全身症狀。重型肺炎除輕症肺炎之表現加重外,持續高熱全身中毒症狀嚴重,且伴有其它臟器功能損害,面色蒼白或青灰,呼吸困難突然加重,突然煩躁不安,面色蒼白或發紺,煩躁、嗜睡,昏睡,甚致昏迷、驚厥,患兒食慾下降、嘔吐、腹瀉、腹脹,嚴重者嘔吐物為咖啡色或便血。新生兒肺炎是新生兒多發病,一般症狀為反應差或易激惹,嗜睡或睡眠不安,拒奶或吃奶不好,發熱或體溫不升,面色蒼白或發灰,四肢涼或皮膚發花,可有咳嗽、口吐白沫、口周發紺,呼吸增快,病情嚴重者可有鼻扇、三凹征、點頭呼吸及呼氣呻吟。金黃色葡萄球菌肺炎多見於1歲以內小嬰兒,在呼吸道感染和皮膚感染後突然高熱不退,起病急、呼吸道症狀出現早,肺炎進展迅速、皮膚花紋,有麻疹樣、猩紅樣皮疹,嘔吐、腹瀉、腹脹如鼓,患兒煩躁嗜睡,嚴重者驚厥,休克。腺病毒肺炎病情重,恢復慢,多數起病急,1-2日內體溫升至39-40℃稽留不退,精神萎糜,嗜睡有時煩躁不安,嚴重者驚厥或昏迷,部分患兒頭後仰、頸強直,病初有結膜充血多為單側,咽部充血、扁桃腺腫大、頻繁咳嗽,3-6日才開始出現呼吸困難發紺,以後逐淅加重,出現鼻扇、三凹征,喘憋。呼吸道合胞病毒肺炎多見於1歲以內小兒,尤以6個月內的小嬰兒更為常見,經3~5日的潛伏期,即出現上呼吸道症狀,如咳嗽、鼻塞等,發熱一般不高,甚至可不發熱,但部分病人可高熱,患兒咳嗽、呼吸困難、鼻扇、發紺及三凹征明顯,並常有陣發性喘憋,發作時呼吸淺快,伴呼氣性呻吟和喘鳴,面色蒼白,額出汗,重症可並發呼吸衰竭及心力衰竭,甚至窒息死亡。支原體肺炎臨床表現多種多樣,一般起病不甚急,體溫在37.5-41℃可為持續熱或弛張熱,或僅有低熱、甚至不熱,持久的陣發性劇烈咳嗽為突出表現,吐粘液性痰,少數病人痰中帶少量血絲,部份病兒伴廣泛性胸痛,常有畏寒、頭痛、厭食等,一般不伴呼吸困難。病原學
病毒是本病發生的主要病原體。以往,我國北方地區以腺病毒3、7型多見,且7型多致重症肺炎;近來,腺病毒感染有下降趨勢,而合胞病毒上升至首位,其它如副流感病毒、流感病毒、輪狀病毒等感染的肺炎亦有報導。引起支氣管肺炎的細菌很多,多繼發於病毒感染、亦有原發即為細菌感染者。常見的細菌有肺炎雙球菌、金黃色葡萄球菌、溶血性鏈球菌、大腸桿菌等,流感桿菌亦可致肺炎,其它細菌感染少見。
肺炎支原體肺炎多見於年長兒,而黴菌性肺炎多見於長期濫用抗生素、腎上腺皮質激素的嬰幼兒、營養不良患兒。
誘發因素
小兒呼吸道生理解剖因素鼻咽、氣管及支氣管狹窄,粘液分泌少,纖毛運動差,肺組織分化不全、彈力纖維不發達,代償能力差,肺泡少而間質發育旺盛,故含氣少血多,這些特點在嬰兒期表現更為突出。加之免疫功能尚未充分發育,因此,容易患氣管肺炎。
疾病影響
機體本身
的健康狀況,與肺炎的發生有密切的關係。特別是營養不良,佝僂病、貧血、先天性心臟病、腦發育不全等機體抵抗力、免疫力低下的情況下容易發病。環境因素如氣候驟變,居室通風不良、空氣污濁等。
臨床表現
由於病原體、機體反應不同,臨床表現輕重不等。(一)輕型支氣管肺炎起病可急可緩、一般先有上呼吸道感染症狀,但
急性肺炎1.發熱大多數較高,在39-40℃左右,不規則,熱型不定,多呈弛張熱型,嬰幼兒患佝僂病、營養不良者體溫可不高;新生兒患肺炎時,可出現體溫不升。
2.咳嗽是本病的早期症狀,開始為頻繁的剌激性乾咳,隨之咽喉部出現痰鳴音,咳嗽時可伴有嘔吐、嗆奶。
3.呼吸表淺增快,鼻扇,部份患兒口周、指甲輕度發紺。
4.肺部體徵早期不明顯,僅有呼吸音粗糙或呼吸音稍減低,數日後可聞及
中、細濕羅音尤以細濕羅音為著,背部兩肺底及脊柱旁較密集、深吸氣末更為清楚,當肺部病變大片融合時,可出現語顫增強,叩診濁音,聽診呼吸音減弱或有管型呼吸音等肺實變體徵。
除呼吸道症狀外,患兒可伴有精神萎靡,煩躁不安,食欲不振,哆嗦,腹瀉等全身症狀。如治療及時得當多在兩周內恢復。
(二)重型肺炎除輕症肺炎之表現加重外,持續高熱全身中毒症狀嚴重,且伴有其它臟器功能損害。
1.呼吸系統症狀患兒表現呼吸表淺、急促、每分鐘可達80次以上,鼻翼扇動明顯,呼吸時胸骨上窩、鎖骨上窩、肋間隙及劍突下明顯凹陷,稱為三凹征,甚者形成點頭狀呼吸或呼氣呻吟,顏面部及四肢末端明顯紫紺,甚者面色蒼白或青灰。兩肺可聞及密集的細濕羅音。
2.循環系統症狀嬰兒肺炎時常伴有心功能不全。表現為:(1)呼吸困難突然加重、呼吸明顯增快,超過60次/分。不能以呼吸系統疾病解釋。(2)突然煩躁不安,面色蒼白或發紺、經吸氧及鎮靜劑治療仍不能緩解。(3)心率突然加快,嬰兒160次/分以上,新生兒180次/分以上,不能用體溫增高及呼吸困難缺氧來解釋者。(4)心音低鈍或出現奔馬律、心臟擴大等。(5)肝臟在短時間內聲速增大1.5cm質地柔軟。(6)肺部羅音突然增多,可有頸靜脈怒張,顏面四肢浮腫,尿少。
3.神經系統症狀(1)煩躁、嗜睡、凝視、斜視、眼球上竄。(2)昏睡,甚致昏迷、驚厥。(3)球結膜水腫。(4)瞳孔改變,對光反應遲鈍或消失。(5)呼吸節律不整。(6)前囟門膨脹,有腦膜剌激征,腦脊液除壓力增高外,其他均正常稱為中毒性腦病,嚴重者顱壓更高,可出現腦疝。
4.消化系統症狀患兒食慾下降、嘔吐、腹瀉、腹脹,嚴重者嘔吐物為咖啡色或便血,腸鳴音消失,中毒性腸麻痹,以及中毒性肝炎。
5.可出現代謝性酸中毒,呼吸性酸中毒等,也可出現混合性酸中毒。此外尚可出現DIC等。
診斷檢查
支氣管肺炎依據病史、臨床表現和X線檢查,診斷不難。重要的是應進一步作出病情(輕、重型)和病原學診斷、以指導正確有效的治療。診斷依據
診斷檢查及時、明確地作出病情診斷,對降低小兒肺炎病率、減少後遺症,有極其重要的臨床意義。其關鍵在於仔細地詢問病史,認真收集和分析全身各個系統的檢查資料,包括選作一些必要的實驗室檢查,判斷是否並發臟器功能的損害或衰竭。輕型和重型肺炎的臨床診斷標準是:
1.輕型以呼吸系統症狀為主,無呼吸衰竭及其它臟器或系統功能的明顯損害或衰竭。2.重型除呼吸系統症狀之外,並發心力衰竭、呼吸衰竭、瀰漫性血管內凝血、超高熱或體溫不升、中毒性腦病和中毒性腸麻痹以及肝腎功能損害之一者,先天性心臟病患兒、營養不良兒、新生兒等患肺炎時,均屬重症。
病原學診斷
1.在缺乏實驗診斷手段的情況下,主要根據臨床表現、體徵,X線改變,有無併發症及對治療的反應等進行綜保性分析,對肺炎的病原學作出估計。下列檢查對於鑑別細菌性或病毒性感染可有一定的參考意義。(1)白細胞檢查:細胞性肺炎時,白細胞總數增高,約為15~20×109/L。中性粒細胞增高可有核左移及胞漿內中毒顆粒,鹼性磷酸酶活性測定陽性率及積分均增高,積分多達200以上。但重症金黃色葡萄球菌肺炎和流感桿菌肺炎,有時白細胞總數反而減低。病毒性肺炎的白細胞數正常或減少,淋巴數比例增加,中性粒細胞數無增高,鹼性磷酸酶活性積分低於60。(2)C反應蛋白試驗(CRP):近年來改用火箭電泳法檢測血清CRP濃度,正常值為<10000μg/L,在細菌性感染、敗血症等此值上升,升高與感染的嚴重程度呈正比。當治療有效時下降,治療無效時繼續上升。病毒及支原體感染時不增高。本法對細菌性及排除病毒性或支原體肺炎有價值,在區別新生兒病毒或細菌性肺炎時有幫助。
實驗室檢查
(1)細胞病原學檢查:至今仍困難。咽拭子細菌培養不能代表肺炎的致病因。喉頭負壓吸痰定量細菌培養,對肺炎病原學夜診斷有一定意義,並可根據藥敏試驗選用抗生素。目前國內外正在致力研究細菌的快速診斷,已有人用對流免疫電泳法、ELISA法快速診斷肺炎鏈球菌、β-溶血性鏈球菌及嗜血性流感桿菌等感染,並可與帶菌者區別。(2)病毒病原學檢查
傳統的診斷方法是從鼻咽分泌物或其它標本中分離病毒及檢測雙份血清特異性抗體,僅能作回顧性診斷。近年國內外研究呼吸道病毒感染的快速診斷方法已取得較大進展,國內已研製出腺病毒、合胞病毒、流感病毒、副流感病毒等檢測試劑盒,可用間接免疫螢光法、A-PAAP法、ELISA法等直接檢測鼻咽分泌物中病毒抗原或檢測急性期血清中特異性IgM,取得了較好的結果,並可在數小時內報告檢測結果,具有快速、敏感、特異的特點,尤其是A-PAAP和ELISA法僅需1台普通顯微鏡或1台ELISA儀,易在基層醫院普及推廣。
鑑別診斷
支氣管炎
鑑別診斷急性粟粒型肺結核
患兒發病急驟者常伴有高熱、寒戰,全身不適、氣促、發紺等全身中毒症狀,酷似支氣管炎,但肺部往往無明顯體徵,或有細濕羅音,散布於兩肺,多在吸氣末發現。X線表現也與支氣管肺炎有相似之處。根據結核接觸史,臨床症狀、結核菌素試驗陽性、血沉增快、痰或洗胃液檢到結核菌及X線的追蹤觀察的特點即可鑑別。乾酪性肺炎
這種病變大多在虛弱或抵抗力低下的患兒中產生,X線顯示在一個肺段以至一葉肺的大部顯示緻密的實變,輪廓較模糊,通常可見到較為透亮的液化區域,甚至透光的空洞。結合病史、結核菌素試驗等,易與支氣管肺炎鑑別。支氣管異物
有異物吸入史,或有嗆咳史。臨床輕、重不一,病程長短不等。病程遷延有繼發感染者可反覆發燒、咳嗽、肺部可聞及濕羅音與肺炎相似,有時聽診聞及氣管拍擊音可有助於診斷,但確診靠纖維支氣客鏡檢。毛細支氣管炎
與急性肺炎很相0似,但本病以喘憋為主。兩肺可聞廣泛的哮鳴音及細濕羅音。重病患兒缺氧明顯,X線僅顯示兩肺透光度增強,膈肌下降,呈一過性肺氣腫改變,少數病兒有少許斑點狀陰影。治療措施
一般治療
一般治療(一)一般護理及支持療法室溫應保持在20℃左右為宜,相對濕度55-65%,以防呼吸道分泌物變乾,不易咳出。冬季要定時開窗換氣,每次30分鐘,每天3次,避免對流風,注意休息,執行嚴格的呼吸道隔離制度,防止交叉感染。密切觀察病情變化,及時給予相應的處理。對面色青灰,口周紫紺煩躁或嗜睡的患兒,應注意心音、心率變化,觀察有無心肌炎發生,對吃奶、哭鬧後青紫加重,吸氧後仍不能緩解,應及時查明原因,給予處理。
2、注意營養及水份供應;應儘量母乳餵養,若人工餵養可根據其消化功能及病情決定奶量及濃度,如有腹瀉者給予脫脂奶,對幼兒或兒童宜供應清淡、易消化、富有多種維生素的飲食,恢復期病兒應給營養豐富,高熱量食物。對危重病兒不能進食者,給靜脈輸液補充熱量和水份,液量每日60-80ml/kg為宜,必要時輸注全血液或血漿。同時患有佝僂病者宜注維生素D3治療。
3、保持呼吸道通暢應及時清除鼻痂,鼻腔分泌物和呼吸道痰液。改善通氣功能,增加肺泡通氣量,糾正缺氧,減輕CO2瀦留。痰多稀薄者,可以反覆翻身拍背以利於痰液排出。也可口服祛痰藥物氯化銨合劑:1ml/歲,一日3次。痰粘稠不易咳出者,可吸痰或用超聲霧化吸入,液體配方為生理鹽水或蒸餾水30ml,慶大黴素2萬U,a--糜蛋白酶5mg,地賽米松1mg,每次吸入10-15分,每日2-3次。
氧氣療法
臨床常用的給氧方法有:①淺鼻導管或鼻塞法:將導管頭放入鼻前庭,膠布固定,方法簡單,比較安全是常用的給氧方法。新生兒,嬰幼兒的氧流量為0.5-1升/分。②漏鬥法:整個漏斗扣在鼻子上面,邊緣距面部皮膚稍有距離,嬰幼兒又不易固定、氧氣大部份被流掉,吸入不多,效果不佳,但對極度煩躁不安、不能接受鼻導管法患兒,此法可取。③頭罩法:用硬塑膠頭罩,氧流量3-5升/分。最好通過霧化器。頭罩大小約40×40×40(cm)小的易有CO2存留。④口罩霧化給氧:通過霧化器口罩給氧,小兒流量3-5升/min,氧深度40-60%,因為氧通過霧化器,部分霧粕可過到細支氣管,高濕度可以防止氧氣乾燥,稀釋痰液使其易於咯出,有利於保持呼吸道通暢。⑤正壓給氧法:危重病兒當發生呼吸衷竭時要予器械呼吸正壓給氧,根據患兒的不同情況分別給予持續正壓給氧(CPAP),間歇正壓給氧(IPPB)或呼吸終末正壓給氧(PEEP)等也可採用高頻通氣法。高濃度(>60%)長時間給氧可損害腦、心、肺、腎等,在肺部可引起肺泡間質水腫,肺泡上皮增生,肺透明膜形成、肺出血等;引起早產兒、新生兒眼晶體後纖維增生症,影響視力,吸氧時應注意防止氧中毒。
對症治療
1、退熱與鎮靜:一般先用物理降溫,如枕部冷敷、溫水擦浴,若體溫不下降可給藥物,APC每次5-10mg/kg,對個別病例可用氯丙嗪與異丙嗪靜注或肌注,使體濕維持在38℃以下。患兒即能安靜入睡。如有驚厥,立即給予10%水合氯醛每次60mg/kg灌腸,如無效改用安定0.3mg/kg/次肌注或靜注。2、祛痰止咳平喘:一般痰稠不易咯出,可口服少兒氯化胺合劑,每次1m1/歲,一日3次,必嗽平每日0.7mg/kg,分三次服。痰稠咳嗽劇烈可採用超聲霧化吸入,喘甚口服咳喘寧1m1/歲,一日三次,亦可口服,亦可口服654-2每日0.5mg/kg,每12小時1次,咳劇可肌注維生素K1每次1mg/kg,肌注或靜椎。
重要臟器損害的處理
1、心衰的治療:除吸氧、祛痰止咳和使用鎮靜劑外應給予強心甙類藥,必要時加用利尿劑。套用的洋地黃製劑有:①毒毛鏇花子甙K:洋地黃化量為0.007-0.01mg/kg,加入25%葡萄糖20m1內緩慢靜脈注射,根據病情6-8小時後可重複使用半量,直至心力衰竭糾正。②西地蘭:洋地化量2歲以內的0.03-0.04mg/kg,2歲以上0.02-0.03mg/kg,首次用化量的1/2。餘量分2次,每12小時一次加入葡萄糖內緩慢靜脈注射。③地高辛:口服地高辛化量:2歲以內0.04~0.05mg/kg,2歲以上為0.03~0.04mg/kg,首次也用量的1/2。餘量分為2份,每6~8小時一次。維持量為化量的1/4,可分為2次口服。靜脈用藥劑量按口服劑量的3/4計算。勿與鈣劑同時套用。在套用洋地黃製劑糾正心衰時,可加用酚妥拉明。酚妥拉明的主要作用是降低小動脈的阻力,擴張靜脈系統,可減輕心臟前後負荷,改善心功能,減輕肺動脈高壓,肺瘀血及肺水腫;增加腎小球濾過率及血流量,保護腎臟,劑量為05-1mg/kg/次,加入葡萄糖20ml,10-15分鐘內靜脈注射或加入墨菲氏小管內滴入。根據病情2-6小時重複一次。此藥還可改善胃腸道微循環、增強腸蠕動,治療腹脹效果較好,缺點是使心率加快,突然出現低血壓、故需密切觀察。
對小兒急性心衰特別伴有肺水腫者,近年來多採用強效利尿藥配合洋地黃製劑治療。常用速尿按1mg/kg/次,2小時後,必要時可重複一次。
2、肺炎合併呼吸衰竭的治療:關鍵在於治療原發病和誘發因素(如中毒、肺水腫等),重點在於改善呼吸道功能,提高PaO2及SO2,改善通氣降低PaCO2。
呼吸興奮劑是綜合治療措施之一,不能過分依靠,因為療效不持久。常用的藥物有山梗茶鹼、可拉明,野靛鹼及戊四氮等或用呼吸三聯劑山梗茶鹼3mg,回蘇林8mg,可拉明0.75g或利他林10mg加於10%葡萄糖液250ml中靜脈滴入,套用時宜密切觀察病情變化防止過量導致驚厥。腦水腫的處理見下節。
中毒性腦病的治療
首先保持呼吸道通暢,改善通氣,供氧。有呼吸道梗阻或呼吸衷竭時及早做氣管切開和使用呼吸機。減輕腦水腫、降低顱內壓:①甘露醇:劑量每次1-2g/kg,於15-30分內靜推或快速滴入,每4-8小時一次,有腦疝者首次劑量2g/kg靜推,1-2小時後再重複一次,病情緩解後,逐漸延長時間直至停藥。久用可致血尿,最好在使用強心劑和利尿劑後,等排尿增多,心功能好轉,才能使用脫脫水水劑。②利尿劑:由於利尿而使全身脫水,對降低顱內壓有一定效果。常用速尿,用量用法見前。在脫水療法過程中,必須嚴格記錄出入量,掌握量出為入、既補又脫的原則,最好使患兒保持輕度脫水狀態。③血管擴張劑的套用血管擴張劑緩解腦血管痙攣,改善腦微循環,從而減輕腦水腫並保證高滲性脫水劑能夠達到腦組織而發揮作用。常用藥有:A、654-2:劑量1-2mg/kg10-15分一次,穩定後改為0.5-1mg/kg,2-4小時一次,靜推。B、東莨菪鹼:0.02-0.04mg/kg每30分一次,加入5%葡萄糖10-20m1中靜脈推注。面部轉紅、呼吸改善,適當延長間隔時間或或減少滴速。一般用藥1-2小時顱內壓改善。呼吸道分泌物及肺部羅音相繼減少,亦可用酚妥拉明、地塞米松能減少血管與血腦屏障的通透性,增加腎血流量,抑制腦垂體後葉分泌抗利尿激素、有利尿作用,防治腦水腫。地塞米松常用量0.15-0.25mg/kg,每6小時一次靜脈注射,2-3天后逐漸減量或停藥。藥效顯示較慢,但作用持久,無反跳現象。④促進腦細胞恢復的藥物常用者有三磷酸腺苷(ATP)、輔酶A、細胞色素C、谷氨酸、γ-氨酪酸、氯酯醒、克腦迷以及維生素B1維生素B6等。胞二磷膽鹼對改善意識,調整腦血管張力和促進病人甦醒,有良好作用。
中毒性腸麻痹的治療
重症肺炎易致腹脹,多見於嬰幼兒。宜先用稀釋皂(2%)灌腸後保留導管排氣,不見效時可用新斯的明,嬰幼兒每次0.03-0.04mg/kg,肌肉或皮下注射,對有喘息者不用。同時進行松節油敷腹部,注射後15-20分鐘放置肛管排氣,一日可用3-4次。過度腹脹者採用胃腸減壓抽出胃腸內容物及氣體。對低血鉀所致的腹脹,可口服10%氯化鉀溶液0.5mg/kg,每日3-4次。近年來酚妥拉明治療腹脹效果較好,其用量同前。腎上腺皮質激素的套用
一般肺炎不需要使用腎上腺皮質激素.對重症肺炎伴有高熱,中毒性腦病、休克或喘憋嚴重,胸膜滲出等症狀病例,在套用足量有效抗生素的同時,可短期加用腎上腺皮質激素,應注意其應激性胃腸出血和降低機體抗菌能力等付作用。氫化考的松每日5-10mg/kg,靜脈滴注或地塞米松每日0.25-0.5mg/kg,靜脈滴注,或強的松每日5mg/kg口服.一般套用3-5日,症狀改善即可停藥。併發症的處理
合併肺膿腫的患兒控制感染很重要,根據痰、膿或血培養選用抗生素、輸血及血漿以支持,對呼吸困難者應吸氧。痰液太稠時可口服或注射胰蛋白酸使之稀釋,並體位引流,年長兒排膿不暢時可酌情套用支氣管鏡吸引。膿胸、膿氣胸若膿、氣量較少可反覆多次穿剌,量多應及時作胸腔閉式引流排膿、放氣。肺大泡破裂後及時抽氣。物理療法
肺炎恢復期如肺部羅音持續不消,可用超短波等方法以促進炎症的吸收,但合併心力衰竭者禁用。預防保健
預防保健藥物套用
根據年齡、病情輕重,以往用藥情況,參考藥物敏感試驗、選擇適當的抗感染藥物。抗生素的選擇
(1)肺部革蘭氏陽性球菌感染:肺炎鏈球菌肺炎,青黴素仍為首選。一般用大劑量青黴素靜滴,對青黴素過敏者改滴紅黴素。葡萄球菌肺炎,首先耐酶(β-內醯胺酶)藥物,如新的青黴素II,先鋒黴素I或頭孢菌素三代靜滴,療程3-6周,過早停藥容易復發。厭氧菌肺炎用氟哌嗪青黴素及滅滴靈有效。(2)肺部革蘭氏陰性桿菌感染,一般可用氨苄青黴素或氨基糖甙類抗生素。綠膿桿菌肺炎可用復達欣、菌必治等。
(3)支原體肺炎多採用紅黴素,療程2周為宜。
(4)對於細菌不明確的肺炎,應根據病情選擇廣譜抗生素,聯合用藥(其中一種應偏重於革蘭氏陰性菌藥物)。待細菌明確再酌情更換相應敏感的抗生素。對重病肺炎生素治療,應以靜注或靜滴為主。
抗病毒藥物的套用
干擾素:5歲以下10萬U,1/日肌注;5歲以上20萬U,1/日,肌注,2-3天為一療程。也有用干擾素滴鼻(1萬U/ml,每側鼻孔1-2滴15-30一次,熱退後3-4次/日),超聲霧化吸入。三氮唑核苷超聲霧化是主要給藥途徑,劑量:2歲以下10mg,2歲以上20-30mg溶於30m1蒸餾水中霧化完為止,每日2次,連續5-7天,也可用0.5%的溶液1-2小時滴鼻一次。
分類
新生兒肺炎
新生兒肺炎是新生兒多發病,是新生兒死亡的重要原因之一。臨床特點因病因不同而異,吸入性肺炎表現不同程度的呼呼吸吸困難及青紫。感染性新生兒肺炎分宮內感染和生後感染,以生後感染多見,一般症狀為反應差或易激惹,嗜睡或睡眠不安,拒奶或吃奶不好,發熱或體溫不升,面色蒼白或發灰,四肢涼或皮膚發花。呼吸系統症狀常不明顯,可有咳嗽、口吐白沫、口周發紺,呼吸增快,病情嚴重者可有鼻扇、三凹征、點頭呼吸及呼氣呻吟,僅部份病兒肺部可聽到捻發音或細濕羅音,肺部叩診出現濁音區者應考慮並發膿胸,突然紫紺或呼吸困難時可能氣胸發生。
新生兒肺炎雖有各種不同類型,治療原則和方法卻想仿。但其病情變化快,更須密切觀察。
金黃色葡萄球菌肺炎
英文名:Staphylococcalaureuspneumonia為體內局部金黃色葡萄球菌感染灶經血液播散而致肺部感染。病理改變以廣泛出現血壞死多發性小膿腫為其特點。臨床表現比較嚴重,多見於1歲以內小嬰兒,在呼吸道感染和皮膚感染後突然高熱不退,年長兒持續高熱,新生兒低熱或無熱甚至體溫不升。起病急、呼吸道症狀出現早,肺炎進展迅速、皮膚花紋,有麻疹樣、猩紅樣皮疹。嘔吐、腹瀉、腹脹如鼓。患兒煩躁嗜睡,嚴重者驚厥,休克。肺部體徵出現亦早臨床症狀與胸片所見可不一致。病初臨床症狀很重,便X線徵象很少,當臨床症狀有所好轉時X線卻見有肺大泡出現;病變發展迅速,可在數小時內出現肺膿腫、肺大泡、膿胸、膿氣胸;嚴重者縱隔積氣、皮下氣腫,支氣管胸膜瘺。
白細胞總數在20-30×109/L,中性粒細胞0.9,且有中毒顆粒,若白細胞總低於0.5×109/L,則予後不佳。
檢出金黃色葡萄球菌可作決定性診斷。從皮膚或組織膿腫穿剌液、血液及胸腔穿剌液培養可獲陽性結果,血培養應在使用抗生素之前進行,陽性率約為10-30%。治療:選擇有效抗生素,吸氧,支持療法對預後都很關鍵。並發肺氣腫,肺膿腫、膿胸、膿氣胸預後不佳。嬰兒易發生張力性氣胸或膿氣胸預後更嚴重。
腺病毒肺炎
英文名:AdenoviyusPneumonia本病的臨床特點:病情重,恢復慢,病死率較高,但近年來,該病發病有下降趨勢。易發生在冬春季節,特別是冬季,常見於6個月-2歲的嬰幼兒。多數起病急,1-2日內體溫升至39-40℃稽留不退,熱程較長,輕症7-11日,重者10-20天才退至正常,少數可持續3-4周。發燒3-4天即出現神經系統症狀:精神萎糜,嗜睡有時煩躁不安,嚴重者驚厥或昏迷,部分患兒頭後仰、頸強直,但腦脊液正常,無腦膜剌激征。呼吸系統症狀,病初有結膜充血多為單側,咽部充血、扁桃腺腫大、頻繁咳嗽,3-6日才開始出現呼吸困難發紺,以後逐淅加重,出現鼻扇、三凹征,喘憋。初期肺部僅聽到呼吸音粗糙和乾羅音,發病3-4天才出現濕羅音,叩診濁的部位呼吸音低,有時可聽到管性呼吸音,重症病兒可有胸膜反應或胸腔積液,面色蒼白較常見,重者面色發灰。心率160-180次/分,有時可達200次/分以上,心電圖表現心動過速,T,ST段改變,低電壓、少數出現1-2度房室傳導阻滯,偶有肺性P波,嚴重者出現心力衰竭。消化系統症狀有食慾減退、嘔吐及輕度腹瀉。
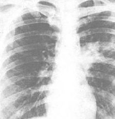
X線檢查早期肺紋理增多,模糊,病程4-5日可出現大小不等片狀病灶,以兩肺下野和右上肺多見,病後6-11日病灶增多,分布較廣,互相融合,呈大片浸潤狀,但不局限於某葉,可有一側胸腔積液。
呼吸道合胞病毒肺炎
英文名:RespiratorySyncytialVirusPneumonia本病多見於1歲以內小兒,尤以6個月內的小嬰兒更為常見,新生兒亦可發病。在我國近年來發病率明顯上升,已占小兒病毒性肺炎的第一位,尤以冬春季發病較高,可呈流行性。
其病理改變主要是以單核細胞為主的間質浸潤,其中包括淋巴細胞、漿細胞和巨噬細胞。肺泡內充滿水腫液,可有肺透明膜形成。細支氣管被粘液、纖維素及壞死的上皮細胞啐悄堵塞,並引起肺氣腫、肺不張。
合胞病毒肺炎主要以陣發性喘憋和伴有兩肺廣泛的喘鳴音為臨床特點。一般在感染合胞病毒後,經3~5日的潛伏期,即出現上呼吸道症狀,如咳嗽、鼻塞等。發熱一般不高,甚至可不發熱,但部分病人可高熱。多數病例的熱程為4~10天,少數持續10日以上。患兒咳嗽、呼吸困難、鼻扇、發紺及三凹征明顯。並常有陣發性喘憋,發作時呼吸淺快,伴呼氣性呻吟和喘鳴,面色蒼白,額出汗。肺部叩診呈過清音,聽診呼吸音減弱,有彌散的喘鳴音及中、細濕羅音。肝脾常因肺氣腫而被推向肋緣下。由於喘引起PaO2、SaO2降低及PaCO2上升,而發生呼吸性酸中毒,重症可並發呼吸衰竭及心力衰竭,甚至窒息死亡,尤在先天性心臟病患兒病死率高。
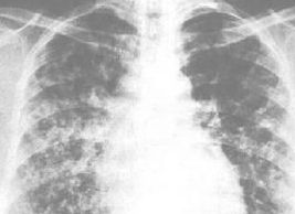
X線檢查主要示間質性肺炎、肺氣腫及肺泡病變,多為小點片狀陰影,少數呈塊狀陰影,可融合,邊緣模糊不清。肺野外帶透明度增高,可伴局部肺不張或局限性肺氣腫。
呼吸道合胞病毒可引起肺炎,亦可引起毛細支氣管炎,二者鑑別較困難。
支原體肺炎
本病主要病原體為肺炎支原體,通過飛沫傳播,偉染源為患者及恢復期帶菌者。全年皆有發病,寒冷季節較多。發病年齡多在5-9歲,其次為10-14歲。臨床表現潛伏期2-3周,臨床表現多種多樣,一般起病不甚急,體溫在37.5-41℃可為持續熱或弛張熱,或僅有低熱、甚至不熱,持久的陣發性劇烈咳嗽為突出表現。吐粘液性痰,少數病人痰中帶少量血絲,部份病兒伴廣泛性胸痛。常有畏寒、頭痛、厭食等。一般不伴呼吸困難,但嬰幼兒可表現為毛細支氣管炎徵象。胸部體徵不明顯,X線表現與體徵不相稱。肺部陰影可呈片狀、雲霧狀、網狀,粟粒狀或間質性浸潤。20%患兒有少量的胸腔積液,短暫的肺不張、肺氣腫。病程3-4周,吸收緩慢,有長達數月至一年者,甚至留下肺功能減退,常有復發,血冷凝集試驗等有助病原診斷。紅黴素,四環素治療有效。
飲食保健
①少量多餐,進食優質蛋白、高熱量、高維生素的飲食。例如:蛋類、動物肝臟、糙米、玉米面、蕎麥麵、水果和蔬菜等,可多給予木耳、紫菜、海帶、蘑菇等。②少吃辛辣、煎炸等刺激性油膩食品:平時以清淡為宜,尤其對於肥胖患者,脂肪供應量宜低。吃肉以瘦肉為宜,以達到祛痰濕與適當控制體重為目的。辛辣、煎炸等食品,易生痰,導致熱助邪盛,邪熱郁內而不達,久之可釀成疾熱上犯於肺,加重病情。
③重度肺纖維化病人可予軟食或半流食:這樣可以減輕呼吸急迫所引起的咀嚼和吞咽困難,既有利於消化吸收,又可防止食物反流。
④多飲水:重度肺纖維化患者因張口呼吸,出汗多、飲食少,常使患者失水,並使痰液黏稠不易咯出,因此及時補充水分、增加液體攝進量,對於糾正或防止失水,具有非常重要的意義。要鼓勵患者多飲水。如患者不能飲食時,可用靜脈補液,這樣有利於稀釋痰液。伴有心衰的患者飲水要適量。
⑤對某些已知會引起過敏、誘發哮喘的食物,應避免食用:所謂“忌口”就是忌“發物”。“發物”一般是指食後能引起宿病復發或新病加重的食物。“發物”包括的範圍很廣,對於不同的人來說是因人而異的。例如:有些過敏體質者常因吃了魚、蝦、蟹等海腥類的食品而誘發咳、喘加重。所以肺纖維化患者應根據自己的實際情況,做好“忌口”,這樣既可以避免由飲食不慎而導致咳、喘加重,又可以防止因過於講究“忌口”而影響機體對多種營養物質的吸收。
⑥增加抵抗力:增強體質,提高自身的免疫力,是預防肺炎的有效途徑。研究發現,冬蟲夏草能有效增加免疫系統細胞、組織數量,促進抗體產生,增加吞噬、殺傷細胞數量、又可以調低某些免疫細胞的功能,是增強人體免疫力的首選。
⑦忌菸酒、忌過鹹食物:肺纖維化患者多數伴有氣道高反應狀態,煙、酒和過鹹食物的刺激,輕易引發支氣管的反應,加重咳嗽、氣喘等症狀。

