流行病學
肝小靜脈閉塞症切片顯示圖病因:
某些生物毒素、化學藥物等因素導致肝臟小靜脈水腫、增厚繼而狹窄、閉塞,同時伴有肝內門靜脈相應的病變。本病報導最多的主要是攝入含有有毒生物鹼-野百合鹼的草藥而引起,如狗舌草、豬屎豆、天芥菜、土三七等,化學藥物如尿烷、長春新鹼、硫唑嘌呤等,也可由黃麴黴素、二甲基亞硝胺、放射治療等所引起。
引起HOVD的其他因素可能有:①砷劑、汞、亞等有毒物質;②先天性或獲得性免疫缺陷綜合徵;③雌激素等。
發病機制:
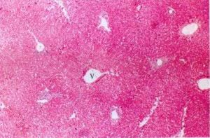
肝小靜脈閉塞症急性期肝臟體積增大、表面光滑,可見淋巴管擴張和“肝哭泣”徵象。光鏡下見中央靜脈和小葉下靜脈內膜顯著腫脹、管腔狹窄或閉塞,血流受阻, 肝竇明顯擴張淤血,伴有不同程度的肝細胞混濁腫脹、變性和壞死。壞死嚴重區肝細胞消失, 網狀纖維支架殘留、紅細胞滲入肝竇和狄氏腔(Disse’s space),呈典型的出血性壞死改變。
亞急性期肝臟表面呈網狀區域性收縮,中央靜脈及小葉下靜脈內皮增生、增厚,形成纖維化和管腔狹窄、閉塞。此期仍可有肝竇擴張、淤血和出血性肝細胞壞死,中央靜脈出現纖維化,尚無假小葉形成。
慢性期肝臟進一步硬化,肝小葉中心區域肝細胞萎縮、網狀支架塌陷及纖維組織增生,可見假小葉形成,最後形成小結節性肝硬化 部分病例可伴有門靜脈纖維化和血栓形成,但主肝靜脈很少受累。
臨床表現
發病前多數病人可有胃腸道、呼吸道和全身症狀,急性期起病急驟,上腹劇痛、腹脹、肝臟迅速腫大、壓痛、腹水 可伴有食慾減退、 噁心、嘔吐等症狀,黃疸 下肢水腫較少見 往往有肝功能異常。亞急性期的特點是持久性的肝臟腫大 反覆出現腹水 慢性期以門脈高壓為主要表現,與其他類型的肝硬化相同。
併發症:
野百合鹼中毒往往並不局限於肝臟,也可引起肺小靜脈的類同病變,可表現為肺動脈高壓、肺淤血和右心室肥大,應引起臨床注意。
診斷
肝臟結構圖鑑別診斷:
最易與HOVD混淆的是布-加氏綜合徵(B-CS),以下幾點有助於鑑別:①兩者病因不同:B-CS最常見的原因是血液凝固性增高,如外傷、脫水、婦女衛生期、感染、腹部腫瘤和重勞後等;而HOVD與服用草藥 灌木茶和草茶等含野百合鹼的植物、接受放療、化療或免疫抑制藥有關。②B-CS的急性期雖也可有腹脹、肝區疼痛等症狀,但很少有發熱、嘔吐和腹瀉等伴隨症狀。急性期半數以上伴有下腔靜脈高壓綜合徵,如胸腹壁靜脈怒張、下肢水腫、會陰部及下肢淺靜脈曲張、足踝部潰瘍形成等,而HOVD則無。③下腔靜脈、肝靜脈造影可明確B-CS時主肝靜脈和下腔靜脈的阻塞部位、程度、範圍和側支循環形成情況等,HOVD則無陽性發現 ④B超可發現B-CS時下腔靜脈有無狹窄, 閉塞、阻塞程度, 有無血栓形成以及肝內側支形成,而HOVD多僅顯示肝大,急性期透聲性增強, 慢性期回聲增強, 增粗, 光點分布不均, 網狀回聲增強,與B-CS幾無區別。⑤肝活檢對B-CS和HOVD最有鑑別意義,B-CS時肝靜脈內可有血栓形成,且多在主肝靜脈出口部受累,HOVD則無肝靜脈血栓形成, 病變主要累及中央靜脈和小葉下靜脈,且為水腫性狹窄或纖維性狹窄。急性HOVD還應與急性肝炎和急性重型肝炎相鑑別。
其它輔助檢查:
實驗室檢查和影像學檢查無特徵性,故對可疑病例, 應仔細詢問和分析病史,進行必要的輔助檢查,最有決定意義的是腹腔鏡直視下做肝組織活檢,不僅可靠, 而且安全(可對取材部位觀察出血情況,同時施以有效的止血) 但由於對本病的認識尚不夠深入、廣泛,加之患者和醫生懼怕出血等併發症,能夠實施此項檢查很少。肝靜脈和下腔靜脈造影對本病的診斷價值有限,但可用於與布-加氏綜合徵的鑑別。
治療
對早期可疑病例, 應及時停止接觸、攝取和套用肝毒性物質。在急性期採用以下綜合治療方案:①支持療法:急性期可採用極化液靜脈滴注;②抗凝、祛聚療法:小劑量肝素皮下注射,即每12小時皮下注射肝素6250U,持續1周,同時套用右鏇糖酐40 (低分子右鏇糖酐)靜脈滴注,以改善肝、肺和腎臟的微循環。③腹水量多且較頑固時,可出現腹腔間隔室綜合徵,應在血液淨化中心的配合下,進行腹水超濾淨化後靜脈回輸,以減少蛋白質的丟失,同時減少或避免腹腔間隔室綜合徵對心、肺、肝和腎功能產生不良影響。④防治感染,對合併感染者套用廣譜抗生素 ⑤間斷吸氧,有條件者給予高壓氧治療,對重症病人更有裨益。它能促使消除循環系統中的低氧血症,減輕肝臟水腫,改善全身能量代謝過程,尤其是肝細胞線粒體的再生過程。⑥促進肝細胞再生藥物有多種,如肝細胞生長因子(hepatic growthfactor HGF) 高血糖素(胰高血糖素)-胰島素(glucagon-insulin,GI)、酚妥拉明(phentolamine或regitine)等,可酌情套用。前兩者有促進肝細胞再生的作用,而後者促進肝竇周圍血管擴張,增加肝血流量,增加肝氧攝取率和利用率。
慢性期的肝臟發生硬化,出現門靜脈高壓綜合徵,可選適宜的門-體或門-肺分流術。對脾臟明顯腫大者作脾部分切除術,脾臟輕度或中度腫大者,僅作脾動脈結紮術。但保留脾臟的手術僅在出現消化道出血需減壓止血而作聯合分流與斷流時才附加實施的。對肝衰竭者可酌情行原位肝移植術。
預後:
急性HVOD約半數於2~6周恢復,20%死於肝衰竭;慢性HVOD主要死於肝硬化門脈高壓的併發症,如肝性腦病、繼發性感染等 提高對本病的敏感度及早發現,積極採用綜合治療,可進一步,提高治癒率,降低病死率或致殘率。
案例分析
例1,男,52歲,農民,因“腹脹、乏力四月余”於2000年8月8日入院。入院前四月不慎跌傷後一直服用中藥土三七治療(每天3g,煎服)。入院查體:面色灰暗,鞏膜無黃染,淺表淋巴結未及,全腹軟,肝肋下3cm,質中,無壓痛,移動性濁音(+),雙下肢無浮腫。初步診斷:腹水原因待查,結核性腹膜炎,腫瘤性腹水待排。入院後肝功能:白蛋白(A)32.3g/L、球蛋白(G)32.9g/L、丙氨酸氨基轉移酶(ALT)98U/L、天冬氨酸氨基轉移酶(AST)139U/L、總膽紅素(TBil)27μmol/L、直接膽紅素(DBil)14μmol/L、膽鹼酯酶(CHE)3057U/L、鹼性磷酸酶(ALP)211U/L、γ-谷氨醯轉肽酶(GGT)157U/L。腹水常規:黃色,微渾,李凡他試驗(+),WBC 5×107/L,RBC 5.9×107/L;腹水生化:蛋白58g/L,乳酸脫氫酶(LDH)80 U/L,腺苷脫氨酶 5.4U/L;腹水培養:7d無細菌生長;腹水找脫落細胞:未找到癌細胞。血腫瘤標誌物:癌相關抗原(CA)125367.25U/L。結核菌素試驗(PPD):1:10000(-),抗結核抗體:陰性。血吸蟲酶標+循環抗原(-)。各型病毒性肝炎標誌物:陰性。尿葡萄糖醛酸/肌酐101.8。胸片示雙側胸膜改變。B超示腹水,肝腫大(右肝斜徑18.2cm,門靜脈寬1.1cm),肝臟呈豹紋狀改變,類似於布加綜合徵,但下腔靜脈、門靜脈、肝靜脈血流通暢,門靜脈血流緩慢。心臟
超聲示二尖瓣、三尖瓣輕度返流,左室舒張功能減退。CT示腹水,胰腺未見明顯異常。胃鏡:慢性淺表性胃炎伴胃體糜爛。結腸鏡:結腸黏膜無特殊。為明確病因,於入院1月後行肝穿刺活檢,病理示肝內小靜脈壁增厚,肝竇擴張,充滿血細胞,肝組織腫脹變性,部分肝組織溶解壞死,伴少量急慢性炎細胞浸潤。符合肝小靜脈閉塞病(hepatic Veno-occlusive disease,HVOD)診斷。給予護肝、利尿、降門靜脈壓等內科治療,患者病情未緩解,肝功能惡化:A 21.2g/L、G 42.5g/L、ALT43U/L、AST 96U/L、TBil 62μmol/L、DBil 33μmol/L、CHE 1914U/L、ALP 254U/L、GGT 179U/L。患者行原位肝移植,術中發現病肝明顯腫大,呈紫灰色,質硬,邊緣鈍,淡黃色腹水約7000ml。手術順利,術後1周ALT、TBil等指標恢復正常,術後45d出院。
土三七致病
土三七HVOD是一種以肝臟小靜脈閉塞為特徵的疾病,此病的發病機制還未完全闡明,重症HVOD有很高的病死率。本組患者有服用土三七史。土三七有散瘀止痛、補氣攝血的功效。故常用於治療跌打損傷、創傷出血、吐血、產後血氣痛。研究發現其有肝毒性,土三七致HVOD的原因可能和其含有pyrrolizidine(屬吡咯烷生物鹼)有關。Hill等報導的牙買加150例HVOD患者中,大部分有食用狗舌草(senecio)史,後來發現主要是狗舌草中所含的pyrrolizidine造成本病,之後又有多例pyrrolizidine致病的報導。DeLeve等用含pyrrolizidine的飼料餵養小鼠,造成了HVOD的動物模型。Zuckerman等用比色法和質譜分析法分析含pyrrolizidine的傳統藥物,並用提取的物質培養細胞,觀察細胞形態學改變。實驗顯示肝毒性與劑量成正比,高濃度時細胞壞死,低濃度時細胞凋亡、細胞骨架發生異常。隨著放療化療的廣泛運用,該病的發病率也呈上升趨勢,已成為繼膿血症和移植物抗宿主反應後的骨髓造血幹細胞移植患者的第三大死因。該病的三大臨床表現為黃疸、肝腫大和(或)右上腹疼,體重增加伴或不伴有腹水。與其他肝臟疾病相比,無特異性,要明確診斷必須行肝活體組織檢查。Shulman等總結了HVOD患者的肝組織標。
本的病理學特點後,認為早期的病變發生在肝竇,包括肝小靜脈內皮層的腫脹,微血栓引起的內皮層細胞的損傷,纖維沉積,肝竇擴張,肝細胞發生缺血和損傷,隨之而來的是肝細胞的壞死。中期的特點包括肝竇膠原的沉積、小靜脈壁的硬化,靜脈內層膠原的進一步沉積。晚期是肝細胞的進一步壞死和靜脈的閉塞。肝臟病理學的特點是:體積增大,毛細血管拉伸,實質被壞死組織和纖維取代。
對HVOD仍缺乏有效的治療方法。傳統藥物肝素和組織纖溶酶原激活物治療重型HVOD,100d病死率仍高達90%。有報導發現用去纖苷酸治療HVOD,100d存活率為35%。小樣本研究發現,若患者能行肝移植,臨床生存率為30%。中國外都有肝移植成功治療HVOD病例報導。
