症狀體徵
腦豬囊尾蚴病診斷1.癲癇型占腦豬囊尾蚴病的60%~80%,是腦豬囊尾蚴病最常見的症狀,也是導致患者首診的症狀之一。其發作的形式多為大發作,而小發作、局限性發作、精神運動性發作等也較為常見,常在同一病人身上有兩種以上不同形式的發作。而且刺激症狀較麻痹症狀占優勢。發作的程度及頻度與囊蟲的多少、感染時期、機體對囊蟲的敏感度及抗囊蟲的進程有關。顱內感染囊蟲多時,病情嚴重。機體對蟲體反應強烈者,往往癲癇發作較頻繁,甚至出現癲癇持續狀態,如搶救不及時可危及生命。感染程度不同其癲癇發作的頻度差別很大,有的數月發作一次,有的間隔1年或數年發作一次。過度勞累、情緒波動、大量飲酒常為癲癇發作的誘因,而多數患者常無任何誘因而發作。癲癇發作的頻度和程度隨抗囊蟲進程而發生變化。在抗囊蟲治療早期,由於囊蟲崩解死亡較多,其毒素刺激及炎性反應較重,可能誘發癲癇發作,甚至較抗囊蟲治療前發作更頻繁程度更重。隨著治療進展及對症治療,癲癇發作逐漸減少、減輕至停止發作。特殊類型的癲癇發作在腦豬囊尾蚴病中也可見到。如頭痛性癲癇、腹痛性癲癇,睡眠性癲癇等。
2.高顱壓型高顱壓型是腦豬囊尾蚴病各型中臨床症狀最嚴重、最複雜、治療難度也較大的一型。有的為單純顱內壓增高,有的則是合併不同發作形式的癲癇、神經精神症狀。該型約占腦豬囊尾蚴病的30%~40%。多數患者起病急驟,常以劇烈頭痛、進行性加重或伴噴射性嘔吐等腦膜腦炎症狀來就診,病程遠較癲癇型為短。發病初期即就診的患者,其視盤水腫的表現並不明顯,隨著時間的推移,病情日趨嚴重,眼底檢查視盤邊緣模糊,有的可見斑片狀出血灶。時間較久常導致視力減退、視神經萎縮以致失明。約有三分之一患者起病並不急驟,呈慢性顱內壓增高的表現。幼兒前囟飽滿,兒童顱骨變薄、頭顱增大,因骨縫尚未閉合牢固,可致骨縫分離。成人則出現腦溝壓跡加深,有時還發生蝶鞍擴大和後床突及鞍背骨質吸收的現象,腦CT顯示空蝶鞍。
若合併癲癇發作,更使腦組織缺血缺氧,腦水腫加劇,顱內壓增高症狀更進一步加重。在診斷中除瀰漫性腦實質囊蟲可致高顱壓症狀外,腦室系統囊蟲則因腦脊液循環通路受阻,造成腦積水而出現劇烈頭痛、甚至昏迷。第四腦室有囊蟲寄生時可出現強迫頭位和頸強直,當急劇轉動頭位時游離的囊蟲突然阻塞腦脊液通路和刺激第四腦室底部,病人當即會出現劇烈眩暈和嘔吐,或有呼吸循環障礙,即Bruns綜合徵。少部分病例因急性延髓受壓迫而猝死。
3.精神障礙型該型多合併癲癇發作或顱內壓增高,大都因大腦半球內有密集的囊蟲寄生,引起廣泛腦組織破壞致後期腦皮質萎縮。起病時以精神異常為首發症狀者列為該種類型,約占腦豬囊尾蚴病的10%左右。精神障礙型的症狀複雜多變,有的可能僅有一種表現,多數患者有幾種精神異常表現,且呈進行性加重,若不及時治療可發展為痴呆。主要表現為:
(1)記憶障礙:是腦囊蟲病患者較為常見的症狀,患者不能想起不久前發生的事情,經常會遺失東西,忘記東西放在何處,忘記剛剛談話的內容,忘記自己孩子的性別年齡等等。嚴重者造成定向障礙。
(2)思維和判斷力障礙:表現為工作能力減退,精神疲憊,言語和動作遲緩,判斷力減退等。
(3)性格改變和情感障礙:有的表現精神抑鬱,精神淡漠甚至呆滯,少言寡語或易激動、衝動。有的患者則表現為躁狂、喊叫、打人、罵人、出走、夢遊等類似精神分裂症的某些表現。有的伴有失語、失認、失用,行為怪異,幻視、幻聽也常存在。在未發展為痴呆前,隨著抗囊蟲和對症治療,以上症狀均漸緩解。輕者僅表現為神經衰弱症狀,如失眠、頭暈、頭脹、記憶力減退等。
4.亞臨床型無明顯腦症狀,然而客觀檢查時有明顯腦損害表現,如CT或MRI檢查腦內確有囊蟲寄生,眼底可能有視盤水腫,血及腦脊液囊蟲免疫試驗陽性,亦可能有絛蟲史。
5.混合型兼有兩型以上的臨床症狀和體徵。
疾病病因
豬囊尾蚴1.自體體內感染現症絛蟲病患者,由於嘔吐或腸道逆蠕動,可能使絛蟲孕節片和蟲卵反流至胃內,每節孕節片含蟲卵約4萬個左右。
2.自體體外感染現症豬帶絛蟲病患者的手沾染了絛蟲卵,經口食入胃腸道而感染。
3.異體感染囊蟲病患者自身並無合併絛蟲感染,而是食入被絛蟲卵污染的水、蔬菜、水果等而被感染。絛蟲卵被中間宿主吞食後,在其十二指腸內經胃液膽汁等消化液的作用,卵內的六鉤蚴在24~72h後自胚膜孵化而出。由於小鉤的活動及六鉤蚴分泌物的作用,六鉤蚴鑽入腸壁,隨後進入腸系膜小靜脈及淋巴循環,而被送至身體的各部位。到達寄生部位後,蟲體逐漸長大,中間細胞溶解形成空腔,並充滿液體。60天后頭節上出現小鉤和吸盤,約經10周囊尾蚴即可發育成熟。寄生於人體的豬囊尾蚴因寄生部位不同其形態和大小不盡相同,一般為圓形或橢圓形,0.5~2cm大小,3~5cm的也較常見。
病理生理
腦豬囊尾蚴病影像寄生於腦室系統的囊蟲大小不一,在第四腦室最多見,病灶可單發或多發,可游離於腦室亦可黏附於腦室壁上。此類囊蟲易形成活瓣或引起腦膜粘連增厚而阻塞腦室孔,產生梗阻性腦積水,腦室擴大,晚期可導致腦萎縮、顱內高壓、腦疝等嚴重後果。
寄生於蛛網膜下腔、腦底池的囊蟲常多發成串,囊內多無頭節,由於周圍有空隙,阻力小,故體積較大,最大的類似葡萄,稱葡萄狀囊蟲,極易破裂。此類囊蟲可引起蛛網膜炎,形成腦膜的增厚、粘連,嚴重者可導致腦脊液吸收障礙,產生交通性腦積水。脊髓中的囊蟲可引起壓迫症狀導致感覺、運動障礙。腦囊蟲的組織病理形態可分為三個期:即活囊蟲期、變性囊蟲期和死囊蟲期。寄生於同一患者腦組織內的多個囊蟲,由於感染時期不同,其發育時間亦不同,可能見到各個時期的病理變化。
1.活囊蟲期囊尾蚴頭、體、囊三部分均完整。頭部吸盤、頂突明顯。頂突下小鉤明顯可見。囊壁較薄,可分3層:內層為炎症細胞,中層為纖維層,含有膠原纖維和網狀纖維,外層為絨毛層,鄰近腦組織有膠質細胞增生、血管內膜增生及炎性細胞浸潤。
2.變性囊蟲期其內部結構仍可見到,但囊壁與周圍的炎症反應層有不同程度的粘連。囊壁組織變得疏鬆,纖維斷裂。表層下出現空泡,細胞水腫,炎性反應層的成纖維細胞增多,纖維層變厚。電鏡可見絨毛斷裂,線粒體變性固縮,其下方的網狀纖維增粗,表層下細胞內糖原顆粒溶解等。
3.死囊蟲期囊蟲頭、體、囊結構已模糊不清,呈粉紅色,有時僅看到鈣質小體。炎性反應層血管增生明顯。電鏡見絨毛大部消失,線粒體崩解。也可表現為炎塊,最後囊蟲完全液化被空泡狀纖維組織包裹,炎性細胞減少或無炎性反應,病變部位部分或完全鈣化。從積累的屍解資料看,病人因腦實質感染大量囊尾蚴,其炎性反應劇烈而明顯,可見到腦組織廣泛水腫充血,腦體積增大,腦溝回變淺,腦室系統常縮小,小兒可致顱縫分離。如囊尾蚴位於小腦延髓池,小腦腦橋角等部位,常伴有繼發性增生性蛛網膜炎、粘連和增厚,小腦扁桃體可充血、水腫及出血。腦組織可出現軟化灶,神經細胞可變性壞死。
診斷檢查
腦豬囊尾蚴病術後複查1.有局灶或彌散的腦症狀和體徵如頭痛、癲病發作、顱內壓增高、精神症狀者,並排除了其他原因所造成的腦損 害。
2.腦脊液囊蟲免疫學試驗陽性。
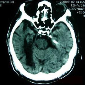
3.頭部CT、MRI顯示有典型的囊蟲改變。
如果僅具備上述第一項,則應具備下列三項中的兩項:①病理檢查證實皮下結節為豬囊尾蚴,或者眼內、肌肉內發現囊蟲,或血囊蟲免疫學試驗陽性;②腦脊液淋巴細胞增多或蛋白含量增高,或找到嗜酸粒細胞;③頭顱X線平片顯示多數典型的囊蟲鈣化影。
實驗室檢查:
1.常規化驗
(1)血常規:末梢血嗜酸性粒細胞計數增加,超過正常的20%時高度懷疑寄生蟲感染。
(2)大便常規:可發現脫落的成蟲節片,光鏡下可以查到絛蟲卵。
2.腦脊液檢查壓力常增高。細胞計數白細胞增多,以淋巴細胞和嗜酸性粒細胞為主。細胞學檢查呈變態反應性改變。生化檢查可見蛋白輕度或中度增高,糖含量低,氯化物正常或減低。
3.免疫學檢查腦囊蟲病人細胞免疫異常與體液免疫異常並存。常用兩種方法檢測病人血或腦脊液中抗囊蟲抗體:
(1)間接血細胞凝集試驗:血清<1∶128為陰性,腦脊液<1∶8為陰性。
(2)酶聯免疫吸附試驗:血清<1∶64為陰性,腦脊液<1∶8為陰性。這兩種方法有很高的敏感性和特異性,陽性率可達到90%左右。
其他輔助檢查:頭顱平片可發現已鈣化的囊蟲結節,陽性率為10%左右。CT的陽性率則可高達90%以上。不同病期的腦囊蟲在CT上的表現差異很大,當囊蟲寄生於腦實質時,典型的有以下4種表現:①小的鈣化灶或肉芽腫,反映了死亡的囊蟲;②圓形的低密度灶,造影后不被增強,反映了活的蟲體;③低密度或等密度的病灶,造影后有環狀強化,反映了囊蟲導致的腦部炎症;④大腦瀰漫性水腫,伴有腦室縮小及多發的造影后可增強的小結節(造影前不能發現)。當蟲體寄生於蛛網膜下腔時,CT上主要表現為腦脊液通路受阻引起的腦水腫,蛛網膜炎引起的大腦幕和腦底池異常增強以及多發性的腦梗死和腦橋池、交叉池、大腦側裂等處的低密度灶。
MRI圖像早期囊尾蚴存活時在T1加權上呈低信號區,在T2加權上呈高信號區。腦室內囊蟲在MRI圖像上囊蟲包囊呈低信號區,囊尾蚴的頭節則表現為高信號的斑點狀結節。一般來說,MRI較CT對蛛網膜下腔、腦幹、小腦及腦室內的豬囊尾蚴病診斷敏感率更高,且能分辨頭節的死活,具有檢驗療效的作用。
鑑別診斷
豬囊尾蚴細胞像1.其他腦寄生蟲病如腦棘球蚴病、腦型血吸蟲病、腦阿米巴病、腦弓形蟲病等。主要依賴於流行病學特徵,特異性免疫診斷及典型影像學檢查加以區別。
2.腦部非寄生蟲感染性疾病如腦炎、腦膿腫、腦結核等。
3.腦部非感染性疾病如癲癇、腦梗死、腦血管畸形、結節性硬化及多發性硬化等。
4.腦瘤和腦轉移瘤。
流行病學
腦豬囊尾蚴顯微像2.傳染源病人是惟一的傳染源。病人排出的蟲卵對自身及周圍人群具有傳染性。
3.傳染途徑食入豬帶絛蟲的蟲卵或豬帶絛蟲病人小腸中的絛蟲妊娠節片反流入胃或十二指腸均可感染。
4.人群易感性人對豬囊尾蚴病普遍易感,與年齡、性別無明顯相關性,與衛生情況密切相關。
治療方案
腦豬囊尾蚴病治療藥(1)吡喹酮:為廣譜抗寄生蟲藥,對全身各部位的囊蟲均有殺滅作用能通過血-腦脊液屏障直接殺死囊蟲但是本藥在腦脊液中濃度較低,故對腦室系統囊蟲療效較差。給藥方法有兩種,一是小劑量給藥:總量120~180mg/kg,3~6天服完,3次/d;二是大劑量給藥:200~300mg/kg50mg/(kg/d)。在用藥過程中應注意,由於顱內囊蟲大量死亡囊液和蟲體蛋白釋出引起周圍腦組織反應,出現顱內壓增高、癲癇等局灶性腦組織受損害,因此應聯合套用皮質類固醇。
(2)阿苯達唑(丙硫咪唑):能抑制囊尾蚴對葡萄糖原的吸收,導致蟲體糖原耗竭用法:15~18mg/d,分2次吞服,10天為一個療程間隔15~20天再進行下一個療程可用2~3個療程。用藥過程中注意顱內壓增高反應如出現可用皮質類固醇和甘露醇。
(3)南瓜子與檳榔子聯合治療:早晨空腹口服50~90g南瓜子粉,經2h後加服檳榔煎劑150~200ml,又過半小時再服50%硫酸鎂50~60ml。一般在3h有完整蟲體排出。
2.手術治療
(1)顳肌下減壓術:腦實質內多發性囊蟲因個數太多無法一一摘除,如果並發顱內壓增高危及病人生命或影響視力而又不能用藥物控制時根據情況可施行一側或雙側顳肌下減壓術。
(2)分流術:對於腦池和蛛網膜下腔型病例出現交通性腦積水者可按病情行三腦室或終板造漏術和側腦室腹腔分流術。
(3)囊蟲摘除術:
①內鏡囊蟲摘除術:內鏡適合摘除腦室系統的囊蟲尤其適合於側腦室內的多發囊蟲,套用較多療效較好。
②開顱囊蟲摘除術:對於腦室內囊蟲尤其是四腦室的囊蟲、腦實質中單發並形成占位效應的囊蟲可以採用開顱摘除摘除囊蟲時儘量將其完整取出切忌使其破裂,摘除後還要反覆沖洗。
預後預防
腦豬囊尾蚴病護理預防:切熟食和生食的砧板要分開;烹飪時豬肉要熟透;提倡圈養豬,而不是散養。
