轉移瘤
目錄 肺轉移瘤簡介 藥物 具體案例:肺轉移瘤 擅長治療肺轉移瘤的本站服務醫生 與肺轉移瘤相關的諮詢
| 目錄 |
| 肺轉移瘤簡介 |
| 藥物 |
| 具體案例:肺轉移瘤 |
| 擅長治療肺轉移瘤的本站服務醫生 |
| 與肺轉移瘤相關的諮詢 |
肺轉移瘤簡介
轉移瘤轉移瘤
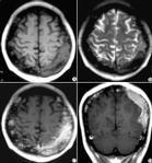
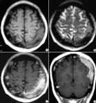
與肺轉移瘤相關的諮詢多發生於中年以上,可分為實質型、硬膜外、穹隆、軟腦膜四型。原發瘤多為肺癌、乳癌、前列腺癌、腎癌、黑色素癌、胃腸道腫瘤等,多血行轉移,亦可經腦脊液循環或直接侵犯。1.CT表現(1)平掃1)80%見於大腦半球皮質及皮質下區,好發於頂、枕葉,也可轉移到顱骨和軟腦膜。2)常多發,也可單發。3)病灶呈球形,灶周水腫明顯。因生長迅速,易發生壞死、出血和囊變,表現為等或混雜密度。4)室管膜下轉移可見沿腦室周圍出現的略高密度帶狀影。5)軟腦膜轉移可表現正常或腦池、腦溝密度增高和腦積水。(2)增強掃描:1)均一或環狀強化。
藥物
替莫唑胺·功能主治:多形性膠質母細胞瘤或間變性星形細胞瘤。·成分:·用法用量:本藥每一治療周期28天,最初劑量為按體表面積口服一次150mg/㎡,一日1次,在28天為一治療周期內連續服用5天。如果治療周期內,第22天與第29天(下一周期的第一天)測得的絕對中性粒細胞數(ANC)≥1.5×109/L,血小板數為≥100×109/L時,下一周期劑量為按體表面積口服一次200mg/㎡,一日1次,在28天的治療周期內連續服用5天。在治療期間,第22天(首次給藥後的21天)或其後48小時內檢測病人的全血數,之後每星期測定一次,直到測得的絕對中性粒細胞數(ANC)≥1.5×109/L,血小板數≥100×109/L時,再進行下一周期的治療。在任意治療周期內,如果測得的絕對中性粒細胞數(ANC)<1.0×109/L或者血小板數<50×109/L時,下一周期的劑量將減少50mg/㎡,但不得低於最低推薦劑量100mg/㎡。·規格:塑膠瓶裝。5mg:5粒/瓶或8粒/瓶,50mg:5粒/瓶或7粒/瓶。100mg:5粒/瓶水林佳水林佳是含有高純度水飛薊賓的純天然高品質降酶保肝藥物,具有治肝、保肝雙重作用,高效,安全,毒副作用小。本品通過獨有的卵磷脂固體分散技術,使其吸收和生物利用度達到同類藥物中的最高水平,使肝臟生化指標恢復正常,病人更快康復。 水林佳具有極佳的耐受性,具有直接修復、穩定肝細胞膜,調節肝脂肪代謝,減輕有毒物質引起的脂質過氧化反應的作用,適合於慢性肝炎及脂肪肝的長期治療。複方丹參滴丸主治:活血化瘀,理氣止痛。用於氣滯血瘀所致的胸痹,症見胸悶、心前區刺痛;冠心病心絞痛見上述證候者·成分:丹參、三七、冰片·用法用量:口服或舌下含服,一次10丸,一日3次,4周為一個療程;或遵醫囑·規格:180丸/瓶,100丸/瓶,150丸/瓶,60丸/瓶,口服固體藥用高密度聚乙烯瓶包裝
轉移瘤轉移瘤
養血清腦丸
養血清腦丸是養血清腦顆粒的換代產品。養血清腦丸除了擁有養血清腦顆粒所具有的多靶點的藥理作用,為治療慢性腦供血不足(CCCI)引起的頭暈、頭痛、失眠等症狀的首選用藥特
功能主治:養血平肝,活血通絡。治療血虛肝亢所致的頭痛、眩暈眼花、心煩易怒、失眠多夢等·成分:當歸、川芎、白芍、熟地黃、鉤藤、雞血藤、夏枯草、決明子、珍珠母、延胡索、細辛·用法用量:口服,一次1袋,一日3次。·規格:聚酯/鋁/聚乙烯藥品包裝用複合膜,每盒裝9袋。穿心蓮內酯滴丸穿心蓮內酯滴丸是治療上呼吸道感染(外感風熱症)及細菌性痢疾(濕熱痢)的天然中藥單體製劑,在穿心蓮內酯片基礎上改制而成的滴丸製劑,具有清熱解毒、抗菌消炎等作用。·功能主治:清熱解毒,抗菌消炎。用於上呼吸道感染,細菌性痢疾。·成分:穿心蓮內酯·用法用量:口服。一次1袋,一日3次。·規格:聚酯/鋁/聚乙烯藥品包裝用複合膜,每盒裝6袋。
轉移瘤轉移瘤
肺轉移瘤
原發於身體其它部位的惡性腫瘤經血道或淋巴道轉移到肺的相當多見。據統計在死於惡性腫瘤的病例中約20~30%有肺轉移。惡性腫瘤發生肺轉移的時間早晚不一,大多數病例在原發癌腫出現後3年內發生轉移,亦有長達10年以上者,但也有少數病例肺轉移灶比原發腫瘤更早被發現。轉移到肺的原發惡性腫瘤多來自乳腺、骨骼、消化道和泌尿生殖系統。肺轉移性腫瘤大多為遍及兩側肺的多發性病灶,大小不一,密度均勻,對這些晚期癌腫病例,目前尚無有效的治療方法。少數病例肺內只有單個孤立的轉移病灶則可考慮外外科治療。
1、肺轉移瘤以血行轉移最為常見,血行轉移為腫瘤細胞經腔靜脈回流到右心而轉到肺。瘤栓到達肺小動脈及毛細血管後,可浸潤並穿過血管壁,在周圍間質及肺泡內生長,形成肺轉移瘤。淋巴道轉移多由血行轉移至肺小動脈及毛細血管床,繼而穿過血管壁侵入支氣管血管周圍淋巴結,癌瘤在淋巴管內增殖,形成多發的小結節病灶。 2、常發生於支氣管血管周圍間質、小葉間隔及胸膜下間質,並通過淋巴管在肺內播散。腫瘤向肺內直接轉移的原發病變為胸膜、胸壁及縱隔的惡性腫瘤。 3、肺部轉移性腫瘤較小時,很少出現症狀,特別是血行性轉移,咳嗽和痰中帶血並不多見。 4、大量的肺轉移可出現氣促,尤其是淋巴性轉移。通常起病潛隱而進展較快,在數周內迅速加重。胸膜轉移時,有胸悶或胸痛。肺部轉移性腫瘤變化快,短期內可見腫瘤增大、增多,有的在原發腫瘤切除後或放療、化療後。有時可縮小或消失。
顱內轉移瘤
轉移瘤顱內轉移瘤的發生率為20%~40%。在各種腫瘤中,肺癌、胃腸癌、乳腺癌致死數和發生顱內轉移數最多,以每種腫瘤發生顱內轉移機率看,依次為黑色素瘤、乳腺癌、肺癌。顱內轉移瘤好發於40~60歲,兒童的顱內轉移瘤異於成人,中國生物抗癌網專家將為大家介紹,顱內轉移瘤的發病機制。 主要以直接浸潤和血液轉移為主。①直接浸潤:頭顱外圍組織的原發和繼發腫瘤可直接浸潤破壞顱骨、硬腦膜,或經顱底的孔隙達腦外表面的實質。腫瘤細胞侵入顱內後,或在蛛網膜下腔隨腦脊液廣泛播散,或深入腦內的大血管周圍間隙侵入腦實質;②血液轉移:大多數腫瘤細胞向腦內轉移是通過血液途徑,其中最多是通過動脈系統,少數腫瘤可通過椎靜脈系統(Batson’splexus)向顱內轉移;③腦脊液轉移和淋巴轉移:較少見。一些腦和脊髓腫瘤尤其是室管膜瘤和分化較差的膠質瘤,可沿蛛網膜下腔播散而種植,常發生在腫瘤切除術後或活檢術後。頭顱臨近部位的惡性腫瘤可借顱腔周圍的淋巴間隙進入腦脊液或椎靜脈叢,進一步發生顱內轉移。

