臨床表現
1.突然發生胸痛,呼吸困難,胸悶,嚴重者煩躁不安、大汗、紫紺,呼吸加快,脈搏細速,甚至休克。
2.氣管向健側移位,患側胸部飽滿,呼吸運動減弱或消失,叩診呈鼓音,語顫及呼吸音減弱。
診斷依據
1.有突發胸痛、呼吸困難,患側胸部飽滿,叩診鼓音,聽診呼吸音消失。
2.胸片或胸透見胸腔內積氣。
3.或用注射器在胸腔內抽到氣體。
治療原則
1.少量閉合性氣胸以抽氣治療即可。開放性氣胸需作閉式引流。
2.高壓性氣胸應做緊急抽氣,後作閉式引流。3.治療原發病。
用藥原則
1.原發病為結核病者套用異煙胼、利福平、鏈黴素、吡嗪醯胺等抗癆治療。
2.有感染者套用青黴素、先鋒必素等。
3.發作多次或引流治療效果不佳者可套用四環素粉、凝血酶、滑石粉等作胸膜粘連術。
輔助檢查
1.氣胸必須做胸片檢查,若病情危重亦可暫作胸透;
2.病情反覆治療效果差者應做胸腔鏡或胸腔造影、CT等檢查。
症狀體徵
症狀肺功能檢查:通常氣胸在壓縮20%以上時才可能出現限制性通氣損害(肺容量和肺活量降低)。老年氣胸由於基礎疾病的存在,往往在肺壓縮不到20%時就已出現嚴重的肺功能障礙。臨床懷疑有氣胸者不宜進行用力呼吸動作的肺功能項目檢查,以免導致病情惡化。
動脈血氣檢查:急發期氣胸患者由於萎陷肺組織的無效灌流,引起右到左的分流而出現低氧血症。後期由於萎陷肺的血流減少,低氧血症反而可以有所緩解。中青年人氣胸一般在肺被壓縮20%~30%以上才會出現低氧血症。自發性氣胸者常在輕度肺壓縮時即發生低氧血症。
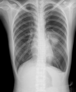
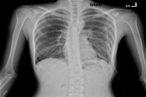
X線檢查:氣胸的典型X線為肺向肺門萎陷呈圓球形陰影,氣體常聚集於胸腔外側或肺尖部,此部透亮度增加,無肺紋。氣胸延及肺下部時肋膈角顯示銳利。少量氣胸時積氣多局限於肺尖,易被鎖骨影遮掩。此時,深呼氣相的X線徵象有助於診斷。部分自發性氣胸患者由於胸膜粘連分隔而呈現為“局限性氣胸”,積氣影可能被肺或縱隔遮掩,需轉動體位透視檢查方能發現。
疾病病因
疾病原因病理生理
自發性氣胸 氣胸除外傷或診治用於人工氣胸外,均稱為自發性氣胸。自發性氣胸大多數由於胸膜下氣腫泡破裂引起,也見於胸膜下病灶或空洞潰破、胸膜粘連帶撕裂等原因。胸膜下氣腫泡可為先天性,也可為後天性;前者系先天性彈力纖維發育不良,肺泡壁彈性減退,擴張後形成肺大泡,多見於瘦長型男性,肺部X線檢查無明顯疾病。後者較常見於阻塞性肺氣腫或炎症後纖維病灶的基礎上,細支氣管半阻塞、扭曲,產生活瓣機制而形成氣腫泡,脹大的氣腫泡因營養、循環障礙而退行變性,以致在咳嗽或肺內壓增高時破裂。
診斷檢查
檢查自發性氣胸臨床表現很不典型,易被原發疾病掩蓋而誤診或漏診。患者出現下列情況時應考慮氣胸的能:
①突發的不明原因的呼吸困難,或在原有呼吸困難的基礎上氣促突然加重,用原發疾病不能解釋者;
②突然發生劇烈胸憋伴呼吸困難,除外心肌梗死和肺梗死者;
③不明原因的病情進行性惡化,短期內出現心慌、出汗、面色蒼白或發紺,和(或)意識障礙者;
④喘憋症狀突然加重,雙肺或單肺布滿哮鳴音,而各種解痙藥、皮質激素、氧療及抗生素治療無效者;
⑤迅速或進行性加重的發紺。
氣胸機測壓還可區分氣胸的類型:
①閉合性氣胸:排氣前胸膜腔內壓接近或稍高於大氣壓,排氣後胸膜腔內壓下降,停止抽氣後
自發性氣胸②開放性氣胸:排氣前後胸膜腔內壓都接近於“0”。該型氣胸肺壓縮通常在50%左右。
③張力性氣胸:排氣前胸內為正壓,常超過1.96kPa(20cmH2O),抽氣後壓力下降,但停止抽氣後壓力迅速上升。該型氣胸肺壓縮常>75%。對於少量或局限性氣胸,常需作深吸、呼氣相或轉動多體位的X線檢查。實驗室檢查:
胸腔氣體分析:運用胸腔氣體PaO2、PaCO2及PaO2/PaCO2比值3項指標,對判斷氣胸類型有一定意義。閉合性氣胸的胸腔內PaO2≤5.33kPa(40mmHg)、PaCO2常>5.33kPa、PaO2/PaCO2>1;開放性氣胸PaO2常>13.33kPa(100mmHg)、PaCO2<5.33kPa、PaO2/PaCO2<0.4;張力型氣胸PaO2常>5.33kPa、PaCO2<5.33kPa、PaO2/PaCO2>0.4,但<1。
其他輔助檢查:
1.X線檢查是診斷氣胸最可靠的方法,可顯示肺萎縮程度、有無胸膜粘連、縱隔移位及胸腔積液等。氣胸側透明度增強,無肺紋理,肺萎縮於肺門部,和氣胸效界處有清楚的細條狀肺邊緣,縱隔可向健側移位,尤其是張力性氣胸更顯著;少量氣胸則占據肺尖部位,使肺尖組織壓向肺門;如有液氣胸則見液平面。
2.CT對胸腔內少量氣體的診斷較為敏感。對反覆發作的氣胸、慢性氣胸者觀察肺邊緣是否有造成氣胸的病變,如肺大泡、胸膜帶狀粘連,肺被牽拉、裂口不易閉合等。氣胸基本表現為胸膜腔內出現極低密度的氣體影,伴有肺組織不同程度的壓縮萎縮改變。
3.胸膜腔造影此方法可以明了胸膜表面的情況,易於明確氣胸的病因。當肺壓縮面積在30%~40%時行造影為宜,肺大泡表現為肺葉輪廓之內單個或多個囊狀低密度影;胸膜裂口表現為冒泡噴霧現象,特別是當患者咳嗽時,由於肺內壓增高,此徵象更為明顯。
4.胸腔鏡可以較容易地發現氣胸的病因,操作靈活,可達葉間裂、肺尖、肺門,幾乎沒有盲區,觀察髒層胸膜有無裂口、胸膜下有無肺大泡及胸腔內有無粘連帶。
鑑別診斷
診斷1.自發性氣胸加重期繼發於COPD的閉合性氣胸,有時甚至是開放性氣胸常被誤認為COPD加重期。氣胸患者氣促突出,並多為突然發生或進行性加重,而咳嗽、咳痰則相應較輕;COPD加重期常以氣候變化為誘因,以上感為先導,突出表現為咳嗽、咳痰加重、膿痰。積氣征是局限或單側的,兩側不對稱,而肺過度充氣征多是瀰漫的、雙側的;新出現的氣管移位更是氣胸有力佐證。X線檢查及必要時的人工氣胸機診斷性穿刺並測壓更可幫助確診。
2.肺大皰少量或局限性氣胸有時需與肺大皰相鑑別。肺大皰發生髮展非常緩慢,臨床表現一般比較穩定;X線胸片上透亮度增加的區域內仍可見細小條紋影,複習比較往昔胸片病灶變化不大;診斷性穿刺排氣後大皰影大小不變而有別於氣胸。
3.胸腔積液 胸腔積液患者也常表現為胸痛和氣促,但體檢和X線檢查為積液征而別於氣胸。
4.心肌梗死、肺梗死張力性氣胸臨床表現有時酷似心肌梗死、肺梗死,都表現為突發劇烈胸痛、氣促、呼吸困難、心慌、面色蒼白或發紺、大汗、煩躁不安等,但張力性氣胸患側明顯的胸腔積氣征和氣管對側移位有助於鑑別,X線檢查及人工氣胸機診斷性穿刺可確診。
5.支氣管哮喘發作部分老年氣胸患者表現類似於哮喘樣發作,嚴重呼吸困難的同時肺部可聞哮鳴音。胸腔積氣征、對解痙劑-皮質激素-氧療無效、抽氣後呼吸困難及哮鳴音消失而別於哮喘。
治療方案
藥物治療2.臥床休息,必要時用小量鎮靜劑。
3.如有休克,應儘快糾正,除一般抗休克措施外,由張力性氣胸引起的休克,應緊急抽氣減壓;血氣胸引起者,應按失血性休克治療。作胸腔閉式引流,在1~2天內引流盡胸內血液,如出血不止,應請胸外科會診,考慮開胸血管結紮和破裂口修補。
4.氣胸處理
(1)斜坡臥位,吸氧。
(2)抽氣減壓:先用人工氣胸器測量胸腔內壓力,如為正壓,應立即抽氣,每抽氣300~500mi測壓力1次,直到壓力表指示接近零時停止抽氣。留氣胸針3~5min,即可拔針。如壓力又復升高,則為張力性氣胸;如雖反覆抽氣,壓力仍無顯著變化,則為交通性氣胸。兩者均應改為用套管胸腔閉式引流術,必要時負壓吸引。
(3)輕度(如肺壓縮不超過20%)閉合性自發性氣胸無明顯症狀者可不抽氣。經休息,氣體可自行吸收而痊癒。
(4)內科治療無效者,可採用胸腔鏡或開胸肺組織裂口修補手術。
(5)慢性氣胸(3個月以上),用負壓吸引;復發性氣胸,可在氣體很少時,胸腔內注射滑石粉、短小棒狀桿菌或50%葡萄糖液作胸膜粘連治療。
5.對症處理。咳嗽劇烈者可給可待因。保持大便通暢,必要時給緩瀉劑。
6.原發病治療。胸膜腔有感染可能者用抗生素預防。
7.治癒標準
臨床症狀消失,胸腔內氣體完全吸收,肺組織擴張良好,可認為痊癒。
併發症
併發症血氣胸2.膿氣胸繼發於金葡菌、厭氧菌或革蘭陰性桿菌引起化膿性肺炎,或肺膿腫,或乾酪性肺炎的氣胸易合併膿氣胸。
3.血氣胸氣胸引起胸膜粘連帶中的血管撕裂而導致。其病情輕重與撕裂的血管大小有關。小的出血隨血管的收縮和內皮的捲縮而可自動停止;大的血氣胸則發病急驟,除胸痛、胸悶、氣促外,還有頭昏、心慌、面色蒼白、皮膚涼濕、血壓下降等出血性休克徵象,X線檢查可見液氣平面,胸腔穿刺為全血。
4.慢性氣胸部分老年氣胸患者由於基礎病變的原因致使胸膜裂口不能隨壓縮而閉合;形成支氣管胸膜瘺而難以癒合;支氣管狹窄或閉塞而使肺不能重新充氣;髒層胸膜肥厚肌化使肺不能充分復張,以致氣胸延續3個月以上。
5.縱隔氣腫多並發於張力性氣胸。氣量少時可無明顯症狀;氣量多且發生迅速者則將出現循環-呼吸衰竭,病情極為險惡,體檢可見發紺、頸靜脈怒張、心搏不能捫及、心濁音界縮小或消失、經常伴有皮下氣腫(局部腫脹、觸診有握雪感、聽診有捻發音),X線胸片表現為縱隔兩旁以條索影為界的透亮帶。
6.呼吸衰竭這是繼發於COPD的老年氣胸很常見的合併症。
7.循環衰竭多並發於張力性氣胸。
8.心力衰竭多見於患有嚴重心臟病的老年氣胸病人。氣胸所致的低氧血症、感染、呼吸運動耗氧增加、心律失常等原因均可誘發心力衰竭。
預後
預後:自發性氣胸復發率高,19%~36%,其中近70%在半年內復發,並可多次復發,尤其是僅給予一般療法或穿刺排氣者,胸膜粘連術復發率低。氣胸的病死率為9%~32.9%。病死率與肺壓縮程度成正比,高齡、基礎病變嚴重、張力性氣胸及有合併症者預後險惡。自發性氣胸由於基礎病變的緣故,往往肺壓縮比例不大即出現嚴重的呼吸困難,是否及時施行閉式引流將大大影響預後。
呼吸系統疾病盤點
呼吸內科疾病
| 研究範圍及進展呼吸內科是研究呼吸系統疾病的學科。它是既古老又年輕的學科,說它古老是因為,自從人類認識疾病以來,呼吸系統疾病就一直是危害人類健康的常見病和多發病,八十年代中期的統計資料表明,呼吸系統疾病仍然是導致死亡的主要疾病。在死亡的順序上排列第二。現在我們來認識一下這些可怕的疾病吧? |

