病因
氣胸1.原發性氣胸
又稱特發性氣胸。它是指肺部常規X線檢查未能發現明顯病變的健康者所發生的氣胸,好發於青年人,特別是男性瘦長者。
2.繼發性氣胸
其產生機制是在其他肺部疾病的基礎上,形成肺大皰或直接損傷胸膜所致。常為慢性阻塞性肺氣腫或炎症後纖維病灶(如矽肺、慢性肺結核、瀰漫性肺間質纖維化、囊性肺纖維化等)的基礎上,細支氣管炎症狹窄、扭曲,產生活瓣機制而形成肺大皰。腫大的氣腫泡因營養、循環障礙而退行性變性。
3.特殊類型的氣胸
(1)月經性氣胸即與月經周期有關的反覆發作的氣胸。
(2)妊娠合併氣胸以生育期年輕女性為多。本病患者因每次妊娠而發生氣胸。根據氣胸出現的時間,可分為早期(妊娠3~5個月)和後期(妊娠8個月以上)兩種。
(3)老年人自發性氣胸60歲以上的人發生自發性氣胸稱為老年人自發性氣胸。近年來,本病發病率有增高趨勢。男性較女性多。大多數繼發於慢性肺部疾患(約占90%以上),其中以慢性阻塞性肺部疾病占首位。
(4)創傷性氣胸多由於肺被肋骨骨折斷端刺破,亦可由於暴力作用引起的支氣管或肺組織挫裂傷,或因氣道內壓力急劇升高而引起的支氣管或肺破裂。銳器傷或火器傷穿通胸壁,傷及肺、支氣管和氣管或食管,亦可引起氣胸,且多為血氣胸或膿氣胸。偶爾在閉合性或穿透性膈肌破裂時伴有胃破裂而引起膿氣胸。
臨床表現
1.氣胸
症狀的輕重取決於起病快慢、肺壓縮程度和肺部原發疾病的情況。典型症狀為突發性胸痛,繼之有胸悶和呼吸困難,並可有刺激性咳嗽。這種胸痛常為針刺樣或刀割樣,持續時間很短暫。刺激性乾咳因氣體刺激胸膜所致。大多數起病急驟,氣胸量大,或伴肺部原有病變者,則氣促明顯。部分患者在氣胸發生前有劇烈咳嗽、用力屏氣大便或提重物等的誘因,但不少患者在正常活動或安靜休息時發病。年輕健康人的中等量氣胸很少有不適,有時患者僅在體格檢查或常規胸部透視時才被發現;而有肺氣腫的老年人,即使肺壓縮不到10%,亦可產生明顯的呼吸困難。
2.張力性氣胸
患者常表現精神高度緊張、恐懼、煩躁不安、氣促、窒息感、發紺、出汗,並有脈搏細弱而快,血壓下降、皮膚濕冷等休克狀態,甚至出現意識不清、昏迷,若不及時搶救,往往引起死亡。氣胸患者一般無發熱,白細胞計數升高或血沉增快,若有這些表現,常提示原有的肺部感染(結核性或化膿性)活動或發生了併發症(如滲出性胸膜炎或膿胸)。
3.少數患者可發生雙側性氣胸
以呼吸困難為突出表現,其次為胸痛和咳嗽。同時發現雙側異時性自發性氣胸(即先發生一側繼之成為雙側性氣胸)較雙側同時自發性氣胸的發生率相對為高,達到83.9%。
4.部分氣胸患者
伴有縱隔氣腫,則呼吸困難更加嚴重,常有明顯的發紺。更少見的情況是於氣胸發生時胸膜粘連帶或胸膜血管撕裂而產生血氣胸,若出血量多,可表現為面色蒼白、冷汗、脈搏細弱、血壓下降等休克徵象。但大多數患者僅為小量出血。
5.哮喘患者
呈哮喘持續狀態時,若經積極治療而病情繼續惡化,應考慮是否並發了氣胸;反之,氣胸患者有時呈哮喘樣表現,氣急嚴重,甚至兩肺布滿哮鳴音,此種患者一經胸膜腔抽氣減壓,氣急和哮鳴音即消失。
檢查
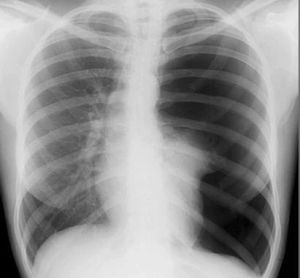
1.影像學檢查
X線檢查是診斷氣胸的重要方法。胸片作為氣胸診斷的常規手段,若臨床高度懷疑氣胸而後前位胸片正常時,應該進行側位胸片或者側臥位胸片檢查。氣胸胸片上大多有明確的氣胸線,為萎縮肺組織與胸膜腔內氣體交界線,呈外凸線條影,氣胸線外為無肺紋理的透光區,線內為壓縮的肺組織。大量氣胸時可見縱隔、心臟向健側移位。合併胸腔積液時可見氣液面。局限性氣胸在後前位X線檢查時易漏診,側位胸片可協助診斷,X線透視下轉動體位也可發現。若圍繞心緣旁有透光帶應考慮有縱隔氣腫。胸片是最常套用於診斷氣胸的檢查方法,CT對於小量氣胸、局限性氣胸以及肺大皰與氣胸的鑑別比X線胸片敏感和準確。氣胸的基本CT表現為胸膜腔內出現極低密度的氣體影,伴有肺組織不同程度的壓縮萎陷改變。
2.氣胸的容量
就容積而言,很難從X線胸片精確估計。如果需要精確估計氣胸的容量,CT掃描是最好的方法。另外,CT掃描還是氣胸與某些疑難病例(例如肺壓縮不明顯而出現窒息的外科性肺氣腫、複雜性囊性肺疾病有可疑性肺大皰等)相鑑別的惟一有效手段。
3.胸內壓測定
有助於氣胸分型和治療。可通過測定胸內壓來明確氣胸類型(閉合性、開放性、張力性)的診斷。
4.血氣分析和肺功能檢查
多數氣胸患者的動脈血氣分析不正常,有超過75%的患者PaO2低於80mmHg。16%的繼發性氣胸患者PaO2<55mmHg、PaCO2>50mmHg。肺功能檢查對檢測氣胸發生或者容量的大小幫助不大,故不推薦採用。
5.胸腔鏡檢查
可明確胸膜破裂口的部位以及基礎病變,同時可以進行治療。
診斷
根據臨床症狀、體徵及X線表現,診斷本病並不困難。阻塞性肺氣腫並發自發性氣胸時,與其原有的症狀和體徵常易混淆,需藉助X線檢查作出診斷。
鑑別診斷
1.肺大皰
起病緩慢,病程較長;而氣胸常常起病急,病史短。X線檢查肺大皰為圓形或橢圓形透光區,位於肺野內,其內仍有細小條狀紋理;而氣胸為條帶狀影,位於肺野外胸腔內。肺周邊部位的肺大皰易誤診為氣胸,胸片上肺大皰線是凹面向側胸壁;而氣胸的凸面常朝向側胸壁,胸部CT有助於鑑別診斷。經較長時間觀察,肺大皰大小很少發生變化,而氣胸形態則日漸變化,最後消失。
2.急性心肌梗死
有類似於氣胸的臨床表現,如急性胸痛、胸悶、呼吸困難、休克等臨床表現,但患者常有冠心病、高血壓病史,心音性質及節律改變,無氣胸體徵,心電圖或胸部X線檢查有助於鑑別。
3.肺栓塞
有栓子來源的基礎疾病,無氣胸體徵,胸部X線檢查有助於鑑別。
4.慢性阻塞性肺疾病和支氣管哮喘
慢性阻塞性肺疾病呼吸困難是長期緩慢加重的,支氣管哮喘有多年哮喘反覆發作史。當慢性阻塞性肺疾病和支氣管哮喘患者呼吸困難突然加重且有胸痛時,應考慮並發氣胸的可能,胸部X線檢查可助鑑別。
治療
自發性氣胸是臨床常見急診之一,若未及時處理往往影響工作和日常生活,尤其是持續性或復發性氣胸患者診療不及時或不恰當,常損害肺功能,甚至威脅生命。因此積極治療,預防復發是十分重要的。在確定治療方案時,應考慮症狀、體徵、X線變化(肺壓縮的程度、有無縱隔移位)、胸膜腔內壓力、有無胸腔積液、氣胸發生的速度及原有肺功能狀態,首次發病抑或復發等因素。基本治療原則包括臥床休息的一般治療、排氣療法、防止復發措施、手術療法及原發病和併發症防治等。
1.一般治療
氣胸患者應絕對臥床休息,充分吸氧,儘量少講話,使肺活動減少,有利於氣體吸收和肺的復張。適用於首次發作,肺萎陷在20%以下,不伴有呼吸困難者。
2.排氣療法
適用於呼吸困難明顯、肺壓縮程度較重的患者,尤其是張力型氣胸需要緊急排氣者。
(1)胸膜腔穿刺抽氣法。
(2)胸腔閉式引流術。
3.胸膜粘連術
由於自發性氣胸復發率高,為了預防復發,用單純理化劑、免疫賦活劑、纖維蛋白補充劑、醫用黏合劑及生物刺激劑等引入胸膜腔,使髒層和壁層兩層胸膜粘連從而消滅胸膜腔間隙,使空氣無處積存,即所謂“胸膜固定術”。
4.肺或大皰破口閉合法
在診斷為肺氣腫大皰破裂而無其他的肺實質性病變時,可在不開胸的情況下經內鏡使用雷射或黏合劑使裂口閉合。
5.外科手術治療
手術目的首先是控制肺漏氣,其次是處理肺病變,第三是使髒層和壁層胸膜粘連以預防氣胸復發。近年來由於胸腔外科的發展,主要是手術方式的改進及手術器械的完善,尤其是電視胸腔鏡器械和技術的進步,手術處理自發性氣胸已成為安全可靠的方法。外科手術可以消除肺的破口,又可以從根本上處理原發病灶,如肺大皰、支氣管胸膜瘺、結核穿孔等,或通過手術確保胸膜固定。因此是治療頑固性氣胸的有效方法,也是預防復發的最有效措施。
6.支氣管鏡下封堵治療
在常規胸腔閉式引流基礎上,採用支氣管鏡下氣囊探查及選擇性支氣管封堵術,封堵住通往破損肺的支氣管達到治療的目的。

