臨床診斷
1、阻塞性(吸收性)肺萎陷:由於支氣管被附近腫大的淋巴結或瘤塊壓迫,或支氣管被腫瘤、異物、血凝塊等阻塞,致空氣不能進入所屬末梢肺組織,其中原有的空氣漸被吸收而導致一群小葉甚或整個肺葉無氣和皺縮。
2、壓縮性肺萎陷:大量胸腔積液,自發性氣胸,嚴重的脊柱變形或腹腔巨大腫瘤或大量腹水使膈抬高,從而壓迫肺組織,使肺泡陷閉而無氣。
3、收縮性肺萎陷:由於肺組織廣泛纖維化,纖維收縮所致。
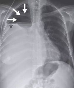
治療氣胸
有中國醫院利用肺萎陷療法治療難治性氣胸,有一定的效果。有效率顯示為63.27%,無明顯不適症狀發生。治療機制可能是:
1、肺痿陷後不再有空氣從胸膜破口處流出,減少對胸膜癒合的影響。
2、肺痿陷後胸腔保持一定的壓力,能使破裂的胸膜更緊貼肺組織加快癒合。
3、肺痿陷後發生無菌性炎症促使胸膜癒合。
但肺萎陷療法的最佳起始時間、終止時間和復發性還有待進一度的研究。
動物界主動性
海獅2012年9月,美國斯克里普斯海洋研究所的科研人員在新一期英國期刊《生物學通訊》上報告說,他們通過長時間追蹤研究一頭海獅發現,這種哺乳動物之所以能在深達數百米的水中上下自如遊動,得益於一種主動進行“肺萎陷”的本領。
研究發現,在潛至約225米深時,海獅體內的氣壓驟降,這意味著它主動實施“肺萎陷”,將附著在支氣管上的大量肺泡壓縮,使整個肺部體積縮小。這相當於關閉了向血管輸送氣體成分的“開關”,保證氮氣等無法進入血液,避免其對身體機能的侵擾。肺部關閉後,海獅會通過其大量的支氣管和氣管中儲存的氧維持身體機能運轉。

