流行病學
滋養細胞腫瘤1.發病率
以往所報導的葡萄胎和絨癌的發病率只是代表醫院病人的收治情況或醫院發病率(hospital incidence),而不是人群發病率(population incidence),特別是來自一些較大的醫院,主要收治各地轉診病人,所以葡萄胎病人相對較為集中,則會造成發病率、惡變率增高的現象。
2.地理差異
儘管已報導葡萄胎的發生率有很大的地區差異,但部分是由於前面提及的方法學所致。譬如,亞洲和拉丁美洲葡萄胎的高發生率的報告大多來自單一醫院的研究。但是,將其與來自世界各地以人群為基礎研究的發生率進行比較,差異形式則不相同。
3.時間趨勢
關於葡萄胎在不同年代發生率報導並不多見,而且尚有矛盾,美國有兩家醫院在1930~1964年,葡萄胎的發生在二次大戰期間下降,然後又上升達戰前水平。以色列的猶太婦女在1950~1965年持續上升。土生的格陵蘭婦女在1950~1974年,葡萄胎的發生率在1965年以後明顯上升。美國葡萄胎的發生率在1970~1977年變化更大,但資料不宜用於時間趨勢的分析。
4.發病年齡
滋養細胞腫瘤一般均發生在生育年齡範圍以內,文獻報導最小為15歲,最大為57歲,北京協和醫院平均年齡為31.68歲。文獻報導滋養細胞腫瘤(疾病)易發生於生育年齡的兩頭,即20歲以下和40歲以上。北京協和醫院分析
滋養細胞腫瘤1948~1975年資料,年齡大於39歲者葡萄胎占21%,侵蝕性葡萄胎占16.3%,絨毛膜癌占25.2%。浙江醫科大學婦產科醫院資料,>40歲者惡性滋養細胞腫瘤占20.0%。母親年齡超過35歲可增加2倍患完全性葡萄胎的危險,超過40歲者,其危險增加7.5倍。部分性葡萄胎與母親年齡無關。
5.孕產次
國外文獻報導認為婦女孕產次多的發生率也高。北京協和醫院統計滋養細胞腫瘤發生於經產婦亦多於初產婦,尤以6胎以上最為明顯。浙江醫科大學婦產科醫院資料也表明,本病發生與孕產次多少有關,但首次妊娠即為葡萄胎者為數也不少,若已有一個小孩者能採取避孕措施,則有1/2以上婦女可避免滋養細胞腫瘤,也可避免大多數滋養細胞腫瘤發生惡變。
6.葡萄胎幾率
流行病學調查表明,有葡萄胎妊娠史的婦女,再次妊娠葡萄胎的發生率增加,英國1965~1992年的資料表明,一次葡萄胎後重複葡萄胎的風險是1%而2次葡萄胎之後,再發葡萄胎的風險可達15%~20%。此外,多次自然流產的婦女,發生葡萄胎的機會將增加,≥2次自然流產的婦女,再次妊娠後發生葡萄胎的可能性將是普通人群的3倍。
7.口服避孕藥
妊娠前口服避孕藥與妊娠滋養細胞腫瘤的發生風險之間也有一定的關係,在本次妊娠前曾服用口服避孕藥婦女,則發生妊娠滋養細胞腫瘤的相對風險度為1.9,並隨口服避孕藥時間的延長風險增加。同樣在口服避孕藥過程中婦女發生妊娠滋養細胞腫瘤的風險增加至4.0,其可能與口服避孕藥導致卵子損害有關。
8.流行病學研究方法
世界衛生組織妊娠滋養細胞疾病學組對本類疾病流行病學的研究認為,由於已發表的資料對反映妊娠滋養細胞腫瘤的病因和地區性發生資料多不滿意,推薦進行下列研究以糾正其不足。
病因
滋養細胞腫瘤1.營養不良學說
實驗動物中缺乏葉酸可致胚胎死亡,推測母體缺乏葉酸可能和滋養細胞腫瘤的發生有關。特別在胚胎血管形成期(受孕後13~21天),如營養物質中缺乏葉酸和組胺酸,會影響胸腺嘧啶的合成,從而導致胎盤絨毛的血管缺乏以及胚胎壞死。葡萄胎的絨毛基本病理改變也符合此點。
2.病毒學說
有報導認為葡萄胎與病毒感染有關20世紀50年代Ruyck曾報導在葡萄胎和絨癌組織中分離出一種濾過性病毒,稱為“親絨毛病毒”,並認為這種病毒是導致滋養細胞腫瘤的原因。但迄今30餘年,未再有人證實這種病毒的存在。20世紀60年代有作者通過電子顯微鏡檢查滋養細胞腫瘤標本,見到一些細胞漿內的包涵體,類似實驗性白血病中見到的病毒顆粒,因此提出滋養細胞腫瘤由濾過性病毒誘致的看法,但也有異議。
3.內分泌失調學說
北京協和醫院臨床資料表明20歲以下和40歲以上婦女妊娠後發生滋養細胞腫瘤(疾病)的機會相對為高。WHO綜合報告,15~20歲組葡萄胎髮生率較20~35歲組為高,40歲以上發病的危險性增加,50歲以上妊娠後發生葡萄胎的危險性將是20~35歲者的200倍,此時期都為卵巢功能尚不完全穩定或已逐漸衰退特點故聯想到滋養細胞腫瘤是否與卵巢內分泌功能密切有關,卵巢功能紊亂是否與產生的卵子不健全有關。
4.孕卵缺損學說
更多的作者認為,葡萄胎的發生與孕卵異常有關。如上所述,小於20歲或大於40歲婦女中葡萄胎髮生率較高,該年齡組婦女妊娠後自然流產率及新生兒畸形率也高,可能與孕卵本身缺陷有關。
5.種族因素
葡萄胎多見於亞洲各國,特別是東南亞一帶更為多見,有人認為可能與種族有關。但種族問題與環境、氣候、飲食習慣、水源、傳染病、動物媒介等因素相關。夏威夷的不同種族婦女中滋養細胞疾病的發病率,東方人(包括日本、中國、菲律賓)占該地居民的49%,但占該地區滋養細胞腫瘤發病人數的72%。而占人口30%的白種人,發病占14%。夏威夷人占人口不到20%,占發病的9%。
6.細胞遺傳異常學說
葡萄胎的細胞遺傳學研究已積累了大量資料,對探討其發生有重要的臨床價值和理論意義。對染色質和染色體研究,發現絕大多數葡萄胎的滋養細胞均為性染色質陽性。性染色質在人胚胎的第11天的滋養細胞中出現,可存在於人的一生,在人的女性間質細胞中顯示出兩個性染色體的一個,在分裂期間可以染色的,因此在低倍顯微鏡下可以看見。
發病機制
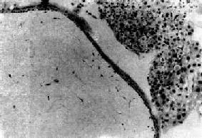
滋養細胞腫瘤滋養層開始只有一層扁平立方形細胞,當形成絨毛時,這層細胞逐漸分化為兩層。內層和間質接觸,以往稱“郎漢斯細胞”,現稱“細胞滋養細胞(cytotrophoblast)”。外層和子宮蛻膜接觸舊稱“合體細胞”,今稱“合體滋養細胞(syncytiotrophoblast)”。
經更進一步了解正常滋養細胞具有某些獨特的生物學特點,這些特點更接近於惡性腫瘤而非正常組織。滋養細胞從包繞胚囊的部位離心性侵犯子宮內膜、肌層及螺鏇動脈,建立子宮胎盤循環。滋養細胞因侵犯血管,在整個正常妊娠期廣泛播散在血液中,主要到肺,分娩後消失。
2.滋養細胞腫瘤的超微結構
20世紀60年代後國外開展對滋養細胞腫瘤超微結構的研究,但在為數不多的報導中對超微結構的描述並不一致,其原因可能為滋養細胞本身形態的變異,取材部位不同或觀察者的誤差,但是大部分研究者均認為葡萄胎、絨癌和正常早期絨毛的滋養細胞在超微結構上是相似的。
3.滋養細胞腫瘤其他病理學研究
滋養細胞腫瘤其他病理學研究也涉及許多領域,包括基礎和臨床套用範疇,其對探索滋養細胞腫瘤的發生、發展以及結合臨床診斷和治療方面均有所裨益。
4.滋養細胞腫瘤其他免疫組化的研究
通過免疫組織化學檢查,可檢測妊娠滋養細胞腫瘤nm23H,增殖細胞核抗原(PCNA)、P糖蛋白(P-gp)谷胱甘肽S轉移酶(GST-π)、野生型和突變型p21蛋白的存在,對滋養細胞腫瘤基礎研究、臨床分期、化療方案選擇、預後及耐藥問題等均有參考意義。
臨床表現
良性葡萄胎的症狀常和妊娠相似,有閉經和妊娠反應。但妊娠反應常比正常妊娠早而明顯,閉經6~8周即開始出現不規則陰道流血,最初出血量少,呈暗紅色,時出時止,逐漸增多,連綿不斷,因而病人常出現不同程度的貧血。當葡萄胎要自行排出時(常在妊娠4個月左右),可發生大出血,處理不及時,可導致病人休克,甚至死亡。在排出血液中,有時可見雜有透明的葡萄樣物,如有發現則對診斷幫助很大。
在約10%病人中,除妊娠劇吐外,還可出現蛋白尿、水腫、高血壓等妊娠期高血壓疾病,甚至可出現子癇症狀,發生抽搐和昏迷。也有發生心功衰竭。因正常妊娠很少在妊娠20周前出現妊娠期高血壓疾病,如有發生應即懷疑為葡萄胎。有時病人也可有心慌氣短。過去認為是合併心臟病近年來知道是由於HCG增加導致甲狀腺功能亢進。在葡萄胎中腹痛並不常見,即使有也屬急性腹痛,主要發生於初孕婦子宮異常增大者,但葡萄胎將排出時,可因子宮收縮而有陣發性腹痛,此時常伴有出血增多現象。不在排出時有急性腹痛,應考慮併發症發生。葡萄胎病人肺無明顯轉移,但有咯血,葡萄胎排出後咯血立即消失。過去認為無重要意義,但長期隨訪結果具有咯血史者,將來惡變機會增加很多,應予重視。由於長期陰道流血,子宮內常有輕度感染,因而病人可出現低熱和白細胞升高,部分性葡萄胎的臨床症狀和早期流產相似。
檢查
絨毛膜促性腺激素測定
滋養細胞所產生的絨毛膜促性腺激素(HCG)是滋養細胞腫瘤理想的腫瘤標記物。對該類腫瘤的診斷和治療都具有特殊意義近年來由於生物化學、分子生物學、放射免疫測定,放射受體測定、單克隆抗體製備、激素免疫螢光測定以及電子顯微鏡技術等科學和技術的發展對HCG的分泌部位、分子結構、胺基酸排列和生物學及免疫學功能有了進一步的認識。現知HCG是一種精蛋白,極易溶解,受熱不凝固,提純後每毫克含1.2萬U。HCG由兩條多肽鏈組成,分別定名為α-亞單位和β-亞單位。HCG的α-亞單位與促卵泡激素(FSH)、促黃體生成素(LH)及促甲狀腺激素(TSH)的α-亞單位相同,因此可以產生交叉免疫反應,而β-亞單位結構為HCG所持有。血、尿和腦脊液中HCG的含量與體內滋養細胞數量及其活性有關。因此測定HCG含量有助於正常和異常妊娠的診斷和治療特別在滋養細胞腫瘤的診治中套用價值更大,可視為滋養細胞腫瘤的特異性腫瘤標誌物。
診斷
1.詳詢妊產史。末次妊娠若為葡萄胎者,在良性葡萄胎排出後1年以內發生病變者,惡性葡萄胎可能性大;超出1年者或末次妊娠為足月產或流產而此次發生滋養細胞疾病者,多為絨癌。
2.病史中常有陰道出血、咳嗽、咯血、頭痛以及視力障礙等神經系統症狀。
3.婦科檢查有子宮增大、變軟、壓痛、宮旁腫塊和陰道轉移結節等。
4.尿和血中的HCG逐步升高。
5.如有轉移,肺部X線攝片可見棉團樣陰影。
6.診斷性刮宮:如刮出水皰,不能鑑別良惡性,需觀察血HCG的變化。如刮出組織為絨毛組織則有診斷意義,鏡下找不到完整的絨毛,可見增生的滋養葉細胞侵犯子宮肌層及血管,伴有大片壞死及出血,結合病史可診斷為絨癌。
7.有神經系統症狀者,如一過性腦缺血症狀(跌倒、失明、失語),或頭痛、嘔吐、偏癱抽搐等症狀。應行眼底、腦電圖及CT掃描檢查。
8.疑有肝、腎轉移者,如有肝區痛,肝脾腫大,黃疸等及腎腫大,血尿等應行肝、腎B超及CT檢查。
9.臨床分期。Ⅰ期:病灶局限於子宮。Ⅱ期:近處轉移;ⅡA期:轉移至宮旁或附屬檔案;ⅡB期:陰道轉移。Ⅲ期:肺轉移。ⅢA期:單個轉移,直徑不超過3cm,或多發轉移總面積不超過一側肺之一半;ⅢB期:肺轉移超過ⅢA期範圍。Ⅳ期:全身廣泛轉移:如腦、肝、腎、腸、皮膚等處轉移。
治療
1.葡萄胎的治療
葡萄胎雖屬良性,但處理不好也有一定的危險性。葡萄胎一經確診,應及時予以清除。目前均採用吸官方法。其優點為手術時間短,出血量少,也較少見手術穿孔等危險,比較安全。
2.惡性滋養細胞腫瘤的治療
侵蝕性葡萄胎和絨癌的危害性遠較良性葡萄胎為大,一經診斷,即需及時處理。過去均採用手術切除子宮的方法,效果很差,尤以絨癌為甚。除了一些早期病例,病變局限於子宮無轉移的部分病人可以存活外,凡有轉移的,一經診斷幾乎全部在半年內死亡,總的病死率均在90%以上。為提高療效,手術後加用放療,對某些部位的腫瘤雖有一定的增效作用,但對較晚病例,療效依然很差。也有報導,個別病例採用氮芥性激素治療,手術或放射破壞垂體等也聲稱有效,但其他醫生都未重複出他們的結果。
預防
滋養細胞腫瘤(疾病)至今由於真正的病因不清楚,故迄今尚無預防葡萄胎髮生的有效措施。
1.實行計畫生育
一般來說中國實行計畫生育,控制人口增長,採取了一系列的避孕措施,積極開展優生優育工作,對減少和降低葡萄胎的發生及其惡變也起到積極作用。
2.預防性子宮切除
因為惡性滋養細胞腫瘤除局部浸潤外,主要通過血行播散,所以對子宮切除方法也並不能完全防止惡變,國外也有報導採用剖宮或子宮切除以後惡變機會增多。1989年第四屆世界滋養細胞疾病會議上菲律賓報告1619例葡萄胎,其中預防性子宮切除、化療加子宮切除共404例,子宮標本病檢為惡性及隨訪後惡變僅35例,惡變率占總數的2.2%,比1976~1982年報告的惡變率7%為低。認為採用上述兩措施,可降低葡萄胎後滋養細胞腫瘤的發生率。
3.預防性化療
預防性化療藥物均有一定毒性,需要住院進行,費用較大,為預防15%左右的病人發生惡變而對所有患葡萄胎者均進行化療,需費很大力量,承擔一定風險,是否合理值得慎重考慮,不宜將預防性化療列為常規。根據北京協和醫院的經驗,只對一些惡變機會較大的病例進行預防性化療,如年齡>40歲,吸宮前子宮大於停經月份,HCG值異常高者,葡萄胎排除後仍有症狀,HCG一度下降又持續上升者或來自偏僻地區又無定期隨訪可能者,則可予考慮,多數均不主張對所有葡萄胎病人給予預防性化療,而主張在HCG監護下,根據葡萄胎排出後的HCG水平,子宮的大小。有無黃素囊腫,病人的年齡等決定是否給予預防性化療。
4.隨訪工作
預防葡萄胎後惡變,關鍵是做好隨訪工作,因為通過隨訪能對發生惡變的病例做到早期發現,早期診斷和早期治療,仍可以做到減少惡變造成的危害性。

