病因病機
傳統中醫學雖無顱內腫瘤的病名,但對顱內腫瘤的症狀及成因在《黃帝內經》中已有論述,如《素病·奇病論》曰:“髓者以腦為主,腦逆故令頭痛。”《靈樞·九針論》曰:“四時八風之客於經絡之中,為瘤病者也。”至
顱內轉移瘤中醫學對顱內腫瘤的認識,原在殷墟甲骨文上就有“瘤”的記載,在《靈樞·刺節真邪篇》中認為瘤的病因病機主要是由於“已有所結,氣歸之,津液留之,邪氣中之,凝結日以易甚,連以聚居”所至致。顱內腫瘤是為顱內有形的腫塊,屬於“癥瘕”、“積聚”的範疇。何以形成顱內腫瘤的==積聚,朱丹溪說:“凡人身上中下有快者,多是痰“,且”痰之為所結腫,乃五臟瘀血、濁氣、痰滯而成。“也指出腫瘤與痰濁有關。然而本病病位在上,初起以頭痛為主,有認為系風痰所擾,但其病症為進展性,待症顯之時,已頭痛不已。《證治要決》曰;“諸痛,乃是痰為氣所激而上,氣又為痰所隔而滯,痰與氣相搏,不能疏通。”是為氣滯痰凝之病機,氣滯則有血瘀之變。《靈樞·百病始生篇》云:“凝血蘊裹而不散,津液澀滲,著而不去,而積皆成矣。”故顱內腫瘤者,痰瘀交阻或氣血鬱結皆有之。
古人云:“氣有餘便是火”,又雲“痰為有形之火。”痰、氣均可蘊而化火,火具炎上之勢,故火熱也為顱內腫瘤的病因之一。臨床上以肝膽實熱而致頭痛、目赤、嘔吐、煩躁,諸症皆現。肝瘀化火以能動風,遂成肝風內動之症而見抽搐。然而何以痰凝、氣滯、血瘀、邪毒積聚成塊?《醫宗必讀》曰:“積之成者,正氣不足,而後邪氣踞之。”可見乃正虛邪惡之候。究其正虛之因,一是脾腎陽虛,蓋腦為髓之海,腎生髓通腦,腎虛髓海空虛而賊邪乘虛而入;脾主運化,脾虛濕聚生痰,而致痰凝血瘀入顱占位而成顱內腫瘤;而是肝腎陰虛,而致陰虛陽亢,肝陽鴟張,化火生風,而居上位。總之,顱內腫瘤是為髓海之病,多由痰濕之邪惡凝聚於腦,顱內氣滯血瘀,內壓增高,脈絡受阻,日久化熱動風,風火鴟張,又可損傷陰津,而致肝腎不足,耗津脫營,邪毒積聚,因此該病病機關鍵為痰凝血瘀,病情發展過程中可進一步演生各種併發症,而各種症之間,又可相互作用,正氣益傷,邪壅益甚,而使頭痛、嘔吐,抽搐諸症持續不得緩解,而膠固之疾。病位於腦,與肝、腎、督脈關係密切。
流行病學
顱內轉移瘤2、射線:Modan(1974年)調查了1100例放射治療頭癬的兒童,發現在12年後有0.4%發生顱內惡性腦膜瘤,對照組的發生率只有0.1%。文獻中關於顱內腫瘤放療後誘發另一種腫瘤的報導已不鮮見。臨床上惡性程度較低膠質瘤患者在接受術後放療後,時間不長,原發病灶穩定,臨近部位又長出新病灶比較多見。
3、化學物:有多種化學物可在實驗動物中誘發腦腫瘤,常見的有蒽類化合物、N-亞酸類化合物。誘發的顱內腫瘤,可為各種膠質瘤、腦膜瘤、肉瘤、上皮癌、垂體瘤等,部位以腦皮質下白質、海馬區、側腦室周圍、三叉神經、周圍神經等處為多。
4、病毒:在禽類及脊椎動物中病毒能誘發顱內腫瘤。常見致瘤病毒有腺病毒、SV40病毒、Papavo病毒、Oncorna病毒及肉瘤病毒(RSV)。SV42病毒可誘發實驗動物脈絡叢或腦室壁的室管膜瘤,發生率幾乎可達100%誘發時間約可為90—120天,RSV可在更多動物中誘發顱內腫瘤,時間約35天左右。
5、遺傳:近年來隨著細胞發展遺傳學的進展,認為本病的發生機理可能與癌基因表達過度與抑癌基因的失落兩方面因素密切相關。已經知道,神經纖維瘤病可由染色體17q11.2,雙側聽神經纖維瘤可由22q11-q13.1,小腦視覺網膜血管瘤病可由3p26-p25,結節性硬化可由9q34.1-34.2、11q14-q23、12q22-q24.1座位的基因突變引起的。遺傳因素很可能也參與一般顱內腫瘤的發病。約70%腦膜瘤可見到染色體22缺失,出現低倍體現象,腦膜瘤也於22q12.3-qter的基因突變有關。膠質瘤常有染色體9q10、17p和22q上等位基因的喪失,近年發現,膠質瘤是由於19q上一個腫瘤抑制基因的缺失。多形性膠質母細胞瘤可能是染色體10和\或17上某個基因突變後發生的單克隆腫瘤。伴發於斑痣性性錯構瘤的顱內腫瘤與遺傳有關。多灶性視網膜母細胞瘤病人都有生殖細胞的變種,具有常染色體顯性遺傳的特徵,從染色體的研究發現第13對染色體的長臂可有缺失(139ˉ),或染色體13長臂上的14帶缺失(13914)缺失。
6、飲食習慣:根據長期對眾多腦腫瘤患者的飲食習慣調查發現,患者長期過多食用酸性食物,也是發病的因素之一。長期過多食用澱粉、糖、脂肪、乳酪、肉類等酸性食物使機體體質成酸性狀態,有利於顱內腫瘤的發生和發展。
腫瘤分子生物學研究表明,有兩類基因與腫瘤的發生、發展密切相關。一類是腫瘤基因,另一類是抗腫瘤基因。抗腫瘤基因活化和過度表達誘發腫瘤形成,抗腫瘤基因的存在和表達有助於抑制腫瘤的發生。腫瘤基因可以存在於正常細胞中,不表達腫瘤特性,當這種細胞受到致瘤因素作用時,如病毒、化學物和射線等,細胞中的腫瘤基因被活化,細胞的表型發生改變,腫瘤性狀得以表達,這些細胞迅速擴增,從而形成真正的腫瘤實體。
臨床表現
顱內轉移瘤症狀表現主要包括顱內壓增高及一般症狀和局部症狀兩方面。
1.顱內壓增高及一般症狀:由於腫瘤生長迅速及周圍腦水腫嚴重,顱內壓增高症狀出現較早而顯著。90%左右病人有頭痛,70%左右有噁心嘔吐,70%以上有視乳頭水腫,30%~40%並有眼底出血,致視力減退者約占20%,約15%有外展神經麻痹,晚期約15%的病人有不同程度的意識障礙,並可有腦疝症狀。 病人一般狀況多較差,有的明顯消瘦。20%左右病人有癲癇發作,多數為局限性發作。由於腫瘤多累及額顳葉且腦水腫範圍較廣泛,亦常有精神症狀。常見的表現為反應遲鈍、表情淡漠等。腦膜轉移主要表現為顱內壓增高和腦膜刺激征,局部體徵很少見。
2.局部症狀:由於腫瘤對腦的損害較重,並且常為多發,局部症狀多顯著,且累及範圍較廣。依腫瘤所在部位產生相應的體徵。40%以上病人有偏癱、約15%有偏側感覺障礙,約10%有失語,5%左右有偏盲。位於小腦者則有眼球震顫、共濟失調等,亦可有後組顱神經症狀。
輔助檢查
顱內轉移瘤2.頭顱平片:大多數表現有顱內壓增高征,個別的可見松果體鈣化移位。
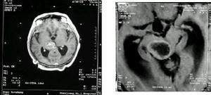
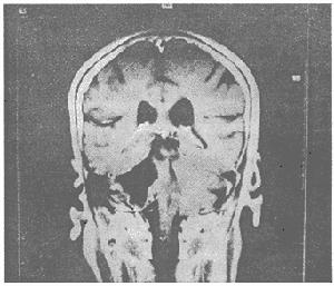
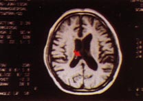
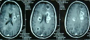
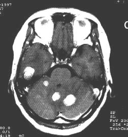
3.CT掃描:不但可定位,並可顯示腫瘤的大小、形狀及腦組織、腦室的改變、特別易於發現多發性腫瘤、腫瘤類圓形或形狀不規則,呈高密度或混雜密度影像,混雜密度者常為腫瘤內有壞死囊變,則顯示有低密區。強化後大多有明顯的塊狀或環狀影像增強、腫瘤周圍常有低密度腦水腫帶。可見腦室受壓變形,小腦腫瘤可見第三腦室以上對稱擴大。
診斷
顱內壓增高症狀明顯,局限體徵較重一般情況較差者,應首先考慮本病。由於腦轉移來自肺者多見,應照肺像。如肺像發 現腫瘤,或有其他部位惡性腫瘤史者,診斷一般可以確立。 進一步確診需作特殊檢查。CT掃描對定位定性以及發現多發腫瘤,診斷價值最高。
措施
對顱內轉移瘤治療困難,不易治癒。多主張綜合治療為主,輔以放 射治療、化學治療等,可緩解病人症狀,延長
顱內轉移瘤至於原發腫瘤不能切除、有身體多處轉移,一般情況很差者,則不宜手術。可給予激素、脫水藥物及對症治療,可短時期緩解症狀。 手術後一般情況較好,血象正常者。可給予放射治療,不能切除的腫瘤無多處轉移者,亦可行放射治療。鼻咽瘤等不宜手術的侵入瘤,宜給予放射治療。 一般情況可,血像及肝腎功能正常者,亦可予化學治療。可予卡氮芥、環己亞硝脲及根據 原發腫瘤類型選用抗癌藥物。
預後
腦轉移瘤的預後不良。50%~70%在手術後半年內死亡。存活1年以上的不過15%,個別的可存活10年以上。但經過手術治療者較未行手術者存活期為長,故對多數適於手術的病人,手術治療仍有一定的價值,而宜採取積極的態度。在各類腦腫瘤患者中大約有30%的病人有癲癇發生,部分病人雖然手術切除了瘤體,但癲癇症狀已然發生,原因是形成腫瘤和癲癇的病因病理,沒有完全消除,此類癲癇僅用一般抗癲癇藥物只能起到暫時減輕些症狀之效。因此,在治療時必須要從作用於腫瘤癲癇的病因病理入手,用中醫中藥治病求本,消除腫瘤生長因素,癲癇症狀才能得到徹底控制。抗瘤正腦系列藥物:抗腫瘤、抗癲癇有良好的作用。
治療
得了腦瘤患者都會很緊張,腦部是人體至關重要的部位,動手術風險也大,所以腦瘤患者都會有很大的心理壓力。顱內良性腫瘤,手術全切者,基本上不做術後放療(除部分星形細胞瘤外)。未能徹底切除的良性腫瘤以及無論全切除還是次全切除的惡性腫瘤均應給予術後放療。故而術後放射治療已經成為顱內腫瘤的重要治療手段之一。解放軍第309醫院放療科匡山由於腦轉移瘤的治療涉及複雜的醫學知識,需要多學科的共同參與,所以在過去的幾十年里,我國腦轉移瘤的治療一直未到重視。
不管使用何種治療方法,單發或多發腦轉移瘤,治療都較困難。治療原則包括儘可能全身靜脈化療、腎上腺糖皮質激素聯合甘露醇降低顱壓減輕腦水腫、腦轉移灶的治療、支持對症治療等。當前針對轉移灶的主要治療手段包括手術、全腦普放、精確放療。
顱內轉移瘤的治療最終還是要根據患者的具體情況來決定,因為每一種治療方式都有自己的優先和缺點,都有相應的適應症和禁忌。所以不是一概而論的。不管選擇怎樣的治療方式,患者良好的心態是很重要的。
預防
1、飲食護理
調養腫瘤與宿主為了自己的生長,存在著營養競爭,某些飲食可以抑制腫瘤生長而不影響機體的營養供給。
例如惡性黑色素瘤的低苯丙氨酸和低酪氨酸飲食,乳頭狀腺癌的低苯氨酸飲食。對惡性腦瘤限制其必須胺基酸將是一種安全有效的療法,宜多食酸棗、豬腦、香茹、核桃、桑椹、黑芝麻、白朮耳等。但目前研究尚少。
2、適當護理
(1)護理注意調整體位,無休克時,可抬高床頭150-300,勿使頸部扭曲或胸部受壓,以利顱內靜脈回流。
(2)保持呼吸道通暢,及時清除呼吸道內分泌物,定時給氧,有條件可用高壓氧艙給氧,每日2-3次,每次45分鐘。
(3)儘量避免咳嗽、噴嚏、乾嘔、及時治療便秘,保持大便通暢。
(4)限制入水量。對腦瘤有顱內壓增高腦水腫症狀的患者,應供給機體最低限度的液體,並經常檢查血電解質,防止水鈉瀦留加重腦水腫。
護理
飲食護理
調養腫瘤與宿主為了自己的生長,存在著營養競爭,某些飲食可以抑制腫瘤生長而不影響機體的營養供給。
例如惡性黑色素瘤的低苯丙氨酸和低酪氨酸飲食,乳頭狀腺癌的低苯氨酸飲食。對惡性腦瘤限制其必須胺基酸將是一種安全有效的療法,宜多食酸棗、豬腦、香茹、核桃、桑椹、黑芝麻、白朮耳等。但目前研究尚少。
日常護理
1、護理注意調整體位,無休克時,可抬高床頭150-300,勿使頸部扭曲或胸部受壓,以利顱內靜脈回流。
2、保持呼吸道通暢,及時清除呼吸道內分泌物,定時給氧,有條件可用高壓氧艙給氧,每日2-3次,每次45分鐘。
3、儘量避免咳嗽、噴嚏、乾嘔、及時治療便秘,保持大便通暢。
4、限制入水量。對腦瘤有顱內壓增高腦水腫症狀的患者,應供給機體最低限度的液體,並經常檢查血電解質,防止水鈉瀦留加重腦水腫。
