概述
肺出血-腎炎綜合徵肺出血一腎炎綜合徵(Goodpasturesyndrome),在1919年由G00dpasture首先描述而得名。為病因不明的少見的自身免疫性疾病,其表現為抗腎小球基膜抗體所致的肺出血和進行性的腎小球腎炎。本病在歐洲和美國腎穿刺患者中僅占1%~2%、在英國為百萬分之一,中國的發病率明顯低於歐美國家。其特徵為血內有循環抗腎小球基膜抗體及腎小球基膜有IgG和補體呈線樣沉積。本病的特徵為咯血、肺部浸潤、腎小球腎炎、血和累及的組織中有抗基底膜抗體。
肺出血-腎炎綜合徵是一種少見的自身免疫性疾病。以肺泡內出血和腎小球局灶性增生及球囊上皮新月體形成為主要病理變化。免疫螢光檢查:在肺泡和腎小管基底膜上可見到IgG和C3呈線樣沉積。血清中存在高滴度的與肺泡和腎小球基底膜反應的抗基底膜抗體。本病屬於第Ⅱ型變態反應。
治療
腎活檢治療的關鍵在於早期確診,及時去除誘因和有效的治療。
1.一般治療要加強護理注意保暖,防治感冒,戒除吸菸,減少和避免各種可能的致病誘因如合併感染,常使肺部病變反覆加重須及早積極有效地使用抗菌藥物治療,防治繼發感染加重病情,臨床顯示廣譜第三代頭孢菌素,頭孢他啶(頭孢噻甲羧肟)商品名復達欣(Fortum)療效滿意,可2~6g/d分2~3次靜脈注射給藥。
本病嚴重而持久的咯血可致嚴重的缺鐵性貧血應注意糾正可1次/d補充鐵劑常用硫酸亞鐵(FerrosiiSufute)0.3g,葉酸(AcidFolic)20mg3次/d,維生素B12(VitamineB12)500μg肌內注射,1次/d;必要時輸新鮮血。
2.腎上腺皮質激素和免疫抑制劑腎上腺皮質激素和免疫抑制劑兩者聯合套用,能有效地抑制抗基膜抗體形成,可迅速減輕肺出血的嚴重性和控制威脅生命的大咯血。一般可選用甲潑尼龍(甲基強的松龍)衝擊治療,靜脈滴注1.0~1.5g/d,於數小時內滴完(不得少於15min),3次為一療程,可以重複2~3個療程,在強化治療2個月後逐漸減少劑量,並維持治療至少3~6個月。本療法尚可防止血漿置換後反饋性抗GBM抗體合成亢進如同時加用免疫抑制劑方法為環磷醯胺2~3mg/(kg·d)或硫唑嘌呤(Imuran)1mg/(kg·d)療效更佳。亦可一開始既口服潑尼松(強的松)(prednison)1~1.5mg/(kg?d)再加用免疫抑制劑病情控制後停用免疫抑制劑潑尼松(強的松)緩慢減至維持量5~15mg/d繼續口服治療,全療程0.5~1年
3.血漿置換與免疫吸附療法血漿置換或免疫吸附可去除抗GBM抗體積極的血漿置換治療,聯合套用免疫抑制劑和中等劑量的皮質激素療法,可有效地制止肺出血和改善腎功能置換血漿2~4L/d,血漿置換的持續時間和頻度可根據循環抗基膜抗體的水平而定,一般每天或隔天1次病情穩定可延至每周2~3次,結合口服潑尼松(強的松)60mg/d和使用大劑量細胞毒藥物(主要是環磷醯胺)。一般情況下,血漿置換配以免疫抑制治療必須持續至循環抗體水平顯著下降或陰轉(通常約7~14天)在以後的數周到數月內逐漸撤除免疫抑制治療經以上治療80%的患者有腎功能的改善。
治療方法
每日置換血漿2~4L,時間和頻度可根據循環抗基膜抗體水平而定;
再加上口服劑量的強的松(60mg/d)和免疫抑制劑,80%的病人腎功能改善;
對曾予衝擊治療而難於控制的肺出血,經血漿置換後,均有不同程度的緩解。
該療法只有在疾病的早期,新月體處在細胞型或細胞纖維型,病人尚未進入不可逆性終末期腎衰竭時,才有治療價值對於急進性發病的患者在尚未發生少尿Scr<530μmol/L之前進行血漿置換療效較佳;而已進入終末期腎臟病期、Scr>530μmol/L或需要透析治療維持生命者,療效欠佳。
抗凝與纖溶治療的問題因為纖維蛋白相關抗原在受損部位出現從理論上講抗凝血藥配以皮質激素和細胞毒性藥物對本病的治療是有益的但是,研究未能證明肝素常規劑量對腎功能或兔抗GBM腎炎腎組織學改變有改善作用大劑量華法林在實驗性研究中只有在使用能引起較頻繁消化道出血的大劑量情況下才會對本病有效尿毒症期凝血功能紊亂使用抗凝血藥十分危險,對於抗GBM抗體疾病的危險性更高。腎臟活組織檢查引起嚴重出血的危險性也較大。
腎臟替代治療對於常規治療無效或治療較遲而進入終末期腎臟病,以血液透析或腹透維持生命的患者如病情穩定血中循環抗基膜抗體降低至測不出,可考慮腎移植治療。
本病在腎移植後的復發率為10%~30%,未經免疫抑制治療的同卵雙生兄妹之間,腎移植在發病後不久做腎移植或血清抗GBM抗體滴度較高的情況下接受腎移植復發的可能性較高。當移植延遲至數月,血清抗GBM抗體滴度下降或陰轉後,或在使用免疫治療後臨床復發率,可下降至10%,以下復發可發生於數月甚至數年之後,在抗GBM抗體不升高的情況下也可復發。相反血清學改變復發不一定伴有臨床症狀的復發,Daly等報導10例患者進行了屍體腎移植7例功能腎臟維持達8.2年。
其他確診為本病的患者,如腎活檢證明為不可逆性損害大劑量激素衝擊療法和血漿置換術難以控制肺出血,可考慮作雙側腎切除,以透析治療替代腎功能,在治療過程中有加重肺出血的危險者不宜採用抗凝和抗聚集治療另外應加強支持療法和防止繼發感染。
幾個值得注意的問題:
(1)早期治療至關重要:對高度懷疑為本病患者不必等待腎臟組織檢查只要抗GBM抗體陽性就應及早開始強化治療。
(2)少數患者對早期強化治療也無效應:Hidaka等報導1例50歲的女性患者於發病1周后開始使用大劑量皮質激素細胞毒性藥物及血漿置換,但臨床表現無明顯好轉2次腎臟組織檢查顯示病理改變無改善。
(3)有時雙腎切除可以改善治療效果:Pai等報導1例49歲的女性,患嚴重的肺出血-腎炎綜合徵,使用大劑量的腎上腺皮質激素環磷醯胺(CTX)硫唑嘌呤及血漿置換,血清抗GBM抗體滴度及疾病的活動無顯著改善當雙側腎切除後隨著血清抗GBM抗體滴度下降,肺出血-腎炎綜合徵才逐漸靜止。
(4)研究發現:免疫抑制劑Deoxyspergualin白介素-1受體拮抗劑抗細胞間黏附因子Ⅰ單克隆抗體、淋巴細胞功能相關抗原Ⅰ單克隆抗體及抗巨噬細胞移動抑制因子抗體有可能成為治療抗GBM腎炎的有效藥物
(5)本病緩解後可反覆發作:Levy等報導1例患者在12年內反覆發作且抗GBM抗滴度的變化與復發有一定的關係Guillen等對11例肺出血-腎炎綜合徵患者進行了分析後發現8例發生了11次復發9次與細菌感染有比較明確的因果關係。復發時都有肺出血主要發生於確診後的數月內他們認為,預防感染、早期發現及時治療感染對於防止本病復發殊為重要。
病因學
肺出血-腎炎綜合徵(Goodpasturessyndrome)可能系病毒感染和/或吸入某些化學性物質引起原發性肺損害。由於肺泡壁毛細血管基膜和腎小球基底膜存在交叉反應抗原,故可以引起繼發性腎損傷。本病的特徵為咯血、肺部浸潤、腎小球腎炎、血和累及的組織中有抗基底膜抗體。明確的病因尚未證實但多推測與感染特別是病毒感染有關。另有報告得病前曾有接觸汽油、碳氫(烴)化合物史故認為這些化學物質和/或病毒可能是致病因子。
公認腎臟發病原理為抗基底膜抗體型腎炎的免疫反應過程由於某些發病因素原發性損傷肺泡間隔和肺毛細血管基膜,後者刺激機體產生抗肺基膜抗體,在補體等作用下引起肺泡一系列免疫反應由於肺泡壁基膜和腎小球基底膜間存在交叉抗原,故內源性抗肺基膜抗體又能與腎小球基底膜起免疫反應,損傷腎小球。
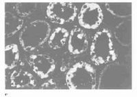
肺表面瀰漫性出血切面可見水腫和陳舊的出血。鏡檢見肺泡內出血,肺泡腔內常有吞噬含鐵血黃素的吞噬細胞局灶性肺泡纖維組織增殖。免疫螢光檢查顯示肺泡間隔和肺毛細血管基膜有免疫球蛋白和C3呈線狀沉積,腎臟病理改變似急進性腎小球腎炎此外,早期腎小球毛細血管呈局灶和節段性壞死,後期腎小球周圍有淋巴細胞浸潤為一特點。
發病機理
目前已公認腎臟發病原理為抗基底膜抗體型腎炎的免疫反應過程。由於某些發病因素原發性損傷肺泡間隔和肺毛細血管基膜,後者刺激機體產生抗肺基膜抗體,在補體等作用下引起肺泡一系列免疫反應。由於肺泡壁基膜和腎小球基底膜間存在交叉抗原,故內源性抗肺基膜抗體又能與腎小球基底膜起免疫反應,損傷腎小球。病理改變
肺表面瀰漫性出血,切面可見水腫和陳舊的出血。鏡檢見肺泡內出血,肺泡腔內常有吞噬含鐵血黃素的吞噬細胞,局灶性肺泡纖維組織增殖。免疫螢光檢查顯示肺泡間隔和肺毛細血管基膜有免疫球蛋白和C3呈線狀沉積,腎臟病理改變似急進性腎小球腎炎。此外,早期腎小球毛細血管呈局灶和節段性壞死,後期腎小球周圍有淋巴細胞浸潤為一特點。臨床表現
發病前不少患者有呼吸道感染,以後有反覆咯血,大多數出現在腎臟病變之前,長者數年(最長可達12年),短者數月,少數則在腎炎後發生。X線檢查見兩肺有瀰漫性或結節狀陰影,自肺門向周圍擴散,肺尖及近膈肌處清晰,常一側較重,有的無咯血史,但經痰含鐵血黃素及胸片檢查證實有出血。在咯血時肺彌散功能減退,出現低氧血症,貧血常見。腎臟表現:每例均有蛋白尿、紅細胞及管型,可有肉眼血尿。腎功能減退,然而進展速度不一,有的患者可在1~2日內呈現急性腎功能衰竭,大多數在數周至數月內發展至尿毒症,少數演變較慢,有穩定在原水平或緩解以後又復發者。
肺出血:
典型患者除非合併感染一般無發熱肺部最重要的表現為咯血約49%的患者咯血為首發症狀從咯血絲至大咯血不等,重症(尤其吸菸者)大咯血不止甚至窒息死亡患者多伴氣促咳嗽氣喘呼吸困難,有時有胸痛症狀,肺部叩診呈濁音,聽診可聞濕囉音肺CO攝取率(kco)為早期而敏感的肺功能改變指示,在腎衰及肺水腫患者該值下降,而肺出血時此值上升。
一般肺部症狀可先於腎臟表現數天數周、或數年出現肺部出血可輕可重,也可嚴重至危及生命。大量或持續出血可發生缺鐵性貧血。一旦出現胸痛應注意排除系統性紅斑狼瘡血管炎或肺栓塞等病變肺部X線顯示彌散性點狀浸潤陰影從肺門向外周散射,肺尖常清晰。咯血和肺部浸潤是肺部病變的特徵。
2.腎臟病變
腎臟病變的臨床表現多樣輕度腎小球損害者尿液分析和腎功能可正常,臨床主要表現為反覆咯血腎活檢仍然可顯示典型的抗基膜抗體線狀沉積的免疫學特徵。典型患者腎功能損害發展較快。有少尿或無尿者血清肌酐濃度逐日升高於3~4天內達到尿毒症水平;無少尿者腎臟損害常為急進性發展血清肌酐濃度每周升高數月內發展至尿毒症。大多數患者其特徵性表現是進行性腎功能損害據統計,81%患者於1年內發展為腎功能衰竭血壓正常或輕度升高尿液分析呈現血尿和蛋白尿,常有紅細胞管型少數患者有大量蛋白尿及腎病綜合徵。
3.特殊表現
(1)肺出血-腎炎綜合徵向其它病理類型的腎小球疾病轉化:Elder等報導1例患者有典型的肺-腎臟病理表現與臨床表現,腎功能保持良好,血清與組織抗GBM抗體呈陽性,顯著缺鐵性貧血,免疫抑制治療後貧血改善血清抗GBM抗體消失9個月後發生了腎病綜合徵腎活檢複查顯示膜性腎病不伴抗GBM抗體腎內沉積。
(2)其他病理類型的腎小球疾病向肺出血-腎炎綜合徵轉化:Thitiarchakul報導1例特發性膜性腎病患者病程中腎功能急性惡化伴有咯血嚴重高血壓及血清抗GBM抗體陽性腎組織檢查顯示典型抗GBM免疫病理表現使用大劑量激素、CTX及血漿置換無效
(3)肺出血-腎炎綜合徵只局限於肺或腎一個器官:Patron等報導1例單純性肺出血-腎炎綜合徵Perez等報導1例古柯鹼誘發的肺出血-腎炎綜合徵,只有典型腎臟改變,肺泡基膜沒有IgG及C3呈線樣沉積。其他如抗基底膜抗體結合於脈絡膜眼、耳偶可引起相應的表現如眼底出血及滲出,其發生率可高達11%可能是急劇發展的高血壓所至。
疾病檢查
肺出血-腎炎綜合徵---腎靜脈血栓通常應包括血常規,血液生化,腎功能,動脈血氣分析,尿常規等。
2、血清學檢查 初選試驗可包括抗核抗體(ANA)譜,抗雙鏈(ds)DNA,抗中性粒細胞胞漿抗體(ANCA),抗基底膜(GBM)抗體和抗磷脂抗體。SLE患者可有高滴度ANA和dsDNA,而補體水平降低。Goodpasture綜合徵的循環抗GBM抗體陽性。ANCA包括核周型(P-ANCA)和細胞漿型兩種,前者為針對髓過氧化物酶(MPO),彈力酶和乳鐵蛋白的抗體,後者針對的抗原為分布在細胞漿的絲氨酸蛋白3(PR3),即C-ANCA。顯微鏡下多動脈炎、Churg-Strauss血管炎和寡免疫性腎小球腎炎(PIGN)可出現P-ANCA陽性。
3、組織學檢查活檢部位的選擇取決於具體疾病,如診斷韋氏肉芽腫,可進行鼻或鼻竇活檢,侵入性小診斷價值又高。
4、腎活檢 除了常規光鏡檢查外,通常需要進行直接免疫螢光染色。免疫介導的肺泡出血綜合徵同時有腎受累時,則腎病理為壞死性腎小球腎炎,組織學改變的程度不同,從輕的系膜增厚至嚴重的新月體性腎小球腎炎,腎動脈血管炎則很少。各種疾病的免疫螢光染色有不同表現,抗基底膜抗體(ABMA)病沿腎小球基底膜有線樣沉積,膠原血管病及特發性免疫複合物介導的腎小球腎炎呈顆粒狀沉積,而PIGN的免疫螢光檢測為陰性,聯合血清學ANCA、ABMA、ANA等檢測能夠提高對診斷、治療和預後的判斷意義。
5、氣管鏡檢查肺泡出血患者可能沒有明顯咯血。氣管鏡和肺泡灌洗(BAL)檢查有助確診肺泡出血,排除感染和氣道局部病變引起的出血,從而幫助鑑別診斷和尋找病因。根據BAL的回收液血性程度逐漸增加,可肯定為活動性出血,此外,顯微鏡檢查發現含鐵血黃素細胞也具有肯定肺泡出血的價值。
6、肺活檢經支氣管肺活檢對於DAH的診斷價值有限,為明確病因需開胸肺活檢。肺活檢僅適用於經常規檢查仍未明確病因,且病情相對穩定,能夠耐受單側肺萎陷的患者。嚴重肺出血和呼衰病人不適宜開胸肺活檢。肺活檢術後可伴發感染和氣胸。
7、血清學檢查:抗腎小球基膜抗體效價均增高而其他自身抗體均陰性,個別病例有免疫球蛋白增高,抗基膜抗體濃度不一定和肺、腎病變的嚴重度成比例。
疾病診斷
根據反覆咯血、血尿、X線徵象及痰中含鐵血黃素細胞陽性即可作出診斷,單純有肺部表現則要和特發性肺含鐵血黃素沉著症鑑別。候腎臟症狀出現後診斷較易,但要和壞死性血管炎有肺及腎表現者、尿毒症伴咯血者鑑別。肺出血-腎炎綜合徵--切片
1.肺出血-腎炎綜合徵的診斷關鍵是,確定機體有無抗GBM-肺泡基膜自身體液免疫過程,存在該過程的特徵性表現:
(1)血清抗GBM抗體陽性。
(2)肺泡及腎臟基膜有IgG呈線樣沉積
2.典型患者的診斷完全符合下列三聯征
(1)肺出血,肺泡基膜IgG呈線樣沉積。
(2)急進性腎炎綜合徵腎臟大量新月體形成(毛細血管外增生性腎炎)可伴毛細血管壞死GBM有IgG呈線樣沉積
(3)血清抗GBM抗體陽性
3.肺出血-腎炎綜合徵診斷的注意事項
(1)有些患者肺和(或)腎臟的表現輕微或者兩個臟器不同步發生病變。有時抗基膜自身免疫過程只發生於肺或腎臟中的任一臟器。
(2)抗GBM腎炎與其他類型的腎小球疾病(主要是膜性腎病)之間有時可相互轉變(見臨床表現)。
(3)偶爾自身免疫功能紊亂會產生非特異性基膜抗體,還可引起肺腎以外的器官損害
(4)個別情況下如自身免疫高度活動期,大量抗GBM抗體沉積可發生一過性血清抗GBM抗體陰性。有報導1例有典型的肺出血-腎炎綜合徵腎臟臨床與病理表現的患者同時伴有肺部損害血清抗GBM抗體陰性,他認為這可能是由於高度活動期間抗體在靶器官內大量沉積所致。
(5)肺出血-腎炎綜合徵與血管炎並存。Rydel等報導1例18歲的男性肺出血-腎炎綜合徵患者,在進行血漿置換及使用細胞毒性藥物過程中發生難治性癲癇MRI顯示多發性腔隙性腦梗死(MultipleLacunarInfarcts),腦脊髓膜活檢顯示血管炎但血清ANCA持續陰性。給予大劑量皮質激素及細胞毒性藥物後再使用抗癲癇藥可症狀控制。Kalluri等報導1例結節性肺部浸潤與急性腎衰竭患者c-ANCA陽性腎臟組織檢查顯示新月體性及壞死性腎炎IgG及C3在腎小球內線樣沉積,血清有高滴度抗GBM-IgG。
疾病鑑別
肺出血-腎炎綜合徵--切片1.肺腎綜合徵可引起肺腎綜合徵的疾病除了肺出血-腎炎綜合徵之外還有多種如ANCA相關性系統性血管炎、SLE及感染引起的腎炎此外腎靜脈血栓所致的肺栓塞、終末期腎衰所致的充血性心力衰竭也可發生咯血。Ent等報導2例兒童患者,免疫複合物沉積同時引起肺出血與腎小球腎炎Hernandez報導1例特發性細支氣管閉塞(IdiopathicBronchiolitisObliterans)患者發生了急進性腎炎組織學檢查在肺和腎內都發生了大量IgA沉積。
免疫複合物腎炎時腎小球毛細血管有顆粒樣沉積,電鏡檢查可見電子緻密物,血清抗GBM抗體陰性而循環免疫複合物可陽性與肺出血-腎炎綜合徵區別不難。
2.狼瘡性腎炎此病患者表現急進性腎炎時可出現急性腎功能衰竭伴肺出血症狀易與肺出血-腎炎綜合徵混淆。但該病多見年青女性,一般有皮膚、關節等全身多系統損害血清免疫學檢查可助診斷。
3.小血管炎腎炎此類疾病可有肺出血表現而近似肺出血-腎炎綜合徵。但該病多見於50~70歲中老年人,有乏力低熱體重下降等全身症狀明顯血抗中性粒細胞胞質抗體(antibodiestoneutrophileytoplasmicantigensANCA)陽性。其中韋格納肉芽腫者可呈間質性炎症,兩者偶可同時存在。
在許多血管炎中,小血管炎有兩種即Wegener肉芽腫及鏡下多血管炎這兩種小血管炎其靶抗原分別為蛋白酶3(Proteinase3)及髓過氧化酶(Myeloperoxidase,相應的抗體是引起小血管損害的原罪抗原,對小血管炎具有重要診斷價值。在Wegener肉芽腫及鏡下多血管炎時,上下呼吸道及腎臟最常受累Wegener肉芽腫的形態學改變多種多樣,在口咽鼻旁竇氣管等處主要表現為潰瘍性變化,而肉芽腫樣變可有可無所以,組織學檢查尤其是小塊活組織檢查時,不能輕易排除Wegener肉芽腫之診斷Wegener肉芽腫及鏡下多血管炎在腎臟可表現為局灶性節段性壞死性腎小球腎炎,常伴有新月體形成腎小球內免疫沉積罕見。
4.急性腎炎伴左心衰竭此病可有血痰及呼吸困難表現與肺出血-腎炎綜合徵類似,但該病多見於青少年患者。多有鏈球菌感染史常因嚴重高血壓水鈉瀦留而產生水腫、充血性心力衰竭腎活體病理檢查可資鑑別。
5.急進性腎炎急進性腎炎(新月體性腎炎)的免疫發病機制除了抗GBM腎炎外,免疫複合物腎炎及細胞免疫性血管炎也可引起典型的新月體腎炎及急進性腎衰竭臨床鑑別要點。
6.特發性肺含鐵血黃素沉著症此病的咯血痰中含鐵血黃素細胞及肺部X線表現都極似肺出血-腎炎綜合徵。但此病多發生於16歲以下的青少年,病情進展緩慢,預後好肺及腎活檢可助鑑別。
飲食保健
適宜食物1、主食及豆類的選擇小米、高粱米、蠶豆、赤小豆、玉米面、大米、麥澱粉等。
2、肉蛋奶的選擇鯉魚、鯽魚、黃魚、青魚、黑魚、銀魚、豬肉、豬腎、烏魚、雞肉、鴨肉等;膽固醇高者應以補充魚類優質蛋白為主。
3、蔬菜的選擇冬瓜、黃瓜、胡蘿蔔、薺菜、生菜、青椒、西葫蘆、茄子、白菜、金針菜、菜花、萵筍、捲心菜、番茄、絲瓜、倭瓜、茄子、通菜、茭白、筍、馬蘭頭、山藥、蓮藕、草菇、紫菜、荸薺等。
4、水果的選擇西瓜、甜瓜、葡萄、柑、橘、獼猴桃、草莓、鳳梨、橄欖、李子、蘋果、等。
患者不適宜吃什麼?
忌辛辣刺激性食物如:辣椒、胡椒、芥末、咖喱等。多用味素會引起口渴而欲飲水,故味素亦應少用。
忌含氮浸出物腎炎病人因腎功能不好,對氮元素的排出不能及時完成,氮元素作為機體代謝廢物之一,在腎功能減弱的情況下,應減少含氮物質的攝入,此類物質為無藥膳協同配伍的單純雞湯、魚湯、肉湯、鴨湯等。忌食食物主要有鹹菜、鹹蛋、醬菜、腐乳、饅頭(加蘇打或鹼)、海魚、公雞、豬頭肉、鵝、菠菜、辣椒、胡椒、芥末、咖喱等。
限制食鹽忌食鹹菜、醬、豉、醃製製品。
忌植物蛋白質植物蛋白質中含大量嘌呤鹼,能加重腎臟中間代謝的負擔,故不宜食用,如黃豆、綠豆、蠶豆、豆漿、豆腐、豆芽等。
忌含有高嘌呤食物如:豬頭肉、沙丁魚、雞湯、牛肉湯、芹菜、菠菜、羊肉、狗肉、雀肉、兔肉、油膩之品花生等。
忌食草酸鈣高的蔬菜如竹筍、韭菜、茭白等。
禁食高磷食物,禁食如:蛋黃、魚卵、腦等。
一日參考膳食急性腎炎食譜
早餐:大米、麵粉、白糖、肉鬆,如:米粥、包子、肉鬆;
加餐:蘋果;
午餐:大米、冬瓜、豬肉,如:米飯、肉末冬瓜;
加餐:優酪乳;
晚餐:大米、茄子、西紅柿、糖,如:燒茄子、西紅柿拌糖、米飯。

