腦內轉移瘤身體其他部位的惡性腫瘤轉移到顱內。雖然在發生率上,腫瘤的顱內轉移不如肝臟和肺臟轉移多見但是顱內轉移瘤的臨床表現卻明顯和嚴重沒有治療者多迅速致死。在死於全身癌腫者中,1/4有顱內轉移這一數字比死於原發性中樞神經系統的惡性腫瘤者高9倍以上。近年來由於診斷技術的提高對惡性腫瘤採用綜合治療,使顱腔外其他髒器原發性腫瘤的治癒率和緩解率顯著提高可是顱內轉移瘤發生率和致死率仍較高。因此,提高對本病的認識及時而有效地診治病人具有重要的意義。
流行病學
顱內轉移瘤的發生率因不同時期不同人群、不同檢查方法等有很大的差別。臨床報導的發生率在20世紀50年代以前為3.5%~4.2%隨著診斷方法改進和人類壽命的延長,癌症病人的生存率得到增加顱內轉移瘤的發生率也相應增加現在一般估計顱內轉移瘤的發生率為20%~40%。屍檢發生率要比臨床發生率準確且較高,前者為12%~37%,後者為10%~20%。在神經外科單位,腦轉移瘤占腦瘤手術總數的比例也在增加,從5%~11%(20世紀40年代)增達12%~21%(20世紀60年代)在各種腫瘤中,肺癌、胃腸道癌、乳腺癌致死數和發生於顱內、腦內轉移數最多,以每種腫瘤發生顱內和腦轉移的頻率看,依次為黑色素瘤、乳腺癌和肺癌。
與全身腫瘤一樣,顱內轉移瘤好發於40~60歲,約占2/3。兒童的顱內轉移瘤異於成人,實體性腫瘤的顱內轉移率僅為成人的1/4~1/2。好發於顱內轉移的原發腫瘤依次為白血病、淋巴瘤、骨源性腫瘤橫紋肌或平滑肌肉瘤、類癌瘤、腎肉瘤卵巢癌等。男性多見於女性,性別之比為2.∶1。
病因
近年來對腫瘤轉移的分子生物學機制研究十分活躍。腫瘤轉移由一系列複雜的生物學事件組成,大致經過以下過程:①基因活化、擴增、缺失或抑制基因失活;②新生血管形成;③細胞惡性增殖;④逃避宿主免疫攻擊;⑤耐受藥物治療;⑥腫瘤表達和活化轉移相關基因而發生侵襲;⑦腫瘤細胞通過黏附分子蛋白酶活力變化及細胞運動實現在轉移部位分泌生長、血管生成因子而克隆化生長。目前已發現,腫瘤細胞的侵襲和轉移能力主要與異常的細胞“社會”功能有關,與細胞的“看家”功能異常關係不明顯,細胞“社會”功能異常主要由細胞表面參與其功能的各類糖蛋白分子的糖基化異常所引起這種異常包括許多類型其中以細胞表面N-連線型糖鏈β1,6分支天線的形成最常見。大量研究證實腫瘤細胞的侵襲行為很大程度上是由細胞表面形成過量的β1,6分支,進而產生多天線的N-糖鏈結構,從而改變了糖蛋白分子的生物學形狀,使腫瘤細胞黏附功能發生異常,增加了腫瘤細胞的轉移潛能。
發病機制
CT檢查血行播散和直接浸潤是兩條主要的顱內轉移途徑,淋巴轉移和腦脊液轉移較少見。
1.直接浸潤 頭顱外圍和臨近器官組織,如眼、耳、鼻咽、鼻旁竇頭面、頸部軟組織等均為原發和繼發腫瘤的好發部位,常見有鼻咽癌、視網膜母細胞瘤頸靜脈球瘤,它們可直接浸潤破壞顱骨、硬腦膜,或經顱底的孔隙達腦外表面的實質。顱底孔隙中的神經和血管周圍,結構疏鬆,易於腫瘤細胞侵入,有的孔隙不僅其骨膜與硬腦膜相續,而且與蛛網膜下腔相通,如眼和眼眶。腫瘤細胞侵入顱內後,或在蛛網膜下腔隨腦脊液廣泛播散,或深入腦內的大血管周圍間隙侵入腦實質
2.血液轉移 大多數腫瘤細胞向腦內轉移是通過血液途徑,其中最多是通過動脈系統,少數腫瘤可通過椎靜脈系統向顱內轉移。原發腫瘤生長到一定體積後新生血管長入腫瘤細胞浸潤小血管多為靜脈,隨血液回流至心臟,再經頸動脈和椎動脈系統向顱內播散常見經血液轉移的原發腫瘤為肺癌(12.66%)、乳腺癌(16.96%)、絨毛膜上皮癌(8%)、黑色素瘤(7.98%)、消化道癌(7.68%)、腎癌(7.66%)、其他(12%)和不明者(12.06%),由於中國乳腺癌和前列腺癌的發生率較西方國家低,而絨毛膜上皮癌發生率較西方國家高,因此中國顱內轉移瘤中絨毛膜上皮癌僅次於肺癌,居第2位。肉瘤腦轉移少見,只占7%這與肉瘤和癌的發生率之比為1∶10有關。在淋巴造血系統腫瘤中,以白血病較多見其顱內轉移率與肺癌相近。
3.腦脊液轉移和淋巴轉移 一些腦和脊髓腫瘤尤其是室管膜瘤和分化較差的膠質瘤,可沿蛛網膜下腔播散而種植,常發生在腫瘤切除術後或活檢術後。頭顱外圍和臨近部位的惡性腫瘤可借顱腔周圍的淋巴間隙進入腦脊液或椎靜脈叢,進一步發生顱內轉移。
4.轉移瘤的部位
(1)腦實質:轉移瘤大多數發生在大腦中動脈供血區,這是由於頸內動脈較椎動脈管徑粗,且大腦中動脈是頸內動脈的自然延續、管徑較粗血供較豐富之故,最常見轉移部位為額葉、依次為頂葉、顳枕葉,可同時累及2個以上腦葉甚至可同時累及雙側大腦半球這些轉移瘤常見於皮質與白質交界處,這是由於大腦皮質的血供是皮質下白質的3~4倍,因而在解剖結構上供血動脈在皮質-白質交界處突然變細,轉移性癌栓大多被阻於此而易於在此轉移生長。臨床上常見來自於肺、子宮等部位。其他還可轉移到丘腦經椎-基底動脈系統轉移的大多見於小腦半球,也可至腦幹。
(2)軟腦膜和蛛網膜:常見於急性白血病、非霍奇金氏淋巴瘤、乳腺癌等的轉移。基底池、側裂池最常受累表現為蛛網膜增厚,呈灰白色不透明,有點狀出血和瘤結節散布。有時腦室內脈絡叢和腦室壁上也見腫瘤細胞沉積。
(3)硬腦膜:常見於前列腺癌、乳腺癌、惡性淋巴瘤、黑色素瘤等的轉移。由於硬腦膜與顱骨解剖上毗鄰,故常有相應處顱骨的轉移,可有增生或破壞當硬腦膜轉移累及大的靜脈竇或腦神經時可引起明顯臨床症狀,是兒童轉移瘤的常見類型。
5.原發腫瘤的病理類型 了解原發腫瘤的不同病理類型對於指導放療及化療具有重要意義,其中腺癌是最常見的原發病病理類型,這是由於肺癌占顱內轉移瘤的首位,而其中的腺癌最具轉移性所致;當然消化道等部位的腺癌類型也可以轉移到顱內,其他常見類型為鱗癌、未分化癌、乳頭狀癌、肉瘤等。
6.轉移瘤的病理特點及類型 腦轉移瘤大多為多發性,呈多結節性,Harr等屍檢報告多發者占75%,但在臨床實際工作中並非如此,這由於現有檢查手段還無法檢查出很小的病變,因其很小而無臨床表現使一部分患者不就診。依其病理特點可分為以下兩大類:
(1)結節型:這是最常見的類型,病變大小差異很大,大者直徑可達10cm以上小者常常肉眼無法看見又可分為單發和多發,多發者常常是由於瘤細胞分次或經不同的動脈系統同時進入腦內所致。腫瘤常呈球形,邊界清楚,初始在白質與皮質交界處生長後逐漸長大,內向白質生長,外可侵及硬膜,生長速度常較快,若伴有出血或囊性變可急劇起病,臨床症狀明顯腫瘤質地軟硬不等,血運不豐富,可呈紫色,也可為灰黃色或灰紅色,腫瘤較小時常呈實體性若長大且生長快常有中心部分囊性變甚至出血,囊腔內含有黃色淡紅色或咖啡色液體,個別呈膿性,腫瘤周邊水腫明顯致使邊界相對清楚,其水腫程度可與腫瘤種類、腫瘤血管的數量和通透性、局部代謝及腫瘤細胞分泌的液體有關,也可與腫瘤的轉移機制動脈血供的特殊性以及大腦上靜脈解剖上的特殊性有關但水腫與腫瘤的惡性程度沒有明顯關係。顯微鏡下腫瘤組織之間邊界不清,瘤細胞巢常沿血管外膜及腦組織向四周浸潤,周圍組織水腫、軟化及膠質增生。其組織特點與原發瘤的特點相一致,明顯者可由此而推斷出原發瘤,以指導臨床尋找原發灶加以治療。但在分化程度較低者並不能明確原發病灶,常與臨床上的膠質瘤特點相混,若出現腺瘤樣或乳頭狀結構可能誤診為室管膜瘤。但轉移瘤有其本身固有的特點如癌細胞常單個散在於正常神經細胞、炎症灶或凝固性壞死背景中,邊界清,核增大有異型性核漿比值增加,核膜明顯核仁變大,染色質呈網狀,胞質內還可出現空泡等。
(2)瀰漫型:較少見。可單獨存在或與結節型同時存在,常為全身系統性疾病所致表現為腦膜廣泛種植,累及軟腦膜、蛛網膜,使之普遍增厚呈灰白色、不透明,有時有點狀出血和瘤結節散布,顯微鏡下可見硬膜上有瘤細胞浸潤。
臨床表現
1.起病方式 急性起病占40%~60%,首發症狀分別為癲癇(12%~20%)、卒中(10%)、蛛網膜下腔出血(1%)、感覺異常(10%)、語言障礙(1%)、動眼神經麻痹(2%)以及舞蹈樣手足徐動、尿崩、眩暈等。慢性進行性起病占50%~60%,首發症狀為頭痛(23%~60%)、精神障礙(9%~50%)。
腦內轉移瘤2.病程 急性進展約占46.6%常卒中樣起病,在1~2天內迅速昏迷和偏癱,病情進展惡化病程一般不超過2周,多見於絨毛膜上皮癌、黑色素瘤腦轉移伴出血、多發性腦轉移瘤、癌栓塞或腦血管急性受壓以及轉移灶位於重要功能區。中間緩解期約占21.4%。即急性起病後經過一段時間的緩解期,顱內占位症狀再次出現並進行性加重。其原因可能是癌栓塞引起急性起病後由於血管運動障礙逐步減輕或出血吸收,臨床表現逐步得到緩解,以後由於腫瘤體積增大和伴隨的腦水腫使症狀再次加重。中間緩解期一般為1周至數周,個別可長達4年或8年。少數病人可表現為TIA樣發作,歷時數周或數月。進行性加重約占32%表現為急性起病或慢性起病,並呈進行性加重,歷時3~4個月。
腦轉移瘤的臨床表現類似於其他顱內占位性病變,可歸結為:①顱內壓升高症狀;②局灶性症狀和體徵;③精神症狀;④腦膜刺激症。臨床表現因轉移灶出現的時間、病變部位、數目等因素而不同有的病人在發現原發腫瘤的同時即可出現腦轉移瘤的症狀,但常見的是腦轉移瘤的症狀遲於原發腫瘤。
(1)顱內壓升高症狀:頭痛為最常見的症狀也是多數病人的早期症狀,常出現於晨間開始為局限性頭痛,多位於病變側(與腦轉移瘤累及硬腦膜有關),以後發展為瀰漫性頭痛(與腦水腫和腫瘤毒性反應有關),此時頭痛劇烈並呈持續性,伴噁心嘔吐。在病變晚期,病人呈惡病質時頭痛反而減輕。由於腦轉移瘤引起的顱內壓增高發展迅速,因此頭痛和伴隨的智力改變、腦膜刺激症明顯,而視盤水腫、顱內高壓變化不明顯。
(2)常見體徵:根據腦轉移瘤所在的部位和病灶的多少,可出現不同的體徵。常見有偏癱、偏身感覺障礙、失語、腦神經麻痹、小腦體徵、腦膜刺激症、視盤水腫等。體徵與症狀的出現並不同步,往往前者晚於後者定位體徵多數在頭痛等顱高壓症狀出現後的數天至數周始出現。對側肢體無力的發生率僅次於頭痛,居第2位。
(3)精神症狀:見於1/5~2/3病人,特別見於額葉和腦膜瀰漫轉移者可為首發症狀。表現為可薩可夫綜合徵痴呆、攻擊行為等。
(4)腦膜刺激症:多見於瀰漫性腦轉移瘤的病人,尤其是腦膜轉移和室管膜轉移者。有時因轉移灶出血或合併炎症反應也可出現腦膜刺激症。
(5)癲癇:各種發作形式均可出現,見於約40%的病人,以全面性強直陣攣發作和局灶性癲癇多見。早期出現的局灶性癲癇具有定位意義,如局灶性運動性癲癇往往提示病灶位於運動區,局灶性感覺發作提示病變累及感覺區局灶性癲癇可連續發作,隨病情發展,部分病人表現全面性強直陣攣發作肢體無力。多發性腦轉移易於發生癲癇發作,但能否根據發作的多形式推測病灶的多發性,尚有不同意見。
(6)其他:全身虛弱、癌性發熱為疾病的晚期表現,見於1/4病人,並很快伴隨意識障礙。
併發症
如進行手術治療可能出現以下併發症:
1.顱內出血或血腫 與術中止血不仔細有關,隨著手術顯微鏡的套用及手術技巧的提高,此併發症已較少發生。創面仔細止血,關顱前反覆沖洗,即可減少或避免術後顱內出血。
2.腦水腫及術後高顱壓 可用脫水藥物降低顱內壓,糖皮質激素減輕腦水腫。對於病變範圍廣泛或惡性程度高的腫瘤可儘可能多切除腫瘤及非功能區腦組織行內減壓,同時去骨瓣外減壓
3.神經功能缺失 與術中損傷重要功能區及重要結構有關,術中儘可能避免損傷,出現後對症處理。
診斷
對已有顱外腫瘤病史,近期又出現顱內壓增高及局灶性症狀者應高度懷疑顱內轉移瘤需行頭顱CT掃描,一般診斷並不困難。對於無此病史,年齡在40歲以上出現顱內壓增高症狀和神經系統定位體徵,並且症狀進展明顯者,應高度懷疑顱內轉移瘤在行頭顱CT掃描後應注意尋找原發病灶,以進一步明確診斷。對於有輕微症狀而行頭顱CT掃描,通過CT表現懷疑為轉移瘤者,也應根據原發腫瘤好發部位首先行胸部X線片檢查必要時行支氣管鏡檢查和胸部CT掃描,還可根據情況有針對性地進行腹部B超、腹部CT、消化道鋇餐、直腸檢查、婦科B超等檢查以儘可能明確診斷有利於治療。必要時行頭顱MRI檢查以便從影像學上儘可能做出定性診斷。即便如此仍有相當一部分患者在做完顱內手術後仍不能確定腫瘤是否為轉移,只好根據術中情況及病理檢查結果來儘可能推斷腫瘤來源,再做出相應的檢查,確定原發腫瘤部位。對單發腫瘤術後仍不能確定腫瘤來源的,應密切觀察隨時可能出現的一些症狀以指導診斷。在神經影像學檢查手段日益發達的今天,除應全面掌握病史及仔細查體外,應努力提高從CT和(或)MRI影像上確診轉移瘤的水平。對於轉移瘤位於皮層下多發、伴隨明顯腦水腫的病例,診斷並不困難;應提高對單個、腦水腫不明顯轉移瘤病例的診斷水平。
鑑別診斷
腫瘤外觀1.腦原發性腫瘤 根據病史,特別是晚期全身癌腫患者出現顱內占位時,一般不難鑑別,必要時可作CT等檢查。良性腦原發性腫瘤有其自身特點,易於鑑別。惡性腦膠質細胞瘤,有時難與本病鑑別,需藉助活檢。表淺的腦膜轉移瘤須與小的腦膜瘤鑑別,後者往往沒有明顯症狀和瘤周腦水腫。有顱骨破壞者,尚需與腦膜瘤或顱外病變引起的顱骨改變相鑑別但是某些腦原發性腫瘤少見情況下可伴有腦轉移瘤,此時明確鑑別是不可能的。文獻報導的原發性腦瘤多為良性如腦膜瘤、聽神經瘤、垂體瘤等,偶為星形細胞瘤。腦轉移瘤多見於乳腺癌和肺癌這與腦轉移瘤的一般規律符合,乳腺癌和肺癌為女性和男性常見的腫瘤,均傾向中樞神經系統轉移。這種瘤的轉移機制沒有明確的解釋,可能因為良性腦瘤好發年齡與腦轉移瘤相近,良性腦瘤存活期較長和有較豐富血供及嬌嫩的腫瘤間質,這些為轉移瘤提供了有利條件。
2.腦膿腫 根據病史和必要的輔助檢查不難與腦轉移瘤鑑別,但少見情況下癌症患者可因下列因素髮生腦膿腫,在診斷時要注意:
(1)癌症患者全身抵抗力和因長期使用激素導致免疫功能下降易發生細菌或真菌感染。
(2)顱內或顱底轉移瘤因放療或手術治療造成顱內外交通,便於細菌入侵。
(3)原發或繼發肺癌者常有支氣管阻塞,引起肺膿瘍,從而導致腦膿腫。
3.腦梗死或腦出血 屍檢發現15%全身癌腫患者伴有腦血管病,出血性和缺血性各半,其中半數生前可有症狀,4%~5%為腦內血腫,1%~2%為硬膜下血腫。出血原因多為凝血機制障礙或血小板減少。單純從臨床和CT表現來區別轉移瘤和腦卒中,有時很困難,特別是轉移瘤內出血,如黑色素瘤、絨毛膜上皮癌、支氣管肺癌和腎上腺腫瘤出血者由於出血常來自小血管,血腫沿神經纖維擴展,使後者發生移位而非破壞,如及時清除血腫,神經功能可望恢復所以手術不僅可以挽救病人的生命,而且能明確診斷和獲得良好的生存質量因此,對臨床診斷不明者,應及時開顱
4.腦豬囊尾蚴病 須與多發性腦轉移瘤鑑別。腦囊蟲病患者多有疫水接觸史,典型CT和MRI表現腦實質內多發性散在圓形或橢圓形、局灶性囊腫,大小不等囊內有小結節。小結節的密度或信號可增強,如不增強則為鈣化灶。病灶周圍有輕度或無腦水腫。由於血清學檢查不可靠,對可疑病人可予試驗性囊蟲藥物治療,並以CT和MRI隨訪可提高檢出率。
術後注意事項
1、腦膠質瘤術後發熱及護理腦膠質瘤術後出現發燒高熱原因可能是手術後發生的中樞性高熱,其次是因手術後肺部、泌尿系或顱內感染等造成的感染性高熱。由於丘腦下部受損致丘腦功能紊亂,手術後高熱呈稽留熱,是中樞性高熱的表現,用抗生素及解熱劑(如乙醯水楊酸等)一般無效,這是因為體溫調節中樞受損,解熱藥難以對其產生影響,所以不產生降溫的臨床效果,但用氯丙嗪及冷敷會比較有效。嚴密監測體溫變化,採用綜合措施,及早儘快、安全、有效降溫。
2、腦膠質瘤術後意識障礙及護理
意識障礙主要是丘腦下部受損或顱內壓增高引起。在觀察護理上應密切注意神志的改變,觀察患者的表情與姿勢,並通過語言刺激,定時喚醒患者作簡單的對話,如無反應則進一步行疼痛刺激,即壓迫眶上神經或用手捏胸大肌外側緣等方法觀察患者的反應。
此外,腦膠質瘤術後一旦發現癲癇發作,首先應解除呼吸道阻塞。保持呼吸道通暢,同時充分給氧,防止腦組織缺氧。如有舌墜,套用舌鉗將舌頭拉出,並使患者頭偏向一側,以防嘔吐物誤吸而發生窒息。氣管內分泌物增多,應充分吸痰,有大小便失禁者,要及時更換床單,保持床鋪乾淨整潔。
3、腦膠質瘤術後進食障礙及護理
腦膠質瘤患者因很難正常攝取營養,機體又處於高分解代謝狀態,故易發生營養不良。病人在病程3~7d開始,採用鼻飼或深靜脈插管提供營養的方式。鼻飼早期胃管注入混合奶50~100ml,1次/8h,適應後100~200ml,1次/6h。採用的食物配方為:奶粉、新鮮雞蛋、食鹽、麻油及魚湯、肉湯、米湯、菜湯及新鮮果汁。應激期的能量供給為200kj,恢復期的能量供給為167kj。同時做好管道的護理。鼻飼前給病人翻身、拍背、吸痰,抬高床頭30~40°後再行管飼,這樣可以預防誤吸。 腦膠質瘤術後需要注意哪些事項?
4、神經膠質瘤術後顱內壓增高及應對措施
顱腦處於由顱蓋骨和顱底骨圍成的大緻密閉的空間內,由於腫瘤逐漸增大,並常伴有周圍腦水腫,形成顱內占位病變,當超過代償限度時,即產生顱內壓增高。腫瘤逐漸增大,壓迫、侵襲腦內神經細胞或神經傳導纖維,或與之爭奪血液供應,就會造成受侵腦組織的功能障礙,表現出一系列的諸如偏癱、麻木、失語、視力減退、走路不穩等臨床症狀,甚至惡化導致死亡。
因此,腦膠質瘤患者術後應密切觀察患者情況,出現異常則由靜脈輸給高滲降顱內壓藥物,以暫時緩解病情,尚缺乏有效療法時,則可選擇如腦室外引流術、減壓術、腦脊液分流術、內減壓術等姑息性手術來緩解增高的顱內壓。
檢查
瘤細胞實驗室檢查:
腰椎穿刺絕大多數顱內轉移瘤不應採取此種檢查方式,常用於確定急性白血病、非霍奇金氏淋巴瘤等是否發生了顱內轉移,腦脊液查見瘤細胞後可用於指導臨床治療
其它輔助檢查:
1.頭顱X線片 常用於已發生顱骨轉移患者,對出現顱內壓增高徵象特別是有松果體移位者更有助於診斷
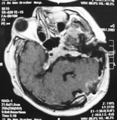
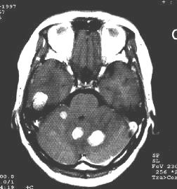
2.CT檢查 CT是目前診斷顱內轉移瘤的首選檢查手段,不僅在大多數情況下能發現腦轉移瘤,還能顯示轉移瘤的形狀大小、部位、數目、伴隨腦水腫及繼發腦積水和中線結構移位程度。CT顯示轉移瘤大多位於皮層或皮層下,圓形或類圓形,呈現低密度等密度、高密度或混雜密度。也可是囊性腫塊,囊腔內可有結節,伴有出血時可顯示出高密度區或液平面。若腫瘤生長快,可顯現出腫瘤中心部分的壞死及囊性變。周圍伴有明顯的低密度指狀水腫,鄰近側裂池或腦池受壓變小或消失,同側側腦室受壓變形、移位,移位明顯者可造成腦幹周圍池部分或全部消失此時患者病情常常很嚴重。強化後可顯示腫瘤呈環狀均勻或團塊狀強化,強化明顯者常提示腫瘤血供豐富,出血明顯者可掩蓋原有徵象易與腦出血混淆。環狀強化者可與腦膿腫混淆。位於顱後窩者常引起較明顯的梗阻性腦積水,四腦室受壓移位明顯,顱後窩特別是接近顱底病變由於偽影的影響常不易顯示,只能根據間接徵象推斷。丘腦及腦幹的轉移瘤常無明顯的腦水腫。水腫的程度與腫瘤惡性程度無明顯關係。CT骨窗位可清楚顯示顱骨受累情況。硬腦膜外轉移者,可見沿顱板下呈梭形或新月形高密度等密度病變。瀰漫型轉移者可見基底池、橋小腦角池等部位高密度影。
另外,不同病理類型的轉移瘤有其特有的CT表現。如肺腺癌和小細胞未分化癌轉移通常為高密度結節或環狀病變,有均一強化,水腫明顯。鱗癌通常為類圓形低密度腫塊,並有薄的環狀強化半數為單發。
3.MRI檢查 MRI檢查不僅能進一步提供轉移瘤的影像學固有特點還能發現多個病變而易於診斷。因為MRI比CT能發現更小的腫瘤,且多發性病灶為轉移瘤的特點。對於顱後窩及近顱底的病變由於去除了骨質的偽影而易於檢出。典型的轉移瘤表現為長T1、長T2信號,周邊有更長信號的水腫帶由於T2加權像上水腫常呈明顯長T2信號,因此比T1加權像更易於發現病變,特別是易於發現較小的病變。有些具特徵性的轉移瘤的T2加權像上可表現為等信號或略低信號。MRI可清楚顯示轉移瘤鄰近的腦回及重要結構受累情況有助於指導手術入路,瘤內有出血者可顯示出不同時期出血的特有MRI表現由於血-腦脊液屏障的破壞,轉移瘤可表現為明顯強化。對瀰漫型引起腦膜轉移者可清楚地看出腦膜的增厚而易於檢出。
相關檢查:
> 腦脊液
治療
腦內變化1.治療原則
(1)採用綜合治療,重視一般治療:綜合治療優於單一治療,有助於提高療效,延長生命。重視一般治療,為手術和放療等為主的綜合治療提供條件
(2)根據病程和病情確定是先治療腦轉移瘤還是原發腫瘤。
(3)根據腦轉移瘤患者的具體情況選擇治療方案。
(4)定期隨訪原發癌腫的器官及其他器官,觀察原發癌腫和轉移灶的治療情況,並監測新轉移灶。若出現新腦轉移灶,應根據具體情況進一步選擇合適的治療方案。
2.常用治療措施 包括類固醇激素、外科手術、放療立體定向放射外科、腫瘤內治療和化療等,隨著神經外科、放射診斷技術和治療的進展,顱內轉移瘤的療效和預後均有改善,手術後1年生存率得到了提高,如果術後加以放療和(或)化療,1年生存率更高。應根據每個病人的具體情況選擇理想的治療措施。目前,手術結合術後放療的觀點已被眾多人接受,聯合治療已展示了可喜的治療前景,但應看到這些治療只不過是一種姑息療法,僅8%~10%找不到原發腫瘤者可獲得根治。
開顱轉移瘤切除術:近年來積極有效的切除顱內轉移瘤是所有臨床工作者的共識,如何選擇適應證關係到病人的預後①病人全身情況良好,無其他重要器官禁忌證能耐受全身麻醉者②病變為單一位於可切除部位,且估計患者術後不會引起明顯的併發症如偏癱、失語或昏迷等。③原發病灶已切除而無復發或原發灶雖未切除,但可切除,且顱內壓增高症狀明顯需先行開顱手術切除減輕顱內壓增高症狀者。④因腫瘤卒中或囊性變導致肢體癱瘓,甚至昏迷者,開顱手術儘可能挽救患者生命。⑤單個孤立性病變,不能明確診斷者應手術切除,確定是否為轉移瘤積極的開顱手術切除顱內轉移瘤可延長患者生命,應創造條件,最大限度地予以治療。
由於患者一般情況差不能耐受手術或是多個病灶,不能套用一個切口手術切除者可施行姑息性手術治療可行開顱減壓術或囊腔穿刺抽吸術,前者是最大限度緩解顱內壓增高,但效果不很理想;後者適用於囊性轉移瘤患者,可採用快速細孔鑽顱方法穿刺囊腔放出囊液手術簡便易行也可為X-刀或γ-刀治療創造條件。
轉移瘤患者往往病程較短且伴有明顯的腦水腫,使顱內壓增高症狀出現較早且明顯,因此,套用藥物治療緩解顱內壓增高症狀顯得異常重要,臨床上常用20%甘露醇和激素治療,根據症狀的輕重,可做出不同的選擇。
由於X-刀和γ-刀的套用和發展使得顱內轉移瘤的治療手段又進一步拓寬了。其適應證主要是:①患者全身情況差,不能耐受開顱手術②轉移瘤位於重要功能區,手術會造成嚴重併發症,影響生存質量。③多個轉移瘤無法一次手術切除者,或開顱術後又出現其他部位轉移瘤,或患者不願行手術治療者,或開顱將主要轉移瘤切除對不易同時切除腫瘤進行輔助性治療。由於X-刀和γ-刀本身的局限性最好能選擇直徑在3~4cm以下的實質性腫瘤,囊性病變者可先穿刺抽吸囊液後再行治療
放射治療是對術後患者的一個很重要的補充,對於不能手術的患者也可予以進行。因為顱內轉移瘤以血行轉移最為常見,瘤栓可廣泛存在於腦血管或腦內放射可進一步殺滅這些瘤栓。常用60Co或8MVX線治療。放療期間可套用脫水藥物及激素治療減輕放療反應,一般認為單次放療劑量必須高於40Gy才有效。
由於血-腦脊液屏障的作用,化療不是一種有效的手段。而放化療可優於任何單一的治療措施,放療可影響血-腦脊液屏障為化療藥物進入顱內打開通道,提高了腫瘤區域的藥物濃度,從而改善療效及預後;另一方面,化療可殺滅顱外原發病器官的亞臨床病灶,控制可見腫瘤灶的發展,與放療協同作用,改善預後。化療藥物應根據不同的病理類型予以選擇,如腺癌可選用洛莫司汀(CCNU)加CMF、環磷醯胺(CTX)、甲氨蝶呤(MTX)或氟尿嘧啶(5-FU)方案,鱗癌可選用洛莫司汀(CCNU)加POD(PYM、VCR、DOP)方案。
預後
腦轉移瘤預後較差。有資料顯示不治者平均生存期為4周,病人多死於顱內高壓引起的腦疝和腦幹受壓。影響腦轉移瘤病人生存的因素較多,主要有:①全身狀況;②有否顱外其他部位轉移;③腦轉移的潛伏期,潛伏期長者多有一定的抗病能力,預後較好;④病灶全切較部分切除或活檢者好;⑤聯合治療較單純一種治療好;⑥原發腫瘤的治療情況;⑦腫瘤的病理性質非肺癌(乳腺癌、甲狀腺癌卵巢癌、腎癌、黑色素瘤)腦轉移的生存期較肺癌腦轉移者長,肺癌中又以未分化癌和腺癌較鱗癌差。
