疾病概述
腦血管畸形腦血管畸形在沒有發病的時候,是感覺不出來的,除非做腦血管造影檢查,所以發病以前很少能得到診斷。由於畸形使得正常的血管出現了薄弱環節,在人情緒激動或其他可一刺激血壓升高的時候(如醉酒、吸菸,高度緊張,甚至是性愛的時候),該處血管由於不能承受突然升高的壓力而破損,也就是出血了。這時患者出現劇烈頭痛,昏迷等症狀,才會去就診。如果出血不多,及時送醫,還能救治,否則就有生命危險,或最終變成植物人。 腦血管畸形亦稱血管瘤,非真性腫瘤,系先天性腦血管發育異常,臨床上有多種類型,其中以動靜脈畸形多見,根據畸形血管團直徑的大小,臨床分為大、中、小型病變。本病多見於男性,青年多見。臨床表現以畸形血管破裂出血為最常見症狀,部分病人以癲癇為首發症狀;由於“盜血”現象,局限性腦缺血可致腦萎縮,智力減退、精神不正常可存在。如出血嚴重,出現腦疝,如不及時救治,常可致死。
本病治療方法較多,其中手術切除病源最為理想。血管內介入治療與γ-刀治療是一種全新治療方法。
疾病分型
腦血管畸形腦血管畸形(cerebralvascularmalformations)有4種主要類型:動靜脈畸形,海綿狀血管瘤,靜脈血管瘤和囊性動脈瘤。此外,可引起出血性腦卒中的其他腦血管病還有煙霧病、夾層動脈瘤等。
1、動靜脈畸形(AVM)
又分為典型者和Galen大靜脈畸形兩種。典型AVM多位於大腦半球,也見於丘腦、基底節或腦幹,數毫米至數厘米不等,是一團動脈和靜脈雜亂的血管,沒有毛細血管床。出現症狀的年齡由新生兒至年長兒不等。
AVM未破裂前,可無任何症狀;亦可有發育延緩、癲癇發作、頭痛、偏癱、視力障礙;體積大者可有顱內壓增高、腦積水、進行性神經症狀、頭圍增大、顱內血管雜音等。如AVM破裂,則發生出血性腦卒中、蛛網膜下腔出血或腦內出血。可有家族史,曾報導一家三代AVM,似為顯性遺傳(Larsen等,1997)。CT、MRI可顯示腦的缺血灶、鈣化灶、出血、囊變、腦室擴大等影像。治療應手術切除,術前應作血管造影。
AVM的血管盜血現象值得注意(Sheth等,1995)。AVM的臨床症狀除因為占位和壓迫以外,盜血也是重要的原因。
腦血管畸形由於AVM內部血管阻力低下,動脈血被分流到畸形內,使正常(甚至遠隔)的腦組織灌注不良、慢性缺血,從而引起進行性神經功能缺陷。PET也證明此現象。
Galen大靜脈畸形是腦的大動脈和Galen靜脈之間有血管交通。可見於新生兒和嬰兒。因血管壁較厚,故少見破裂出血。主要表現是由於大量血液被分流至畸形中。新生兒可有進行性高搏出量心力衰竭,生長發育受阻,往往誤為先天性心臟病。顱內血管雜音明顯。嬰兒期可出現腦積水。病死率很高,約50%死亡。血液分流量不大者,心衰較輕,可有反覆的一過性偏癱。治療困難,可進行分期手術。
腦血管畸形2、先天性顱內囊性動脈瘤
在小兒較少見。主要發生於顱底部的頸內動脈分又,前、後交通動脈處,或椎基底動脈。動脈局部的彈力層和肌層變弱,而突出為瘤,一般在1cm以下。臨床症狀主要是急性蛛網膜下腔出血、腦實質出血或腦室內出血。未破裂之前則常被忽視,可有頭痛及局部壓迫症狀,特別是顱神經麻痹。家族性囊性動脈瘤常為多發。本病也常伴全身病和其他血管病,如AVM、主動脈縮窄、多囊腎、煙霧病等。MRI和MRA可助診斷,但血管造影更為可靠。本病還應與獲得性腦動脈瘤鑑別,如外傷性、感染性等。本病易有復發性出血,故應手術治療。 3、靜脈血管瘤
較常見,好發於大腦半球,多見於年長兒。主要表現是癲癇發作,罕見出血,也可能無症狀。神經影像可見lmm至數cm直徑的血管畸形、約15%有鈣化。治療以保守對症為主。
4、海綿狀血管瘤
多見於大腦半球,為密集的薄壁血管。兒童期常無症狀而被偶然發現。一般到年長兒或成人才出現症狀,主要是癲癇、頭痛、腦內出血。
CT可見桑椹狀病灶。MRI的T2相顯示中心明亮而圍繞以暗環的影像。常見家族性病例,為顯性遺傳。本病也可見視網膜、肝、腎、皮膚的相似海綿狀血管瘤。對於出血危儉性不大的病例可先觀察,必要時手術。
病因病理
血管畸形是顱內血管床的發育畸形;表現為顱內某一區域血管異常增多。目前一般分為4型:
①動靜脈畸形;
②毛細血管擴張;
③靜脈血管瘤和靜脈曲張;
④海綿狀血管瘤。其中以動靜脈畸形最多見,約占半數以上。本節主要敘述動靜脈畸形的情況。腦動靜脈畸形多見於年青人,以20歲-40歲青壯年人發病率最高,男性比女性多見。胚胎期如有某種因素影響其原始腦血管網正常發育,毛細血管不健全,動靜脈直接相通形成短路,發展成為腦動靜脈畸形。
臨床表現
1、一般症狀:搏動性頭痛,位於病側,可伴顱內血管雜音。
2、出血:常為首發症狀,表現為蛛網膜下腔出血或腦內血腫。
3、癲癇:可為首發症狀或見於出血後,多為全身性發作或局限性發作,局限性發作有定位意義。
4、局源症狀:幕上病變者可有精神異常,偏癱、失語、失讀、失算等。幕下者多見眩暈、復視、眼顫及步態不穩等。
疾病影像
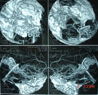
腦血管畸形1、腦動脈造影
腦動靜脈畸形有以下典型表現:①顯示畸形血管。這是特徵表現,呈一團管徑相仿相互糾纏的迂曲擴張血管。畸形血管團的範圍可小如指甲,大如手掌,多見大腦半球皮質.②異常粗大的供養動脈和引流靜脈伴局部循環加快。此為局部血流短路的表現。③血流分流現象:造影劑隨血流經畸形血管的短路大量流入靜脈,因此,血管畸形部分因血流量增加而顯影十分清楚。④血腫的表現:血管破裂出血致腦內血腫,血腫的主要表現為局部占位徵象,一股腦部動靜脈畸形無血腫時,腦血管不出現占位徵象,腦血管不移位。 2、CT表現:
在腦動靜脈畸形未破裂出血前有較典型的CT表現。在平掃,可見局灶性高低或低等混雜密度影,呈斑點、團塊或條索狀,邊緣不清。其中高密度影為局灶膠質增生、血栓、鈣化、新出血或畸形內緩慢血流和含鐵血黃素沉著所致,低密度影則為小梗塞或陳舊出血,病灶周圍有局限腦萎縮,沒有明顯占位效應,無周圍腦水腫。部分病人平掃不能發現動靜脈畸形,但注射造影劑,方能顯示病灶。注射造影劑後,腦部動靜脈畸形呈團塊狀強化,甚至可見迂曲血管影、供血動脈和引流靜脈出血後的腦動靜脈畸形則出現腦內血腫,蛛網膜下腔及腦室系統出血。根據出血時間長短表現高密度影、混雜密影及低密度影,血腫周圍有低密度水腫區。同時有腦室受壓變形及中線移位等占位效應。注射造影劑後,部分血腫邊緣可出現畸形血管迂曲強化影,同時混雜密影血腫常有環狀強化。
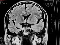
3、MRI表現
在腦部動靜脈畸形的診斷上有較大優越性,尤其是後顱窩病灶,診斷價值大於CT。因此,當懷疑病人患有腦血管畸形時,MRI為首選的影像檢查手段。①腦動靜脈畸形的血管成分,表現為成團狀、網狀分布的無信號流空血管影。其中供血動脈,在T1和T2加權像上因流空現象而表現為低信號或無信號影。引流靜脈則因血流緩饅,T1加權像呈低信號,T2加權像為高信號像。血管的鈣化表現為低信號或無信號暗區。動靜脈畸形中的血栓,在T1和T2加權像均表現為低信號夾雜等信號或高信號和低信號內夾雜高信號影。②動靜脈畸形出血形成血腫,則表現為T1和T2加權像變化和其他原因所致血腫相似。亞急性期血腫,在T1和T2加權像上均為高信號,隨時間延長,血腫在T1加權像上信號逐漸變為等信號或低信號,T2加權像上仍為高信號。
併發症
因瘤體對周圍組織壓迫或破裂出血,致抽搐、癱瘓或失語,因顱壓增高神志逐漸昏迷,伴有血腫、腦積水,新生兒可發生充血性心力衰竭,呼吸困難及發紺,嬰兒可發生梗阻性腦積水及精神運動發育遲緩。腦神經麻痹、周期性偏頭痛等。
診斷檢查
腦血管畸形1、青少年患者,有頭痛、癲癇和蛛網腔下腔出血史。 2、臨床表現有急性顱內自發出血、或癲癇發作、或明顯局源體徵者。
3、頭部CT:平掃病變常為低密度、周圍亦有低密度,若腦內出血可見高密度,增強後血管區呈高密度,有時可見供血動脈和引流靜脈。
4、頭部MRI:優於CT,不僅能顯示畸形血管及其周圍腦組織,還可區別出血與鈣化。MRI血管造影相可提高畸形血管團的診斷率。
5.腦血管造影:最可靠、最重要的診斷方法,動脈期可見血管團、供血動脈及早期顯現的引流靜脈。
治療原則:
1、手術治療。
2、血管內介入治療。
3、立體定向放射治療(γ-刀,X-刀)。
4、自發出血的治療。
5、對症治療。
用藥原則:
1、自發出血者立即使用6-氨基己酸等止血藥,降顱壓以20%甘露醇或速尿為主,必要時使用人血白蛋白。
2、癲癇:一項長期的系統的治療,根據癲癇類型,分別選用:苯妥英鈉,丙戊酸鈉,卡馬西平等,必要時用巴比妥類藥物。
3、對症及支持治療。
輔助檢查:
1、頭顱平片顯示顱內板受侵蝕及腦膜中動脈迂曲變寬,提示畸形血管可能。
2、頭部CT可發現血腫及提供畸形血管的可能性。
3、頭部磁共振:優於CT,不僅能顯示畸形血管及其與周圍腦組織的關係,還可區別出血與鈣化。
4、腦血管造影是本病最可靠和主要的診斷方法,並能行血管內介入治療。
診斷
可根據臨床表現結合實驗室檢查即可確診。
疾病治療
腦血管畸形一適應證
1、病人有下述情況之一,而造影檢查確定畸形血管可以切除者:
⑴、自發性蛛網膜下腔出血史。
⑵、癲癇頻發,藥物治療效果不佳者。
⑶、有進行性神經系統定位性損害症狀或智力減退者(盜血綜合徵)。
⑷、合併顱內血腫或顱內高壓者。 2、可採用下列手術方法治療者:
⑴血腫清除術,適用於出血後有血腫的病人。如病人情況良好,可於術前行腦血管造影,術中同時作畸形血管切除術。如病情危重,可先清除血腫,待病情恢復後行腦血管造影,再行
⑵、畸形血管切除術,適用於有過出血,特別是反覆出血者;由於腦盜血現象產生進行性輕偏癱等進行性腦功能障礙及有頑固性癲癇發作而藥物難以控制者。
⑶、供應動脈結紮術,適用於深在病變,涉及重要結構如腦幹、深部大靜脈等。但有多條供應動脈,僅結紮其中1-2條,不一定能起到治療作用。
⑷、人工栓塞術,適用於廣泛或多發性病變不能切除者,或用於廣泛血管畸形切除術前,作為一種預備性手術。
二禁忌證
均為相對禁忌證,隨著技術的改進,其中有些病例仍可手術治療。
1、腦深部、內囊、基底節、腦幹等處的動靜脈畸形。
2、廣泛性或多發性動靜脈畸形。
3、無症狀者。
4、60歲以上老年,伴有心、腎、呼吸系統嚴重疾病者。
三術前準備
1、由於有多發的可能,術前應作全腦血管造影或雙側頸動脈造影,或按畸形血管部位推測,加作椎動脈造影。典型的腦動靜脈畸形包括供應動脈、畸形灶及引流靜脈三部分。通過造影應查清供應動脈來源及引流靜脈走向,畸形灶的部位及範圍,有無血腫等合併症,以及病人有無它處畸形。才能制訂出完善的手術計畫,也是手術成功的關鍵。
2、對於複雜的動靜脈畸形,為了對付術中大出血,備血要充足(較大的腦動靜脈畸形應備血1500-2000ml),止血的器械及藥物亦需齊全,可備兩套吸引器。術前做好兩處靜脈輸液,備好動脈輸血器械。按全麻術前給藥。
3、如有條件,手術應在可以造影的手術台上進行,以便必要時術中造影。
四麻醉
如病灶淺而小,估計術中易於處理者,可用局麻。對較複雜的腦動靜脈畸形,手術最好在全麻下進行。一般在開顱時用氣管內插管,對於複雜而困難的腦動靜脈畸形可以在開始顯露畸形血管時即予降壓,並在整個手術主要過程中使收縮壓穩定在10.7-12.0kPa(80-90mmHg)。
腦血管畸形五手術步驟
1.準備性手術對於頸動脈及其分支主幹為腦動靜脈畸形供應動脈的手術,術中欲控制頸動脈血液供應時,取仰臥位,頭部轉向健側。局麻後,在甲狀軟骨平面,沿胸鎖乳突肌前緣作縱形切口。切開頸闊肌,向外拉開胸鎖乳突肌,切開頸動脈鞘,分離出頸內動脈,用膠皮圈繞過,但暫不阻斷其血流。切口塞入乾紗布保護好,以備術中必要時暫時控制出血。 2.體位、切口(以較多見的大腦半球額頂葉病灶為例)病人側臥,作額頂部大馬蹄形切口,前方應能顯露中央前回,並把整個病灶包括在手術視野中,切口中線在矢狀線上,以便顯露大腦半球縱裂。
3.開顱按頭皮顱骨瓣開顱常規處理,但要注意以下幾點:①頭皮、顱骨出血常較多,有時像腦膜瘤,故頭皮要分段切開,認真止血;頭皮和骨瓣可分別翻開。②如前中央回的粗大血管與硬腦膜明顯粘連,不要勉強掀開,可以留下小塊硬腦膜。③如掀開骨瓣時已經撕破血管,可用小塊肌肉或明膠海綿壓迫,並縫合於硬腦膜上,不可結紮血管,否則術後可發生偏癱或癲癇。④頭皮骨瓣形成後,將骨窗邊緣出血處塗以骨蠟,滲血的靜脈及蛛網膜粒用腦棉復蓋,可止血和預防氣栓形成。
4.鑑定中央回及供血動脈單憑解剖位置來確定運動區還不夠準確,可用電刺激器來鑑定。主要供血動脈直徑比正常動脈粗,血管壁比畸形血管
壁略厚,血管內主要系動脈血,符合造影片上的定位,可根據以上條件來確定。但有時由於動、靜脈血相混,血管壁本身也具缺陷,無法確定時,用小鑷子或動脈瘤夾夾住血管,觀察片刻。如系動脈,其遠端將變為藍色靜脈血;反之,如系靜脈,則無此改變。
5.結紮供血動脈確定動靜脈畸形在大腦皮層的範圍及供血動脈後,用銀夾夾住或絲線結紮供血動脈,但應保留供應前中央回區域的血管。如主要供血動脈來自大腦中動脈,可先把側裂小心分開,顯露大腦中動脈,上血管夾暫時控制血運6-8分鐘,迅速分出其供應血管瘤的分支,上銀夾後切斷,然後放開小血管夾。總之,應儘量把主要供血動脈結紮,而且越靠近血管瘤越好。此時,應可見到血管瘤變小及血管癟縮,如未癟縮,應考慮深部尚有主要供血動脈,分離時應注意顯露並予處理。
腦血管畸形6.分離血管瘤在緊貼血管瘤的周圍,電凝及切開皮層3-4mm深(已上銀夾的動脈應予切斷)。用腦壓板(深部要用帶燈腦壓板或冷光源)及吸引器在直視下小心地分離邊吸引,但絕不能盲目亂掏,以免引起洶湧出血。遇到較大血管,常用動脈瘤針帶線作雙重結紮後切斷。也可雙側上銀夾後在中間電凝並切斷,但銀夾必須比血管的直徑長,如無大型銀夾,可用腦動脈瘤夾。再逐步把畸形灶分離翻轉,找到深部主要供血血管,牢固結紮後切斷,即可摘除腦動靜脈畸形灶。 7.瘤腔止血血管瘤取出後,將活動性出血點用雙極電凝或銀夾止血。然後放入一團帶線的濕腦棉,用吸引器吸引,使腦棉與瘤腔壁附著,待幾分鐘後,細心、緩慢地將腦棉掀起,滲血處耐心細緻地用雙極電凝分別止血。如此反覆處理,出血即會停止。關顱前把生理鹽水充滿瘤腔,並再次觀察有無滲血;如有,則繼續處理,直至放在瘤腔內的生理鹽水保持澄清,並在撤去降壓藥復壓後或壓迫頸靜脈仍不出血為止。
8.關顱緊密縫合硬膜腦,顱骨窗緣硬腦膜懸吊縫合。顱骨窗內硬腦膜過分鬆弛過,可作一硬腦膜懸吊線,從顱骨瓣相應部位鑽一小孔,將懸吊線引至顱骨外,與骨膜縫合結紮,以儘量消滅硬腦膜外間隙,減少術後血腫形成的機會。硬腦膜下和硬腦膜外各放一引流管並另作切口引出。
注意事項
腦血管畸形1.手術計畫應周密穩妥,一般原則是開顱後先設法找出其供應動脈,予以結紮,在切除畸形灶後再處理靜脈。如病人情況惡化,即可停止手術,術後也可減輕症狀。腦靜脈畸形的靜脈內充有動脈血而變紅色,有時不易和動脈鑑別,此時誤把靜脈結紮,勢必引起血管瘤更充血,甚至使管壁較薄的靜脈脹破而出血。 2.大出血腦血管瘤切除時,大出血的可能性是經常存在的,應按預定手術計畫,在直視下細緻操作,儘可能避免出血;如一旦發生出血,其主要原因往往是供血動脈未能妥善處理,此時,應根據造影片及術前計畫顯露供血動脈的主幹(如大腦中動脈、大腦前動脈等),並用血管夾或動脈瘤夾控制。為了減少在顯露供血動脈主幹過程中繼續出血,可請助手把繞過頸內動脈的胖子皮圈收緊,暫時阻斷頸內動脈血流,但時間越短越好,如一時不能解決問題,可間斷放鬆膠皮圈,以免時間過久,使腦組織缺血;或可把血壓降至10.7-12.0kPa(80-90mmHg收縮壓)。如供血動脈顯露不良時,術者可用手指把已分出的血管瘤緊緊捏住,沉著而迅速地繼續沿血管瘤分離,邊分離邊上銀夾止血或雙極電凝燒灼;助手則用吸引器清理手術野。把主要供血動脈結紮後,出血多可停止,同時應按估計失血量加快輸血。但這是一種不得已才採取的措施。另一種大出血是“正常灌注壓突破綜合徵”引起的,雖然少見,但如處理不當,常會使手術失敗。當血管瘤供應動脈粗大時,動脈血經畸形灶血管直接導入靜脈,使動脈內壓降低及靜脈內壓升高,病變附近腦血管長期處於極度擴張及低壓狀態,使腦血管自動調節機能喪失。病變切除後,該區域的腦血管流量將隨腦灌注壓的上升而增加,導致正常灌注壓突破綜合徵,表現為腦組織的急性腫脹、滲血甚至廣泛出血。處理方法是延長降血壓的時間,並增加降血壓的幅度。如血管瘤位於額極、顳極等非重要功能部位,也可作較廣泛的腦葉切除,直到腦組織不再滲血或出血。
3.休克主要由於大出血所致,術中減少失血及等量輸血是根本的預防方法。但如休克已經嚴重,輸入足量全血仍不見迅速好轉時,還要注意採取以下措施:①輸入平衡液1000ml,再輸入低分子(分子量10000-40000)右鏇醣酐500-1000ml,以便擴大血容量;最近有採用氟碳人造血液,每次可輸入500-1000ml,但有類過敏反應,過敏體質者一般不宜輸入;②增加心收縮效應(可用異丙基腎上腺素或多巴胺等);③充分給氧;④適當降溫;⑤套用大量激素(如靜脈輸入地塞米松等);⑥注意彌散性血管內凝血的可能,並給予必要的檢查及處理。
腦血管畸形4.術中找不到病灶深部或較小的血管瘤有時不易尋找,因此,術前要認真分析和定位,選擇正確的手術入路,術中應沿供應動脈耐心細緻地追蹤探查。如系一條主要供應動脈的小病灶,有時單純結紮該動脈也可收到滿意效果。必要時可用帶有銀夾的腦棉片(需黑絲線扎住,以防遺漏在切口內)塞入病灶附近處,在手術台上作正、側位腦血管造影,判定病灶和銀夾的距離以助尋找。 5.因顱內出血致腦疝而行緊急開顱手術的血管瘤病人,應以清除血腫、解除腦疝壓迫、搶救生命為主要目標。術中如能發現血管瘤,則按上述要求步驟處理。如血管瘤範圍廣泛且供應動脈來源不清,則不可盲目切除血管瘤,防止導致大出血,危及病人生命。待病人情況穩定後,再行腦血管造影明確診斷,進行二次擇期手術,切除血管瘤。
嚴密觀察生命體徵,注意有無顱內血腫、休克、腦水腫的發生,並作相應處理;對於術後繼續降低血壓以治療“正常灌注壓突破綜合徵”者,更應有專人治療及護理,直至血壓恢復正常。
術後護理
觀察生命體徵變化
嚴密觀察意識、瞳孔及生命體徵的變化患者意識水平的變化是反映病情輕重的重要指標,以便掌握病情變化,嚴密觀察意識、瞳孔、呼吸、脈搏、血壓的變化,及時發現出血和再出血的體徵(如脈搏慢而有力、瞳孔不等或散大、呼吸由快變慢、血壓升高等),因此要加強巡視,保證患者安全。本組有1例患者是在睡眠中破裂出血的,做到及早發現病情變化及時搶救對患者的預後至關重要。
保持安靜,儘量減少探視
給患者一個安靜的環境,儘量減少不必要的搬動以降低腦代謝減少需氧量。出血的患者應絕對臥床休息4~6周,頭部抬高15°~30°。絕對臥床休息是為了減少破裂出血,腦血管畸形再出血者占8%,最多出血3次,再出血的患者40%~65%死亡。再出血發生在第一次出血後7天內的最多。因此護理中要注意將患者安置在安靜、空氣新鮮的病室,限制探視,絕對臥床休息,避免情緒激動、用力咳嗽等誘因,防止破裂出血。
合理飲食,保持大便通暢
(1)給予患者清淡易消化的食物,進食困難的患者應給予流質飲食,以保證營養的供給,並記錄好出、入量,保持水、電解質的平衡。對於有高血壓患者,宜低鈉飲食,控制鈉鹽的攝入,適當運動。(2)了解患者每日大便情況,有便秘患者及時遵醫囑處理,鼓勵患者多食粗纖維食物、蔬菜和水果,保持大便通暢,必要時遵醫囑給予服用緩瀉藥,小量灌腸或使用肛門栓劑,以促進排便。避免因大便乾燥而用力排便而增加顱內壓,導致腦血管畸形出血的發生。維持規律的排便時間也有利於康復的訓練。
控制性降低血壓
控制性降低血壓是預防和減少腦血管畸形出血的重要措施之一,患者血壓高會導致顱內壓增高,導致血管痙攣,腦供血減少,故血壓降低過多會造成腦灌注不足而引起腦損害。因此降血壓不宜降低過多,而且需在血壓持續監測的指導下進行,血壓應控制在發病前所測的或此患者年齡稍高的水平,以免減少腦血流灌注量而加重腦梗死。在降壓的同時,應注意觀察患者的病情變化,如有頭暈、意識改變等缺血症狀,應報告醫生可適當回升。
加強醫患溝通
加強疾病相關知識的宣教力度,做好心理護理患者入院後護士為患者及家屬做好入院介紹,給患者及家屬介紹動脈瘤出血的危險及誘發因素,加強護患之間的溝通、理解和配合,家屬能配合醫院工作。有1例病例是由於探視人員較多,患者情緒較激動,晚上發生破裂出血。在探視時不給患者增加刺激源,讓患者保持穩定情緒,以平和心態去迎接手術、配合治療。患者能了解一些出血的誘因,可以避免破裂出血。因此我們要了解患者的需要,根據患者不同的心理感受採取相應的措施。
小兒腦血管畸形表現症狀
顱內動脈瘤
臨床表現是由於動脈瘤對周圍組織的直接壓迫或因瘤體破裂出血所致。在並發出血以前往往無明顯的臨床症狀,僅偶見第Ⅲ、第Ⅴ及第Ⅵ腦神經麻痹現象;或有輕微額部或眼眶部疼痛。出血之前,可因難於解釋的單側眼肌麻痹而疑及此病。出血時往往急性發病,可見劇烈頭痛、嘔吐及頸強直等腦膜刺激症狀。並可見抽搐、偏癱、單癱或失語等。病兒可因顱壓增高神志逐漸昏迷。
大腦大靜脈的動靜脈畸形
是一種較少見的腦血管畸形。根據受累部位及其大小的差異,臨床症狀很不相同。嬰兒及新生兒後顱窩的血管畸形並非少見;而兒童的血管畸形則多位於幕上一側的大腦半球。本病常見於新生兒期及嬰兒期,本病發病較早,且有循環系統症狀,值得臨床注意。
大腦半球靜脈畸形
常見於較大兒童或青年人,臨床表現多有長期的周期性偏頭痛史,直到發生蛛網膜下腔出血才考慮本病。臨床特徵與血管畸形位置有關,其中以大腦中動脈供應的區域發生最多。病兒首發症狀多為限局性運動性發作,有時泛化至全身性發作,可持續數年。腦內雜音較為明顯,提示顱內有血管畸形的可能性。
小兒腦血管畸形檢查
X線頭顱平片檢查
有些病例可見鈣化斑點及血管溝增粗,少數有顱內壓增高或松果體移位。
腦電圖檢查
有人報導90%腦血管畸形病例呈現腦電圖異常,多是局限性異常,僅少數為瀰漫性改變。腦電圖異常與病兒年齡和病期無關。腦血管畸形範圍的直徑在2~3cm以上或呈血腫者,腦電圖改變較顯著,有癲癇發作者更為多見。畸形位於頂顳葉比枕葉和後顱窩較多呈局限性異常。
影像學檢查
是明確腦血管病變及其部位和範圍的重要方法。
資料來源
http://www.shnaoke.com/
http://www.naokedayi.com/
求醫網腦血管畸形專題
腦血管畸形求醫網(www.qiuyi.cn)創立於2000年,是北京時代網創科技發展有限公司核心平台,我們力求打造中國最專業的醫療網站。求醫網正在努力為患者提供方便、快捷和專業的線上諮詢服務,同時建立海量信息庫為患者提供最全面的醫療信息資訊……
詳細 >>
本詞條全部內容由詞條認領機構及智願者共同編輯,互動百科權威評審。

