信息
中文名:腦梗死
英文名:cerebralinfarction
別 名:腦梗塞
簡介
腦梗死(cerebralinfarctionCI)是缺血性卒中(ischemicstroke)的總稱包括腦血栓形成腔隙性梗死和腦栓塞等,約占全部腦卒中的70%是腦血液供應障礙引起腦部病變。
腦梗死是由於腦組織局部供血動脈血流的突然減少或停止造成該血管供血區的腦組織缺血缺氧導致腦組織壞死軟化,並伴有相應部位的臨床症狀和體徵如偏癱、失語等神經功能缺失的症候腦梗死發病24~48h後,腦CT掃描可見相應部位的低密度灶,邊界欠清晰,可有一定的占位效應。腦MRI檢查能較早期發現腦梗死表現為加權圖像上T1在病灶區呈低信號T2呈高信號MRI能發現較小的梗死病灶
流行病學
中國1986~1990年大規模人群調查顯示,腦卒中發病率為109.7/10萬~217/10萬,患病率為719/10萬~745.6/10萬死亡率為116/10萬~141.8/10萬男性發病率高於女性男∶女約為1.3∶1~1.7∶1。
腦卒中發病率患病率和死亡率隨年齡增加45歲後均呈明顯增加,65歲以上人群增加最明顯,75歲以上者發病率是45~54歲組的5~8倍存活者中50%~70%病人遺留癱瘓失語等嚴重殘疾給社會和家庭帶來沉重的負擔。1990年張葆樽等進行的580多萬人口全國性流行病學調查顯示重症腦血管病的發病率為115.61/10萬患病率為256.94/10萬死亡率為81.33/10萬我國每年新發生腦卒中病人近150萬人年死亡數近100萬人。腦梗死病人約占全部腦卒中的70%。
腦梗死是指腦部血液供應障礙,腦組織缺血缺氧,導致局部腦組織發生軟化壞死。又稱缺血性腦卒中,主要原因是由於腦血管出現動脈粥樣硬化和血栓形成,是血管變得狹窄或者完全閉塞,導致血液供應障礙。
病因
腦血管病是神經科最常見的疾病,病因複雜,受多種因素的影響一般根據常規把腦血管病按病因分類分為血管壁病變血液成分改變和血流動力學改變。
另外臨床上許多人即使具備腦血管病的危險因素卻未發生腦血管病而一些不具備腦血管病危險因素的人卻發生腦血管病,說明腦血管病的發生可能還與其他因素有關,如遺傳因素和不良嗜好等。流行病學研究證實高血脂和高血壓是動脈粥樣硬化的兩個主要危險因素吸菸、飲酒糖尿病、肥胖高密度脂蛋白膽固醇降低三醯甘油增高、血清脂蛋白增高均為腦血管病的危險因素,尤其是缺血性腦血管病的危險因素
發病機制
1.血管壁病變正常血管內皮細胞是被覆血管內膜的一層光滑的細胞群,
腦梗死它不僅僅是血液和組織的屏障還具有其他多種功能。一般認為是血管內皮細胞功能的變化和損害可使內皮細胞剝離,血漿成分主要是脂類物質的浸潤和巨噬細胞的浸潤,內膜內平滑肌細胞增殖,最終導致動脈粥樣硬化的發生髮展。隨著年齡的增加,這一過程更容易發生持續的高血壓能加速動脈粥樣硬化的形成高血壓可通過直接作用於直徑50~200μm的腦小動脈如腦底部的穿通動脈和基底動脈的旁中央支導致這些小動脈發生血管透明脂肪樣變微栓塞或微動脈瘤形成,亦可通過機械性刺激和損傷直徑大於200μm的較大血管或大血管的內皮細胞,發生動脈粥樣硬化。
動脈粥樣硬化時,動脈內膜增厚容易出現潰瘍面在潰瘍處內膜下層分泌一些物質如膠原及凝血因子促使凝血酶形成,凝血酶纖維蛋白與黏附在潰瘍面的血小板共同作用導致血栓形成,即動脈粥樣硬化板塊形成使動脈管腔狹窄或閉塞或動脈粥樣硬化斑塊脫落阻塞腦血管導致腦組織局部動脈血流灌注減少或中止
2.血液成分的改變血液有形成分中尤其血小板極易黏附在病變血管內膜處,黏附聚集的血小板,能釋放出多種生物活性物質加速血小板的再聚集極易形成動脈附壁血栓血液成分中脂蛋白膽固醇纖維蛋白等含量的增加,可使血液黏度增高和紅細胞表面負電荷降低,導致血流速度減慢以及血液病如紅細胞增多症血小板增多症、白血病嚴重貧血等均易促使血栓形成。血液流變學改變是急性腦梗死發病的一個重要因素動物實驗模型。
腦梗死的先兆症狀發現紅細胞比容增高可降低腦血流量如果同時降低動脈壓則容易發生腦梗死也有人認為低切黏度升高對腦血栓形成影響較大,且多發生在熟睡與剛醒時這與腦梗死發生時間相吻合。
3.血流動力學異常血壓的改變是影響腦血流量的重要因素之一,血壓過高或過低都可影響腦組織的血液供應當平均動脈壓低於9.33kPa(70mmHg)和高於24kPa(180mmHg)時,或心動過速、心功能不全時可引起腦灌注壓下降,隨灌注壓下降腦小動脈擴張,血流速度更緩慢。若同時伴有動脈粥樣硬化,更易導致血栓形成
高血壓是腦血管病的獨立危險因素高血壓時血流動力學的改變比較複雜,不但決定於高血壓的發生原因和機制還決定於高血壓的發展速度程度和發展階段
4.栓塞性腦梗死是人體血液循環中某些異常的固體液體或氣體等栓子物質隨血流進入腦動脈或供應腦的頸部動脈,這些栓子隨血流流動堵塞腦血管引起局部腦血流中斷,造成局部腦組織缺血、缺氧甚至軟化壞死而出現急性腦功能障礙的臨床表現。腦栓塞常發生於頸內動脈系統椎-基底動脈系統相對少見
5.其他
(1)飲食營養與腦血管病:
①總熱能的攝入:“要想身體安,耐得三分飢和寒”中青年在有足夠營
腦梗死養的前提下限制熱能攝入會降低發生動脈粥樣硬化、冠狀動脈和腦血管疾病的危險性實驗證明限制熱能是降低血脂和載脂蛋白的主要因素所以在腦血管病一、二級預防時應注意適當控制每天總熱能的攝入。
②飲食鈣攝入量:有文獻報導飲食中鈣攝入量與人體血壓水平呈負相關提示攝鈣量不足可能是高血壓潛在的危險因素之一。而高血壓又是腦血管病的危險因素已肯定因此飲食鈣攝入量不足不但是高血壓的危險因素而且可能與腦血管病的發病有關故中老年人合理補鈣不僅可防治骨質疏鬆,也應作為腦血管病一、
二級預防的措施。
(2)不良生活習慣與腦血管病:
①吸菸酗酒:在腦血管病患者中吸菸人數顯著高於非腦血管病患者的對照組。並且每天吸菸與腦血管病的發生呈正相關酗酒肯定是不良生活習性酗酒是高血壓顯著的危險因素,而高血壓是最重要的腦血管病的危險因素
②便秘:中醫認為腦血管病的發病具有一定的規律性與便秘可能相關,應通過飲食結構調整及養成規律性排便習慣有助於降低腦血管病發生的可能性
③體育鍛鍊、超重與腦血管病:在腦血管病患者中平時進行體育鍛鍊的人數比例顯著低於非腦血管病對照組而腦血管病超重人數顯著高於非腦血管病對照組因此平衡飲食、控制體重與體育鍛鍊相結合可以降低發生腦血管病的發病率。
④高鹽飲食:一般認為高鹽飲食是高血壓的危險因素高血壓是最重要的腦血管病的危險因素,故提倡低鹽飲食飲食中可適當增加醋的攝入量以利於鈣的吸收。
(3)糖尿病與腦血管病:糖尿病患者合併腦血管病已受到人們的高度重視。糖尿病被列為腦血管病的危險因素。糖尿病患者的血液黏稠度增加紅細胞積聚速度加快,血小板在血管壁上的粘著功能和相互間的凝集功能增強,血液凝血因子Ⅰ、Ⅴ、Ⅶ、Ⅷ增加,纖維蛋白原增高等,這些都容易引起腦梗死。
腦梗死糖尿病並發腦血管病主要發生在老年Ⅱ型糖尿病患者病理髮現糖尿病患者腦實質內小動脈常表現為瀰漫性內皮損害,內膜肥厚,還發生局灶性脂肪樣或透明變性糖尿病患者腦梗死發生率是非糖尿病患者群的4.2倍而腦出血的發生率與非糖尿病患者群差異無顯著性。
(4)遺傳家族史與腦血管病:臨床上許多人即使具備上述腦血管病危險因素卻沒有發生腦血管病,而另外一些不具備上述腦血管病危險因素的人卻患了腦血管病,說明腦血管病的發生還與其他因素有關尤其是遺傳因素有關。
腦血管病家族史可能是腦血管病的危險因素,有實驗也證明有高血壓、糖尿病病史者的發病率和有腦血管病家族史的發病人數均顯著高於對照組。一般認為多數的腦血管病的發病是多因素的是遺傳與環境因素共同作用的結果。如腦血管病的發病率有一定的種族差異黑種人腦血管病發病率高於白種人。
由於腦血管病本身或其危險因素如高血壓高血脂及高血糖等均與遺傳因素有密切關係故遺傳在腦血管病的發病中起了重要作用。
6.腦梗死的主要病理改變
(1)急性腦梗死灶的中央區為壞死腦組織,周圍為水腫區在梗死的早期腦水腫明顯,梗死面積大者水腫也明顯,相反梗死面積小者水腫面積相對較小,水腫區腦回變平、腦溝消失當梗死面積大,整個腦半球水腫時,中線結構移位,嚴重病例可有腦疝形成。後期病變組織萎縮,壞死組織由格子細胞清除留下有空腔的瘢痕組織。陳舊的血栓內可見機化和管腔再通動脈硬化性腦梗死一般為白色梗死少數梗死區的壞死血管可繼發性破裂而引起出血稱出血性梗死或紅色梗死
(2)病生理變化:
①血管活性物質的含量變化:腦梗死者腫瘤壞死因子含量明顯增高此外NO內皮素降鈣素基因相關肽、神經肽Y也均隨之增高。神經肽Y和神經降壓素是對心腦血管系統具有重要調控作用的神經內分泌多肽。急性腦血管病發病過程中腫瘤壞死因子、一氧化氮、內皮素神經肽Y降鈣素基因相關肽和神經降壓素髮生變化,這種變化與急性腦血管病的疾病性質病情有密切關係,積極控制這些物質之間的平衡紊亂,將有助於降低急性腦血管病的病死率和致殘率。
②下丘腦-垂體激素的釋放:神經與內分泌兩大系統各有其特點又密切相關共同調控和整合內、外環境的平衡。腦血管病患者下丘腦-垂體激素的釋放增強這種釋放可能直接侵犯至下丘腦垂體等組織或與腦水腫壓迫血管使有關組織循環障礙有關。
③血漿凝血因子的變化:凝血因子Ⅶ(FⅦ)活性增高為缺血性腦血管病的
腦梗死危險因子,甚或與心肌梗死及猝死相關。有人認為通過測定血漿FⅦa水平預估高凝狀態並作為缺血性腦血管病的危險因子更為恰當。FⅦa的上升,存在於缺血性腦血管病的各類型之中,能反映高凝狀態的實際情況
④一氧化氮的變化:一氧化氮(NO)的作用與其產生的時間組織來源及含量等有關內皮細胞上有組織型一氧化氮合成酶(cNOS),在腦梗死早期它依賴於鈣/鈣調素(Ca2+/CaM)激活引起NO短期釋放使血管擴張,產生有益作用另外,在巨噬細胞、膠質細胞上的誘生型NOS(iNOS),它不依賴於Ca2+/CaM,在生理狀態下不激活腦梗死後1~2天,iNOS被激活一旦被激活,則不斷產生NO。持續性NO產生可引起細胞毒性作用所以在腦梗死急性期iNOS被激活,可能加重缺血性損害。
⑤下丘腦-垂體-性腺軸的改變:急性腦血管病可導致下丘腦-垂體-性腺軸的功能改變。不同的性別不同的疾病類型其性激素的變化是不相同的。
急性腦血管病導致機體內分泌功能紊亂的因素主要表現為:①與神經遞質的調節障礙有關的性腺激素類:多巴胺去甲腎上腺素和5-羥色胺分泌增加,單胺代謝出現紊亂導致性激素水平變化,使雌激素水平降低。②應激反應:機體處於應激狀態能通過自身對內分泌進行調節。
臨床表現
腦梗死好發者為50~60歲以上的人群,常有動脈粥樣硬化高血壓風心病冠心病或糖尿病,以及吸菸飲酒等不良嗜好的患者約25%的患者病前有短暫性腦缺血發作病史。起病前多有前驅症狀表現為頭痛頭暈、眩暈、短暫性肢體麻木、無力。起病一般較緩慢患者多在安靜和睡眠中起病多數患者症狀經幾小時甚至1~3天病情達到高峰。
腦梗死發病後多數患者意識清醒,少數可有程度不同的意識障礙一般生命體徵無明顯改變如果大腦半球較大面積梗死、缺血、水腫,可影響間腦和腦幹的功能,起病後不久出現意識障礙甚至腦疝、死亡如果發病後即有意識不清,要考慮椎-基底動脈系統腦梗死。
1.主要臨床症狀腦梗死的臨床症狀複雜,它與腦損害的部位、腦缺血性血管大小缺血的嚴重程度、發病前有無其他疾病以及有無合併其他重要臟器疾病等有關,輕者可以完全沒有症狀,即無症狀性腦梗死;也可以表現為反覆發作的肢體癱瘓或眩暈,即短暫性腦缺血發作;重者不僅可以有肢體癱瘓甚至可以急性昏迷死亡如病變影響大腦皮質在腦血管病急性期可表現為出現癲癇發作,以病後1天內發生率最高,而以癲癇為首發的腦血管病則少見常見的症狀有:
(1)主觀症狀:頭痛頭昏頭暈眩暈噁心嘔吐、運動性和(或)感覺性失語甚至昏迷。
(2)腦神經症狀:雙眼向病灶側凝視中樞性面癱及舌癱、假性延髓性麻痹如飲水嗆咳和吞咽困難
(3)軀體症狀:肢體偏癱或輕度偏癱、偏身感覺減退、步態不穩、肢體無力、大小便失禁等
2.腦梗死部位臨床分類腦梗死的梗死面積以腔隙性梗死最多,臨床表現為:亞急性起病、頭昏、頭暈步態不穩、肢體無力少數有飲水嗆咳,吞咽困難也可有偏癱偏身感覺減退,部分患者沒有定位體徵
中等面積梗死以基底核區側腦室體旁丘腦、雙側額葉、顳葉區發病多見臨床表現為:突發性頭痛、眩暈、頻繁噁心嘔吐、神志清楚,偏身癱瘓或偏身感覺障礙、偏盲中樞性面癱及舌癱假性延髓性麻痹失語等。
大面積梗死患者起病急驟,臨床表現危重可以有偏癱偏身感覺減退甚至四肢癱、腦疝、昏迷等。
(1)頸內動脈閉塞:頸內動脈閉塞可以沒有症狀。有症狀的閉塞可以引起類似於
腦梗死在頸內動脈動脈硬化性閉塞的病例中,近15%的病例有先兆,包括TIA和同側視網膜動脈缺血引起的單眼盲。由於顱底動脈環的作用使頸內動脈閉塞的症狀複雜,有時頸內動脈閉塞也可不出現局灶症狀這取決於前後交通動脈眼動脈、腦淺表動脈等側支循環的代償功能。也可伴有一過性失明和Horner征。
(2)大腦中動脈閉塞:由於大腦中動脈供血區是缺血性腦血管病最常累及的地方發生的臨床徵象取決於累及的部位。
①大腦中動脈主幹閉塞:發生在大腦中動脈發出豆紋動脈的近端因為整個大腦中動脈供血區域全部受累此為該動脈閉塞發生腦血管病中最為嚴重的一種主幹閉塞的臨床表現是引起病灶對側偏癱、偏身感覺障礙和偏盲,優勢半球側動脈主幹閉塞可有失語、失寫失讀。如梗死面積大時,病情嚴重者可引起顱內壓增高、昏迷、腦疝甚至死亡。
②大腦中動脈深支或豆紋動脈閉塞:可引起病灶對側偏癱,一般無感覺障礙或同向偏盲優勢半球受損,可有失語
③大腦中動脈各皮質支閉塞:可引起病灶對側偏癱以面部及上肢為重優勢半球可引起運動性失語感覺性失語、失讀、失寫失用非優勢半球可引起對側偏側忽略症等體象障礙。
(3)大腦前動脈閉塞:大腦前動脈閉塞並不多見可能因為來自顱外或心臟的栓子更傾向進入管徑大、血流大的大腦中動脈一側大腦前動脈近端閉塞時,如前交通動脈循環良好可無症狀前交通動脈後閉塞時可有:
①皮質支閉塞:產生病灶對側下肢的感覺及運動障礙,伴有尿瀦留。
②深穿支閉塞:可致病灶對側中樞性面癱、舌肌癱及上肢癱瘓亦可發生情感淡漠欣快等精神障礙及強握反射。
(4)大腦後動脈閉塞:大腦後動脈閉塞引起影響對側視野的同向偏盲,但黃斑視覺保留因為雙支動脈(大腦中後動脈)供應支配黃斑的皮質同大腦中動脈區域的梗死引起的視覺缺損不同,大腦後動脈引起的更加嚴重。
①皮質支閉塞:主要為視覺通路缺血引起的視覺障礙,病灶對側同向偏盲或上象限盲。
②深穿支閉塞:出現典型的丘腦綜合徵病灶對側半身感覺減退伴丘腦性疼痛對側肢體舞蹈樣徐動症等。
此外,在中腦水平的大腦後動脈閉塞可引起的視覺障礙包括垂直凝視麻痹動眼神經麻痹、核間型眼肌麻痹和垂直眼球分離當大腦後動脈閉塞累及優勢半球枕葉皮質時,患者表現為命名性失語。
(5)基底動脈閉塞:由於基底動脈主要供應腦幹小腦、枕葉等的血液所以該動脈發生閉塞的臨床症狀較複雜。
常見症狀為眩暈、眼球震顫復視、交叉性癱瘓或交叉性感覺障礙、肢體共濟失調若基底動脈主幹閉塞則出現四肢癱瘓眼肌麻痹、瞳孔縮小,常伴有面神經、展神經、三叉神經、迷走神經及舌下神經的麻痹及小腦症狀等,嚴重者可迅速昏迷中樞性高熱去腦強直、消化道出血,甚至死亡椎-基底動脈因部分阻塞引起腦橋腹側廣泛軟化,則臨床上可產生閉鎖綜合徵,表現為患者四肢癱瘓,面無表情,緘默無聲,不能講話,但神志清楚能聽懂人們的講話,並以眼球活動示意理解。
(6)小腦後下動脈閉塞:小腦後下動脈主要供應延髓背外側血液,當閉塞時可引起延髓外側部綜合徵(Wallenberg綜合徵),表現為眩暈,噁心,嘔吐眼震,同側面部感覺缺失,同側霍納(Horner)征,吞咽困難聲音嘶啞同側肢體共濟失調,對側面部以下痛、溫覺缺失。小腦後動脈的變異性較大故小腦後下
腦梗死3.臨床表現類型根據腦梗死發生的速度程度病情是否穩定以及嚴重程度,將腦梗死分為以下5種類型:
(1)完全型腦梗死:指腦缺血6h內病情即達到高峰常為完全性偏癱一般病情較重
(2)進展型腦梗死:指缺血發作6h後病情仍在進行性加重,此類患者占40%以上。造成進展原因很多如血栓的擴展、其他血管或側支血管阻塞、腦水腫、高血糖高溫、感染心肺功能不全、電解質紊亂多數是由於前兩種原因引起
(3)緩慢進展型腦梗死:起病2周內症狀仍在進展
(4)穩定型腦梗死:發病後病情無明顯變化者傾向於穩定型腦卒中,一般認為頸內動脈系統缺血發作24h以上,椎-基底動脈系統缺血發作72h以上者,病情穩定,可考慮穩定型腦卒中此類型腦卒中腦CT掃描所見與臨床表現相符的梗死灶機會多,提示腦組織已經有了不可逆的病損
(5)可逆性缺血性神經功能缺損(RIND):是指缺血性局灶性神經動能障礙在24~72h才恢復,最遲在4周之內完全恢復者不留後遺症腦CT掃描沒有相應部位的梗死病灶。
併發症:
1.肺部感染肺部感染是主要併發症之一。重症臥床患者常合併肺部感染
2.上消化道出血是腦血管病的嚴重併發症之一,即應激性潰瘍發生機制為下視丘和腦幹病變所致現在認為與視丘下前部、後部灰白結節及延髓內迷走神經核有關。自主神經中樞在視丘下部但其高級中樞在額葉眶面、海馬回及邊緣系統消化道出血的機制與上述部位原發或繼發的病灶有關
3.褥瘡主要是軀體長期不變動體位,而致局部皮膚及組織受到壓迫時間過長而發生缺血、壞死的一系列表現。腦血管病患者,由於高齡患者較多,肢體癱瘓長期臥床,活動不便,容易對於骨隆起等部位壓迫,使局部組織缺血及缺氧
4.腦血管病後抑鬱症和焦慮反應:腦血管病後抑鬱是腦血管病較為常見的情感障礙臨床應予以高度重視
(1)抑鬱反應的特徵性症狀:①心情不好心境悲觀自我感覺很壞②睡眠障礙失眠、多夢或早醒③食慾減退不思飲食④興趣和愉快感喪失,對任何事情均動力不足缺乏活力⑤生活不能自理,自責自罪,消極想死。⑥體重迅速下降⑦性慾低下,甚至沒有性慾
(2)焦慮反應的特徵性症狀:①持續性緊張不安和憂慮的心境。②同時有心理症狀,如注意力不集中、記憶力下降,對聲音敏感和容易激惹。③同時有軀體症狀,包括交感神經興奮症狀,如血壓升高、心跳加快胸悶、呼吸加快煩躁、坐臥不寧等和副交感神經興奮的症狀如多尿胃腸活動增加而致腹瀉。
診斷:
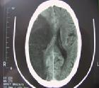
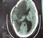
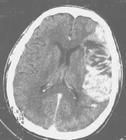
中老年人既往有高血壓、糖尿病心臟病史等,於安靜休息時出現神經系統定位體徵如偏癱、失語等局灶性神經功能障礙,或其他腦局灶性症狀,一般無明顯的意識障礙,應考慮腦梗死的可能,需及時做腦CT掃描或腦MRI檢查有助於確診
鑑別診斷:
1.腦出血多在活動時或情緒激動時發病,多數有高血壓病史而且血壓波動較大,起病急,頭痛嘔吐意識障礙較多見,腦CT掃描可見高密度出血灶
2.腦腫瘤緩慢進展型腦梗死,注意與腦腫瘤鑑別,原發腦腫瘤發病緩慢,腦轉移腫瘤發病有時與急性腦血管病相似,應及時做腦CT掃描,如果腦腫瘤與腦梗死不能鑑別最好做腦MRI檢查以明確診斷。
實驗室檢查:
1.腦脊液檢查目前一般不做腦脊液檢查同時腦脊液檢查也不作為缺血性腦血管病的常規檢查多數腦梗死患者腦脊液正常,如梗死面積大腦水腫明顯者壓力可增高少數出血性梗死者可出現紅細胞增多後期可有白細胞及細胞吞噬現象。
2.血尿便常規及生化檢查主要與腦血管病危險因素如高血壓、糖尿病、高血脂、心臟病動脈粥樣硬化等相關。
其它輔助檢查:
1.腦CT掃描腦梗死的腦CT掃描的主要表現為:①病灶的低密度:是腦梗死重要的特徵性表現此徵象可能系腦組織缺血性水腫所致②局部腦組織腫脹:表現為腦溝消失腦池、腦室受壓變形,中線結構向對側移位即腦CT掃描顯示有占位效應此徵象可在發病後4~6h觀察到③緻密動脈影:為主要腦
腦梗死2.腦MRI檢查能較早期發現腦梗死,特別是腦幹和小腦的病灶。T1和T2馳像時間延長加權圖像上T1在病灶區呈低信號T2呈高信號腦MRI檢查能發現較小的梗死病灶腦MRI彌散成像能反映新的梗死病變。MRI在缺血性腦梗死早期診斷和鑑別診斷的評價中已顯示出優勢,近年來超導高檔磁共振設備投入臨床套用,基於平面回波(EPI)技術的磁共振彌散加權成像(DWI)及血流灌注加權成像(PWI)的套用,對腦梗死的早期診斷,甚至在急性腦梗死區血流灌注變化以及病理生理過程的相關性研究都取得了一定進展
3.DSAMRA經顱都卜勒超聲檢查此3項檢查的主要目的是尋找腦血管病的血管方面的病因。經顱都卜勒超聲檢查價格便宜方便能夠及早發現較大的血管(如大腦前動脈大腦中動脈、大腦後動脈及基底動脈等)的異常。腦MRA檢查簡單、方便可以排除較大動脈的血管病變幫助了解血管閉塞的部位及程度。DSA能夠發現較小的血管病變並且可以及時套用介入治療。
相關檢查
•>β-血小板球蛋白
•>放射性核素腦血管造影
•>激肽釋放酶
•>纖維蛋白原
•>脂蛋白a
•>腦脊液
•>腦脊液pH
•>腦脊液次黃嘌呤
•>腦脊液穀草轉氨酶、谷丙轉氨酶
•>腦脊液黃嘌呤
•>蛋白定量(腦脊液)
•>血小板活化因子
•>血栓調節蛋白
•>血栓調節蛋白抗原
•>顱腦的CT檢查
•>顱腦的MRI檢查
•>顱腦超聲檢查
•>高密度脂蛋白-膽固醇
治療
1.急性腦梗死的治療原則是:①綜合治療及個體化治療:在疾病發展的不同時間針對不同病情、病因採取有針對性的綜合治療和個體化治療措施②積極改善和恢復缺血區的血液供應,促進腦微循環,阻斷和終止腦梗死的病理進程。③預防和治療缺血性腦水腫④急性期應早用腦細胞保護治療可採取綜合性措施保護缺血周邊半暗帶的腦組織,避免病情加重。⑤加強護理和防治併發症,消除致病因素,預防腦梗死再發⑥積極進行早期規範的康復治療以降低致殘率。⑦其他:發病後12h內最好不用葡萄糖液體可用羥乙基澱粉(706代血漿)或林格液加三磷腺苷(ATP)輔酶A及維生素C等避免在急性期用高糖液體加重酸中毒和腦損害。
2.急性期一般治療急性期應儘量臥床休息加強皮膚口腔呼吸道及大小便的
腦梗死護理注意水電解質的平衡如起病48~72h後仍不能自行進食者,應給予鼻飼流質飲食以保障營養供應。應當把患者的生活護理、飲食、其他合併症的處理擺在首要的位置。另外大多數患者患者親友及部分醫務人員期望的是有更好的藥物使患者早日康復,而忽視了其他治療方面,如患者的飲食。由於部分腦梗死患者在急性期,生活不能自理,甚至吞咽困難,若不給予合理的營養能量代謝會很快出現問題,這時即使治療用藥再好也難以收到好的治療效果
3.腦水腫的治療
(1)甘露醇:臨床常用20%的甘露醇高滲溶液。甘露醇是最常用的有效的脫水劑之一。腦梗死範圍大或伴有出血時,常有病灶周圍的腦水腫,近年來發現甘露醇還有較強的自由基清除作用依病情選用20%的甘露醇125~250ml快速靜注,每6~8小時1次靜滴的速度要快最好是靜脈推注要求在15~30min內注完250ml20%的甘露醇,太慢起不到降顱壓的作用甘露醇用量不宜過大,一般控制在1000ml/d以下對於老年患者或腎功能欠佳的患者,應控制在750ml/d以下並分4~6次給藥一般套用3~5天后應減少劑量,使用時間以7~10天為宜近年來多數學者認為除用於搶救腦疝外快速小劑量輸入(125ml)可獲得與一次大劑量輸入類似的效果套用甘露醇期間要密切監控患者的腎功能變化注意監控水、電解質變化。
(2)10%甘果糖(甘油果糖):可通過高滲脫水而發生藥理作用還可將甘油代謝生成的能量得到利用進入腦代謝過程,使局部代謝改善通過上述作用能降低顱內壓和眼壓,消除腦水腫增加腦血容量和腦耗氧量改善腦代謝。
用量:一般為10%甘果糖(甘油果糖)250~500ml緩慢靜點甘果糖(甘油果糖)注射液降顱壓高峰出現時間比甘露醇晚,故在搶救急性顱內高壓如腦疝的情況下,首先還是推薦使用甘露醇但是甘果糖(甘油果糖)降壓持續時間比甘露醇長約2h,並具有無反跳現象對腎功能損害少和對電解質平衡干擾少的特點更適用於慢性高顱壓、腎功能不全或需要較長時間脫水的患者
(3)利尿性脫水劑:如呋塞米(速尿)利尿酸鈉可間斷肌內或靜脈注射。對於腦水腫引起顱內壓增高的利尿藥,要求作用迅速、強效,在各類利尿藥中以髓襻利尿藥如呋塞米(呋喃苯胺酸)套用最多常用呋塞米(速尿)20~40mg肌注或緩慢靜脈滴注1~1.5h後視情況可重複給藥。注意水和電解質紊亂和對其他代謝的影響另外注意速尿能抑制腎臟排泄慶大黴素頭孢菌素和地高辛,當與前兩者合用時可增加其腎臟和耳毒性,在腎功能衰弱時,此相互作用更易發生。
(4)腎上腺皮質激素:主要是糖皮質激素如氫化可的松可的松等,其分泌和生成受促皮質素(ACTH)調節具有抗炎作用、免疫抑制作用抗休克作用。其中地塞米松抗腦水腫作用最強,特別對血管源性腦水腫屬於長效糖皮質激素,半衰期<300min,半效期36~54h常用量10~15mg,加入葡萄糖液中或甘露醇中靜點。
(5)人血白蛋白(白蛋白):人血白蛋白是一種中分子量的膠體在產生膠體滲透壓中起著重要作用有利於液體保留在血管腔內。具有增加循環血容量和維持血漿滲透壓的作用每5g人血白蛋白在維持機體內的膠體滲透壓方面約相當於100ml血漿或200ml全血的功能急性腦血管病用人血白蛋白治療提高了人體膠體滲透壓,提高膠體滲透壓可以作為治療腦梗死和腦出血的中間環節同時又有降低顱內壓的作用。
4.急性期溶栓治療血栓和栓塞是腦梗死發病的基礎,因而理想的方法是使缺血性腦組織在出現壞死之前恢復正常的血流。腦組織獲得腦血流的早期重灌注,可減輕缺血程度,限制神經細胞及其功能的損害。近年來通過國內外大量的臨床研究認為在血液稀釋血管擴張溶栓等治療中溶栓治療成為急性腦梗死最理想的治療方法
選擇溶栓的時間窗和適應證等是目前重點研究的課題之一。動物實驗大鼠為4h左右,猴為3h人也應該是3h左右,提出發病後6h的療效可疑一般文獻報導用於發病後6h內是溶栓的時間窗。另外由於溶栓藥物的套用帶來了嚴重出血的危險,是否具備有經驗的專科醫生良好的影像學設備及監護搶救措施亦非常重要北京醫科大學第一醫院用尿激酶(UK)經靜脈對43例急性腦梗死患者進行了觀察,並制訂了一個初步的入選標準,結果表明,靜脈溶栓治療急性腦梗死是較安全的但此項治療仍在研究探索階段。無論是動脈溶栓還是靜脈溶栓要嚴格掌握適應證和禁忌證。
(1)適應證:
①儘早開始溶栓治療至少在症狀發生的4~6h內可以預防大面積腦梗死挽救缺血半暗區和低灌注狀態。
②年齡<75歲③無意識障礙但對基底動脈血栓由於預後差即使昏迷也不禁忌④腦CT掃描排除腦出血且無神經功能缺損相對應的低密度區⑤溶栓治療可以在發病後6h以內進行若是進展性卒中可以延長到12h以內進行。
⑥患者家屬需簽字同意
(2)禁忌證:
①單純性共濟失調或感覺障礙。
②臨床神經功能缺損很快恢復
③活動性內出血或出血性素質和出血性疾病凝血障礙性疾病,低凝狀態
④口服抗凝藥物及凝血酶原時間>15s者,或48h內用過肝素且部分凝血活酶時間延長,低蛋白血症
⑤顱內動脈瘤動靜脈畸形、顱內腫瘤蛛網膜下隙出血、腦出血。
⑥6個月內有過腦血管病史但無明顯肢體癱瘓的腔隙性梗死不受影響。
6周內做過大手術或有嚴重創傷⑦治療前血壓明顯增高,收縮壓>24kPa(180mmHg),或者舒張壓>14.66kPa(110mmHg)。⑧其他:曾發生過腦出血或出血性腦梗死者;3周內有胃腸道及泌尿系出血,或活動性肺結核者;月經期、妊娠期產後10天以內;嚴重的肝、腎功能障礙者;血小板數<10萬者;溶栓藥物過敏者;急性亞急性細菌性心內膜炎患者。
(3)溶栓常用的藥物:
①尿激酶(UK):目前臨床試驗結果證實尿激酶是一種有效、安全的溶栓製劑尿激酶用量各地報導不一致急性溶栓常用量一般報導50萬~75萬U的較多加入生理鹽水250ml中靜滴。用藥期間應做凝血功能的監測以防出血也有報導靜脈給藥:50萬~150萬U加生理鹽水100~200ml靜脈滴注2h內滴完。最初半小時可快速給予50萬~100萬U,臨床症狀明顯改善時,放慢靜滴速度。動脈給藥一般為50萬~75萬U對嚴重高血壓(Bp>180/110mmHg)、消化道潰瘍活動性肺結核、出血性疾病手術及外傷史患者禁用。
②蛇毒治療:現臨床套用的蛇毒製劑很多有安克洛酶(Ancrod)、巴曲酶(Batroxobin)、蝮蛇抗栓酶、蛇毒抗栓酶3號去纖酶(降纖酶)和蝮蛇抗栓酶(清栓酶)等本類藥物副作用甚微使用相對安全去纖酶(降纖酶)為新型強力單成分溶血栓微循環治療劑,具有增強纖溶系統活性降低血漿纖維蛋白原濃度、降低血液黏度、減少血小板聚集作用,能快速溶栓使心腦缺血部位恢復功能,達到治療和防止復發的效果。
常用去纖酶(降纖酶)注射劑首次10U加生理鹽水250ml。靜滴90min以上,以後隔天或每天靜滴1次,5U/d連用2次1個療程5天不合併套用其他抗凝、溶栓、抑制血小板聚集藥物。能溶解血栓,改善梗死灶周圍缺血半暗區的血液供應,減輕神經細胞的損傷過程從而使臨床症狀與體徵好轉或消失同時還具有降低血黏度抑制紅細胞聚集抑制紅細胞沉降,增強紅細胞的血管通透性及變形能力,降低血管阻力改善微循環作用
③阿替普酶(tissueplasminogenactivatort-PA):阿替普酶(t-PA)溶栓治療,3個月後的總療效為30%~50%痊癒者為12%顱內出血的併發症約6%。目前認為溶栓治療加上腦保護劑是急性缺血性卒中的最佳治療方案。阿替普酶(rt-PA)溶栓治療應在神經科醫師的指導下於發病後3h內在急診監護條件下進行。一些慎重選擇的病例可以延長到12h以內,基底動脈梗死治療時間窗可以適當延長。
歐洲最新推出的腦保護劑lubeluzole被認為是療效可靠的藥物。動物實驗證實lubeluzole有細胞內一氧化氮調節作用、鈉/鈣通道調節作用γ-氨酪酸(GABA)激動劑和N-甲基-D-天門冬氨酸(NMDA)受體拮抗藥作用。
(4)並發出血的主要因素有:①溶栓治療的時間較晚,超過6~12h②溶栓治療前有明顯的高血壓一般收縮壓>24kPa(180mmHg)或者舒張壓>14.66kPa(110mmHg)③腦CT掃描顯示有與神經功能缺損相對應的低密度區④溶栓藥物劑量過大
5.抗凝治療抗凝劑對早期的腦梗死具有一定的治療作用,可用於不完全性缺血性卒中尤其是椎-基底動脈血栓抗凝治療是通過抗凝血藥物干擾凝血過程中的某一個或某些凝血因子而發揮抗凝作用。
對於動脈性血栓形成目前試用抗血小板藥進行預防,對於剛形成的血栓還可用纖維蛋白溶解藥進行治療凡有出血傾向潰瘍病史嚴重高血壓、肝腎疾患及年齡過大者忌用
常用藥有:肝素鈣(低分子肝素),皮下注射1~2次/d。雙香豆素前2天與肝素合用第1天用100~200mg分2~3次口服以後維持量為25~75mg,1次/d。腸溶阿司匹林50~75mg,1次/d。其他藥物尚有華法林(華法令)醋硝香豆素(新抗凝片)等原則上使用這類藥物應使凝血酶原時間保持在正常值的2~2.5倍,每療程不應少於3~6個月治療期間如發生出血時,應即停用並予維生素K治療
6.腦梗死和頸內動脈狹窄的介入療法腦血管病的介入治療又稱為神經外科疾病的血管內治療它是藉助於具有高清晰高分辨力的數字減縮造影機(DSA)在電視導向下,將小導管送至腦內病變處,進行檢查、診斷及治療目前套用的導管可細微到直徑0.4mm,稱之微導管,通過導管進行栓塞、溶解擴張等各項治療。隨著該項技術的套用開闢了對腦血管及脊髓血管病診治的新途徑。
介入治療具有不開顱創傷小痛苦少恢復快的特點,並且,對一些疾病可以達到外科手術難以達到的治療效果因此越來越受到醫生的重視和患者的歡迎同時隨著新技術、新材料的不斷
腦梗死發展介入醫學的套用範圍愈來愈廣同時也更安全更可靠。對於閉塞性腦血管病,如急性腦梗死引起的偏癱頸動脈或椎-基底動脈狹窄所致短暫性腦缺血發作(TIA)及可逆性神經功能障礙(RIND)、視網膜中央動脈或中央靜脈閉塞引起的視力減退、靜脈竇血栓性形成引起的顱內壓增高等均可通過血管內的介入治療得以改善介入治療的方法分溶栓血管成形術或支架置入,根據病變選擇不同的治療方法。
7.其他治療措施
(1)急性期血壓的調控:腦梗死急性期的血壓調控並非一個簡單的問題必須認真對待對血壓嚴密的監測,適度、慎重的調控,合理的個體化治療對於降低腦梗死患者的死亡率減輕致殘和防止復發均有重要意義。
有關腦梗死急性期的血壓調控,雖然目前沒有統一的標準大多主張應遵循慎重適度的原則梗死急性期的血壓增高對於大部分患者無須急於進行降血壓治療應嚴密觀察病情變化對於血壓高首先要分清血壓是持續性增高還是暫時性的改變。主要通過:①詢問病史了解患者是否既往有高血壓病史。②臨床上尋找有無靶器官損害的依據,包括高血壓性視網膜病變心電圖或超聲心動圖提示左心室肥大、腎功能損害導致的蛋白尿等。對於無高血壓病的患者短暫性血壓增高無需採取干預血壓的措施主要是對症處理如果存在明顯顱內壓增高的情況可以通過積極脫水降顱壓的方法治療。適當給予鎮靜藥鬆弛患者緊張情緒,對於部分緊張性高血壓有效一般情況下這類患者的血壓只要能維持在21.33~12kPa(160/90mmHg)以內即可。
(2)血管擴張藥的使用:一般認為發病後24h內即腦水腫出現前套用血管擴張藥能改善局部缺血防止梗死的發展但多數學者認為血管擴張藥物反而使腦內盜血現象加重故不主張急性期套用,僅用於腦梗死的恢復期。但對症狀輕微梗死灶小無明顯腦水腫或起病3周以後的病例可以套用。
常用藥物有:煙酸200~300mg或鹽酸罌粟鹼30~90mg加入葡萄糖或低分子右鏇糖肝中靜脈滴注,1次/d,約1周為1療程。其他尚有曲克蘆丁(維腦路通)、己酮可可鹼倍他司汀(培他定)等
(3)神經保護劑
①鈣通道阻滯藥:腦梗死發生後由於腦組織缺血缺氧病灶內神經細胞處於鈣超載狀態,套用鈣通道拮抗藥能阻止過多的鈣流入胞漿和線粒體,能減輕超載狀態防止細胞死亡,可以減輕腦血管平滑肌的痙攣,改善腦微循環增加腦血流供應
常用的藥物如尼莫地平,發病12~18h內開始套用4~8mg加入5%葡萄糖500ml中靜滴1次/d。尼莫地平(尼莫通)50ml與5%葡萄糖500ml或生理鹽水500ml以1∶4的速度靜點,1次/d或者尼莫地平20~40mg3~4次/d口服。桂利嗪(腦益嗪),25mg,3次/d口服。氟桂利嗪(氟桂嗪)5~10mg每晚1次口服。低血壓、顱內壓增高者慎用。
②興奮性胺基酸受體拮抗藥:有報導鎂鹽可減少缺血性腦梗死的範圍。
③γ-氨酪酸(GABA)受體激動藥:γ-氨酪酸(GABA)是腦內主要的抑制性神經遞質,與主要的興奮性遞質谷氨酸相抗衡即缺血時γ-氨酪酸(GABA)能抑制機體受損而刺激GABAA受體激動藥Muscimol或與地佐環平(MK-801)合用均能有效對抗腦缺血損傷。
④自由基清除劑:自由基超氧化物、過氧化氫和羥自由基的形成將導致脂質膜的過氧化損傷蛋白質氧化和DNA損傷。所以自由基清除劑理論上可保護腦缺血損傷動物實驗證實有效的自由基清除劑有:谷胱甘肽過氧化酶過氧化氫酶維生素E甘露醇CuZn-SODMn-SOD等
⑤神經營養因子:腦缺血損傷後大量神經保護因子的基因表達增加。如神經營養因子(NTF)NGF轉生長因子(TGFS)等它們在缺血的自我保護中起保護作用。
(4)血液稀釋療法:血液稀釋治療缺血性腦血管病的治療機制:主要在於迅速增加局部腦血流量,促進缺血區功能恢復。
臨床上血液稀釋可以分為高容積(用擴容劑)及等容積(放血及補液)兩種方法過去常用的右鏇糖酐40(低分子右鏇糖酐)靜滴屬高容稀釋,可增加腦血流量,缺點是可增加顱內壓及心輸出量有顱內壓增高者及心功能不全者禁用
8.康復治療
宜早期開始病情穩定後積極進行康復知識和一般訓練方法的教育並注意患肢體位
恢復期治療目的就是改善頭暈頭痛、肢體麻木障礙、語言不利等症狀,使之達到最佳狀態;並降低腦梗塞的高復發率。
目前認為腦梗塞引發的肢體運動障礙的患者經過正規的康復訓練可以明顯減少或減輕癱瘓的後遺症,有人把康復看得特別簡單,甚至把其等同於“鍛鍊”,急於求成,常常事倍功半,且導致關節肌肉損傷、骨折、肩部和髖部疼痛、痙攣加重、異常痙攣模式和異常步態,以及足下垂、內翻等問題,即“誤用綜合徵”。
不適當的肌力訓練可以加重痙攣,適當的康復訓練可以使這種痙攣得到緩解,從而使肢體運動趨於協調。一旦使用了錯誤的訓練方法,如用患側的手反覆練習用力抓握,則會強化患側上肢的屈肌協同,使得負責關節屈曲的肌肉痙攣加重,造成屈肘、屈腕鏇前、屈指畸形,使得手功能恢復更加困難。其實,肢體運動障礙不僅僅是肌肉無力的問題,肌肉收縮的不協調也是導致運動功能障礙的重要原因。因此,不能誤以為康復訓練就是力量訓練。
在對腦梗塞後遺症患者運動功能障礙的康復治療中,傳統的理念和方法只是偏重於恢復患者的肌力,忽視了對患者的關節活動度、肌張力及拮抗之間協調性的康復治療,即使患者肌力恢復正常,變可能遺留下異常運動模式,從而妨礙其日常生活和活動能力的提高。
實驗及臨床研究表明,由於中樞神經系統存在可塑性,在大腦損傷後的恢復過程中,具有功能重建的可能性。目前國內國際上一般建議在日常的家庭護理康復治療中,使用家用型的肢體運動康復儀器來對受損的肢體運動恢復。它本身以以神經促通技術為核心,使肌肉群受到低頻脈衝電刺激後按一定順序模擬正常運動,除直接鍛鍊肌力外,通過模擬運動的被動拮抗作用,協調和支配肢體的功能狀態,使其恢復動態平衡;同時多次重複的運動可以向大腦反饋促通信息,使其儘快地最大限度地實現功能重建,打破痙攣模式,恢復自主的運動控制,尤其是家用的時候操作簡便。這種療法可使癱瘓的肢體模擬出正常運動,增強患者康復的自信心,恢復患者的肌張力和肢體運動。
原則:
1、科學準確用藥,預防腦梗塞復發
腦梗塞屬於高復發不可逆性的慢性腦血管意外,病人出院後仍需按醫生囑咐規律服藥,控制好高血壓、高血脂、糖尿病等動脈硬化的基礎病變,並定期到醫院複查。常用治療腦梗塞的有效藥物包括抗血小板聚集類藥物,如拜阿司匹林;腦保護營養藥物,益氣活血開竅止痛藥物。
2、儘早、積極地開始康復治療
如前所述,腦梗死形成後會留下許多後遺症,如單癱、偏癱、失語等,藥物對這些後遺症的作用是非常有限的,而通過積極、正規的康復治療,大部分病人可以達到生活自理,有些還可以回到工作崗位。有條件者最好能到正規的康復醫院進行系統康復。如因各種原因不能到康復醫院治療者,可購買一些有關方面的書籍和錄像帶,在家自己進行。康復宜及早進行。病後3~6個月內是康復的最佳時機,半年以後由於已發生肌肉萎縮及關節攣縮,康復的困難較大,但同樣也會有一定的幫助。
3、日常生活訓練
患病後許多以前的生活習慣被打破,除了要儘早而正規地訓練患肢,還應注意開發健肢的潛能。右側偏癱而平時又習慣使用右手(右利)的患者,此時要訓練左手做事。衣服要做得寬鬆柔軟,可根據特殊需要縫製特殊樣式,如可以在患肢袖子上裝拉鎖以便去看病時測量血壓。穿衣時先穿癱瘓側,後穿健側;脫衣時先脫健側,後脫患側。
4、面對現實,調整情緒
俗話說:“病來如山倒,病去如抽絲”。此話用在腦血管病人身上更貼切。面對既成事實,應調整好情緒,積極進行康復以儘早重返社會。嚴重的情緒障礙患者可請醫生幫助,使用抗抑鬱劑,如百憂解,對腦血管病後的抑鬱焦慮情緒有良好的作用。
5、後遺症的功能恢復護理
(1)語言不利語言障礙的病人情緒多焦躁、痛苦。醫護人員要多接觸病人,了解病人痛苦,讓病人保持心情舒暢,消除緊張心理。必須儘早地誘導和鼓勵患者說話,耐心糾正發音,從簡到繁,如“e”、“啊”、“歌”等,反覆練習堅持不懈。並配合針刺啞門、通里、廉泉等穴,這利於促進語言功能改善和恢復。
(2)肢體功能障礙急性期護理上要注意將癱瘓肢體置放功能位置,以防肢體發生攣縮畸形,多採用仰臥位和側臥位。在病人病情穩定情況下,多利用家用型的肢體康復治療儀指導和輔助其進行功能鍛鍊,從簡單的屈伸開始,要求活動充分,合理適度,避免損傷肌肉和關節,每天2~4次,每次5~30分鐘。並配合藥物治療,按摩患側肢體,針刺曲池、合谷、足三里等。囑病人經常用熱水浸泡患側肢體,促進其血液循環。
(3)口角歪斜臨床上常見病側眼瞼閉合不全、口角下垂、不能皺額、閉眼、鼓腮、吹哨。病人常常產生消極情緒,失去治療信心。護士應同情關心病人,給予精神鼓勵,以便取得信任,舒其情志。飲食上宜給易於消化、富於營養流質或半流質飲食。配合針刺頰車、地倉、迎香、四白。鼓勵病人多做眼、嘴、臉部運動,並經常按摩局部。
康復體位:
(1)臥位:上肢應處於輕外展位,肘輕屈,肩胛處、前臂和手用枕頭支托掌心向上,使前臂保持鏇後位,防止肩胛骨後撤。下肢骨盆、臂部用枕頭支托,防止下肢外鏇和骨盆後墜下肢伸肌張力高的患者應採取側臥位
(2)患側臥位時:患側肩部向前伸,肘伸展,掌心向上,如果手指屈曲肌張力高大拇指與其他4指用布卷或紙卷隔開下肢稍屈曲,腳掌與小腿儘量保持垂直
(3)健側臥位時:患側上肢下墊一枕頭,上肢伸直,掌心向下手腕略微抬起
鼓勵患者樹立恢復生活自理的信心配合醫療和康復工作爭取早日恢復,同時輔以針灸按摩理療等以減輕病殘率提高生存質量。
關於康復鍛鍊的實施,可以在醫生的指導下儘早適度進行癱瘓肢體等神經功能缺損的康復鍛鍊即對患肢近端和遠端進行按摩,幫助患肢關節做被動關節活動訓練根據病情鼓勵患者多用患肢,並鼓勵患者用健手幫助患手鍛鍊。逐漸進行翻身訓練,坐位訓練,站立訓練行走訓練手的功能訓練,藉助於運動器械訓練,反覆練習。
研究表明康復鍛鍊患者明顯優於沒有進行康復鍛鍊的患者說明腦血管患者早期康復治療可以明顯提高治癒好轉率療效以輕、中型為顯著重型患者也較康復前有明顯進步
9.腦血管病的卒中單元治療模式
(1)什麼是卒中單元:卒中單元(strokeunit)是一種卒中治療的管理模式,是指為卒中病人提供相關的系統性藥物治療、肢體康復語言訓練、心理康復和健康教育。卒中單元的核心工作人員包括臨床醫生、專業護士物理治療師職業治療師、語言訓練師和社會工作者。
從以上概念可以把卒中單元的特點概括為:
①針對住院的卒中病人因此它不是急診的綠色通道也不是卒中的全程管理,只是病人住院期間的管理
②卒中單元不是一種療法而是一種病房管理系統在這個系統中並不包含新的治療方法。
③這個新的病房管理體系應該是一種多元醫療模式(multidisciplinarycaresystem)也就是多學科的密切合作
④病人除了接受藥物治療,還應該接受康復和健康教育但是,卒中單元並不等於藥物治療加康復治療,它是一種整合醫療(integratedcare)或組織化醫療(organizedcare)的特殊類型
⑤卒中單元體現了對病人的人文關懷,體現了以人為本,它把病人的功能預後以及病人和家屬的滿意度作為重要的臨床目標,而不像傳統病房的治療只強調神經功能的恢復和影像學的改善。
(2)卒中單元可分為以下4種基本類型:
①急性卒中單元(acutestrokeunit):收治急性期的病人通常是發病1周內的病人,在這種卒中單元中強調監護病人住院數天,一般不超過1周。
②康復卒中單元(rehabilitationstrokeunit):收治發病1周后的病人,由於病情穩定,更強調康復病人住院數周,甚至數月
③聯合卒中單元(combinedacuteandrehabilitationstrokeunit):也稱完善卒中單元(comprehensivestrokeunit),聯合急性和康復的共同功能收治急性期病人但住院數周如果需要,可延長至數月。
④移動卒中單元(mobilestrokeunit):也稱移動卒中小組(mobilestroketeam),此種模式中沒有固定的病房病人收治到不同病房,一個多學科醫療小組去查房和制定醫療方案因此沒有固定的護理隊伍。也有作者認為,此種形式不屬於卒中單元,只是卒中小組(stroketeam)。
(3)所有卒中病人都應該接受卒中單元治療:
卒中單元是卒中醫療的常見方式,建立卒中單元不是一件困難的事情,因此有必要強調所有的病人都必須收治到卒中單元進行治療。
為了推行卒中單元,各個國家的卒中指南都強調了急性期病人應該收入卒中單元,其中近年出版的英國皇家醫學會指南(2000)、歐洲卒中促進會指南(2000)、美國卒中協會指南(2003)尤其強調收治(如卒中單元康復早期介入、多元醫療小組)的必要性。
2002年我國啟動的北京組織化卒中醫療工程(BeijingorganizedstrokecaresystemBOSCS)項目的運行,將會極大促進我國卒中醫療水平的提高和向國際體系靠近。
預後
腦梗死比腦出血的病死率低而致殘率高。隨年齡增長病死率明顯上升,平均病死率為25%左右(10%~47%)。常見死因是腦疝多臟器衰竭、繼發感染及心肺功能不全。倖存者中病殘率亦較高,大約20%的倖存者在1~2年內再次復發。
預防
針對可能的病因積極預防。加強對動脈粥樣硬化高脂血症高血壓糖尿病等疾病的防治
1.對於高血壓患者,應將血壓控制在一個合理水平。因為血壓過高,易使腦內微血管瘤及粥樣硬化的小動脈破裂出血;而血壓過低腦供血不全微循環淤滯時,易形成腦梗死。所以應防止引起血壓急驟降低腦血流緩慢血黏度增加,以及血凝固性增高的各種因素。
2.積極治療短暫性腦缺血發作。
3.講究精神心理衛生許多腦梗死的發作,都與情緒激動有關
4.注意改變不良生活習慣,適度的體育活動有益健康避免不良嗜好如吸菸酗酒暴飲、暴食。要以低脂肪低熱量,低鹽飲食為主並要有足夠優質的蛋白質、維生素、纖維素及微量元素飲食過飽不利於健康,霉變的食品鹹魚、冷食品均不符合食品衛生的要求,要禁食
5.當氣溫驟變氣壓、溫度明顯變化時由於中老年人特別是體弱多病者多半不適應而患病,尤其是嚴寒和盛夏時老年人適應能力差,免疫能力降低,發病率及死亡率均比平時高所以要特別小心。
6.及時注意腦血管病的先兆如突發的一側面部或上下肢突然感到麻木,軟弱乏力,嘴歪,流口水;突然感到眩暈,搖晃不定;短暫的意識不清或嗜睡等。

