流行病學
腦內生殖細胞瘤生殖細胞瘤的發生率文獻中報導不一,國內文獻中報導其占顱內腫瘤的0.3%~2.74%,平均0.97%國外文獻中報導為0.37%~4.5%生殖細胞瘤為松果體區最常見的腫瘤占36%~59%。生殖細胞瘤以男性占大多數男女之比約為2∶1。有人報導男性生殖細胞瘤占72.5%。但也有人報導男性發病為女性的6倍以上本病主要發生在小兒及青少年以11~20歲最常見,幼兒及老年人罕見。文獻中生殖細胞瘤年齡最小者為6歲。
病因
生殖細胞腫瘤的病因不明確有家族史的也十分罕見。曾有報導在Klinefelter綜合徵(47,XXY即47條染色體有2條X和1條Y性染色體)病人的縱隔和顱內發現生殖細胞瘤這些病人的典型特徵是小睪丸、細精管玻璃樣變、無精子,有人推測縱隔及顱內等處生殖細胞瘤的發生是原始生殖嵴分化的變異導致了生殖細胞遷移分化的變化和其惡性的傾向。
生殖細胞腫瘤患者的染色體常發生異常包括非隨機的染色體數目異常和結構異位。在睪丸生殖細胞腫瘤中,80%呈現特徵性的染色體結構異常12號染色體短臂等臂染色體畸形(i12p),許多非生殖細胞瘤性性腺腫瘤及性腺外的生殖細胞腫瘤中也有i12p畸形。
在胚胎發育過程中原始生殖細胞在胚胎第4周已清晰可見它們出現於卵黃囊壁上的內胚層細胞中鄰近尿囊的發生處。當胚胎開始摺疊,原始生殖細胞在中線從卵黃囊壁通過後腸背側腸系膜遷移至生殖嵴並進入間葉組織下成為原始性索,再逐步發育為成熟的性腺在這個遷移過程中原始生殖細胞遍布整個胚胎,當這些遷移的全能幹細胞未完成正常演化而停留時,很可能變成腫瘤。目前比較一致的觀點生殖細胞瘤是一組來源於原始生殖細胞的未分化腫瘤。
發病機制
瘤細胞腫瘤大小不一小者如花生米大小大者可如拳頭,腫瘤表面呈灰紅色,呈浸潤性生長,與周圍腦組織分界不清但也可有假性包膜;腫瘤質地多軟而脆,呈細顆粒狀部分有囊變,可用吸引器吸除;少數可有出血壞死。腫瘤鈣化較少如有的可呈彈丸狀,位於腫瘤中心或周邊腫瘤在鞍區可浸潤視神經和視交叉,有時可向上影響丘腦下部巨大者可突入第三腦室甚至梗阻室間孔引起腦室擴大;位於松果體區者向前可穿透第三腦室壁向下壓迫和浸潤四疊體,向後下壓迫小腦上蚓部向上可浸潤和壓迫胼胝體壓部。
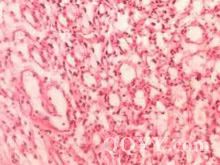
光鏡下觀察見腫瘤細胞有兩種組成:大型細胞似上皮狀蒼白,胞質豐富呈多邊形,有時邊界欠清常規染色呈紅色;細胞核位於胞質中央或稍偏位,多為圓形,核膜清晰,核染色體稀疏看起來呈空泡狀,核分裂象常見。另一種為體積小的細胞,胞質極少似呈裸核狀呈圓形,染色質豐富,與淋巴細胞很難區別實際上為免疫反應的淋巴細胞和漿細胞大上皮樣細胞常聚集成大小不一、形狀不規則的細胞巢其間有血管和纖維組織帶小淋巴樣細胞常分布在血管周圍,瘤細胞內有小片狀或灶狀壞死並有小出血灶,偶有小點狀鈣化。
電鏡觀察下細胞有兩種組成:大細胞為生殖細胞小細胞為淋巴細胞或巨噬細胞。生殖細胞的體積大,呈多邊形含1個或多個大而圓的核蒼白,疏電子性,核仁突出常形成纖維的核仁絨球胞質內含有少量顆粒狀內質網大量核蛋白體糖原顆粒及少量高爾基複合體,可見少量線粒體中心粒及微管結構,脂質粒較大並呈大泡狀,這種大細胞外無基底膜,細胞間偶見發育不良的點狀細胞連線。小細胞在電鏡下明確為小淋巴細胞傾向於呈叢集狀核為圓形,核周質狹小,細胞小且貧乏但整個電子密度比生殖細胞高得多。有時可見巨噬細胞活躍緊貼瘤細胞甚至嵌入瘤細胞中,使其分解成碎塊,併吞噬而消化。這種現象叫吞噬作用的細胞內消化。
在免疫組化方面可根據腫瘤的相關抗原來識別生殖細胞對胎盤鹼性磷酸酶反應呈陽性,多表達在細胞膜上
半數的生殖細胞瘤對人絨毛膜促性腺激素(HCG)表達陽性但多在合體滋養層巨細胞上表達,即生殖細胞的合體滋養葉發育時出現在混合性生殖細胞瘤多有HCG表達。胎甲球蛋白為陰性但血清和腦脊液中水平有時增高,說明向胚胎癌轉化。
臨床表現
生殖細胞瘤生長較快,多數病程在1年以內文獻中記載病程在2天~6年,平均7個月。生殖細胞瘤的症狀與體徵主要包括顱內壓增高、局部腦定位征和內分泌症狀等其症狀與體徵的發展順序一般是先出現顱內壓增高、繼之出現四疊體受壓症狀和丘腦下部症狀。也有少部分病人以四疊體受壓為首先症狀。
1.顱內壓增高症狀 生殖細胞瘤可早期壓迫或梗阻導水管的上端開口,引起梗阻性腦積水當腫瘤進一步增大時,壓迫第三腦室後部或導水管上端,使梗阻性腦積水更為突出,因此,幾乎所有的病人都有顱內壓增高的症狀及體徵主要表現為頭痛、噁心嘔吐、復視、視盤水腫,小兒可有頭圍擴大等。後期可繼發視神經萎縮及展神經麻痹等。
2.局部定位征 最常見的定位症狀有Parinaud綜合徵,這是Parinaud於1883年首先指出松果體區腫瘤可出現上視不能瞳孔光反應和調節反應障礙等。其中部分病人同時合併下視不能,瞳孔光反應遲鈍或喪夫、調節反應減弱及阿羅瞳孔是生殖細胞瘤的重要體徵。約半數以上的病人可出現小腦症狀表現為持物不穩走路搖晃、眼球震顫等,少數侵犯基底節時可出現偏癱等腫瘤壓迫下丘腦及內側膝狀體可出現雙側耳鳴及聽力下降。其他尚包括癲癇腦神經(ⅢⅣ)不全麻痹視野缺損等。
3.內分泌症狀 性早熟及巨生殖器為本病突出的內分泌症狀因此具有較大的診斷價值但也可見到性發育停頓或遲緩性發育障礙在15歲以下的兒童發生率為10%~37.5%。性早熟以男性病例占大多數。下丘腦損害可出現尿崩症嗜睡、肥胖、發育障礙及性功能低下等。
4.轉移 由於生殖細胞瘤組織鬆散很易脫落,故有種植性轉移傾向,常沿蛛網膜下腔向基底池、腦室系統和脊髓轉移。其轉移率一般在10%~37%之間個別病例可發生顱外遠處轉移如頭皮下、肺部等。
併發症
如進行手術治療根據手術方法的不同可能出現不同的併發症,如損傷中央靜脈可引起術後偏癱,恢復多不完全大腦內靜脈和大腦大靜脈損傷可導致昏迷腫瘤部分切除致術前腦積水未解除或由於術後腦組織腫脹導致梗阻性腦積水需行分流手術如果下丘腦損害可出現體溫異常、意識障礙及應激性潰瘍等應給予制酸藥物及促醒藥物對症處理等。手術創面大、術中止血不徹底可致腦室內積血術中應嚴密止血術後病情變化時應及時複查CT作對症處理。
診斷
病理對於出現顱內壓增高眼部症狀性早熟的小兒與青少年應高度疑診為本病。輔以上述檢查多能及時診斷。尤其是上視不能性發育障礙和瞳孔對光反應異常對本病有重要的診斷意義。
鑑別診斷:
1.松果體區囊腫 為良性病變,國外屍檢存在率高達40%。多數較小,只有在MRI檢查時偶然發現。多數在MRI上松果體區有小而圓的囊腫,注藥後輕度環形強化有時囊腫較大可稍壓迫四疊體上丘CT示囊內液體與腦脊液比呈等至高密度多無臨床症狀,也不引起腦積水絕大多數不需手術治療。
2.松果體細胞瘤 即來源於松果體實質細胞,包括松果體細胞瘤和松果體母細胞瘤,前者多為邊界清楚的圓形病變,很少通過腦脊液播散;松果體母細胞瘤為惡性,局部浸潤,通常體積較大質地不均勻。松果體細胞瘤周邊可有鈣化注藥後可有均勻或不均勻增強有時神經影像上不易與松果體區生殖細胞瘤區別,但松果體實質細胞腫瘤無性別傾向平均年齡較生殖細胞瘤者大(多在20歲以上)。
3.神經膠質瘤 多為星形細胞瘤極少數為室管膜瘤,多起源於四疊體或第三腦室後壁腫瘤有時很小但早期引起梗阻性腦積水MRI見腫物及四疊體熔為一體,壓迫導水管,使其狹窄或閉鎖注藥後多不強化或輕度強化,有時可見受累的丘腦和腦幹出現腫脹,在T2像上可見高信號。
4.腦膜瘤 松果體區腦膜瘤少見多為成人(常發生於40~60歲),常起源於小腦幕切跡游離緣故常不在正中腫瘤常為圓形或橢圓形CT為均勻密度,MRI在T1像為均勻高信號,注藥後可明顯均勻強化,並可顯示在小腦幕上有腦膜尾征(冠狀掃描顯示更為清楚)。
5.脂肪瘤 可發生在松果體區為先天性病變,實際上為胎兒生長發育過程中脂肪組織的異位或迷離的結果多數很小,不引起症狀更無需手術
6.上皮樣囊腫或皮樣囊腫 可發生在松果體區可較大CT為低密度,CT值低於腦脊液;MRI在T1像為低信號T2像可變化較大從低信號到不均勻信號皆可。上皮樣囊腫邊界可不規則部分邊界可呈蟲蝕狀。
7.蛛網膜囊腫 有時囊腫可較大囊內密度或信號在CT及MRI為相似於腦脊液,囊壁薄,注藥後可輕度強化。
檢查
實驗室檢查:
1.血液 患者血液中絨毛膜促性腺激素甲胎蛋白及癌胚抗原可升高。術後可恢復正常,復發或播散時再度升高。國外報告11例生殖細胞瘤所有病人血中絨毛膜促性腺激素或甲胎蛋白升高故多數學者認為術前有絨毛膜促性腺激素或甲胎蛋白升高者預後不良。
2.腦脊液 多數病人壓力增高,部分病人腦脊液蛋白含量輕中度增高,腦脊液中絨毛膜促性腺激素或甲胎蛋白可明顯增高。腦脊液細胞學檢查有時可發現瘤細胞。70%病例腦脊液中可出現上皮樣細胞,但並不一定意味著發生脊髓轉移。
其它輔助檢查:
1.顱骨平片 均可顯示有顱內壓增高的徵象40%~60%的病人可有松果體異常鈣化,尤其是當鈣化發生在10~15歲的小兒時鈣化斑直徑超過1cm鈣化向下後方移位者,均是診斷生殖細胞瘤的有力證據。
2.放射性核素掃描 連續腦閃爍斷層核素掃描,絕大多數可見到核素在腫瘤中蓄積直徑大於1.5cm。
3.CT掃描 CT掃描可精確地確定其大小部位及其周圍關係。
平掃CT可見與腦灰質等密度或稍高密度,松果體區生殖細胞瘤鈣化的幾率較鞍區生殖細胞瘤高得多當松果體區生殖細胞瘤生長過程中有時將鈣化的松果體(呈彈丸狀)包繞在其中故鈣化的“彈丸”可能在瘤內,也可在腫瘤的周邊常在側方或後方偶可被推擠至前方。腫瘤外形呈圓形不規則型或呈蝴蝶形,後者在診斷生殖細胞瘤有著特徵性價值正常人松果體鈣化率約為40%,而有生殖細胞瘤患者的松果體鈣化率近100%;鞍上生殖細胞瘤可無鈣化或細小的鈣化。
增強CT:當CT平掃發現病變的情況下應立即注藥做CT強化掃描表現為中度到明顯的均勻一致的強化少數強化不均勻,可顯示較小的囊變。故兒童或青少年,CT發現有松果體區稍高密度腫物,注藥有均勻強化(少數可不均勻),若有彈丸狀鈣化則強烈提示為生殖細胞瘤鞍上生殖細胞瘤位於中線漏斗和(或)垂體進入鞍內,侵犯神經垂體也不少見鞍上生殖細胞瘤可為圓形或分葉狀,CT平掃和增強與松果體區相似但有的學者指出此部位的生殖細胞瘤鮮有鈣化發生。除了上述“單發性”腫瘤之外關於“多發性”的生殖細胞瘤最典型的是在做CT檢查時同時發現2或3個生殖細胞瘤。
CT檢查對生殖細胞瘤有很大價值,尤其對腫瘤的鈣化及腦室擴大或移位情況提供重要的資料。不同亞型的生殖細胞瘤有其特有的表現有時結合臨床甚至可作出腫瘤定性診斷。
4.MRI檢查 MRI對顯示鞍上小的生殖細胞瘤(直徑<1cm)或脊髓轉移灶十分清楚;顯示松果體區生殖細胞瘤常為圓形、橢圓形或不規則形多數T1為等或稍低信號,T2為稍高信號,少數亦可為等信號;注藥後均勻一致的強化,邊界清楚有時少數僅呈中度或不均勻強化有報告20%~58%的生殖細胞瘤有小的囊變,這些囊變由於蛋白性液體或壞死液化所致,通常極小,有時在瘤內有小出血灶,在T1像為高信號;松果體區者可侵犯中腦和丘腦在T2像上有周邊模糊高信號影。MRI對腫瘤的種植或播散顯示全面除了T1及T2像的多發病灶顯示清晰而注藥後病變明顯強化。底節生殖細胞瘤也是T1等或低信號而T2稍高信號,注藥後可均勻強化有的顯示同側皮層有萎縮現象。
治療
檢查圖示1.腫瘤切除術 近年來普遍套用了CT及顯微外科技術徹底切除生殖細胞瘤已成為可能目前常用的手術入路及其選擇原則為:
(1)經頂枕部經胼胝體入路:適用於第三腦室後部的生殖細胞瘤一般做右側頂枕較大的骨瓣內緣達矢狀竇旁。
(2)經幕下小腦上入路:適用於腫瘤位於四疊體池或其下方者病人可采坐位、側臥或俯臥位。行顱後窩正中切口
(3)經枕部小腦幕入路:腫瘤位於四疊體上方時可採用此入路。術中骨窗要能暴露矢狀竇及橫竇的邊緣。
(4)經側腦室三角區入路:主要用於腫瘤向一側大腦半球生長時術後常有同向偏盲。
(5)經額部側腦室入路:可行冠狀切口,右額骨瓣成型開顱。
值得注意的是任何入路均應注意保護好大腦深靜脈腫瘤應分塊切除術中應避免損傷瘤周的腦組織目前生殖細胞瘤的手術原則是儘可能地徹底切除,術後放射治療,或先行分流手術然後再行腫瘤部分切除(一概要求完全切除,實際上是不可能的)。是否適於全切除首先取決於腫瘤的組織學結構其次是腫瘤擴展部位小的和中等大小的生殖細胞瘤有時可以全切,術後死亡率較高。
2.腦脊液分流術 鑒於腫瘤全切除困難,術後死亡率高即使腫瘤全切除後,仍難免復發因此,有人主張採用腦脊液分流術加術後放療以往多採用側腦室-枕大池分流術或第三腦室造瘺術。近年來多採用帶活瓣裝置行腦室-心房或腦室-腹腔分流術。分流術的目的是為了解除梗阻性腦積水,術後輔以放療有人主張所有病人不管是否行全切術,如有顱內壓增高,腫瘤切除前2周尤其是腫瘤部分切除者均應行腦脊液分流術。由於生殖細胞瘤極易脫落沿腦脊液播散,故已有分流術後發生腹腔或全身轉移的報導。
3.立體定向活檢術 可在CT導向下行立體定向活檢術,明確病理診斷,為下一步治療提供資料。
4.術後放療及化療 生殖細胞瘤對放射線極為敏感術後輔以放療可獲穩定的療效但體積較大的腫瘤可以復發對此類病人應加大照射劑量和擴大照射野由於生殖細胞瘤發生蛛網膜下腔及脊髓種植的轉移率達3%~57%故多數學者認為不管腦和脊髓有無轉移,均應常規行全腦和脊髓放療。一般一個療程的劑量為40~60Gy,照射野大約為60~100cm2,整個脊髓的放療劑量為20~30Gy。1歲以內小兒劑量為成人的50%5歲兒童為成人劑量的75%8歲以上與成人劑量相同。放療可引起放射性腦壞死及腫瘤周圍瘢痕形成的粘連,儘管如此也有人主張術前應照射20~30Gy的劑量,以減少腫瘤的血液循環和切除腫瘤時的出血。
生殖細胞瘤化學治療已有不少研究。常用的化療藥物有亞硝脲類長春新鹼環己亞胺放線菌素、甲氨蝶呤(氨甲喋呤)博萊黴素順氯胺鉑等有不少學者採用不同的化療藥物對生殖細胞瘤進行治療均獲一定療效,故認為生殖細胞瘤對某些化療藥物是敏感的,可將聯合化療作為術後的一種輔助治療。
預後
儘管生殖細胞瘤的全切除或部分切除的手術死亡率已降至5%~10%但是鑒於生殖細胞瘤的性質和部位,即使全切後也難免復發和轉移,故預後不良有人長期追蹤直接手術的病例,最晚者術後4年復發。
術後輔以放療,病人可生存5~20年,有的病例放療後1.5~2個月轉移的生殖細胞瘤也全消失但放療後1年有20%的腫瘤復發即使CT掃描顯示腫瘤已完全消失者也可迅速復發,因此所有病例應定期複查CT。
生殖細胞瘤的1年生存率為85.7%,5年以上生存率為35.7%,經過綜合治療50%~80%病人可生存5年以上,25歲以下的病人,5年生存率更高。
