症狀體徵
閉合性氣胸氣胸的臨床症狀取決於胸膜腔積氣量的多少和發生的快慢。小量氣胸肺萎陷在30%以下,對呼吸循環功能影響較小,多無明顯症狀。肺壓縮50%以上時為大量氣胸,可出現限制性通氣功能障礙。病人有胸悶、氣促和胸痛等症狀。傷側胸部叩診呈鼓音,聽診呼吸音減弱或消失。
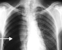
主要根據X線檢查確診。
疾病病因
閉合性氣胸多為肋骨骨折的併發症,肋骨斷端刺破肺表面,空氣漏入胸膜腔所造成。
病理生理
氣胸形成後,胸膜腔內積氣壓迫肺裂口使之封閉,或者破口自動閉合,不再繼續漏氣。此類氣胸抵消胸膜腔內負壓,使傷側肺部分萎陷。
診斷檢查
胸部X線檢查可顯示不同程度的肺萎陷和胸膜腔積氣,有時尚伴有少量積液。
診斷
根據患者的病史、症狀體徵,以及胸部X線結果即可明確診斷。
治療
小量閉合性氣胸可自行吸收,不需特別處理,但應注意觀察其發展變化。大量氣胸可先行胸腔穿刺,若抽不盡、抽氣不久又達抽氣前的積氣量、另一側亦有氣胸、合併血胸、需行全身麻醉或需用機械通氣等,均應放置胸腔閉式引流。肺功能差者及老年人,以及有其他部位嚴重合併傷者,例如重型顱腦傷和重度休克病人,對閉合性氣胸的處理應持積極態度。治療中警惕發展為張力性氣胸。對於反覆發作的氣胸則可考慮手術治療。
用藥安全
1、小量氣胸不需治療,可於1~2周內自行吸收;
2、大量氣胸,需進行胸膜腔穿刺,抽盡積氣,或行胸膜腔引流術,促使肺及早膨脹,同時套用抗生素預防感染。

