肺炎克雷白桿菌肺炎概述
肺炎克雷白桿菌肺炎體徵
肺炎克雷白桿菌肺炎2.體徵急性病容、呼吸困難、發紺,少數病人可發生黃疸、休克。肺部可聞及濕囉音。白細胞與中性粒細胞增多,痰培養陽性。
病因
肺炎克雷白桿菌肺炎生理
肺炎克雷白桿菌肺炎2.病菌的來源病菌的主要來源是病人及慢性病菌攜帶者(如慢性酒精中毒者),細菌的傳播主要有以下幾種途徑:
(1)院內工作人員、家庭護理人員及其他相關人員的手部傳播:主要原因是未嚴格執行消毒及交叉感染的預防措施。
(2)器械傳播:常見的包括霧化器、呼吸機及其管路、氣管插管、鼻飼管等。
①霧化器:是常見的感染源,除引起交叉感染外,尚可導致環境污染。據Merlz報告,發生於Bilevui醫院的暴發性肺炎克雷白桿菌肺炎就是由霧化器污染引起的。②呼吸機:機械通氣過程中,由於管路與病人呼吸道相連形成閉式循環,加之環境污染、消毒不嚴、換管不及時等因素,使管路內菌落寄殖率很高,同時由於氣體壓縮及管路與周圍環境的溫差,造成管路中水氣凝集(尤其是接氣管插管處)。據報告,普通無加熱管路每小時水氣凝結量達20~40ml,是細菌生存的主要場所。據介紹在接近插管處的管路水中,每毫升含菌量超過20萬個,轉動病人體位等就會使含菌水直接流入下呼吸道內。目前,自主加熱管路很少,且費用昂貴,維護繁瑣,立即解決很困難。按照美國疾病控制中心(CDC)的要求,管路應每24h更換1次,但臨床實踐發現,與48h更換管路比較,二者的細菌數量並無差異,甚至部分文獻指出,每24h更換管路肺炎的發生率更高。具體需臨床視監測結果及實際條件而定。據有關文獻報告,接受機械通氣病人肺炎的發病率是未接受人的7~21倍,其中肺炎克雷白桿菌是最常見的病原菌之一。③氣管插管:氣管插管是菌落密集的器械,據一項電鏡檢查表明,插管95%區域可見到菌落,其中86%完全為菌落覆蓋,其原因在於:A.插管損傷咽部,破壞了宿主的自然防禦機制。B.破壞了氣道纖毛的清潔作用。C.破壞了吞咽反射及活動。D.插管無法頻繁的更換,吸痰時內外混合感染。鑒於上述原因,氣管插管又直接跨越咽部屏障,加之套囊周圍分泌液泄漏,使細菌可直接進入下呼吸道。
(3)咽部菌落寄殖:咽部是肺炎克雷白桿菌最常見的寄殖部位,也是肺炎直接的病菌來源。正常人咽部肺炎克雷白桿菌的檢出率小於1%,而重症病人經反覆咽部分泌物培養,革蘭陰性桿菌檢出率高達70%。據一項研究報告,在一個ICU的26例院內獲得性肺炎克雷白桿菌肺炎病人中,有22例(84%)事前咽部檢測到了肺炎克雷白桿菌。咽部的菌落寄殖是與咽部上皮細胞的吸附能力密切相關的。在咽部上皮細胞表面,存在有相應的細菌吸附受體,正常情況下,這些受體被咽部纖維連線蛋白(Fibronectin)所覆蓋,但病理情況下(酗酒、營養失衡、吸菸、套用廣譜抗生素及氣管插管等),各種非特異性蛋白酶釋入口腔中,它們可以消化上皮細胞表面的纖維介素,此刻受體顯露出來,細菌就會與之發生“連鎖樣”的吸附。肺炎克雷白桿菌與咽部上皮細胞的親和力極高。但奇怪的是,其並無吸附用途的刷狀緣,因此其吸附原理尚不明了。肺炎克雷白桿菌的口咽部生存期可常達數月之久,這在慢性酒精中毒病人中尤為明顯,據統計約29%的慢性酒精中毒者為咽部肺炎克雷白桿菌帶菌者。另據一項對肺炎痊癒後出院病人咽部細菌的追蹤調查發現:75%以上病人出院4周后咽部菌落消失(包括銅綠假單胞菌,金黃色葡萄球菌等),但肺炎克雷白桿菌大多持續存在,至調查結束,仍有43%肺炎克雷白桿菌菌落尚未消失。影響咽部肺炎克雷白桿菌菌落寄殖的因素有:①宿主細胞的變化:宿主上皮細胞上各種受體各自接受相應的細菌,套用環孢素A可抑制受體對肺炎克雷白桿菌的吸附能力。②細菌的變化:這包括細菌本身是否具有莢膜,表面吸附物的類型及對外接觸釋放的特性等,肺炎克雷白桿菌的表面吸附物尚不明了。③局部微環境的變化:以環境中pH值影響最大,當pH6.5~7.2時,細菌的吸附能力可戲劇性的增至最高水平,此外,痰和口咽部分泌物中粘蛋白與蛋白酶濃度升高,IgA水平降低,均能使吸附能力增強。不恰當的套用抗生素,消除了咽部革蘭陰性桿菌的抑制菌群(如鏈球菌屬),亦可使其寄殖及生長增加。(4)胃部菌落寄殖:正常人胃部由於酸性屏障等作用而保持無菌狀態。研究表明,胃內環境變化亦可使菌落寄殖,而成為肺炎克雷白桿菌等腸道常駐菌咽部移植的一個重要菌源。造成胃部菌落增加的病理情況有:①年齡偏大,胃自身各種功能減退。②胃酸缺乏,酸性屏障消失。③各種急、慢性胃腸疾病。④營養失衡。⑤套用抗酸藥和(或)H2受體拮抗藥。當胃酸缺乏或pH值升高時,胃液細菌數量可高達每毫升100萬~10000萬個,加之反射異常,就會使胃部菌落向咽部反流,形成肺炎和支氣管炎的病原菌。研究表明:當胃液pH<3時,肺炎克雷白桿菌極少存在。據defrock等證實,病理情況下,咽部新出現的革蘭陰性桿菌菌落與事先在糞便中發現的細菌有關,而且,隨著住院期間糞便中菌落的變化,咽部菌落也會相應變化。McAedingham對消化道進行選擇性去污後發現,消毒組呼吸道感染率比對照組低6倍,咽部及直腸菌落也明顯減少。為防止重症病人應激性潰瘍套用抗酸藥和(或)H2受體拮抗藥後,繼發咽部菌落寄殖增加,使呼吸道感染增多,已被眾多臨床研究所證實。
3.肺部自身防禦機制當肺炎克雷白桿菌進入肺泡後,肺部自身的防禦吞噬系統首先進行自我防禦,以阻止感染。肺
肺炎克雷白桿菌肺炎4.發病過程氣管內吸入(誤吸)是肺炎發病的關鍵。70%正常人睡眠時可發生誤吸,但誤吸後是否致病,關鍵在於咽部細菌吸入量要達到一定的濃度,研究表明,咽部革蘭陰性桿菌集落是重症病人呼吸道自主防禦功能缺陷的一個標誌,一旦細菌吸入下呼吸道,即可發展為肺炎。此外,除咽部菌落密集外,下列因素也可使氣道吸入情況增加:①意識模糊或昏迷。②括約肌功能反射異常。③胃排空延遲及活動減弱。④吞咽功能失常。⑤氣管插管套囊周圍細菌的泄漏等。
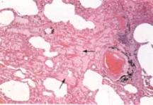
5.病理改變原發性肺炎克雷白桿菌肺炎多以大葉分布,常見於肺上葉,尤其是右上葉;繼發性肺炎多以小葉分布,為雙肺斑片樣支氣管肺炎樣表現,多肺葉、雙側性及小葉分布者少見,總體病理與肺炎球菌肺炎相似,但發展較快,無明顯肺炎的階段性變化,但有其自身特點:①屍檢病變肺葉,其切面可見到黏液樣滲出物流出,或可以挑起黏稠的絲狀滲出物,這是其病理的特徵性改變。②肺組織破壞迅速,4天之內可形成多發性膿腫或單一大膿腫,肺泡壁破壞,致肺泡萎縮,肺容積減小,主要肺血管可發生栓塞,引起繼發性肺壞疽、壞死。③常合併胸膜侵犯,發生胸膜纖維素性滲出,粘連,其發生率約為25%,甚至合併心包積液。④早期組織學檢查中,可見到水腫液、單核細胞及細菌,後期可見肺泡壁破壞,有大量多形核中性粒細胞,纖維組織增生活躍,易發生機化改變。⑤可致肺內出血、膿氣胸、心包炎、支氣管擴張等改變,部分可成為慢性克雷白桿菌肺炎變化。
診斷
肺炎克雷白桿菌肺炎合格痰標本塗片找見較多革蘭陰性桿菌,尤其大量集聚在膿細胞和支氣管的假復層纖毛柱狀上皮細胞周圍並帶有莢膜者,更應考慮肺炎桿菌肺炎的可能,但不是確診依據。痰培養分離出肺炎桿菌有利於診斷,但應與定植於口咽部的污染菌相鑑別。連續兩次以上經塗片篩選的痰標本分離到肺炎桿菌或痰定量培養分離的肺炎桿菌濃度>106CFU/ml或半定量濃度為+++或++++,可擬診為肺炎桿菌肺炎。對重症、難治或免疫抑制病例,使用防污染下呼吸道標本採樣技術如經環甲膜穿刺氣管吸引(TTA)、防污染雙套管毛刷採樣(PSB)、支氣管肺泡灌洗(BAL)和經皮肺穿刺吸引(LA)等,從這些標本分離出肺炎桿菌則可確診本病。要重視和積極開展血液或胸液細菌培養,如為陽性不但具有確診意義,而且對選擇敏感抗菌藥物與改善預後十分重要。
檢查
肺炎克雷白桿菌肺炎2.痰或支氣管吸引物塗片和(或)培養查到肺炎克雷白桿菌是確診的依據,但它受到很多因素的影響。
(1)病理情況下,肺炎克雷白桿菌的咽部寄殖率很高,易形成口咽部的標本污染。(2)單一肺炎克雷白桿菌肺炎在減少,多種菌混合感染增多(尤其是院內感染)。常無法確定主要作用菌。
目前國內外學者均認為痰檢的敏感性、特異性及可靠性方面不理想,許多病人痰量不多,即使有痰有時也查不到細菌,部分病人雖能通過培養確定,但對初始診斷及治療幫助不大。不過就我國目前各醫院的情況及條件而言,痰塗片革蘭染色及培養仍是一項重要的初步篩選手段及診斷措施。
治療
肺炎克雷白桿菌肺炎對肺炎桿菌有抗菌活性的藥物較多,包括第一至四代頭孢菌素、廣譜青黴素、氨基糖苷類抗生素、氟喹諾酮類、碳青黴烯類和單環β內醯胺類等。氯黴素和四環素有抗菌作用,但耐藥株多,臨床套用甚少。高效、低毒、價廉是考慮選擇抗菌藥物的最重要因素。隨著臨床可選藥物品種的擴大和多重耐藥菌株的不斷增加,合理的選擇應根據藥物敏感試驗。在取得藥物敏感試驗結果前,或未開展藥物敏感試驗的單位,或受試的幾種抗菌藥物均顯示耐藥時,經驗性用藥便是制訂抗感染方案的惟一選擇。經驗性用藥要強調結合以往本地區、本單位甚至本部門的細菌耐藥性監測結果進行選藥。
通常建議第二、三或四代頭孢菌素或聯合氨基糖苷類藥物,如有藥敏結果也可單用頭孢菌素。常用方法:頭孢噻肟2g靜脈滴注,每8小時1次或頭孢曲松2g靜脈滴注,1次/d。也可用氨曲南、第二代頭孢菌素如頭孢呋辛。在抗生素使用頻度較低、耐藥不嚴重的地區,特別對病情較輕的社區感染,可採用第一代頭孢菌素如頭孢唑林、頭孢拉定,劑量為4~6g/d,分2~4次靜脈滴注。青黴素類中氨苄西林耐藥率已很高,但新一代的廣譜青黴素如哌拉西林對肺炎桿菌肺炎有較好的治療效果。
氨基糖苷類可選慶大黴素,但耐藥菌株較多。現常用阿米卡星,常用量為0.4~0.6g/d,分1~2次靜脈滴注。由於氨基糖苷類不易穿透支氣管黏膜和痰液,抗生素在支氣管分泌物中的濃度僅為血濃度的5%~40%,且痰液的酸性環境會明顯降低抗生素的抗菌活性,故氨基糖苷類的臨床療效往往遜於體外藥物敏感試驗。因此,對肺部感染特別是重症感染,氨基糖苷類宜與β內醯胺類合用而不主張單獨使用。氟喹諾酮類如環丙沙星、左氧氟沙星等,頭黴素如頭孢西丁、頭孢美唑,β內醯胺類/β內醯胺酶抑制劑的複合劑如舒他西林(氨苄西林/舒巴坦)、頭孢哌酮/舒巴坦、哌拉西林/克拉維酸等,對肺炎桿菌包括不少耐藥菌株,也具有良好抗菌活性,值得選用。部分地區尤其在醫院內肺炎中出現肺炎桿菌產超廣譜β內醯胺酶(ESBL)菌株檢出率明顯上升,不少ICU感染菌株中ESBL占肺炎桿菌的20%~30%。對這類菌株引起的感染,首選碳青黴烯類藥物如亞胺培南、美羅培南等,用藥方法:亞胺培南0.5g靜脈滴注,每8小時1次,或1g靜脈滴注,每12小時1次。頭孢哌酮/舒巴坦對肺炎桿菌ESBL菌株也有較好的抗菌活性。肺炎桿菌肺炎的抗感染療程一般為10~14天,病變廣泛特別是出現多發性小膿腫時,則至少3周。支持治療包括保持氣道通暢,給氧,糾正水、電解質和酸鹼失衡,補充營養等,在肺炎桿菌肺炎的治療中也不能忽視。
預防
肺炎克雷白桿菌肺炎2.胃腸道去污治療這是歐洲常用的一種預防措施,主要是針對院內感染的易感人群,目的是去除胃腸內的菌落寄殖與生長。方法有全胃腸去污和選擇性胃腸去污法,常用的為後者,它通過鼻飼或口服胃腸不吸收的多粘菌素B、妥布黴素(慶大黴素或新黴素等)及二性黴素B,連用5天,並每天系統套用頭孢菌素,從口咽部及胃腸道中去除需氧菌而不降低厭氧菌的數量,其預防作用在革蘭陰性桿菌方面尤為明顯,據作者統計有關文獻,去污組幾乎無繼發性肺炎克雷白桿菌的肺炎與呼吸道感染(個別為耐藥株感染)。
3.保護胃部酸性屏障主要是在預防應激性潰瘍時,套用硫糖鋁(ulcerlmin)類藥物,它既可以防止應激性潰瘍出血,又因它具有吸附胃黏膜、改變胃黏液、增加胃腔中前列腺素E2(PGE2)含量、吸收胃蛋白酶的作用,並不改變胃內酸性環境,從而有效地起到了防止潰瘍及防止感染的作用.而且據文獻介紹,硫糖鋁尚具有內在的殺菌活性,一系列研究表明套用抗酸劑組的肺炎發生率為23%~35%,而套用硫糖鋁組肺炎的發生率為10%~19%。
4.生物預防肺炎克雷白桿菌肺炎的生物預防方法尚處於實驗階段。Held等利用自肺炎克雷白桿菌莢膜多糖(CPS)誘導產生的IgM單克隆抗體(MAb)注射給實驗動物以預防肺炎克雷白桿菌肺炎,與對照組比較,無論器官受累率、感染組織的細菌數量、肺內組織學改變等諸方面,預防組遠優於對照組(P<0.01),但這種MAb尚無阻止肺炎克雷白桿菌進入肺內的作用,而是加速感染吸收,增強肺的排菌能力。另外尚有一些類似的實驗報告,但成熟的疫苗及抗體尚未套用於臨床,需進一步研究。肺炎克雷白桿菌肺炎危害人類已一個多世紀,隨著科學的發展,檢查及治療手段的不斷完善,人類對其了解的逐步深入,相信可以進一步降低它的發病率及病死率,取得更大的進步。

