流行病學:
心臟轉移瘤由於心臟轉移瘤生前診斷率<10%,多在屍檢中發現,故其發生率各家報導甚為懸殊。1968年Fine報導惡性腫瘤心臟轉移率為2%~20%國內報導為7.4%~13%近年來隨著放療化療和支持療法的加強腫瘤病人的壽命延長惡性腫瘤心臟轉移發生率有上升的趨勢1992年,Leonard對1029例惡性腫瘤屍檢發現,10.7%的腫瘤病人有心臟轉移。
心臟轉移性腫瘤為心臟原發性腫瘤的16~40倍心臟轉移性腫瘤患者的年齡主要見於50~70歲,這和惡性疾病的自然年齡分布相似,男女性別發病率相等。
病因:
心臟轉移瘤所有惡性腫瘤均可發生心臟轉移。最常見的腫瘤是肺癌其他較常見的依次是乳腺癌黑色素瘤惡性淋巴瘤等。最易發生心臟轉移的腫瘤是黑色素瘤,最常見的細胞類型是腺癌。近年由於愛滋病的發病率的升高愛滋病所致的淋巴瘤和Kaposi肉瘤的心臟轉移亦占有重要地位主要的原發病有:
1.急性白血病RobertsWC等報導急性白血病患者中,心肌白血病浸 潤率為37%浸潤各心腔的心壁心包及心包下的脂肪組織白血病的沉積,幾乎都呈灶性,常位於心內膜內。其浸潤常伴有出血但也有不同於這兩種局部情況者。在許多病人這些浸潤和(或)出血不產生可辨認的症狀或體徵。心肌白血病細胞浸潤的程度和心電圖改變似有聯繫。
2.黑素瘤GlancyDL等報導,轉移性腫瘤中黑素瘤累及心臟的發生率最高。心臟轉移中,轉移到心肌者比心外膜者多,這提示轉移到心臟是通過血路途徑。
3.淋巴瘤惡性淋巴瘤的轉移,據McDonnellp等報導在各種腫瘤轉移到心臟或外周的心包膜中,約占9%。淋巴瘤累及心臟的臨床表現,一般是非特異性的,或在病人活著時不足以識別腫瘤侵犯心臟遠較臨床懷疑的廣泛。PerryMC發現累及心臟有三種類型:心包膜心外膜-外膜以及彌散的間質-血管周圍。認為這三種類型分別與直接蔓延通過心臟淋巴路的逆流以及血路擴散相關。
4.肺癌或乳腺癌肺癌和乳腺癌累及心臟是通過直接擴散或通過淋巴路的逆流轉移,到心臟和心包膜後一途徑可能導致多個小結節的轉移灶;而直接蔓延通常是一個部位的侵入BurnettRC等認為血路轉移仍是最常見的途徑。
5.腎上腺樣瘤腎上腺樣瘤因有時擴散到下腔靜脈進入右心房甚或右心室而著稱。ChohJH等認為積極的手術方法可能獲得成功的切除。
發病機制:
心臟轉移瘤1.腫瘤轉移的途徑
(1)直接浸潤:多為胸壁、肺及縱隔腫瘤主要侵犯心包,也可累及心肌。
(2)淋巴道擴散:可不同程度侵犯心肌,最常見於淋巴瘤和霍奇金病
(3)血行轉移:經血行經冠狀動脈進入心肌,病灶常多發性,見於黑色素瘤淋巴瘤等。
(4)種植:主要種植到心包可導致滲液栓釘,或縮窄性心包炎
2.腫瘤轉移部位
(1)心包轉移:最常見占34%,轉移到心包可導致心包滲液心包填塞或縮窄性心包炎。
(2)心肌轉移:占21%,心外腫瘤轉移到右心房,可相似於心房黏 液瘤和累及三尖瓣許多種類的腫瘤如肉瘤淋巴瘤,Wilms’腫瘤(維爾姆斯瘤)、腎上腺樣瘤、睪丸癌以及嗜鉻細胞瘤等心臟轉移都可產生這些表現繼發於轉移癌的右心室梗阻可發生右室流出道梗阻而伴有氣短,以及由於右心室過度負荷而猝死在一些病人轉移的損害是由孤立性病灶引起,可使診斷更為困難Calaroney等報導,轉移性腫瘤左心房受累,也可產生間歇性瓣膜梗阻與心房黏液瘤相似;或破碎後引起動脈栓塞。轉移到左心室腔內可引起左室流出道梗阻Hanley曾通過取心內腫瘤組織做活組織檢查做出診斷。
(3)心內膜轉移:占5%,心外腫瘤轉移直接到心內膜或心瓣膜表面極少見,可能與這些組織血管較少有關。典型的病例累及心內膜的表現酷似二尖瓣或三尖瓣狹窄。Perry報導諸如來自腎睪丸肝、肺或甲狀腺等癌腫轉移到的心內膜瘤栓,可產生血流動力學梗阻,心臟雜音以及體循環栓塞。
(4)心包及心肌同時受累:占40%,心臟的各房室均可受累。
心臟轉移性腫瘤比較少見的原因與下列因素有關:心肌強烈的搓揉活動心內膜血管較少,心臟橫紋狀的肌肉系統使用特殊的代謝途徑,血流迅速通過心腔,以及心臟和周圍結構缺乏淋巴管交通從而使該種擴散方式困難。另外,冠狀動脈從主動脈發出時呈直角使得腫瘤細胞經此血路擴散比較困難
臨床表現:
心臟轉移腫瘤的發病年齡為2.5~58歲,21~40歲占77.7%,男女發病比為2.7∶1本病常無特異性症狀和體徵,臨床表現依原發腫瘤的部位類型及心臟轉移的部位範圍而異。常見的表現有:
1.充血性心力衰竭只有腫瘤在心臟廣泛浸潤時才出現且呈頑固性和難治性。
2.心律失常腫瘤侵犯心肌可發生各種類型的異位搏動和快速性心律失常,累及室間隔和傳導系統則出現房室或室內傳導障礙嚴重的可發生猝死。
3.心包填塞多見於心包轉移瘤亦可見於心肌轉移瘤。
4.轉移腫瘤若發生在房室瓣口或心室流出道,則可出現相應部位梗阻的症狀和體徵。此外,部分病例可出現頑固的心絞痛,少數可出現心肌梗死和心臟破裂。
可出現充血性心力衰竭心律失常、心包填塞心肌梗死和心臟破裂等併發症。
診斷:
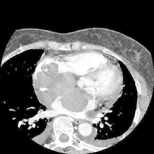
圖1 心臟轉移瘤1.迅速發展的心包積液。
2.原因不明的心律失常。
3.突發心衰或頑固性心衰。
4.心臟X線檢查示心影巨大或局限性突出。
5.既往無冠心病,出現心絞痛或急性心肌梗死用擴血管藥療效不佳。
6.不明原因的“心肌炎”。
疑有腫瘤心臟轉移者可藉助心電圖心臟X片超聲心動圖、心臟CT磁共振、心臟造影(心室造影)等技術輔助診斷另外心包積液細胞學和心肌活檢對診斷轉移性心臟腫瘤有一定價值。鑑別診斷:
1.與原發性心臟腫瘤相鑑別後者發病率極低僅為前者的1/20發病年齡較小,以良性心臟黏液瘤多見無心外惡性腫瘤病灶是主要的鑑別依據。
2.與擴張型心肌病鑑別兩者均可表現為充血性心力衰竭檢查表現為心臟擴大和活動度降低但心臟轉移瘤發展較快,對洋地黃及利尿藥治療效果差,X線片可見心臟外形不規則,B超CT及磁共振可發現腫瘤病灶。
3.與其他原因的心包積液鑑別前者多為血性發展快,積液中可找到癌細胞治療效果差。
此外,本病並發的心律失常及ST-T的改變應與其他疾病引起者區別心臟包塊和原發腫瘤是鑑別的關鍵。
心包積液細胞學和心肌活檢對診斷轉移性心臟腫瘤有一定價值。
其它輔助檢查:1.心電圖無心肌缺血的病人一旦出現缺血性ST-T改變,診斷腫瘤心臟轉移的特異性達96%,且可發現各種心律失常、心室肥大。
2.心臟X片可表現為心臟擴大心影不規則 突出心影與鄰近腫塊相連。
3.超聲心動圖表現為心臟擴大局部或多部位增厚心壁活動度降低,以經食道超聲心動圖為優。
4.心臟CT能了解腫瘤大小、部位,腫瘤與其他胸腔結構的關係。
5.磁共振成像有作者認為是首選的無創性檢查可觀察心臟與鄰近組織鑑別繼發或原發腫瘤了解腫瘤的部位範圍且有高清晰度和高分辨力的特點。
6.心臟造影冠狀動脈造影多為陰性,心室造影可見心臟擴大變形充盈缺損心壁局部運動改變。
治療:
由於心臟轉移腫瘤是惡性腫瘤全身轉移擴散的結果屬於疾病的晚期階段,此時病因治療常無實際意義。大多數病例給予支持治療對症處理以減輕痛苦和延長生命。
心力衰竭仍可使用洋地黃、利尿及擴血管藥物,但療效差或病情易反覆。增加洋地黃用量有加大中毒的危險
對心律失常,心肌浸潤所致的心律失常常難以控制,且多數抗心律失常藥有致心律失常作用,故對一般非致命心律失常不主張用抗心律失常藥物。對致命的或潛在的惡性心律失常可予藥物或電學治療。
出現心包填塞時行心包穿刺抽液減壓,可同時心包腔注入某些抗腫瘤藥物。
預後及預防
預後:
轉移性心臟腫瘤總體預後不良,常於臨床診斷作出前即死於原發病及其併發症但積極合理地處理好原發病灶和心臟轉移病灶,並輔於其他治療,也有存活數年的病例報導。
預防:早期發現有效治療原發腫瘤是預防心臟轉移瘤的關鍵。
