病因
肺轉移瘤由身體其他部位的惡性腫瘤轉移而來,可以是血行播散、淋巴道轉移或鄰近器官直接侵犯。多見於絨毛膜癌、乳腺癌;還見於惡性軟組織腫瘤、肝癌、骨肉瘤和胰腺癌;也見於甲狀腺癌、腎癌、前列腺癌和腎胚胎癌等。
血行轉移最為常見,是腫瘤細胞經腔靜脈回流到右心而轉移到肺。瘤栓到達肺小動脈及毛細血管後,浸潤並穿過血管壁,在周圍間質及肺泡內生長,形成肺轉移瘤。淋巴道轉移由血行轉移至肺小動脈及毛細血管床,穿過血管壁侵入支氣管血管周圍淋巴結,癌瘤在淋巴管內增殖,形成多發的小結節病灶,通過淋巴管在肺內播散。腫瘤向肺內直接轉移的原發病變為胸膜、胸壁及縱隔的惡性腫瘤。
臨床表現
1.常見症狀
多數有原發癌的症狀。肺轉移瘤早期無明顯的呼吸道症狀。病變廣泛時,可出現乾咳、血痰和呼吸困難。並發癌性淋巴管炎、大量胸腔積液、肺不張或上腔靜脈壓迫時,呼吸困難明顯。繼發感染時有發熱。肺性肥大性骨關節病和杵狀指少見。轉移性鱗癌,可形成不典型的癌性空洞。生長較慢的轉移性乳腺癌,可形成瀰漫性肺纖維化。
肺轉移瘤早期呼吸道症狀輕或無。在常規X線檢查,或在根治性手術或放療後6個月到3年間復發時被發現。轉移發生在肺間質,為孤立性結節時,多無臨床症狀;轉移灶位於支氣管內膜,可出現呼吸道症狀。有肋骨轉移者,臨床常出現胸痛;支氣管黏膜受侵犯可出現小量咯血,絨膜癌肺轉移可發生大咯血。轉移瘤侵犯胸膜、主支氣管或鄰近結構時,可出現咳嗽、痰中帶血絲、胸痛、胸悶、氣急等。伴縱隔轉移時,可表現為音啞、上腔靜脈綜合徵、膈麻痹及食管或氣管壓迫症狀。腫瘤偶可引起急性肺栓塞,表現為進行性呼吸困難。
2.膿胸
受腫瘤的影響,患者免疫力低下,容易被感染。胸膜腔受致病菌感染則形成膿胸,出現胸痛、呼吸急促、發熱、脈快、食欲不振、全身不適等症狀。
3.心律失常
臨床表現為一種突然發生的規律或不規律的心悸、胸痛、眩暈、心前區不適感、憋悶、氣急、手足發涼、暈厥,甚至神志不清。少數患者可無症狀,僅有心電圖改變。
檢查
1.X線檢查
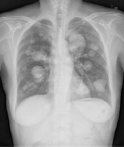
(1)血行肺轉移瘤X線提示 ①兩肺多發大小不等的球形病灶,邊緣光滑,密度均勻,多見於中下肺野。②兩肺廣泛瀰漫性粟粒狀陰影,邊界模糊。③單個較大的結節病灶,邊緣光整,呈分葉狀,密度均勻,最多見於結腸癌。④可發生空洞或鈣化,空洞以頭頸及生殖系統的鱗癌多見,鈣化多見於骨肉瘤、軟骨肉瘤。⑤可發生自發性氣胸,骨肉瘤或纖維肉瘤多見。⑥極少數表現為肺動脈高壓。⑦肺炎型轉移罕見,表現為片狀模糊影,乳腺癌多見。⑧支氣管轉移罕見,常見於腎癌和結腸,表現為支氣管狹窄及阻塞徵象。
(2)淋巴轉移X線提示 ①縱隔、肺門淋巴結腫大。②肺紋理增粗,沿肺紋理見纖細的條狀影伴細小結節或網狀影。③常見間隔線(KerleyA線和B線)、葉間裂亦增厚。④胸腔積液。
(3)直接蔓延X線提示 ①病變主要位於縱隔、胸壁或橫膈。②肺不同程度受侵犯。
2.CT檢查
CT是發現小轉移灶或評價縱隔轉移的最有效的方法。結節多見於下葉的外1/3,距胸膜表面3厘米以內。空洞、鈣化更易發現。高分辨力CT薄層掃描顯示肺間質呈網狀改變,伴細小結節,小葉間隔不規則增厚。
3.MRI檢查
肺轉移瘤通常不用MRI檢查,但MRI有助於識別原發灶。
診斷
肺轉移瘤初期大多無症狀或症狀不明顯,少數病例有咳嗽、血痰、發熱和呼吸困難等症,需要通過輔助檢查才能發現和確診。
鑑別診斷
肺轉移瘤的特點是變化快,腫瘤增大、增多迅速,在原發腫瘤切除或放療、化療後,有時可縮小或消失。特殊的肺轉移瘤應與下列疾病相鑑別:
1.結核球
常單發,有空洞,呈厚壁裂隙樣,可見局限弧形、環形或瀰漫性斑點狀鈣化,與肺門間有索條狀陰影相連,附近肺野有衛星灶。
2.金黃色葡萄菌肺炎
主要表現為起病急,症狀重,高熱,可出現氣液平面等,病情變化快。
3.囊狀支氣管擴張
典型表現為咯血,病灶沿支氣管分布,呈葡萄串樣。
4.肺黴菌病
無典型表現,需結合病史或痰檢,與轉移瘤鑑別。當病變出現典型空氣新月征時,病變已進入中晚期或吸收期。
5.空洞
少見,較原發肺癌發生率低,多為鱗癌轉移。化療也可導致空洞形成。空洞的發生機制是腫瘤壞死或向支氣管內侵犯形成活瓣所致,以不規則厚壁多見,肉瘤或腺癌的肺轉移可為薄壁空洞。肉瘤轉移可伴有空洞,但常合併有氣胸。
治療
目前標準的治療手段是多發性肺轉移瘤切除術。如果沒有其他部位的轉移,手術切除可以達到根治的效果。許多腫瘤對於化學治療和放射治療均不敏感,如軟組織肉瘤肺轉移,手術是最重要的治療手段。患者術後5年生存率預計超過三分之一。
對少數病例肺部僅有單個轉移結節,或雖有幾個轉移灶但均屬限於一個肺葉或一側肺內,原發腫瘤經治療後已得到控制,無局部復發,身體其他部位未發現轉移病灶,全身情況好,應考慮手術治療。肺切除術的範圍應儘量保守,僅作楔形、肺段或肺葉切除術。術後按腫瘤的病理診斷給予抗腫瘤藥物治療。有的病例術後數月或數年肺部又出現新的孤立性轉移病灶,只要其他器官組織仍無轉移則可再次作肺切除術。
外科治療不適合兩側肺出現廣泛轉移的患者。
預後
肺轉移瘤切除術後患者肺結節數量少,有較長的無瘤生存期。不同惡性腫瘤的肺轉移瘤表現不一,生存期也不相同。最重要的預後指標是肺轉移瘤完全切除。如果轉移病灶能夠全部切除,避免併發症發生,儘量保留肺組織,那么就能獲得長期緩解和生存。

