疾病描述
肺包蟲囊腫症狀體徵
肺包蟲囊腫肺包蟲囊腫由於生長緩慢,如無併發症,可多年無症狀。由感染至出現症狀一般間隔3~4 年,甚至一二十年。症狀因囊腫大小、數目、部位及有無併發症而不同,早期囊腫小,一般無明顯症狀,常經體檢或在因其他疾病胸透時發現。囊腫增大引起壓迫或並發炎症時,有咳嗽、咳痰、胸痛、咯血、氣急等症狀。巨大囊腫或位於肺門附近的,可能有呼吸困難。如食管受壓。有吞咽困難。偶見肺尖部囊腫壓迫臂叢和頸交感神經節,引起PANCOAST 綜合徵(患側肩、臂疼痛)及Horner 征(一側眼上瞼下垂,皮膚潮紅不出汗)。如囊腫破入支氣管,病人先有陣發生咳嗽,繼而咳出大量透明黏液,內囊亦可隨之分離,如被咳出,痰液中可找到頭節,並發繼發性感染局部支氣管擴張者則症狀類似肺膿腫,出現高熱,咳膿痰和血等。囊液量大的,有發生呼吸困難和窒息危險,子囊及頭節外溢,能形成多個新囊腫。患者常伴有變態反應,如皮膚潮紅、蕁麻疹和喘息,嚴重的可休克。囊腫破裂感染的,有發熱、咳黃痰等肺部炎症及肺膿腫症狀。少數囊腫破入胸腔,則形成液氣胸,繼而成為膿胸或支氣管胸膜瘺,出現發熱、胸痛、氣短、支氣管痙攣和休克嗜酸性粒細胞增多症等變態反應。
多數患者無明顯陽性體徵,在病變區叩診呈濁音,呼吸音減低或消失。較大的囊腫可可壓迫縱隔,使氣管及心臟移位。在兒童可能出現胸廓畸形。並發有胸膜炎或膿胸的則有相應體徵。
疾病病因
肺包蟲囊腫六鉤蚴進入肺後,逐漸發育成包蟲囊腫,半年長大至1~2cm,由於肺組織疏鬆、血流循環豐富及胸腔負壓吸引等因素,六鉤蚴在肺內生長速度比在肝、腎內快,平均每年增長至原體積的1~2 倍,達2~6cm,囊腫最大的可達20cm,囊液重達3000g 以上。包蟲囊腫含有外囊和內囊。內囊是包蟲囊腫的固有囊壁,厚度僅1mm,壓力卻高達13.3~40.0kPa(100~300mmHg),易破。內囊又可分為內、外兩層,內層為生髮層,很薄,分泌無色透明囊液,產生很多子囊和寄生蟲頭節;如脫落於囊腔內,即成為包蟲沙。外層無細胞。多層次,半透明,乳白色,具有彈性,外觀酷似粉皮。外囊是人體組織對內囊的反應形成的一層纖維性包膜,包繞著整個內囊,厚3~5mm。內外囊間為潛在腔隙,無液體和氣體,也不粘連。肺包蟲囊腫80%為周邊型,右肺多於左肺,下葉多於上葉。右肺血流量略多,與肝臟較近,二者之間有較豐富的淋巴管相通,這可能是右肺多見的原因。囊腫多為單發,占65%~75%,多發者一般是2~3 個,一側或雙側,十多個的罕見,個別報告有多達100 個以上的。17%~22%並發其他部位囊腫,肺、肝並發的最常見,占13%~18%。
肺肺包蟲囊腫的病理改變除囊腫本身外,主要是巨大囊腫對肺的機械性壓迫,使周圍肺組織萎縮、纖維化或有淤血、炎症發生。>5cm 的囊腫即可使支氣管移位、管腔狹窄,或使支氣管軟骨壞死,進而破入支氣管。表淺的肺包蟲囊腫可引起反應性胸膜炎,巨大的囊腫還可能破入胸腔,大量頭節外溢,形成許多繼發性包蟲囊腫。位於中心的囊腫偶有侵蝕、穿破大血管致大出血的。少數包蟲囊腫有鈣化。如囊腫破向細支氣管,空氣進入內囊外囊之間,可形成多種X 線征。已有感染或破裂的囊腫可合併胸腔及縱隔膿腫或膿胸,肝包蟲囊腫破裂後可能與胸腔或肺、支氣管相通,形成肺包蟲囊腫-膽管-支氣管瘺。
病理生理
肺包蟲囊腫肝臟是最常見的感染部位,包囊50%~75%位於肝臟,20%~30%的病人有肺部感染。除肝臟和肺以外,最常見感染的器官還有:神經系統(腦)、心臟、骨骼、脾、眼、肌肉等,並產生相應症狀。多個臟器受累較為常見。
髓內包囊蟲病是一種嚴重感染,其壓迫脊神經引起截癱。MRI 檢查可清晰顯示包囊與脊髓的關係。
多房棘球絛蟲感染肝臟,表現為生長緩慢、破壞性包塊、伴有腹痛、膽道梗阻,且偶可轉移到肺、腦。沃氏棘球絛蟲主要累及肝臟,其表現為生長緩慢的包塊,次級囊腫較常見。
診斷檢查
診斷:主要根據:①曾在流行地區居住,有犬、羊等動物接觸史。②肺包蟲囊腫的X 線表現較典型,可見單發或多發邊緣銳利的囊腫陰影。③實驗室檢查:嗜酸性粒細胞增加,常在5%~10%,甚至可高達20%~30%,直接計數(0.15~0.3)×109/L。有時咳出物或胸水中能查到囊腫碎片及囊、頭節或小鉤。④其他診斷方法包括包蟲皮內試驗(Casoni 試驗),包蟲補體結合試驗,間接血凝集試驗等免疫方法。 目前有典型包囊蟲肝臟影像所見,但血清陰性的病人,對肺內塊狀陰影在X 線或超聲導引下經皮或經纖支鏡穿刺取活檢或細胞學檢查,但須注意,疑為包蟲囊腫的忌行囊腫穿刺,以免引致囊液外溢,產生變態反應或原頭蚴外漏造成肺包蟲囊腫播散等嚴重併發症。
實驗室檢查
肺包蟲囊腫2、嗜酸性粒細胞過敏試驗 有臨床意義。方法為皮下注射0.3ml 包蟲囊液30min 後抽血,若嗜酸性血細胞計數一過性減少(比注射包蟲囊液前降低0.1 以上)為陽性。
3、間接血凝法試驗(IHA) 特異性較高,陽性率可達80%。多用於標本的普查、篩選。
4、包蟲囊液皮內試驗(cosoni 試驗) 其陽性率可達90%~95%。
5、補體結合試驗 其陽生率可達70%~90%,此法的診斷價值較小,但對判斷療效有幫助。如手術1 年後補體結合試驗仍呈陽性,提示體內仍有包蟲囊腫存留。
6、對流免疫電泳(EIED) 用於對所有標本普查、篩選。
7、酶聯免疫吸附試驗(EICB)。
8、斑點酶聯免疫吸附試驗(BOT-EICB) 為確診性檢查手段。
免疫診斷學檢查對於診斷棘球絛蟲非常有用,聯合多項檢查結果是目前最有價值的血清學診斷,可在有創檢查前採用。上述免疫試驗主要用於檢測抗體,陽性率80%~90%,假陽性5%~10%,影響免疫反應的因素主要有抗原的特異及敏感不夠理想。假陽性反應可見於感染其他腸道寄生蟲病、癌症和慢性免疫疾病的病人,陰性結果不能除外棘球絛蟲病,因為一些包囊攜帶者不能監測到抗體,監測到免疫反應與幼蟲包囊的部位、完整性和活性有關。特別注意以下幾點:①肝內包囊比肺內包囊更易於激活抗體反應,如果忽略部位,抗體檢查對於完整的細粒棘球絛蟲包囊敏感性最差;②肺、腦、脾內的包囊血清診斷診斷率較低,而骨內包囊更易刺激抗體反應;③包囊瘺或破裂可刺激突發的抗體反應;④衰退、鈣化或死亡的包囊,血清學檢查常呈陰性。
其他輔助檢查
肺包蟲囊腫作為含液囊腫,立位透視吸氣時膈肌下降,頭、足徑稍增加,呼氣膈肌上升時,則橫徑稍長,上下稍短(“包蟲呼吸征”)。較大囊腫把肺紋理撐開,周圍的肺紋理呈條索狀包繞著囊腫的向肺門側(“抱球征”)。大囊腫可呈分葉狀或多環狀。下肺野的囊腫“坐在”膈肌上,使膈肌位置下降,甚至凹陷,有時須行人工氣腹以明確是否為胸內囊腫。上肺的大囊腫常把縱隔推向對側,在下葉的縱隔受影響少,而右肝頂部的巨大囊腫則明顯使心臟向左移位,這個特點有助於鑑別診斷。少數病例有肺不張及胸膜炎。
如囊腫小支氣管被侵犯穿透,少量氣體進入內外囊之間,則出現一些特殊X線征:①少量氣體進入內外囊之間,立位X 線攝片氣體上升至囊腫上部,局部有一弧形透明帶(“新月征”)。②如氣體進一步進入內囊,出現液平面,其上方見有代表內囊及外囊的2 個弧形陰影(“雙弓征”)。③當內囊破裂萎陷,皺縮的內囊浮於液面上,囊內液面上能見到不規則影(“水上浮蓮征”)。
如囊腫破裂,內容物咳淨,又未發生感染,胸片上表現為薄壁邊緣光滑的含氣囊腫。以後囊腔逐漸縮小,僅留有一些纖維化陰影。如囊腫破後發生感染,則囊壁增厚,周圍有慢性炎症出現的可見肺浸潤片狀影。如破入胸腔,有胸腔積液或液氣胸。
2、CT 或B 超檢查 可見包囊內有分隔結構是有活性包囊的特徵。肺部影像呈圓形包塊,CT 證實包塊內充滿液體,肝外包囊蟲病的血清學檢查陽性率低。根據包蟲囊腫的病理形態與併發症的影像特徵,結合臨床病理分類而劃分為5 型:
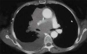
(1)、單髮型:由於包蟲囊內充滿水樣囊液,在B 超、CT 及MRI 成像皆呈邊緣整齊,呈現圓形或卵圓形孤立的液體占位陰影。其境界清晰、密度均勻、大小不等。一般為2~8cm,以右側及雙下肺多見。包蟲囊壁與肺組織密度差別較大,而呈現界限分明,光滑的囊壁。在較大的包蟲囊腫,其內、外囊壁間有潛在的間隙界面,可出現雙壁征。
(2)、多髮型:在肺內探到兩個以上具有包蟲囊腫特徵的影像,其間有肺組織或包蟲囊壁相隔。
(3)、鈣化型:病程較久的包蟲囊腫,其外囊肥厚粗糙並有鈣鹽沉積,甚至完全鈣化,則包蟲囊腫多已衰亡壞死,囊液呈膿性。包蟲囊密度高而不均勻、囊壁肥厚呈不規則,並伴寬大聲影及側壁聲影。CT 及MRI 顯示殼狀邊緣,CT 值>60HU。
(4)、感染型:包蟲囊內繼發感染成膿液,因囊及部分子囊壞死塌陷,混在膿液中,則密度增高,內含壞死組織呈現絮狀或點片狀強弱不均的陰影。CT 增強後,包蟲囊腫周圍組織CT 值增加而包蟲囊腫不增加。
(5)、破裂型:①外囊破裂與支氣管相通,少量空氣進入內、外囊之間,形成星月狀透亮影;②內外囊同時破裂,並與支氣管相通,空氣進入內外囊,則出現液平面。其上方有雙層弧的透亮帶,此徵象具有診斷價值;③內外囊完全破裂,內囊塌陷,漂浮於液平面上,使氣液面變得凹凸不平,如“水上浮蓮”也稱“水上浮蓮征”,此徵象為包蟲囊腫破裂的典型CT 表現;④若囊內液體部分被咳出,囊腔縮小,使囊壁摺疊時,其CT 值很高,並難與肺內實質性腫塊鑑別,若囊內容物完全咳出,可形成球形薄壁空腔;⑤肺包蟲囊腫並發感染後表現為囊壁增厚,如有支氣管胸膜瘺時,可引起液氣胸,也可因感染而形成膿胸或膿氣胸;⑥肺外包蟲囊腫,CT 發現肺包蟲囊腫,對診斷很有幫助,對肺包蟲囊腫,禁忌採用胸部穿刺術作為診斷方法,因為穿刺可引起囊液外滲而產生超敏反應或包蟲囊腫播散等嚴重併發症。
鑑別診斷
本病在臨床或胸部X 線表現上須與多種胸部疾病鑑別。與含氣液肺囊腫鑑別,困難不大,合併感染時應與肺膿腫、炎症、曲菌病等相鑑別,肺內血腫包括肺外傷性血腫和手術後血腫,臨床有胸部外傷史。如仔細分析,結合臨床病史,認真觀察病灶特點可做出正確診斷。在囊腫破裂有併發症的,臨床及X 線表現複雜較易誤診。須加鑑別的病有肺囊腫、肺癌、肺轉移瘤、肺膿腫、結核球、縱隔腫瘤、胸腔多種疾病引起的積液及心包囊腫等。上述一些病變大部分需手術治療,鑑別診斷不清的應開胸探查。
治療方案
手術治療根據囊腫大小、數目多少、部位、有無並發感染及胸膜是否粘連決定手術方式。手術方法主要有內囊摘除和肺葉切除。術中要點是防止囊腫破裂,囊液外溢入胸腔或胸壁軟組織,可起肺包蟲囊腫播散或變態反應。為了預防在手術時囊腫破裂、囊液溢入胸腔引起過敏性休克,可在術前靜脈滴注氫化可的松100mg 或地塞米松10mg。
手術方法:
1、內囊完整摘除法 開胸分離粘連後,因囊腫多在近周邊處,肺表面有時可見到覆蓋的纖維蛋白層。摘除前在肺周圍用紗布填滿覆蓋,僅露出準備做切口取囊部位,並準備好有強吸力的吸引器,便於囊腔意外破裂時及時吸出其內容物,避免污染胸腔。然後小心切開囊腫外包繞的肺纖維層,刀稍傾斜,免垂直接切入內囊。因內囊壓力較高,外囊切開一小口後,即可見白色內囊壁從切口膨出,延長切口,請麻醉師從氣管插管用力打氣,藉助肺壓把內囊腔推出。一般因內外囊間無粘連,可以把囊腔完整取下。內囊取出後,外囊上有細支氣管口漏氣,先用紗布堵上,然後縫合修補,其殘腔壁較多的可切除或內翻,然後縫合,完全消滅殘腔。
2、內囊穿刺摘除術 手術適應證為:①包蟲囊腫已明顯感染、出現併發症的,如:外囊破裂頂部有星月形透亮區;內外囊破裂,內有液平面;內外囊破裂,內囊陷落呈現水上浮蓮征;②基本功不紮實、操作不熟練的地區採取以上方法較為合適。在囊腫部位周圍用紗布嚴密保護好後,先用粗針穿刺,抽出囊腔內液體,然後切開外腔,把切口旁的外囊壁夾住提起,繼續把囊液吸盡,並把已塌陷的內囊夾出。殘腔用酒精紗布塗擦,或用過氧化氫沖洗以殺滅原頭蚴。過去常用甲醛塗抹,有進入支氣管漏口發生嚴重支氣管痙攣的可能,現已不用。殘腔中有支氣管漏氣要一一縫合,再從周圍至底部全層(較大的可分數次)縫合,消滅殘腔。
3、肺切除 用於囊腫已破裂,肺組織有嚴重感染,並發支氣管擴張、肺纖維化、膿胸、支氣管胸膜瘺或肺癌不能除外的患者。手術中如有可能最好先游離出支氣管,鉗夾住,避免術間擠壓肺組織時,囊腔破向支氣管,引起病變播散或窒息死亡。存在瘺氣外囊壁水腫或大囊腫致該葉肺組織嚴重壞死;局限於肺外葉囊壁或鈣化而不易塌陷的較大囊腫或囊腫繼發感染形成慢性厚壁膿腫等,可以考慮做肺部分切除術或肺葉切除術。
4、特殊類型肺包蟲囊腫的處理 如同時有肝及肺囊腫的,可以一次手術。雙側有病變的先處理病變較大或有併發症的一側,肺囊腫有支氣管胸膜瘺的,先閉式引流,待感染控制,體力恢復後再行肺切除。
預後及預防
預後:復發常見原因:①術中留下較小的包蟲囊腫;②術間囊液外溢,頭節脫落,移植復發;③再次感染,復發患者再次行肺切除,效果也多良好。
預防:在包蟲囊腫病流行區進行注意飲食衛生,飯前洗手和保護水源;調查掌握病變流行情況,對牧犬投驅蟲藥;加強對屠宰場管理等措施,可以降低發病率。
流行病學
肺包蟲囊腫2、包蟲囊腫的結構 包括外囊、內囊、囊液3 部分。外囊是宿主的免疫功能及臟器的屏障作用而形成的纖維結締組織包膜;內囊分角質層與生髮層;角質層是由生髮層細胞的分泌物形成,對生髮層起保護、支持、吸收營養及排出代謝廢物的作用。生髮層實際為棘球蚴囊體。囊液內有頭節、子囊、孫子囊等。
3、包蟲囊腫的演變 包蟲囊腫的生長速度因寄生部位不同而略有差異。一般在病程早期較快,病程久的包蟲囊腫活力減弱,增長減慢;逐漸衰老而停止生長。包蟲囊腫囊液呈鹼性而透明,合併感染時可形成膿腫,壞死吸收可發生鈣化。
4、顯微鏡下所見“棘球蚴砂” 把包囊的液體吸出後,會顯示出很多原頭蚴,大小約100μm,每個都有典型的小鉤。原頭蚴被放入鹽水中後,常表現為內陷形和外翻形。
5、生活史 細粒棘球絛蟲的成蟲長3~6mm,寄生在終宿主犬類的腸道內,妊娠節片向腸道內釋放卵,其隨糞便排出。在自然條件下蟲卵被中間宿主綿羊、山羊、豬、牛、馬、駱駝等食入,在小腸孵化,成為六鉤蚴,其穿過腸壁,通過循環系統轉移到不同臟器,布散至各處,肝約占60%,肺約占30%。除肝臟和肺以外,最常見感染的器官有腦、心臟、骨骼、脾、眼、肌肉等。在這些器官內,1 周的時間內形成包蟲囊腫,約5 個月,包蟲囊腫直徑可達1cm,包蟲囊腫大小在2~30cm,包蟲囊腫由外層的無細胞結構殼脂蛋白和內層(生髮層)的有細胞結構的生髮層構成,生髮層含有原頭節,可產生6~12 個原頭蚴或單個原頭蚴。六鉤蚴在逐漸增大的包蟲囊腫內發育,產生原頭蚴和包蟲囊腫內的子包蟲囊腫。通過食入含包蟲囊腫的中間宿主器官而感染終宿主,原頭蚴被攝入後,附著在腸黏膜上,在32~80 天內,發育為成蟲期。
多房棘球絛蟲長1.2~3.7mm,其生活史同上,但有以下不同:終宿主是狐狸、狗、貓、狼,中間宿主是小型嚙齒類動物。沃氏棘球絛蟲長達5.6mm,終宿主狗,中間宿主是嚙齒類動物,幼蟲期(在肝、肺和其他器官內)形成多發的包蟲囊腫。少頭棘球絛蟲長可達2.9mm,野貓是其終宿主,嚙齒類動物是中間宿主。人類食入蟲卵而被感染,在腸道內形成六鉤蚴,並在多個臟器(如:肺、心、腦、骨、肝等)發育成包蟲囊腫。
